原著:Colleen M. Costelloe1, William A. Murphy, Jr.1, Gregory W. ladish1 and Marc A. Rozner1
本文的目的是审查心脏起搏器和植入式心律转复除颤器系统的正常和异常放射照相外观。
心脏起搏器和植入式心律转复除颤器(ICD)系统通常在胸片上看到。在2009年,超过30万成人和儿童在美国接受了新的心脏起搏器或ICD的位置,以及超过15万例患者进行修订[ 1 ]。由该中心的医疗保险和医疗补助服务报销所有美国ICD展示位置进入注册表,报告和定期报告显示,每年超过13万的新的ICD植入[2 ]。
起搏器和ICD的放射成像提供重要的临床信息。通常可以识别发生器的制造商,并且报告该信息可以帮助临床医生识别正确测试所需的专用制造商特定设备。相关联的硬件的图像可以提供关于设备的功能的信息,诸如引导号,类型和配置。当看到诸如部件定位和断裂的异常时,可以建议一些故障原因。由美国食品和药物管理局为MRI条件暴露(MRI兼容装置)标记的装置正在出现,并且特征标记可以有助于其识别。
心脏起搏,无论是从传统的起搏器或ICD,经常通过几种机制改善血液动力学和患者的结果,包括在患有窦房结疾病或心房心律失常和房室结节疾病的患者中启动心跳,提供1:1的传导(因此,房室同步)心房去极化从房室到房室房室结节疾病患者,并提供重新同步?的心室活动在心肌病和心室间传导延迟的患者。
现代起搏器和ICD包含几个其他可编程功能,设计用于检测运动和增加心律失常患者的心率,超速心房预防或终止心房心律失常,如心房扑动或颤动,并通过操纵有效起搏率减少心室不规则心房心律失常患者。一些起搏器和ICD也有治疗房颤或房扑的带超速心房起搏或低能量复律的能力[ 3 ]。ICD专用的是高压治疗,其设计用于治疗快速心室节律,例如室性心动过速或心室纤颤,以预防心律失常死亡。虽然一些起搏器可以在心房中执行低能量心律转复,但只有ICD向心室提供高电压治疗。
起搏器或ICD的确切功能只能通过称为询问的过程来识别,这需要制造商特定的硬件和设计用于与设备通信的软件。最新的心脏起搏器和ICD可以通过电话或互联网传输信息,具有办公室评估的所有报告功能,但目前,没有设备可以远程测试或重新编程。根据远程检查的结果,然后可以根据需要将患者定向到办公室访问或紧急中心进行设备测试或重新编程。


图 1A B 在75岁男性中植入式心律转复除颤器(ICD)的正常部件。
A,额叶胸片显示Medtronic(公司名字)单室ICD。 ICD的基本组件包括发生器,导线和围绕右心室(RV)导线的冲击线圈。 该系统还具有上腔静脉(SVC)中的冲击线圈,其可能不存在于所有系统中。 起搏器没有冲击线圈。 铅固定(见图8A)固定到胸部,并且可能或可能不在胸部X光片上可见。
B,引线通过头连接到发电机(黄色),其保持一个或多个连接端口。 所示系统需要三个端口(一个用于双极起搏或感测元件,一个用于RV休克线圈,一个用于SVC冲击线圈)。 正确放置的引脚将延伸超出连接器(见图9)。 制造商的标志和单个设备标识符的字体被反转,因为发电机被定向以允许在发生器口袋中适当的引线盘绕。 这种定位被设计成减少扭结的风险,这可能导致断裂。 有关制造商徽标的更多信息,请参见图4。

