
一、后备母猪精细化饲养管理关键技术
如何提高后备母猪的发情率和配种受胎率对猪场的生产效率提升具有重要意义。本项目从营养和环境2个方面制定后备母猪饲养管理技术规程:
1 使用专门的后备猪饲料
母猪5月龄以前自由采食,6-7月龄开始适当限饲,配种前半个月优饲,根据母猪体情况添加些营养物质,比如:*硒酸亚**钠VE粉,鱼肝油粉,复合维生素B等。
2 控制后备母猪的生长速度
后备母猪只要正常生长而不需要“超速”生长。 第1次配种前生长速度控制在600-650g。
3 需要适当的脂肪沉积
体脂在调控激素水平的变化中发挥着重要作用,但不能过度肥胖。
4 适宜饲养模式
大群饲养,有利于早期发情;适当的运动,每周保证在1-2次以上,每次运动1-1.5h,提高机体的免疫力。在体重90kg后可以让公猪饲养在隔壁栏舍或走廊区域,促进母猪发情。
5 适宜饲养环境
预防高温高湿环境形成的氧化应激,延迟发情(指机体在遭受各种有害刺激时,体内高活性分子如活性氧自由基和氮自由基产生过多,氧化程度超出氧化物的清除,氧化系统和抗氧化系统失衡,导致组织损伤)。对于后备母猪适宜的温度为18-20度。
6 适配月龄
引进品种8-10月龄,培育品种适配月龄约7月龄;适配体重:引进品种后备母猪的100-120kg;培育品种后备母猪的适配体重约90kg。
7 查情并做好发情记录
体重90kg后,每天用试情公猪查情1-2次,并作好第1次发情记录;第1次发情不配种,在第2-3次发情配种。后备母猪最好配3次。配种前做好母猪阴户的清洗,做好精液保存温度(17-18度)和品质的检查,保证配种时舍内环境18度,配种时选择性欲强公猪固定在走廊中,有利于母猪的静立和精液吸收。对于经产母猪建议采用深部输精,对于后备母猪采用规程受精。
8 配种后对母猪管理
配种后28天内尽量避免对母猪的应激,待28天后确定母猪妊娠转栏。
二、妊娠母猪精细化饲养管理关键技术
配种后母猪妊娠阶段的胎儿死亡是影响养猪生产效率的关键环节,从饲养管理、饲料营养和环境控制等多个方面制定妊娠母猪饲养管理技术规程,并通过本技术推广可提升母猪的产仔数和猪场的生产效率。
1 母猪配种完成后,务必做好母猪的安全保护工作,避免任何应激。
2 每天上班注意观察猪舍环境控制及猪群健康状况,及时调整舍内温度(维持在18-20度)、湿度及空气质量。
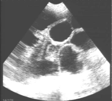
3 配种后25~28天内的做好妊娠诊断,可使用试纸或B超对妊娠猪进行妊娠诊断,有条件的猪场对于B超在4周不能确定的,可以在6-7周再次确定。同时结合经验判断:在正常情况下,配种后21天左右不再发情,且表现为:贪睡、食欲旺、易上膘、皮毛光、性温驯、行动稳、阴门下裂缝向上缩成一条线等特性的母猪,即可确定妊娠。

图1-1 B超诊断示意图

图1-2 B超诊断妊娠状态示意图
4 尽量避免对母猪的应激,保证胎儿在母体内得到正常发育,尤其防止妊娠9-13天,21-25天和60-70天等三个关键时期的胎儿死亡、流产;这期间避免转栏、疫苗等工作。

