来源:生物骨科材料与临床研究
本文作者:钟丽红1,2 卢兆成1,3 黄童龄1,2 杨萌1,2 段锐3 管敏1*
1 中国科学院深圳先进技术研究院
2 中国科学院大学
3 华南师范大学体育科学学院
文章导读
肥胖与骨科疾病密切相关,笔者从骨丢失的影响因素方面撰写了本文,通过高脂饮食(HFD)诱导肥胖雄鼠模型,发现肥胖小鼠中破骨吸收异常,骨量减少。ERRα拮抗剂Compound 29抑制ERRα的活性后,肥胖小鼠的破骨吸收减弱,骨量流失减缓,同时糖耐受能力提高。因此,ERRα拮抗剂Compound 29改善HFD诱导的肥胖雄鼠的骨丢失。
引用信息
钟丽红, 卢兆成, 黄童龄, 等. ERRα拮抗剂Compound 29抑制破骨细胞改善肥胖引起的骨丢失[J]. 生物骨科材料与临床研究, 2021, 18(3): 24-29.
摘要
目的 在高脂饮食(HFD)诱导的肥胖雄鼠中探究雌激素相关受体alpha(ERRα)拮抗剂Compound 29对小鼠骨量的改善作用。方法 C57BL/6J雄鼠随机分为HFD组、“HFD+Compound 29”组(“HFD+C29”组)和普通饮食组(CD组),每组各6只。在整个实验过程中,HFD组和“HFD+C29”组小鼠用高脂饲料喂养,CD组小鼠用普通饲料喂养。喂养18周后,“HFD+C29”组小鼠每天Compound 29灌胃给药,CD组和HFD组小鼠等量溶剂灌胃,持续3周。最后进行口服葡萄糖耐量试验(OGTT)并处死小鼠收集样品。用微计算机断层扫描技术对右股骨进行骨组织形态学分析,左股骨石蜡包埋切片后分别进行苏木素伊红(HE)和抗酒石酸酸性磷酸酶(TRAP)染色,用酶联免疫吸附测定法检测血浆I型胶原交联羧基末端肽(CTX-I)浓度。
结果 骨扫描和HE染色结果显示与CD组相比,HFD组小鼠骨密度、骨小梁数量和厚度减少,HFD组小鼠发生骨量丢失;Compound 29给药后,HFD小鼠骨密度和骨量得到明显改善。TRAP染色和CTX-I浓度检测结果表明 Compound 29给药后,HFD小鼠破骨细胞数量减少,骨吸收减弱。此外,OGTT结果显示Compound 29提高HFD小鼠糖耐受能力。结论 ERRα拮抗剂Compound 29改善HFD诱导的肥胖雄鼠的骨丢失。
关键词
Compound 29;雌激素相关受体alpha;代谢;破骨细胞;骨丢失
骨是不断重塑的动态器官,受成骨细胞和破骨细胞的分化和活性调节。成骨细胞由间充质干细胞(mesenchymal stem cells,MSCs)分化而来,通过分泌胶原蛋白和非胶原蛋白组成类骨质,并进一步钙化形成新骨;破骨细胞由造血干细胞分化而来,通过溶解骨基质中的有机成分和无机成分发挥骨吸收功能。成骨细胞介导的骨形成和破骨细胞介导的骨吸收之间的精细平衡构成了骨稳态,骨稳态失衡则可能导致骨质疏松、骨关节炎等常见退行性骨病[1-2]。
肥胖与骨科疾病密切相关,在一项包含成年男性、绝经前和绝经后女性的研究中表明,体脂比例与骨质疏松和非脊柱性骨折发生率呈正相关[3]。临床数据表明超重或患有肥胖症儿童的骨量低于正常体重儿童[4],骨折概率高于正常体重儿童[5],超重或患有肥胖症成年男性的骨量与体重呈负相关[6]。此外,动物研究还发现,高脂饮食(high-fat diet,HFD)引起的肥胖伴随着过度的骨吸收[7]。肥胖诱导促炎因子TNF-α表达增加,并通过其下游信号通路促进破骨分化相关基因的转录,对破骨形成有激活作用[8-9];肥胖亦增加核因子κB受体活化因子配体(receptor activator of NF-κB ligand,RANKL)/骨保护素的比率,促进破骨细胞分化[10]。
