作者:黄益澄、严蓉、陈美娟、黄海军
单位:浙江省人民医院感染病科
本文为作者授权医脉通发布,未经授权请勿转载。
>>>>
病例介绍
患者,女,71岁,既往体健,因“反复发热8天”于2019-10-29入院。患者8天前无明显诱因下出现发热,体温最高达40℃,伴畏寒寒战,咳嗽咳痰不明显,至杭州市某医院就诊。
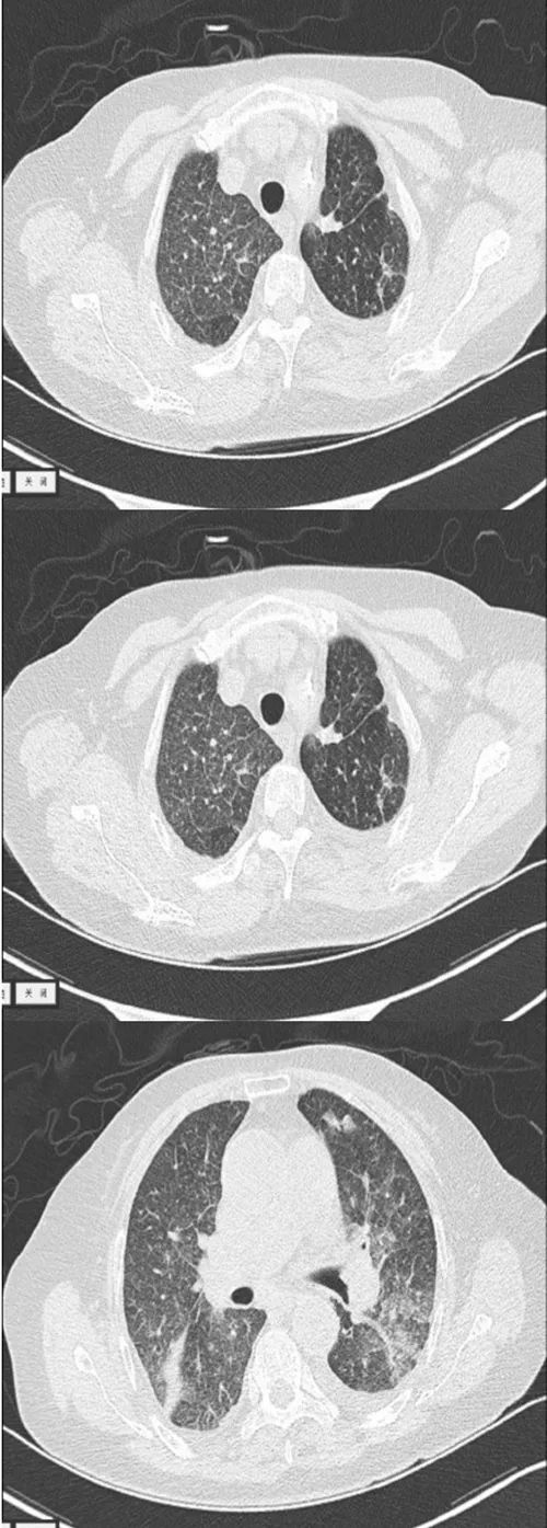
查血常规+CRP+PCT:WBC 2.10×109/L、N 90.4%、CRP 85.75mg/L、PCT 0.28ng/ml;肺部CT:两肺广泛感染,两肺广泛小粟粒状结节,两侧胸膜增厚(图1)。3次痰找抗酸杆菌均阴性,先后予头孢曲松针、头孢哌酮舒巴坦针、美罗培南针抗感染治疗效果不佳。

图1 患者的肺部CT表现
入院查体:神志清,精神软。皮肤巩膜无黄染,未见皮疹出血点,浅表淋巴结未及肿大。双肺呼吸音粗,可闻及啰音。心律不齐,各瓣膜听诊区未闻及病理性杂音。腹平软,无压痛反跳痛,肝脾肋下未及,Murphy征(-),肝区及双肾区无叩痛,移动性浊音(-),双下肢无水肿,神经系统查体未见明显异常。
>>>>
后续进展
患者急性病程,炎症指标高,首先考虑感染性发热,肺部感染可能性大,但具体病原学不明。
入院后继续予美罗培南针经验性抗感染治疗,并进一步完善相关检查:WBC 4.15×109/L、N 74.4%、HGB 101 g/L、PLT 147×109/L、CRP 27.7mg/L、PCT 0.32ng/ml、ESR 13mm/h;1-3-β-D葡聚糖 146.30pg/ml;曲霉菌半乳甘露聚糖阴性;T-SPOT阳性(表1);痰细菌+真菌培养:白色念珠菌++;余ANA、ANCA、肿瘤标志物、血培养等检测未见明显异常。
表1 患者的T-SPOT检测结果为阳性

患者仍持续发热(图2),结合患者肺部粟粒样结节、T-SPOT阳性,需考虑血行播散型肺结核。11月06日予行支气管镜检查:左上叶前段开口狭窄(图3)。

图2 患者持续发热

图3 支气管镜检查结果
患者曾经痰培养示白念++,当日支气管镜检查完毕后加用利奈唑胺+莫西沙星+卡泊芬净经验性抗感染治疗,患者次日体温即恢复正常。
随后肺泡灌洗液X-pert、隐球菌荚膜抗原、细菌+真菌培养、细胞病理学检查均阴性。
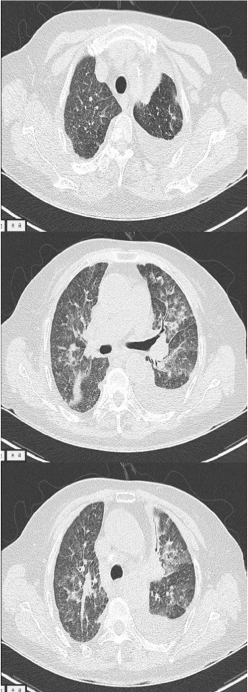
但患者11月12日再次出现发热。复查肺部CT显示:两肺散在多发炎症,两侧胸腔少量积液伴邻近肺组织膨胀不全,双侧支气管壁增厚,部分管腔狭窄,纵隔多发淋巴结(图4)。

