ACS Appl. Bio Mater.:抗菌电纺百里酚负载聚己内酯垫的体内效应研究
DOI: 10.1021/acsabm.0c00419
由于抗微生物病原体的普遍存在,具有长期抗菌活性的天然产物被认为是潜在的替代品。在这项工作中,合成了平均直径约299 nm、百里酚(THY)负载量为14.92±1.31%w/w的聚己内酯(PCL)电纺纤维。该材料具有较好的断裂伸长率(74.4±9.5%)和拉伸强度(3.0±0.5 MPa),可用作伤口敷料。使用八至十周龄的雄性SKH1无毛小鼠进行了体内研究。通过半定量方法和定量聚合酶链反应(qPCR)评估感染进程。验尸结果表明,THY负载PCL纤维对金黄色葡萄球菌ATCC 25923菌株生长的抑制作用与洗必泰(CLXD)相当。组织病理学和免疫组织化学研究表明,经PCL-THY处理的伤口几乎没有炎症反应。因此,含有天然化合物的伤口敷料可以预防感染,并促进伤口愈合和迅速再生。

图1.体内伤口模型的示意图:1)用直径为8 mm的活检穿孔器和缝合在伤口周围的夹板环对夹板固定的伤口进行手术;2)通过金黄色葡萄球菌(107个菌落形成单位(CFU))的接种来实现感染的诱导;3)通过添加不同的合成垫并覆盖伤口来进行伤口处理。

图2.电纺纳米纤维的表征:A,B)PCL纳米纤维的SEM显微照片和直径直方图(测得的纤维数量=100);C,D)THY负载的PCL纳米纤维的SEM显微照片和直径直方图;E)合成的THY负载PCL纳米纤维的宏观可视化图像。敷料选定部分的直径为1厘米。F)THY负载PCL纳米纤维的百里酚释放曲线。平均值±SD;每个时间点18个数据。

图3.用电纺垫(PCL和PCL-THY组)、游离THY和模型防腐剂CLXD处理的SKH1小鼠的体内伤口感染模型:A)金黄色葡萄球菌ATCC 25923在1、2、3和7 dpi时伤口的演变。插图为实验组和对照组的微生物学结果。NG无增长;(+)轻度细菌生长;(++)中度细菌生长;(+++)大量细菌生长。图中所有伤口的比例尺都相同。B)在实验组和对照组中的微生物qPCR结果。统计信息将PCL-THY、THY和CLXD组与PCL组进行比较。****表示p值<0.0001。

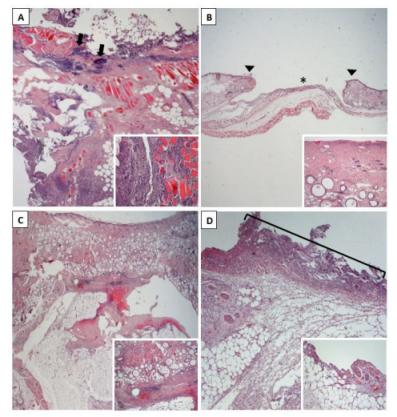
图4.皮肤伤口的组织学分析,3 dpi(感染后天数)的代表性图像。A)PCL组。严重弥漫性坏死性皮炎和脂膜炎。在表层(箭头)观察到了球状细菌簇。插图:炎性反应的细节,肌肉纤维周围有大量淋巴细胞和巨噬细胞;B)PCL-THY组。伤口部分和伤口边缘(箭头)。在暴露的真皮(星号)或皮肤深层中未观察到炎症反应。插图:同一只动物的真皮其他区域无炎症;C)THY组。胰腺中局灶性的,不太严重的炎症反应。插图:深层炎症反应的细节;D)CLXD组。真皮无炎症。暴露的真皮表面呈现出重要的表层凝结性坏死(方括号)。插图:同一动物另一部位的细节,显示没有炎症。苏木精-伊红染色为1x,插图为20x。

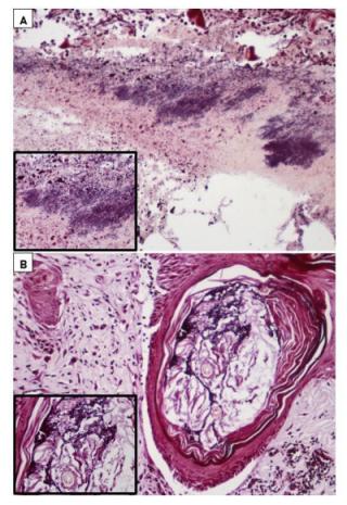
图5.皮肤伤口中的细菌检测。手术感染3天后PCL和THY组的代表图像。由于缺乏细菌,因此未显示出PCL-THY和CLXD基团。(A)PCL组。皮肤表层成簇的球状细菌大量生长并伴有严重的组织坏死。插图:同一动物体内细菌的细节。(B)THY组。毛囊内球状细菌的生长。插图:细菌的细节。革兰氏染色为20x,插图为60x。

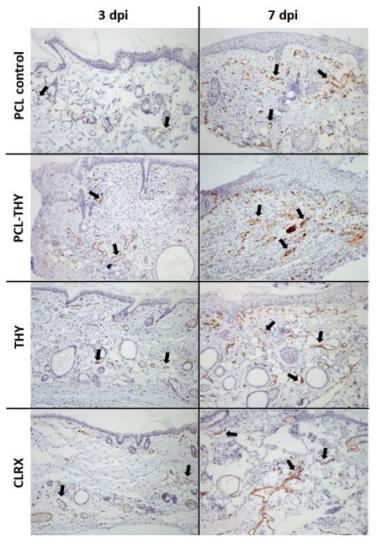
图6.皮肤伤口样本中血管的位置,3和7 dpi的代表性图像。与3 dpi样本相比,所有组在7 dpi时显示血管数量均增加。CD31的免疫组织化学染色,20x。
链接地址:http://www.espun.cn/News/Detail/43247
文章来源:易丝帮