雌激素相关受体(Estrogen-related receptor alpha,ERRα)属于核受体超家族,是一种孤儿核激素受体,参与调节线粒体的活性、生物发生和更新,以及脂质分解代谢,在细胞能量代谢中发挥核心作用,是代谢紊乱调节的潜在靶标[11-12]。研究发现,ERRα全身性敲除小鼠中可抵抗高脂饮食(HFD)诱导的肥胖[13],进一步研究发现缺失ERRα基因影响了小肠的脂吸收和脂转运[14]。此外,ERRα作为线粒体的关键代谢调控因子,还调节破骨分化过程中的能量代谢。研究表明,Myc是破骨细胞分化的关键决定因素,髓系细胞特异性敲除Myc小鼠的破骨细胞生成减少,通过代谢学分析和ChIP分析发现,Myc直接转录调控ERRα介导代谢适应,通过调节不同的代谢基因影响破骨细胞分化,表明Myc/ERRα通路是破骨细胞氧化代谢的重要调控通路[15]。另一项研究则发现破骨分化过程中,ERRα与共激活因子PGC-1β转录调节 Ndg2、IDH3a、ATP5b 和 MCAD 等基因表达,促进线粒体三羧酸循环并增强线粒体的OXPHOS,证明了ERRα通过调控代谢通路影响破骨分化的重要作用[16]。此外,还有研究报道胆固醇可能是ERRα内源性配体,激活ERRα下游氧化代谢相关通路促进破骨形成,进一步用ERRα拮抗剂XCT790则抑制胆固醇诱导的破骨分化[17]。以上研究表明作为线粒体的关键调控因子ERRα介导破骨细胞分化过程中的代谢适应,提示靶向ERRα的特异性小分子拮抗剂可抑制破骨形成,ERRα是潜在的骨质疏松治疗靶点。
糖脂代谢紊乱与骨疾病密切相关,骨质疏松症被认为是糖尿病或肥胖症并发症之一。HFD引起的肥胖伴随着过度的骨吸收,ERRα是骨质疏松治疗的潜在靶标。基于此,笔者构建长期HFD诱导的肥胖小鼠模型,对小鼠进行雌激素相关受体ERRα拮抗剂Compound 29灌胃给药,探究Compound 29对肥胖小鼠骨量的改善作用。
01、材料与方法
1.1 材料
1.1.1 动物
从北京维通利华实验动物技术有限公司购进18只健康的5周龄C57BL/6J雄鼠,每笼6只,饲养于中国科学院深圳先进技术研究院实验室动物中心。SPF房间室温保持24℃,每隔12 h光暗循环,并按照实验要求分别用高脂饲料(Research Diets D12492,60 kcal% Fat)或普通饲料饲养,自由摄食与饮水。
1.1.2 主要试剂与仪器
Compound 29(#CP-14014122,ChemPartner公司,上海)、I型胶原交联羧基末端肽(C-terminal telopeptide 1 chain of type I collagen,CTX-I)酶联免疫检测试剂盒(#CEA665Mu ,Cloud-Clone corp公司,美国)、血糖仪及血糖试纸(#06870279001,ACCU-CHEK公司,上海)、福尔马林组织固定液(益利精细化学品公司,北京)、石蜡(Leica公司,德国)、乙二胺四乙酸(Ethylene Diamine Tetraacetic Acid,EDTA)(阿拉丁公司,中国)、乙醇(上凌生物技术公司,北京)、二甲苯(上凌生物技术公司,北京)、苏木素伊红(Haematoxylin and eosin,HE)染色试剂盒(# C0105S,碧云天生物技术公司,上海)、抗酒石酸酸性磷酸酶(Tartrate-resistant acid phosphatase,TRAP)染色试剂盒(#387A,Sigma公司,美国)、石蜡包埋机(Leica公司,德国)、石蜡切片机(Leica公司,德国)、摊片机(Leica公司,德国)、烤片机(Leica公司,德国)、光学正置显微镜及相关成像系统(Olympus公司,日本)、光学倒置显微镜及相关成像系统(Olympus公司,日本)、Skyscan-1176高分辨率活体Micro-CT(Bruker公司,德国)。
1.2 方法
1.2.1 HFD诱导肥胖雄鼠模型及给药
5周龄C57BL/6J雄鼠正常喂养适应1周后,随机分为普通饮食组(CD组)、高脂饮食组(HFD组)和“高脂饮食+Compound 29给药”组(“HFD+C29”组),每组各6只。在整个实验过程中,HFD组和“HFD+C29”组小鼠用高脂饲料喂养,CD组小鼠用普通饲料喂养。18周后,“HFD+C29”组小鼠每天Compound 29灌胃给药,Compound 29剂量为30 mg/kg体重,CD组和HFD组小鼠等量溶剂灌胃,持续3周。
