一、胰腺内分泌肿瘤
胰腺神经内分泌肿瘤属少见病变,发病率较低,每年约在百万分之一以下, 在我国最常见者为胰岛素瘤, 约占80 %~ 85 %,其次为无功能胰岛细胞瘤, 占15 %, 胃泌素瘤3 %, VIP 瘤和胰高血糖素瘤分别约占0 .5 %。

二、胰腺囊性上皮源性肿瘤
胰腺囊性肿瘤较为少见, 约占全部胰腺肿瘤的10 %, 恶性胰腺肿瘤中仅有2 %~ 4 %为囊性。胰腺囊性肿瘤包括浆液性囊腺瘤、黏液性囊腺瘤、黏液性囊腺癌、导管内黏液乳头状肿瘤、实质性乳头状上皮肿瘤等。除浆液性囊腺瘤为良性肿瘤外, 其他肿瘤均属于恶性肿瘤或潜在恶性肿瘤 。
(一)浆液性囊腺瘤:
为最常见的胰腺囊性肿瘤, 良性, 不发生恶变, 至今也未见原发性胰腺浆液性囊腺癌的报道。好发年龄30 ~ 50 岁, 女性多见, 男女比例1 ∶6 ~ 1 ∶9 。一般无症状, 可有上腹部不适, 疼痛等, 有时可及肿块。浆液性囊腺瘤起源于胰腺中央的腺细胞, 根据囊的大小可分为三种类型, 即小囊型、大囊型和混合型, 其中以小囊型占绝大多数。

(二)黏液性囊腺瘤、黏液性囊腺癌:
也多见于女性, 男女比例1 ∶2 , 40 ~ 60 岁多见。常见的症状为上腹部疼痛, 腹部肿块等,不具特征性。黏液性囊腺癌为恶性肿瘤, 而黏液性囊腺瘤有潜在恶性, 有人认为囊腺瘤和囊腺癌为疾病发展的两个阶段

(三)导管内黏液乳头状肿瘤(IPMT):
IPM T 好发于中老年, 50 ~ 70 岁多见, 为低度恶性或有恶性倾向的肿瘤, 有时同一个肿瘤内可见良性、交界性及恶性肿瘤成分。本病预后较好, 由于肿瘤常生长于主胰管, 因而临床上常可表现为反复发作的急性胰腺炎或慢性阻塞性胰腺炎, 65 %左右的患者有腹痛, 45 %的患者有体重减轻, 另外还可表现为恶心呕吐及脂肪泻等。
1.病理:IPM T 起源于主胰管(主胰管型)或主胰管的主要分支(分支型), 发生于主胰管者可累及局部胰管也可弥漫侵及整个主胰管, 发生于胰管分支者后期也常累及主胰管(混合型)。发生于主胰管者主胰管及其主要分支均有非狭窄性扩张,病变区衬以分泌黏液的高柱状上皮, 扩张囊变的胰管内可见黏液栓以及偏平或乳头状生长的壁结节。发生于主胰管大分支的病变大多发生于胰腺钩突,少数发生于胰尾部,早期为多囊状的肿块结构, 与胰腺囊腺瘤颇为相似, 后期病变常累及主胰管, 则与原发于主胰管的病变相似。无论是发生于主胰管还是其主要分支的病变, 其病变均与主胰管相通, 这与胰腺囊腺瘤明显不同。由于乳头状新生物或黏液栓阻塞胰管, 常继发胰腺炎症。
2.影像学诊断:主胰管型的病变C T 、M RI 上可表现为主胰管囊状扩张,其主要分支也可见扩张,胰腺萎缩, 有时与慢性阻塞性胰腺炎难以鉴别, 如果显示了扩张胰管内的壁结节或黏液栓对诊断颇有帮助, 薄层扫描及变换体位对显示壁结节和黏液栓有好处, 黏液栓随重力总位于囊腔下壁。位于胰头部的病变还可引起扩张的壶腹突向十二指肠腔。发生于胰管分支的病变表现为多房状囊性肿块, 常位于胰头钩突, 内可见间隔, 表现与囊腺瘤相似, 后期病变累及主胰管则出现主胰管的扩张及其腔内的壁结节和黏液栓。MRCP 及ERCP 对本病的诊断非常有帮助, 特别是ERCP , 内镜下即可见乳头溢出黏液样物,有时可见突向十二指肠的扩张乳头, 注射造影剂后容易显示壁结节和黏液栓造成的充盈缺损, 病变与主胰管相通有助于鉴别诊断。

