
一、胎儿胸廓狭小
胎儿胸廓狭小往往是各种骨骼系统发育异常或遗传综合征在胸廓的表现,致死性骨骼畸形一般都因肋骨发育不良合并胸腔狭小,如窒息性胸廓发育不良(又称Jeune综合征)、软骨发育不全、致死性侏儒、季肋部发育不全、屈骨症、成骨发育不全II型等
(一)超声声像图表现
1.胸廓形态异常 胎儿躯干部矢状切面显示与腹部比较明显狭小的胸廓。胸围测值小于第5百分位数。左肺和右肺面积小于正常平均值的-2SD,胸围与腹围的比值亦小于正常平均值的-2SD。
2.胎儿其它骨骼系统异常 胎儿股骨不随孕周增长同步生长,股骨长度小于第5百分位数、或小于-2SD。Jeune综合征同时表现为手指过短、长骨短小、肢体短小等;软骨发育不全因胎儿躯干较短、早期头臀径测值较正常小,其它典型表现为头颈短、四肢短小、脸部扁平(鼻梁塌陷)、小下颌、头颅巨大但钙化差等;致死性侏儒主要表现为四肢短小及指趾短小、长骨可能弯曲呈“电话听筒”形,或头围增大(大于第95百分位数)、鼻梁塌陷、颅缝早闭(呈四叶草头型);短肋型骨骼发育不全可见肋骨短、而且呈水平状,腹部明显外突,四肢短小、多指趾;成骨发育不全可出现严重的四肢短小,长骨和肋骨因多发骨折而弯曲,头围大小虽然正常但颅骨较透明、且施压下可变形,椎骨可发生骨折使脊椎排列不规则、出现扁平椎体。
3.可能合并的其它异常 ①羊水过多;②羊水过少;③胎儿水肿;④脑积水;⑤其它结构异常。
(二)超声检查注意事项
胎儿骨骼系统畸形发病率在100000例活产中约为21~47个,但却可能有37组(372种)之多,超声诊断或鉴别诊断常常较困难,存在假阳性或假阴性的结果。诊断的确立首先需要与胎儿宫内生长发育迟缓鉴别,总体诊断正确率约为68%,其中较常见的致死性侏儒和成骨发育不全的诊断正确率分别可达到88%和89%。
二、胎儿肺囊性腺瘤样病变
胎儿肺囊性腺瘤样病变(CCAM)(又译“肺囊腺瘤样畸形”)是一种先天性肺组织错构畸形,由支气管树的异常发育引起,病理特征为末梢细支气管呈腺瘤样过度生长、肺泡发育不良而缺乏正常肺泡。国外报道的发病率约为1:25000至1:35000。复旦大学妇产科医院报道的孕28周前的胎儿超声检出率为1.01‰,活产新生儿中发病率为1:11124。有报告认为染色体异常的风险率极低。
根据临床表现、大体检查及显微镜检查,Stocker于1977年将CCAM分为三型:①大囊肿型:占CCAM的50-70%。病灶由大于2cm(3-10cm)的囊肿组成,囊肿可为单个或多个。②小囊肿型:占CCAM的15-30%。病灶由小于1cm的囊肿组成,囊肿一般为多个,常常合并其它先天性畸形。③实质型:占CCAM的5-10%。由大块的非囊性(实质样)肿块组成。以后的研究发现,III型实质由较多小于5mm的微囊肿组成,由于超声波对微囊肿壁的反射等作用使整个病灶呈实质样高回声。
1992年以后,Stocker在原有分型的基础上将CCAM与新发现的两型先天性肺气道畸形统称为先天性肺气道畸形(CPAM),并分为五型,其中I-III型沿用原有分型,新增的0型为气管支气管来源的致死性腺泡发育不良、表现为又小又硬的实性肺,IV型为远端腺泡来源的错构畸形、表现为肺外周型大囊肿(囊肿直径大于10cm)。但新增的0型与IV型临床上应用较少,因为0型与支气管原性囊肿难以鉴别、IV型与胸肺母细胞瘤难以鉴别。
(一)超声声像图表现
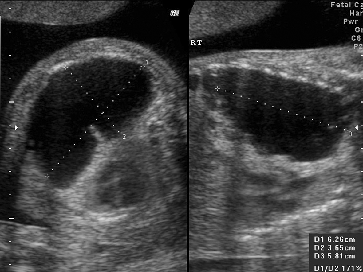
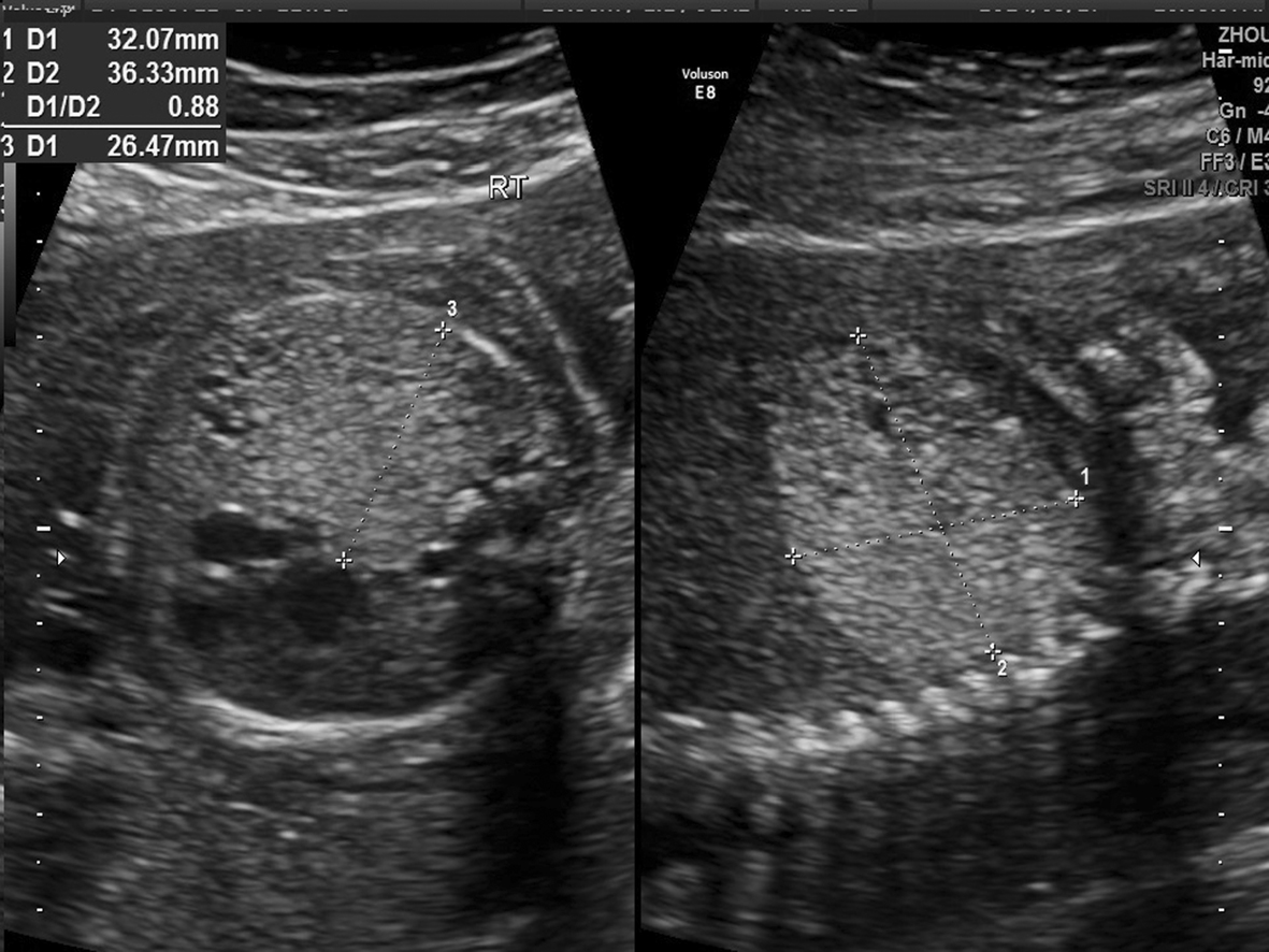
1.胎儿肺部异常 ①I型(大囊肿型):胸腔内见囊性或囊实混合性肿块,囊肿直径≥2 cm(图1);②Ⅱ型(小囊肿型):胸腔内见囊实混合性肿块,囊肿直径在5mm~2 cm间(图2);③III型(实质型或微囊肿型):胸腔内强回声实性肿物,与正常肺组织边界清晰,使用高频探头可观察到强回声实性肿块内部弥漫分布筛孔状无回声区,最大囊肿直径<5 mm(图3、4)。

