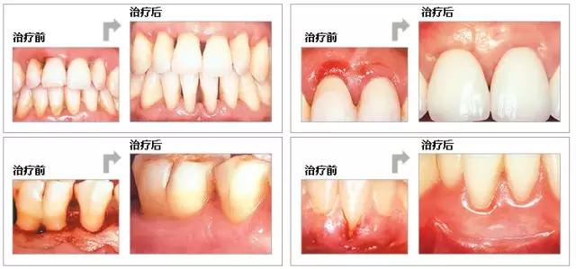
牙周炎是侵犯牙龈和牙周组织的慢性炎症,损坏的牙周组织无法再恢复,所以算口腔里的"不治之症"。
那么什么是可怕的牙周炎?
它的防治更显弥足重要!它是一种破坏性疾病,其主要特征为牙周袋的形成及袋壁的炎症,牙槽骨吸收和牙齿逐渐松动,它是导致成年人牙齿丧失的主要原因。
本病多因为菌斑,牙石,食物嵌塞,不良修复体,咬创伤等引起,牙龈发炎肿胀,同时使菌斑堆积加重,并由龈上向龈下扩延。由于龈下微生态环境的特点,龈下菌斑中滋生着大量毒力较大的牙周致病菌,如牙龈类杆菌,中间类杆菌,螺旋体等,使牙龈的炎症加重并扩延,导致牙周袋形成和牙槽骨吸收,造成牙周炎。


牙周炎的症状,您有几条?
1. 主要表现为牙龈红肿、出血,不仅在刷牙时出血,有时在说话或咬硬物时也要出血,偶也可有自发出血。
2. 牙龈颜色暗红,由于水肿显得比较光亮。
3. 牙周袋形成,在正常情况下,健康牙龈的龈沟深度不超过2mm,超过两毫米则为牙周袋。
4. 牙齿松动,牙周组织支持力量大为减弱时,就会导致牙齿松动。
5. 牙龈退缩也是牙周炎的症状之一,但患者常不易察觉。常伴冷酸敏感!

牙周炎基础治疗
1. 基础治疗:拔除预后差和不利修复的牙,龈上洁治,龈下刮治以清除菌斑,牙石,选用抗菌药控制炎症,咬颌调整等。2. 手术:牙周手术治疗和松动牙固定。3. 修复:永久性修复治疗,手术后2~3个月进行。4. 复查:每半年一次,包括检查菌斑控制情况,卫生宣教,拍片检查,以进一步拟订治疗计划。(注:西医的治疗周期比较长、花费相对高一些,且由于最终需要患者长期坚持良好的自我菌斑控制,因此成功率也会受到影响。)5. 有条件的请在牙周序列治疗后,进行激光牙周治疗,能有效牙周袋深层杀菌,刺激骨组织再生。坚固牙周组织!

日常保健
坚持一日两次刷牙,刷牙方法正确(采用巴氏刷牙法),时间三分钟。对牙缝及隐蔽部位的清洁,我推荐牙线和冲牙器混合使用。
别忘记每年两次拜访您私人牙医,检查,洗牙,作防蛀处理,小问题及时治疗,对于缺失牙应该及早修复;保证充足的睡眠时间,避免过度疲劳;保持心情舒畅,乐观开朗;适量进行体育锻炼;坚持每年定期体检希望大家都拥有一口健康的牙齿哦。