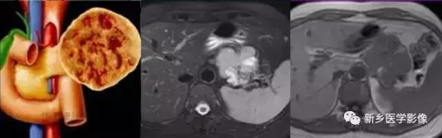
(四)实质性乳头状上皮肿瘤:
为胰腺的罕见肿瘤, 约占胰腺肿瘤的0 .17 %~2 .5 %。好发于中青年女性, 据统计75 %~ 95 %发生于女性, 平均年龄25 ~ 30 岁。临床上常表现为腹部不适、疼痛、腹部肿块
等, 部分患者可出现黄疸。由于大多数病变出现囊变, 因而笔者把它归类到胰腺囊性上皮源性肿瘤中。该肿瘤属低度恶性, 较少转移扩散, 预后较好。
1.病理:本病的起源尚有争议,有认为起源于胰腺外分泌腺细胞、内分泌腺细胞或具有向内外分泌腺分化的全能细胞等学说, 肿瘤可发生于胰腺任何部位, 一般较大, 常见的直径为5 ~ 8cm 。肿瘤周围有较厚的纤维包膜, 边界清楚,常突出于胰腺外。瘤体剖面可见明显出血和坏死, 大的坏死区可形成囊腔, 内
含血性或胶冻样物,构成囊实相间的结构,30 %左右的肿瘤周边可见钙化。病变内富有薄弱血管为本病的又一病理学特点。镜下可见胞质呈嗜酸性的小肿瘤细胞围绕纤维血管形成假乳头状结构。免疫组化及电镜示肿瘤同时具有内分泌和外分泌组织成分。
2.影像学诊断:CT 、M RI 上, 本病表现为胰腺边界清楚的大肿块, 囊实相间, 实性部分主要位于病变周边,有强化;囊性部分主要位于病灶中心区域, 囊变区密度较高, CT 值40 ~50Hu 。30 %的患者病变周边可见钙化。由于病变内常有出血,T1W I 上可见不均匀高信号, T 2WI 上见不均匀低信号 。M RCP 或E RCP 示胰管受压、移位或中断。

三、胰腺间叶组织肿瘤
绝大多数良性和恶性胰腺肿瘤来源于胰腺上皮组织, 间叶组织肿瘤很少见, 间叶肿瘤占胰腺肿瘤的1 %~ 2 %, 通常来源于结缔组织,淋巴组织, 血管及神经组织等。
(一)淋巴管瘤:
占所有淋巴管瘤的1 %以下, 组织学起源还不清楚, 有人认为是遗传异常, 有人认为是创伤性病变,也有人认为淋巴管瘤是真正的肿瘤。
1.病理:典型的表现为多房囊性病变, 囊腔的大小差异很大, 小的只能在显微镜下看到,大的直径可达10cm 。囊内有薄层分隔, 可有浆液、血性浆液或乳糜液, 内衬淋巴管上皮, 周边有薄的纤维组织被膜。囊内及囊壁均罕有钙化。淋巴管瘤可以生长在胰腺实质内,也可生长于胰腺外,通过蒂和胰腺组织相连。
2.影像学诊断:CT 或M RI 扫描见胰腺囊性肿块, 可有分叶, 囊内分隔较薄且有轻度强化,囊壁很薄, 罕有钙化。淋巴管瘤有时与胰腺其他囊性肿块难以鉴别, 可进行穿刺活检。

(二)脂肪瘤:
腹腔脏器的脂肪瘤(lipoma)通常发生在消化道, 发生在胰腺的很少见, 临床上常无明显症状, 仅在影像学检查或手术时偶然发现。
1.病理:组织学上脂肪瘤由成熟的脂肪细胞组成, 可有少量的纤维分隔,有薄层的胶原纤维被膜包绕,因此与周围组织界限清楚。
2.影像学诊断:脂肪瘤的影像学表现颇具特征性, 并能依据影像学确诊 。CT 或M RI 均表现为胰腺边界清楚的肿块,内部结构均匀, 对周围无浸润。CT 值-30Hu ~ -120Hu ,密度均匀, T 1WI 和T 2WI 均呈高信号强度, 施加脂肪抑制后病灶信号强度明显降低。增强扫描病灶没有强化。有时肿瘤内可见菲薄的纤维间隔。胰腺脂肪瘤需与脂肪瘤病、畸胎瘤以及脂肪肉瘤鉴别。脂肪瘤病的病灶呈浸润生长,边界不清, 没有包膜;畸胎瘤除脂肪外还含有钙化、骨骼、牙齿等其他成分;脂肪肉瘤除含脂肪组织外,还常有软组织肿块成分。