图1 右侧胸腔CCAM I型: 孕22周6天

图2 左侧CCAM II型,孕23周6天,胸腔发现混合性占位性病灶

图3 右侧CCAM III型,孕22周5天,胸腔发现占位性病灶

图4 上图同一病例,胸腔占位内部无来自体循环的供血动脉
2.可能合并的其它异常 ①羊水过多;②胎儿水肿、腹水;③纵隔移位;④II型CCAM可能合并的其它异常包括:泌尿系统发育异常(肾发育不全或输尿管膀胱尿道的畸形)、叶外型隔离肺、腹壁缺陷、中枢神经系统畸形(脑积水)、脊柱畸形、胃肠道畸形(膈疝、空肠闭锁、气管食管瘘和肛门闭锁)、心脏畸形(室间隔缺损、法乐氏四联症和永存动脉干)、并腿畸形、和生殖系统畸形。
(二)超声检查注意事项
1.病变常累及单个肺叶,也可累及一侧肺或双侧肺,因此超声检查须仔细。
2.诊断的确立首先应排除一些声像图相似的病变,如膈疝、肺支气管原囊肿、神经管原肠来源囊肿、肺囊性纤维化、肺叶肺气肿、和肺隔离症。
3.CCAM胎儿的预后与分型有关,通常I型的预后较好,II型的预后与其合并的畸形有关,II型常常引起纵隔移位而预后较差。对CCAM胎儿预后的判断除了运用CVR,还可测量肿块径线(指肿块的最大径线)。当肿块径线大于5.2cm时,预后较差。
4.大部分CCAM通常在孕18周以后出现声像图改变,也有报道最早在妊娠16周发现,一般在孕28周前生长迅速、孕29周以后在20%的病例中可逐步消褪。因此,随访过程中,CCAM肿块有可能缩小甚至看不见。但需注意在声像图上不显示的病灶不等于真的消失。而且,患有CCAM的新生儿及成人可能出现呼吸道症状、反复的肺部感染、气胸、或恶性肿瘤。因此,产后3-6月对新生儿行X线、CT、MRI 等影像学检查对诊断及后期处理是很有帮助的。
5.对发生水肿的胎儿应进行胎儿心功能的评估。