“我已经成年了,还可以矫正吗?”
这是成年矫正者问得最多的问题。
说实话,成人已经发育定型,矫正难度肯定比未成年大,但并没有网上说得那么恐怖。
那今天我们就来客观地聊聊成人矫正的难点,如果我们克服了,那成年矫正便不再是问题。
牙周问题
最让医生头疼的,就是牙周问题。
口腔就是一个“垃圾场”,随着年纪增大,“垃圾”就会越堆越多,从而破坏牙周。

这种破坏是无法阻止的。除非你不吃饭、不呼吸、不与空气接触,但显然不可能。
所以 随着年龄增大,牙周的情况只会一天不如一天。
然而牙周健康又是矫正的前提和基础。
那怎么办?
那也未必。
牙周出现问题,是可以治疗修复的。
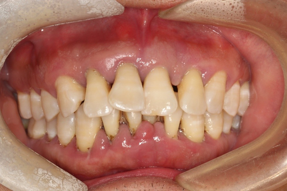
先给大家看一张牙周情况糟糕的图片。

从图片就能看出,这位34岁的男子牙周情况很差—— 牙结石积多,牙龈红肿发炎,牙齿松动,牙根暴露。
经过牙周治疗,牙周恢复到稳定状态后,我院正畸一科狄耀云医生才对其进行矫正。
最终他 牙列恢复整齐,整个人年轻了好几岁。

放大看细节,效果也非常出色,弧度完美的强迫症看了都没问题 ~

你看,条件这么差的牙周都能做矫正,可见牙周问题渐渐不再是正畸的阻碍。
不过牙周治疗不轻松,需要 花时间+改习惯+配合治疗 。
所以说, 牙周基础差也不要紧,牙周治疗为你创造正畸条件,不用担心啦!
口腔环境
除了牙周,口腔环境对正畸的影响也很大。
成年人的口腔情况各异: 有人一口 蛀牙 ,有人 缺牙 ,有人 拔完牙留有残根 ,或是做过 假牙 等各类情况 。

如果想要正畸,得先把这些口腔问题解决才行。
矫正周期长
由于成人已经错过生长发育的高峰期,牙槽骨基本成型,想要达到理想的矫正效果,肯定要比青少年花的时间长。
一般来说,在一年半到两年左右,牙齿情况好些的会稍微短些。
比如以下是来自正畸一科刘思医生的两个案例——
一个是一位12岁小男生的牙齿,刘医生仅用了12个月就让他的“*牙虎**归位”,牙列整齐,口腔恢复正常状态;

但下面同样是牙列问题,这位28岁的大哥哥就花了18个月的时间:

(本案例由苏州大学附属口腔医院正畸一科+客户部共同提供)
在矫正效果都不错的情况下, 两人年龄相差16岁,矫正周期大约相差6个月左右。
由于难度增大,所需器材也更复杂,所以矫正费用也是高于青少年的。
具体矫正多少钱,请参考往期内容,有介绍过。
颞下颌关节
很多人第一次听说这个词。
那大家回想一下:当你张大嘴巴,或是大口咀嚼食物时,耳部下方是不是会发出“咯”的声响?
这就是颞下颌关节发出的声音。
随着骨骼发育,在矫正过程中可能会出现 颞颌关节紊乱的情况,也会干扰矫正过程。

总体来说, 牙齿矫正不是一个舒服的过程,尤其是每次复诊后,牙齿会酸软无力,甚至嚼不了东西 。
但U1S1,成人矫正没你们想得那么“恐怖”。
曾经有人在网上吐槽,说自己矫正后牙齿松动,不到50岁就开始掉牙,真心后悔做矫正。
这里要解释一下:
首先, 矫正牙齿会带来短时间的牙齿松动,只要牙周健康,会慢慢恢复的,不可能引起“提前掉牙”的情况 ;
其次,如果出现提前掉牙、蛀牙等问题,那是口腔本身出现问题,并不矫正引起的。
所以说,为什么有人做完矫正牙齿很好,有人却不?这 取决于你口腔本身的健康状态,而不是牙齿矫正 。
这也就回答了标题里的问题——那些做矫正的成年人,现在后悔吗?
我想,只要认真配合医生,后期努力维护,就没有“后悔”可言。