(三)畸胎瘤(tera toma):
非常罕见。起源于外胚层胚胎残留组织的多能细胞。根据肿瘤的大小及生长的部位可出现不同的症状,但均无特异性。胰腺畸胎瘤为良性病变, 至今未见胰腺畸胎瘤恶性变的报道。
1.病理:胰腺畸胎瘤通常是同时有囊实性成分, 如毛发、牙齿、钙化、软骨和皮肤附属器如毛囊、汗腺及皮脂腺成分等。
2.影像学诊断:胰腺畸胎瘤的影像学表现也颇具特征性 ,确诊常需要进行CT 或M RI 检查。其影像学表现取决于肿瘤内各种成分的比例,常为多种成分同时出现,如脂肪成分、实质性成分、囊性成分、牙齿、骨骼、钙化等(图11),有时可出现液平面。

(四)胰腺母细胞瘤(pancr eatoblastoma):
极为罕见, 几乎均在少儿发病, 起源于酷似胰腺胚胎的一种多能干细胞, 肿块常较大, 恶性程度高, 容易侵犯门脉并发生转移, 转移的常见部位为淋巴结、肝脏及肺。
1.病理:肿瘤含有上皮和间叶组织成分, 还混杂功能性或无功能性的神经内分泌组织, 肿块内可有囊变。肿块好发于胰头, 周围有坚韧的被膜。
2.影像学诊断:本病影像学缺乏特征性 , 通常表现为乏血供的实性肿块或复杂的多房性囊性肿块,边界一般较清楚。由于肿瘤体积较大, 因而常被误诊为神经母细胞瘤, 确诊依靠穿刺活检。

(五)神经鞘瘤:
内脏的神经鞘瘤(Schw annoma)来源于交感和副交感神经纤维的施万细胞, 罕见于胰腺。
1.病理:胰腺神经鞘瘤通常有被膜, 组织学上由两种成分构成:安东尼A 型主要是结构规则的细胞成分;安东尼B 型主要是乏细胞的疏松组织。
2.影像学诊断:胰腺神经鞘瘤的影像学与其组成密切相关。由安东尼A 型组织或主要由安东尼A 型组织构成的肿瘤表现为肿瘤实性部分明显增强伴中央坏死(图13), 此型肿瘤需与胰岛细胞瘤鉴别。由安东尼B 型或主要由安东尼B 型组织构成的肿瘤常表现为囊性肿块,无明显强化,需与胰腺其他囊性病变鉴别。

(六) 神经纤维瘤:
发生于胰腺的神经纤维瘤(neuro fibr oma)非常罕见,常常为神经纤维瘤病的一部分。
1.病理:肿瘤成分包括纤维母细胞, 施万细胞及一些神经成分, 肿瘤沿着神经广泛浸润。
2.影像学诊断:胰腺神经纤维瘤常由腹腔神经干向胰腺内蔓延, 肿块密度较低而均匀, CT 值20 ~ 25Hu , T1WI 上呈中度偏低信号强度, T 2WI 上呈高信号强度。增强扫描肿块轻度强化。胰腺神经纤维瘤的影像学表现缺乏特征性, 结合腹部其他部位病变特别是显示病变与腹腔神经干病变相延续, 以及神经纤维瘤病的其他表现有助于诊断。
(七)淋巴瘤(lymphoma):
非霍奇金淋巴瘤(NHL)中,起源于淋巴结外者约占20 %。胰腺受累仅占NHL 的1 %以下,且大多为全身NHL 的一部分, 原发于胰腺或以胰腺为主的NHL 更为罕见。AIDS 患者的NHL 累及胰腺的比例远远大于普通人群。
1.病理:病变可在胰腺内弥漫浸润或在局部形成肿块, 肿瘤细胞呈圆形,胞质稀少,体现出肉瘤的特点。
2.影像学诊断:胰腺淋巴瘤在影像学上两种表现形式 :(1)病变弥漫侵润, 表现为胰腺增大;(2)胰腺内边界清晰的限局性的肿块。肿瘤一般均质, 密度低, T 1WI 上信号低于正常胰腺, T 2WI 上信号略高于正常胰腺, 增强扫描示病变乏血供。病变区罕有坏死、出血或钙化。在腹膜后及腹腔内可有肿大淋巴结。部分患者可有胆管扩张。