图4 复查肺部CT
行胸腔穿刺,胸水常规:WBC 530个/μL,淋巴细胞(L)62%;胸水生化:PRO 2950mg/dL,ADA 13U/L。
考虑患者经强有力、广覆盖抗感染治疗效果仍欠佳,且病程中出现血三系进行性下降(WBC最低至1.62×109/L,HGB最低至93 g/L,PLT最低至47x109/L),血液系统疾病肺部浸润不能排除。
予完善骨髓穿刺+活检,骨髓涂片提示反应性骨髓象。行PET-CT:肝脏饱满,脾脏肿大,FDG代谢均增高;所示全身骨FDG代谢不均匀增高;双肺弥漫性网格样、条片状、斑片样密度增高影,FDG代谢增高;首先考虑炎性病变,需鉴诊合并血液系统疾病(图5)。

图5 PET-CT检查
患者诊断未明,仍持续发热,治疗效果不佳,患者家属要求转院。12月09日外院行肺穿刺活检提示肉芽肿性炎,综合病史考虑结核感染,转结核专科医院予异烟肼+利福平+乙胺丁醇+吡嗪酰胺+莫西沙星诊断性抗结核治疗,患者体温逐步恢复正常。
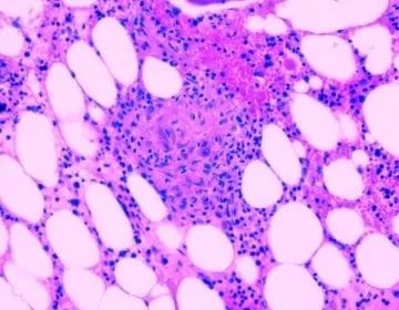
12月16日骨髓活检回报:造血细胞间可见组织细胞增多伴肉芽肿形成(图6)。

图6 骨髓活检
患者多部位肉芽肿性炎,T-SPOT阳性,诊断性抗结核有效,血行播散型肺结核诊断基本明确。
>>>>
病例讨论
回顾整个病例,该患者其实有多项线索均提示结核感染,我们也曾经考虑分枝杆菌感染的诊断,但肺泡灌洗液X-pert阴性最终让我们错过了结核的诊断,提示我们不能过分依赖某几项实验室检查。
肉芽肿是指巨噬细胞及其演化的细胞(如上皮样细胞、多核巨细胞)聚集和增生所形成的境界清楚的结节状病灶,是一种特殊类型的慢性增生性炎症。可引起肉芽肿性肺疾病的原因主要包括2大类,即:
(1)感染性肺肉芽肿病,如结核或非结核分支杆菌(NTM)、真菌(如曲霉、隐球菌、组织胞浆菌、球孢子菌)、寄生虫感染;
(2)非感染性肉芽肿病。前者最常见的病因是分支杆菌和真菌感染,后者最常见的是结节病[1]。
而骨髓活检发现肉芽肿的几率更低,约为0.3%-3%。目前已报道的可引起骨髓肉芽肿的最常见原因有以下3类:
(1)感染性疾病:首位原因,约占35%-50%,其中分枝杆菌、布鲁杆菌、伤寒、荚膜组织胞浆菌及EBV感染最为常见;
(2)恶性肿瘤;
(3)结节病[2-8]。
因此,尽管肉芽肿性病变对某种疾病并不具特异性,但可大大缩小所需鉴别的疾病范围。
最后回顾本例患者,T-SPOT阳性,肺和骨髓均发现肉芽肿性病变,应首先考虑血行播散型肺结核的诊断,最终诊断性抗结核有效也进一步支持结核病的诊断。
参考文献:
[1] 张德平, 孟凡青. 肉芽肿性肺疾病[J]. 中国呼吸与危重监护杂志,2011, 10(2):202-205.
[2] 冯俊, 张弘, 钟定荣. 骨髓肉芽肿病20例临床分析[J]. 中华内科杂志,2009, 48(6):485-487.
[3] Crispin P, Holmes A. Clinical and pathological feature of bone marrow granulomas: A modern Australian series[J]. Int J LabHematol,2018,40(2):123-127.
[4] Brackers de Hugo L, Ffrench M, Broussolle C, et al. Granulomatous lesions in bone marrow: clinicopathologic findings and significance in a study of 48 cases[J]. Eur J Intern Med,2013,24(5):468-473.
[5] Vilalta-Castel E, Valdés-Sanchez MD, Guerra-Vales JM, et al. Significance of granulomas in bone marrow: a study of 40 cases[J]. Eur J Haematol,1988,41(1):12-16. [6] Wang Y, Tang XY, Yuan J, et al. Bone marrow granulomas in a high tuberculosis prevalence setting: A clinicopathological study of 110 cases[J]. Medicine (Baltimore),2018,97(4):e9726.
[7] Mori N, Ohya H, Oba K, et al. Epithelioid cell granuloma in the bone marrow secondary to Epstein-Barr virus infection[J]. Lancet Infect Dis,2017,17(4):460.
[8] Muniraj K, Padhi S, Phansalkar M, et al. Bone marrow granuloma in typhoid Fever: a morphological approach and literature review[J]. Case Rep Infect Dis, 2015;2015:628028.