图2 妊娠期胚胎容易死亡的3个关键时期示意图
5 不喂冰冻、有刺激性气味、含有毒成分或霉变的饲料等,防止母猪应激、中毒、流产。
6 夏天防暑,冬天防寒;减少剧烈响声刺激; 重点关注怀孕前期的饲养管理与护理,减少剧烈运动;喂料要快、减少应激,必要时适当补充青饲料或使用小苏打防止便秘。
7 妊娠早期注意控料,保证胚胎顺利着床,一旦控料则应该添加纤维饲料,避免母猪采食应激(对于较瘦母猪只做适当控料);妊娠中期,根据母猪膘情给料;妊娠后期,增加饲料量和饲料蛋白含量,促进母猪乳腺发育和胎儿生长;产前1天减料,防止难产。妊娠28天后,无论是大栏,还是限位栏,给予母猪运动和采食纤维的福利,增加产活仔数。
三、产房母猪精细化饲养管理关键技术
1 预产期前10天,每天检查母猪卡,算好时间在母猪预产期前7——10天从怀孕舍定位栏中转到产房的产床之上。转母猪前对母猪进行体表清洗消毒,有条件的猪场还可对母猪体表吹干,再转猪。在转母猪时要采用挡猪板进行引导,不要大声呵斥,更不能用棍棒用力抽打母猪。
2 对于准备上母猪的产床,提前做好全面彻底的清洗、消毒,晾干后让母猪上产床。
3 产仔前三天,检查保温箱,电热板,保温灯等,并全部整理好,通上电后检查是否完好,做好产仔的准备,并且给母猪准备好产仔后饮用的麸皮红糖等物品。另外,需要准备的产仔必备物品,如:水盆,毛巾,剪牙断尾钳,剪刀,针,线,消毒液,拖把等。
4 怀孕母猪产仔前一天,要减少饲料的饲喂量,但饮水要充足,尤其是夏季,并且注意准备产仔的母猪在夏季容易出现热应激,所以一定要保持产房的通风和降温,可以根据猪场条件使用水帘,排风扇,电扇等方式进行降温,保持舍内温度22度左右。
5 母猪产仔一般都会在晚上进行,所以我们要时刻注意观察,如果赶到晚上的话,一定要有值班人员,随时做好接产工作。
6 母猪临产时的表现:接产人员当看到母猪表现出一些征兆时就要时刻注意,准备接产。母猪临产表现:阴道松弛,阴门红肿,阴道内部逐渐湿润,并流出浅红色液体,母猪行动谨慎,卧立不安,并表现衔草做窝,出现用四肢刨地,拱栏,乳房变得膨大,并且潮红发亮,八字分开,用手触摸有热感,当最后一对乳头用手挤压挤出奶水时,仔猪即将分娩。
7 当母猪准备产仔时,一定要将产床上边的粪便清理干净,并且要用消毒水将被污染的地方进行消毒,给母猪的乳房,阴门,屁股,尾巴也要进行清洗,并且用消毒液消毒。
8 小猪产出后赶紧用毛巾将小猪的口鼻全身的粘液擦干净,并将脐带内存的血液向小猪肚脐的方向进行挤压,之后用消毒的棉线进行结扎,从结扎处向外2厘米处用剪刀剪断,之后用消毒水对剪口处进行消毒,脐带的预留长度大概7厘米,一般以小猪站立后不拉到地面为宜。剪脐后要立刻把小猪放入母猪旁吃初乳,初乳吃的越多对小猪健康越有利。对于弱小仔猪可以固定在前部乳头(如下图)。对于需要寄养的建议4天内进行,避免空置乳房泌乳功能退化。

图3 固定乳头示意图
9 断尾时的长度一般以尾巴全长的三分之一为佳,小猪断牙时一定要注意,断牙钳用消毒液消毒,并要将断牙钳拿正,这样剪的牙齿断口一般比较平整。
10 断尾,断牙后要立刻把小猪放入保温箱中,让保温灯把小猪身上的水分照干,保温箱内部的温度要在35度左右,水分照干后可以让小猪出来吃初乳或常乳。
11 当母猪产完后,要在母猪卡上做好记录,将各种接产工具清洗干净备用。
12 如果遇到母猪难产,时间超过30分钟以上者,一定要及时助产,可以给母猪静脉输液,提供足够的营养和能量,用手按压母猪腹部和揉捏乳房,使用助产器进行产道助产,必要时要剖腹产。
13 产仔后给母猪饮用麸皮红糖水,补充体力,产后第一天要少喂饲料,以后每天增加一斤,让母猪采食量和消化能力逐渐恢复,七天后恢复正常采食量,这个时候要让母猪尽量的多吃,因为吃得多饮水足才能奶水好,小猪才能好,所以可以让母猪一天吃到四顿左右,并且采用湿拌料的方法。夏季早晚凉爽时候喂料。
14 母猪和小猪的疫苗,根据防疫程序进行合理的免疫,并且在生产记录卡上做好记录。做好小猪补铁和驱虫工作。小猪7天开始补料,小猪建议24-28天断奶,全进全出。