(八)肉瘤:
胰腺癌可发生肉瘤样分化, 腹膜后的肉瘤(sarcoma)也可侵犯胰腺, 但胰腺原发性肉瘤罕见, 其发生率约占胰腺恶性肿瘤的0 .6 %, 包括原发性未分化肉瘤、纤维肉瘤、恶性纤维组织细胞瘤、卡波西肉瘤以及平滑肌肉瘤。平滑肌肉瘤起源于胰腺导管或血管的平滑肌细胞。胰腺肉瘤恶性程度高, 转移早,较易发生肝脏转移。
影像学诊断:胰腺肉瘤表现多种多样,可表现为均匀实性肿块, 也可表现为不均质的肿块,增强扫描肿块常呈显著的不均匀强化, 周边血供丰富, 中央常有坏死组织。有时胰腺肉瘤与胰腺癌不易鉴别。
四、胰腺转移瘤
胰腺转移瘤在临床上较为少见, 1000 例恶性肿瘤尸检中,仅3 %有胰腺转移。原发肿瘤可为肺癌、乳腺癌、肾细胞癌、卵巢癌、结肠癌、黑色素瘤等。胰腺不是肿瘤转移的常见部位。胰腺转移瘤的影像学表现与原发肿瘤有一定关系, 可表现为乏血供或富血供胰腺肿块, 有时E RCP 可示主胰管内充盈缺损。转移
瘤的影像学表现少有特异性,且发病率很低,故诊断常依靠原发肿瘤的确诊以及胰腺病变的细胞学检查。

五、其他少罕见胰腺肿瘤
(一)骨型巨细胞瘤:
是一种组织学特征与骨巨细胞瘤相似的极罕见胰腺肿瘤, 本病发病原因不明, 组织起源据推测可能是骨肿瘤转移或原发性骨外骨巨细胞瘤。
1.病理:肉眼观察肿瘤呈棕灰色, 切面可见出血坏死灶。镜下可见病变内有大量具有多个细胞核的巨细胞, 组织化学分析显示该种细胞与酸性磷酸酶有强烈反应。肿块周围胰腺组织坏死, 有大量炎性细胞浸润。
2.影像学诊断:消化道造影可见肿瘤引起的腔外压迹, 超声、C T 或M RI 可显示胰腺肿块, 密度或信号不均匀, 增强扫描有不规则强化。胰管、胆管可有扩张 。本病影像学表现缺乏特征性, 确诊依靠穿刺活检或手术探查。

(二) 腺鳞癌:
胰腺癌绝大多数为腺癌, 腺鳞癌(adenosquamous ca rcinoma)相对少见。据报道仅占全部胰腺癌的4 %左右。关于腺鳞癌的组织学起源有不同的假说:(1)在腺癌基础上发生鳞状上皮化生;(2) 异位的鳞状上皮发生恶变;(3)一种能分化为鳞状细胞或腺细胞的干细胞发生恶变。胰腺腺鳞癌的发病年龄常见于50 ~ 60 岁,女性稍多见。本病预后不佳, 无论手术与否, 生存期短, 平均6 个月。胰腺腺鳞癌的临床表现与胰腺腺癌相似,包括腹痛、体重减轻、黄疸等。
影像学诊断:腺鳞癌可发生于胰腺任何部位, 胰头发生率略高, 肿块边界清晰, 周围轻度强化, 中心可见囊性低密度影 。病变容易侵犯门静脉和肠系膜。腺鳞癌在影像学上与胰腺腺癌难以鉴别。

(三)浆细胞瘤:
髓外的浆细胞瘤(pla smacy tomas)是发生于骨髓外的浆细胞肿瘤, 好发于鼻咽、上呼吸道、胃肠道固有层及淋巴结等部位, 发生于胰腺者罕见。胰腺浆细胞瘤对放疗敏感度相对高,可不必手术。本病影像学上缺乏特征性, 可表现为胰头软组织肿块阻塞胆总管, 胰腺其他部位也可受侵或整个胰腺弥漫受侵。一般胰腺多发的肿块提示转移瘤可能, 但如果患者有多发骨髓瘤病史,应考虑胰腺浆细胞瘤。
(四)类癌:
类癌(carcinoid)有前肠型、中肠型和后肠型三种, 胰腺类癌属前肠型, 极为罕见。类癌的肿瘤细胞内含有分泌颗粒, 可产生5 -羟色氨酸, 释放入血后可引起皮肤潮红、腹泻、哮喘等症状, 称为类癌综合征。胰腺类癌的影像学表现也缺乏特征性, 与胰腺癌难以鉴别, 确诊依靠病理学, 如果病人出现类癌综合征则应考虑本病。
参考文献
杨正汉,周 诚。胰腺少罕见病变的影像学诊断,中国医学计算机成像杂志。
来源:新乡医学影像
【版权声明】本平台属公益学习平台,转载系出于传递更多学习信息之目的,且已标明作者和出处,如不希望被传播的老师可与我们联系删除