见微知著,内镜显神通
-神经内镜切除CPA脑膜瘤1例纪实
昆明三博脑科医院
张永力 杨海峰 杨海洋 陈国龙 段磊 毕有云
前言
脑膜瘤是由颅内蛛网膜细胞形成,女性发病率约为男性的2倍,约占原发于颅内肿瘤的30%,是仅次于胶质瘤的颅内第二大发病率的肿瘤。可见于颅内任何部位,但幕上较幕下多见,约为8:1,好发部位依次为大脑凸面、矢状窦旁、大脑镰和颅底(包括蝶骨嵴、嗅沟、桥小脑角肿瘤)
脑膜瘤多数属于良性肿瘤,手术切除可治愈。脑膜瘤通常生长慢,病程长。一般为2-4年,少数生长迅速,病程短,术后易复发和间变。肿瘤可以长得相当大,症状却很轻微,当神经系统失代偿,才出现病情迅速恶化,多先有刺激症状,如癫痫等,继以麻痹症状,如偏瘫、视野缺失、失语或其他局灶症状,提示肿瘤向外生长。
来自曲靖的方女士,今年45岁,近半年总是反复头痛,以左侧后枕部疼痛最明显,开始休息后可缓解,后来需要口服止痛药才能控制,3个月来出现右面部麻木,以面颊部明显,2月前家人带着方女士至曲靖市第一人民医院就诊,做了头部核磁共振发现了一个脑瘤,方女士及家人十分着急,来到昆明三博脑科医院求医,希望能切除肿瘤。

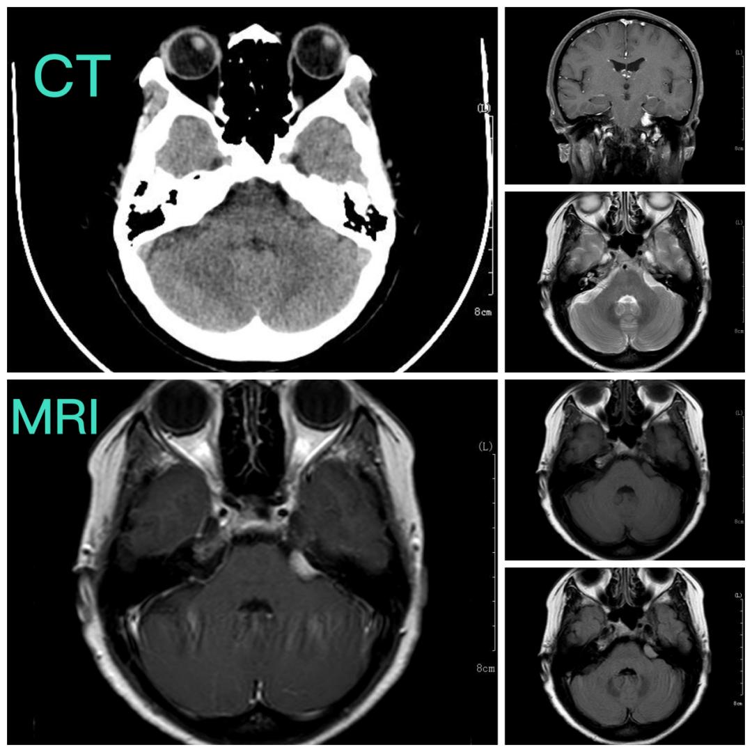
术前影像资料
张永力院长、神外二病区杨海峰主任、主治医师段磊认真询问患者病史及仔细查看患者影像资料,考虑肿瘤是脑膜瘤,位于左侧岩骨后壁,位置毗邻脑干和小脑,这个区域有很多脑神经出入,非常凶险,万幸的是肿瘤还比较小,需要尽早手术切除,以免肿瘤长大,增大手术难度,破坏脑干、小脑及脑神经功能,造成无法挽回的损伤。
患者目前右面部的麻木症状,考虑与脑瘤无明显关系,手术无法缓解右面部麻木症状,术后患者头痛症状可能会缓解,最重要的是可以完全切除肿瘤,避免以后对患者造成生命威胁。通过核磁共振影像,可以看出,肿瘤位于左侧岩骨后壁,与面听神经关系最为紧密,肿瘤虽小,但位置较深,经过术前讨论与研判,杨海峰主任认为,手术方式可以选择经神经内镜切除肿瘤,充分发挥神经内镜的优势,微创切口,深入抵达肿瘤所在部位,视野清晰,操作精准,在完整切除肿瘤的同时,完整保护面听神经及脑干、小脑等重要的结构。

术中图片
经过精心的术前准备,入院第3天,手术如期进行,杨海峰主任主刀、段磊主治医师做助手,于左侧耳后小切口,微创开颅,精准全切肿瘤,面听神经保护完好,手术顺利。术后患者正常清醒,无面瘫,听力正常。切口小,术后患者恢复快,神经损伤小,成功解除脑瘤威胁,头痛症状完全缓解,手术后10天患者伤口切线后痊愈出现,患者迎接新生。

术后影像资料


术后病理为:血管瘤型脑膜瘤,WHOⅠ级。
神经内镜的优点
同常规神经外科手术相比,神经内镜手术具有创伤小、出血少、术后反应轻、住院时间短、病人恢复快、预后明显改善等特点。
神经内镜手术主要优点为:1.手术视角广:神经内镜克带有侧方视角,到达病变时可获得全景化视野,对病变进行“特写”,放大图像,辨认病变侧方及周围重要的神经和血管结构,引导切除病灶及其周围病变组织,消除显微镜直视下的盲区,可显示某些手术显微镜所无法显露的部位。为深部视野提供更好的照明与观察影像,同步、清晰地显示术野,避免看盲目操作可能带来的损伤,极大地增加了手术操作的精确性和安全性,提高了手术质量。2.照明强度高、直视性强:在较深的术野,手术显微镜的光亮度已出现衰减,而神经内镜系近距离照明。虽然图像的立体感较显微镜图像略有差距,但深部术野显示清晰,局部照明效果好。3.创伤小:神经内镜的镜身长,横截面小,适合于在狭长的腔隙、孔道内操作,经鼻腔等自然腔隙或者较小的切口便可完成过去骨瓣开颅较大切口才能完成的对病变的观察及切除,达到了微创手术的目的和要求。4.时间短:对于部分疾病,神经内镜手术较常规神经外科手术可简化手术步骤,缩短手术时间。5.不良反应小、副损伤小,能够获得更好的预后。
(撰稿人:段磊 2020-03-25)
参考文献:
1.周良辅 现代神经外科学
2.张亚卓 内镜神经外科学(第2版)
科室成员





科室介绍