1.2.2 口服葡萄糖耐量试验(oral glucose tolerance test,OGTT)
Compound 29给药3周后,进行OGTT实验。小鼠在实验前禁食过夜,葡萄糖灌胃前先称量体重,再用血糖仪测量每组小鼠尾静脉血糖,作为0点数据。按体重进行葡萄糖灌胃,葡萄糖剂量为2 g/kg体重。葡萄糖灌胃后,分别在30、60、120 min用血糖仪测量尾静脉血糖,绘制曲线,分析结果。
1.2.3 微计算机断层扫描(Micro-CT)与数据分析
处死小鼠后,将其放于75%乙醇中浸泡3~5 min。将小鼠铺于干净的手术垫布上,小心分离股骨并去除股骨表面附着的肌肉等软组织,随后用10%福尔马林浸泡固定。固定后股骨标本用Skyscan-1176高分辨率活体Micro-CT进行扫描,并使用NRecon软件(NRecon v1.6)和CTAn软件(CTAn v1.12)进行三维重建和数据采集分析。测量并计算小鼠骨密度(Bone mineral density,BMD)、相对骨体积(Bone Volume/Total Volume,BV/TV)、骨小梁数量(Trabecular Number,Tb.N)、骨小梁厚度(Trabecular Thickness,Tb.Th)和骨小梁分离度(Trabecular Separation/Spacing,Tb.Sp)。
1.2.4 HE染色和TRAP染色
固定后的股骨样品用10%EDTA脱钙28 d后放入包埋盒,流水冲洗去除组织中的脱钙液后依次置于由低浓度到高浓度乙醇中逐渐脱去组织块中的水分,再将股骨样品置于二甲苯中透明,随后置于已熔化的石蜡中,待石蜡完全浸入后进行包埋,凝固后用手动切片机以4 μm的厚度进行连续切片。切片染色前用二甲苯脱蜡,再经由高浓度、低浓度乙醇和蒸馏水梯度复水,随后进行HE染色和TRAP染色。通过Image J分析单位骨小梁周长破骨细胞数(Osteoclast Number/Trabecular Perimeter,OC.N/Tb.Pm)和破骨细胞周长百分率(Osteoclast Perimeter/Trabecular Perimeter,OC.Pm/Tb.Pm)。
1.2.5 血浆CTX-I的定量检测
将小鼠血液收集到抗凝管中,离心后取上层血浆,用酶联免疫吸附测定法(Enzyme-Linked Immuno Sorbent Assay,ELISA)对血浆样品中的CTX-I水平进行检测,分析不同组别小鼠血浆中的CTX-I浓度。
02、结果
2.1 HFD诱导小鼠肥胖
Compound 29给药3周后称量小鼠体重发现HFD组小鼠体重显著高于CD组(见图1A)。处死小鼠后收集附睾旁白色脂肪组织(gonadal white adipose tissue,gWAT)并进行称量,发现HFD组小鼠的gWAT重量显著高于CD组(见图1B)。“HFD+C29”组小鼠的体重和gWAT重量与HFD组相比,差异无统计学意义(P>0.05,见图1)。由此可见经过21周的高脂喂养后,笔者成功构建了肥胖小鼠模型。

图1 HFD及Compound 29灌胃给药对小鼠的体重及脂重的影响:A. 小鼠体重(Body weight);B. 附睾旁白色脂肪组织重量(gWAT weight)
注:**表示HFD组与CD组比较, P <0.01;NS表示“HFD+C29”组与HFD组比较, P >0.05。
2.2 ERRα拮抗剂Compound 29改善肥胖小鼠的糖耐受能力
Compound 29给药3周后测量小鼠尾静脉血糖,发现HFD组小鼠的血糖升高,而Compound 29给药后肥胖小鼠血糖降低(见图2A)。小鼠禁食过夜后进行OGTT实验,葡萄糖灌胃前测量每组小鼠血糖,作为0点数据,葡萄糖灌胃后分别在30、60、120 min对小鼠的血糖进行测量。OGTT曲线显示HFD组在四个时间点的血糖水平均高于CD组,HFD组OGTT曲线下面积(area under the curve,AUC)明显大于CD组(见图2B、C)。而Compound 29给药后“HFD+C29”组四个时间点的血糖水平均低于HFD组,“HFD+C29”组的OGTT曲线下面积明显小于HFD组(见图2B、C)。