图。 2正常导联放置在一个73岁的男人。正位胸片显示Medtronic双心室起搏器。起搏器可以通过在右心室(RV)导线上没有激波线圈而从放射学上区别于可植入的心律转复除颤器。导管已放置在右心耳和RV附近的顶点。用于左心室(LV)起搏的冠状窦导线从右心房进入冠状窦,并终止于心大静脉的分支。冠状窦导线在正面图像上优于RV导线,并且在横向图像上在其后面(参见图5B)。右心房和RV导联的定位是相同的,无论是单室(RV)还是双室(右心耳和RV)系统。识别LV导联的最佳解剖位置在植入或修复过程中可能需要相当长的时间,因为LV导联的位置主要决定LV的时序和去极化方向。实现足够的起搏阈值以及最佳定时和去极化配置可能需要沿着冠状静脉分布测试几个LV部位。放置也可能需要伴随研究,如超声心动图。

图。 3A 普通电极和电极导管固定在一个62岁的男人。A,额部胸片显示右侧的Medtronic单室起搏器和左侧的CPI(心脏起搏器公司)植入式心律转复除颤器(ICD)。 每个装置具有不同类型的双极右心室(RV)导联。 尖端电极位于两个RV引线的终端,而起搏器引线上的短的近端金属不透明是环形电极。 集成双极ICD引线使用RV冲击线圈作为其环电极(箭头)。 仅具有顶端电极和没有冲击线圈的引线是单极的,并且使用发生器的金属外壳作为等效的环形电极(未示出)。 左胸壁的曲线金属混浊是皮下阵列,其用于在需要大量能量去纤颤的患者中降低(改善)除颤阈值。 皮下阵列将更多的心室壁纳入冲击范围,比单独的休克线圈作用范围更广。

图。 3A 普通电极和电极导管固定在一个62岁的男人。B,电极的放大图像。 起搏器导线被主动固定并通过心肌中的螺钉尖保持在适当位置。 ICD导线被动地固定有射线可透射的尖齿。 胫骨陷入小梁骨内膜(或心房),并且导线变得锚定有纤维化的发展,这通常需要6周至3个月。
导线头都到位的心脏主动或被动地[内召开9 ](图3B)。主动固定通过螺钉尖端实现,其在常规胸部X光片上容易可见。导线的制造商提供精确的植入指令,以确保足够的螺钉深度,而不会穿透心肌。被动固定发生在导线末端的射线可穿透尖齿被捕获在将心房或心室和心脏壁上的心房壁衬里的小梁中时。为了让合适的纤维化和锚固,中心静脉导管的放置选修课应被动固定导线[存在被延迟3个月,10 ]。自发LV电极导管错位率可以接近10%[ 11 ]。冠状窦导联没有螺钉或尖齿,因为存在血栓形成的风险。在撤回导丝时,构象变化允许冠状窦导线保持其在血管中的位置。其结果是,冠状窦导线经历更高自发移位速率大于做心房或右心室导线,但这些缺陷常常不能被放射学[标识11 ]。
同侧锁骨下导管的放置对起搏器或ICD系统造成额外的风险。锁骨下导针可以移动或损坏围绕导线的射线透过性绝缘涂层,从而通过改变传导而导致装置故障。对护套或其中包含的导线造成的损伤通常不能用放射摄影鉴定,并且随后的感测或起搏故障在装置测试中或作为患者症状(即,未能使心肌去极化)的结果被发现。因此,中心静脉导管应该放置在发生器的对侧。对于现有的完全在锁骨下静脉放置而不隧道起搏器或ICD系统,同侧颈内静脉可以用作令人满意的网站导管放置[ 12 ]。
许多公司制造起搏器和ICD,每家公司生产一个专用设备(BOS程序员)进行适当的测试。程序员是手提箱尺寸的机器,通常重量为10-12公斤,当需要进行系统检查时,必须携带给患者。因此,识别制造商的胸部射线照相报告可以帮助临床医生必须选择哪个程序员到床边。多数厂家上放置他们的发电机易于识别公司标识,除了特定于设备的标识符(图4)。例子包括St. Jude Medical(SJM); Pacesetter,Guidant(GDT); 心脏起搏器公司(CPI); 美敦力(M); Biotronik,Intermedics; 和ela(Sorin)。许多制造如今这些标志是由其他公司(国有公司的图4)。负责设备的临床医生熟悉制造商和测试每个设备所需的正确编程人员。在放射学报告中只需要标识的标识。
起搏器和ICD的放置和功能会导致许多并发症。 并发症可包括气胸,血肿(口袋或纵隔),有或没有填塞的心肌穿孔,硬件感染,不适当的导线放置或起搏(例如隔膜)和不适当的电击[4,5]。 双心室起搏需要将导线置于冠状静脉中,具有血管解剖或穿孔的风险。 随着时间的推移,绝缘护套可能断裂或引线可能从心脏或其端子断裂或脱落。一些并发症可以在胸片上检测到。例如,不适当的引线放置或心肌穿孔(图5A,5B和5C)可以分别通过引线的异常过程或尖端电极的异常位置来识别。可以通过在没有干预的情况下的位置变化或由异常过程(图6A和6B)怀疑导线的移位,并且可以通过设备测试来确认。心肌穿孔可以分为粗穿孔,其是有症状的或微穿孔,其由没有患者症状和正常导联功能定义。穿孔通常是无症状的,因为右心脏的压力相对较低,心房或心室的肌肉收缩,导线本身的质量效应和纤维化的发展。此外,只有约20%的患者是起搏器依赖[13]。对100个心脏起搏器(100个RV和61个RA导联)的研究发现15%的RA和CT的RV导联的6%的穿孔的证据。在电生理参数(如起搏阈值或导联阻抗)中,没有发现与穿孔的证据与没有穿刺的证据的导联比较有显着性差异[14]。参考标准是有问题的,因为不能获得穿孔的组织学证据。穿孔的总速率可能为1〜10%[14,15]。