图2 Compound 29对HFD小鼠血糖及糖耐受能力的影响:A. 小鼠血糖水平;B. OGTT曲线;C. OGTT曲线下面积(AUC)
注:*表示HFD组与CD组比较, P <0.05;**表示HFD组与CD组比较, P <0.01;***表示HFD组与CD组比较, P <0.001;#表示“HFD+C29”组与HFD组比较, P <0.05;##表示“HFD+C29”组与HFD组比较, P <0.01;###表示“HFD+C29”组与HFD组比较, P <0.001。
2.3 ERRα拮抗剂Compound 29改善肥胖小鼠的骨丢失
处死小鼠后,剥离股骨并进行固定。用Micro-CT对小鼠右股骨扫描重建。结果显示:CD组小鼠骨小梁数量多,排列紧密并形成网状;HFD组小鼠骨小梁数量减少,排列稀疏紊乱,骨量丢失;而“HFD+C29”组小鼠骨量明显高于HFD组小鼠,骨小梁数量较多,排列较为紧密(见图3A)。对采集数据进行形态计量学动态指标分析,结果可见HFD组小鼠骨密度(BMD)、相对骨体积(BV/TV)、骨小梁数量(Tb.N)和骨小梁厚度(Tb.Th)显著低于CD组小鼠,而骨小梁分离度(Tb.Sp)则相对较高;“HFD+C29”组BMD、BV/TV、Tb.N和Tb.Th四个指标都显著高于HFD组小鼠,而Tb.Sp则相对较低(见图3B-F)。

图3 Compound 29对HFD小鼠骨量的影响:A. 各组小鼠股骨Micro-CT扫描及三维重建结果图;B-F. 小鼠股骨松质骨的二级微结构定量分析:小鼠骨密度(BMD)(B)、相对骨体积(BV/TV)(C)、骨小梁数量(Tb.N)(D)、骨小梁厚度(Tb.Th)(E)和骨小梁分离度(Tb.Sp)(F)
注:**表示HFD组与CD组比较, P <0.01;#表示“HFD+C29”组与HFD组比较, P <0.05;##表示“HFD+C29”组与HFD组比较, P <0.01。
2.4 ERRα拮抗剂Compound 29抑制肥胖小鼠的破骨吸收
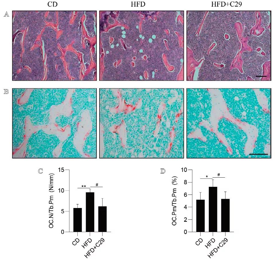
将小鼠的左股骨用石蜡包埋切片,并进行HE染色和TRAP染色。小鼠股骨远心端 HE染色切片显示,HFD组与CD组小鼠的骨小梁差异明显。CD组小鼠骨小梁数量多且较粗,HFD组小鼠骨小梁数量少且较细,并伴随大量脂肪空泡,而“HFD+C29”组小鼠骨量显著高于HFD组,且脂肪空泡减少(见图4A)。TRAP是破骨细胞特异性酶,染色后破骨细胞呈红色。骨切片经TRAP染色后用Image J进行破骨细胞计数及骨吸收情况分析,结果显示与CD组小鼠相比,HFD组小鼠单位骨小梁周长破骨细胞数(OC. N/Tb.Pm)增加,破骨细胞周长百分率(OC.Pm/Tb.Pm)升高,Compound 29给药后,OC. N/Tb.Pm减少,OC.Pm/Tb.Pm下降(见图4B-D)。

图4 Compound 29对HFD小鼠破骨吸收的影响:A. 各组小鼠股骨切片远心端HE染色(比例尺:100 μm);B. TRAP染色(比例尺:100 μm),破骨细胞呈红色;C、D. 骨吸收参数分析:单位骨小梁周长破骨细胞数(OC.N/Tb.Pm)(C)和破骨细胞周长百分率(OC.Pm/Tb.Pm)(D)
注:*表示HFD组与CD组比较, P <0.05;**表示HFD组与CD组比较, P <0.01;#表示“HFD+C29”组与HFD组比较, P <0.05。
CTX-I是骨吸收的标志物,笔者用ELISA测定各组小鼠血浆CTX-I水平,结果显示HFD组小鼠血浆CTX-I浓度显著高于CD组小鼠,Compound 29给药后HFD小鼠血浆CTX-I浓度降低(见图5)。

图5 Compound 29对HFD小鼠血浆破骨吸收标志物CTX-I水平的影响