图。 4 制造商标志。A -H,显示的是来自St. Jude Medical(A),Pacesetter(由St. Jude Medical拥有)(B),Guidant(由Boston Scientific拥有;目前的Boston Scientific徽标[BOS] (C),Cardiac Pacemakers Incorporated(由Boston Scientific拥有)(D),Medtronic(E),Biotronik(F),Intermedics(由Boston Scientific拥有,但需要特殊程序员) )。 许多制造这些标志的公司现在由其他公司拥有。 当前波士顿科学(BOS)标志如图8B(H)所示。 目前与每个标识相关联的公司的知识不是必需的,并且仅为一般信息提供。 对放射学报告重要的是识别标志本身。 标志可以是金属密度或较不透明的,并且更难以可视化。 如果存在,标志附近的字母和数字是设备特定的标识符。


图5AB 在两个不同的患者电极错位和心室穿孔的例子。A,72岁的女性电极错误。 正位(A)和外侧(B)胸部X光片显示圣犹达医学双心室植入式心律转复除颤器与上腔静脉不适当的心房导线位置。 心房导联(箭头,A和B)的尖端高于右心房的水平,并且已经不适当地定位在上腔静脉中。 注意冠状窦引线(箭头B)的正常位置是在侧向投影中右心室(RV)引线的后方。

图5C,70岁女性心室穿孔。 正位胸片显示,圣犹达医疗双室起搏器的RV导联(箭头)超出心室轮廓。 心肌穿孔很少会导致放血或压塞。 患者没有受到并发症或随后的铅改变的不良影响(修订电极显示)。 心室穿孔可能导致对膜片的不适当刺激。

图。 6A 75岁的男性患有心房导线脱位。
A,Medtronic双腔起搏器的右心房导联(箭头)显示在正面(A)和外侧(B)图像上的纯垂直路线。 电极在心房中自由浮动。 患者抱怨经常心悸,并且设备检查显示不能可靠地去极化心房。 心房导线修订(未示出)导致心悸消除。 心房导线的推荐放置位于右心耳,但右心房中的导联可充分发挥作用。 在任一位置正确固定到壁上的引线通常将显示一定程度的曲率。