注:***表示HFD组与CD组比较, P <0.001;#表示“HFD+C29”组与HFD组比较, P <0.05。
03、讨论
近年来,在骨质疏松的众多影响因素中,肥胖与骨质疏松的相关性越来越引起人们的关注,临床研究与动物模型中发现肥胖引起的代谢紊乱往往伴随着骨质疏松[3,7],本研究构建长期HFD诱导的肥胖小鼠模型,与正常小鼠相比,肥胖小鼠的体重和白色脂肪重量显著增加,同时伴随破骨吸收增强并导致骨量减少。
Compound 29是针对ERRα与PGC1的共激活结构域开发的ERRα选择性拮抗剂,TR-FRET实验显示Compound 29高效抑制ERRα活性(IC50=0.04 μM),但是对同一家族的ERRγ的抑制效用却很低[18],因此,与传统的ERRα拮抗剂XCT790相比,Compound 29具有更特异的靶向性和较好药物安全性,适合用于体内实验[18]。笔者用Compound 29对肥胖小鼠进行灌胃给药,结果显示肥胖小鼠破骨细胞数量减少,骨吸收减弱,同时骨密度与骨小梁数量和厚度增加,表明Compound 29有效保护肥胖小鼠骨量。骨切片的HE染色和TRAP染色显示HFD诱导的肥胖小鼠骨髓腔中有大量的脂肪空泡,而Compound 29给药后脂肪空泡减少,表明Compound 29给药后减少骨髓脂肪细胞的累积。此外,有研究表明Compound 29是一种潜在的降糖化合物[18],笔者的实验结果发现Compound 29灌胃给药后,肥胖小鼠血糖水平下降,糖耐受能力提高。这些研究提示Compound 29不仅直接作用于破骨形成,也可能通过调控小鼠的糖脂代谢间接改善骨稳态失衡。
ERRα在骨形成中的作用尚存在争议:一方面,有研究发现大鼠颅盖成骨细胞分化过程中ERRα始终高表达,体外抑制ERRα的表达颅盖成骨细胞分化减弱[19],同样,ERRα全身性敲除小鼠中分离的MSCs体外成骨分化能力减弱[20];另一方面,也有研究发现ERRα缺失后小鼠的骨形成增强,股骨骨量增加,能抵抗衰老和雌激素缺乏导致的骨丢失[21],这些研究表明ERRα的骨形成作用,笔者的研究证实Compound 29给药显著抑制肥胖小鼠破骨吸收,Compound 29是否通过破骨吸收或脂肪因子间接影响骨形成,或是直接作用于成骨细胞值得进一步探索。
综上,本研究通过HFD诱导肥胖雄鼠模型并发现ERRα拮抗剂Compound 29通过抑制破骨吸收,改善肥胖雄鼠的骨丢失,为代谢紊乱引起的骨质疏松治疗提供依据,同时本研究证实了Compound 29抑制破骨吸收的作用,对骨质疏松靶点药物的研发有一定的参考价值。
参考文献
[1]Maeda K, Kobayashi Y, Udagawa N, et al. Wnt5a-Ror2 signaling between osteoblast-lineage cells and osteoclast precursors enhances osteoclastogenesis[J]. Nat Med, 2012, 18(3): 405-412.
[2]Sambandam Y, Sundaram K, Saigusa T, et al. NFAM1 signaling enhances osteoclast formation and bone resorption activity in Paget's disease of bone[J]. Bone, 2017, 101: 236-244.
[3]Hsu YH, Venners SA, Terwedow HA, et al. Relation of body composition, fat mass, and serum lipids to osteoporotic fractures and bone mineral density in Chinese men and women[J]. Am J Clin Nutr, 2006, 83(1): 146-154.
[4]Williams SM, Goulding A, Taylor RW, et al. Overweight and obese children have low bone mass and area for their weight [J]. Int J Obes Relat Metab Disord, 2000, 24(5): 627-632.
[5]Kessler J, Koebnick C, Smith N, et al. Childhood obesity is associated with increased risk of most lower extremity fractures[J]. Clin Orthop Relat Res, 2013, 471(4): 1199-1207.
[6]Dolan E, Swinton PA, Sale C, et al. Influence of adipose tissue mass on bone mass in an overweight or obese population: Systematic review and meta-analysis[J]. Nutr Rev, 2017, 75(10): 858-870.
[7]Shu L, Beier E, Sheu T, et al. High-fat diet causes bone loss in young mice by promoting osteoclastogenesis through alteration of the bone marrow environment[J]. Calcif Tissue Int, 2015, 96(4): 313-323.
[8]Jang WG, Jeong BC, Kim EJ, et al. Cyclic AMP Response Element-binding Protein H (CREBH) mediates the inhibitory actions of tumor necrosis factor alpha in osteoblast differentiation by stimulating smad1 degradation[J]. J Biol Chem, 2015, 290(21): 13556-13566.
[9]Bin G, Cuifang W, Bo Z, et al. Fluid shear stress inhibits TNF-alpha-induced osteoblast apoptosis via ERK5 signaling pathway[J]. Biochem Biophys Res Commun, 2015, 466(1): 117-123.
[10]Xu F, Du Y, Hang S, et al. Adipocytes regulate the bone marrow microenvironment in a mouse model of obesity[J]. Mol Med Rep, 2013, 8(3): 823-828.
[11]Villena JA, Kralli A. ERRalpha: A metabolic function for the oldest orphan [J]. Trends Endocrinol Metab, 2008, 19(8): 269-276.
[12]Sladek R, Bader JA, Giguère V. The orphan nuclear receptor estrogen-related receptor alpha is a transcriptional regulator of the human medium-chain acyl coenzyme A dehydrogenase gene[J]. Mol Cell Biol, 1997, 17(9): 5400-5409.
[13]Luo J, Sladek R, Carrier J, et al. Reduced fat mass in mice lacking orphan nuclear receptor estrogen-related receptor alpha[J]. Mol Cell Biol, 2003, 23(22): 7947-7956.
[14]Carrier JC, Deblois G, Champigny C, et al. Estrogen-related receptor alpha (ERRalpha) is a transcriptional regulator of apolipoprotein A-IV and controls lipid handling in the intestine[J]. J Biol Chem, 2004, 279(50): 52052-52058.
[15]Bae S, Lee MJ, Mun SH, et al. MYC-dependent oxidative metabolism regulates osteoclastogenesis via nuclear receptor ERRα[J]. J Clin Invest, 2017, 127(7): 2555-2568.
[16]Wei W, Wang X, Yang M, et al. PGC1beta mediates PPARgamma activation of osteoclastogenesis and rosiglitazone-induced bone loss[J]. Cell Metab, 2010, 11(6): 503-516.
[17]Wei W, Schwaid AG, Wang X, et al. Ligand activation of ERRalpha by cholesterol mediates statin and bisphosphonate effects[J]. Cell Metab, 2016, 23(3): 479-491.
[18]Patch RJ, Searle LL, Kim AJ, et al. Identification of diaryl ether-based ligands for estrogen-related receptor alpha as potential antidiabetic agents[J]. J Med Chem, 2011, 54(3): 788-808.
[19]Bonnelye E, Merdad L, Kung V, et al. The orphan nuclear estrogen receptor-related receptor alpha (ERRalpha) is expressed throughout osteoblast differentiation and regulates bone formation in vitro[J]. J Cell Biol, 2001, 153(5): 971-984.
[20]Rajalin AM, Pollock H, Aarnisalo P. ERRalpha regulates osteoblastic and adipogenic differentiation of mouse bone marrow mesenchymal stem cells[J]. Biochem Biophys Res Commun, 2010, 396(2): 477-482.
[21]Teyssier C, Gallet M, Rabier B, et al. Absence of ERRalpha in female mice confers resistance to bone loss induced by age or estrogen-deficiency[J]. PLoS One, 2009, 4(11): e7942.
声明:此文内容及图片由供稿单位提供,仅供学习交流,不代表骨科在线观点。