图。 6B 75岁的男性患有心房导线脱位。
B,Medtronic双腔起搏器的右心房导联(箭头)在正面(A)和侧面(B)图像上显示纯垂直路线。 铅在心房中自由浮动。 患者抱怨经常心悸,并且设备检查显示不能可靠地去极化心房。 心房导线修订(未示出)导致心悸消除。 心房导线的推荐放置位于右心耳,但右心房中的导联可充分发挥作用。 在任一位置正确固定到壁上的引线通常将显示一定程度的曲率。

图。 7A 79岁的男性患有电极折断和迁移。
A,初始胸前X线片显示Pacesetter双腔起搏器低于锁骨的心房导线不完全断裂(变薄)(箭头)。

图。 7B 79岁的男性患有电极折断和迁移。
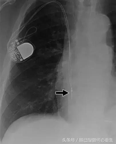
B,大约3年后,电极完全断裂,金属传导碎片(箭头)分离。 远端片段(箭头)已经偏移尾侧,但是由于围绕电极的射线可穿透鞘的约束效应而没有迁移到肺循环中。 引线和中心静脉导管最常见于锁骨和第一肋骨之间断裂,因为它们在臂运动期间被锁骨下肌肉或腱或肋锁韧带压缩[16]。
造成设备故障的最常见的X光检查原因之一是铅断裂。锁骨下静脉经过锁骨下的部位是骨折最常见的位置[16](图7A和7B)。在这个位置的损伤可能发生在导管或导线,并已被描述为锁骨下夹断综合征和锁骨下压溃综合征[16?18]。临床上,骨折的导线通常在患者中产生可以是连续的,间歇的或依赖于患者定位的症状。识别这些状况可能需要挑衅性的动作,例如等长臂锻炼,仰卧或侧向定位或Valsalva。设备检查将显示异常的起搏阻抗(如果绝缘破裂允许导体暴露则减小,如果导体断裂但绝缘完好则增加),感测错误和起搏捕获损失[12]。导线断裂或绝缘损坏可能导致感测或起搏异常。对心律失常的不适当的过感知或欠感应可能导致不适当的治疗,例如抗心动过速起搏和休克治疗,或不适当的抑制治疗。
用于将导线的近端部分固定到胸壁的导线固定件可以模拟损伤。扎带是通常位于锁骨和发生器之间并且可以压接引线的套囊(图8A和8B)。熟悉这种外观和通常的射线透射束缚的位置可以防止错误报告磨损的线索。

图。 8A在两个不同患者中电极断裂的电极结合物的实例。
图。 8B在两个不同患者中电极断裂的电极结合物的实例。

图。 9发生器引线断开。 移出的装置的放射线照片显示从末端完全退出的电极的外观(箭头)。 少数发电机没有容易识别的标志; 因此,制造商不能确定。
图10一名40岁女子的遗弃电极。 Medtronic发生器有两个端口(小箭头),但存在三个导联(一个心房和两个心室)。 对于传统的起搏器,有效导线的数量将等于或小于端口数量。 相对于端口的外部引线指示一个或多个引线被放弃。 因此,将端口数量与引线数量进行比较通常有助于识别丢弃的引线。 两个右心室导联之一以前发生故障,被放弃,而不是电极提取程序的风险并发症。 废弃的电极封盖(大箭头),以防止电气干扰。 未使用的端子也加盖并堵塞。
图11 Medtronic Revo MRI兼容起搏器。 该设备可以通过设备说明符或公司标志(箭头)上方的曲线线和围绕引线近端方向(箭头)缠绕的金属密度,被识别为Medtronic公司的MRI兼容系统。 不同的公司可能将不同的标识符合并到未来的设备中。
放射科医生可以通过准确地识别系统组件和发电机制造商来帮助起搏器和ICD患者的临床护理。 许多并发症,例如铅断裂和错位,也可以在胸片上检测到。 熟悉制造商标志和常见并发症的放射照相外观有助于及时和准确地诊断潜在的危及生命的起搏器和ICD异常。
