1病 史
患者女性,30岁,闭经、烦渴、多尿5年,视力、记忆力下降6月。实验室检查:尿常规尿比重:1.000 (1.003-1.030),尿渗透压:146mOsm/kg (600-1000),泌乳素1269.0mIU/L (131.0-647.0)。
2影像学检查









答案往下

3影像学表现
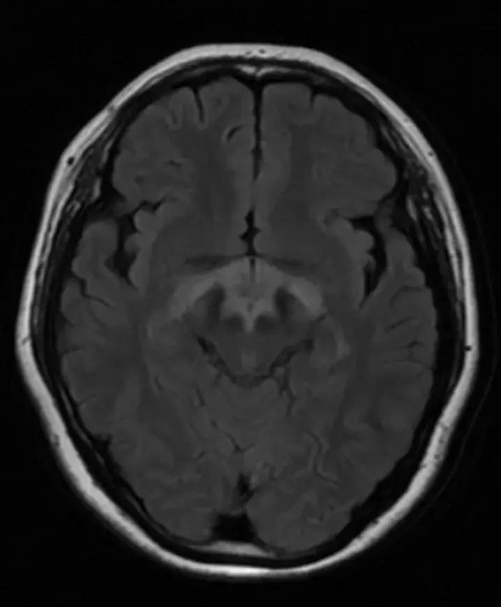
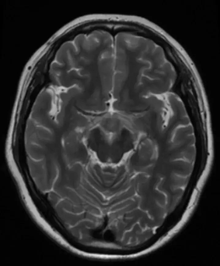
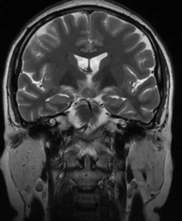
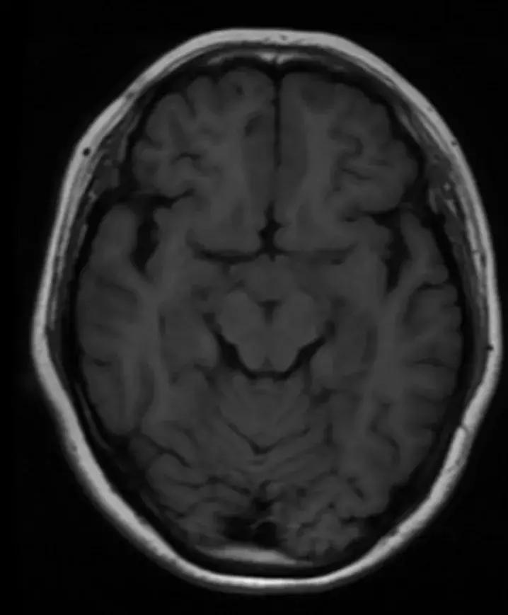
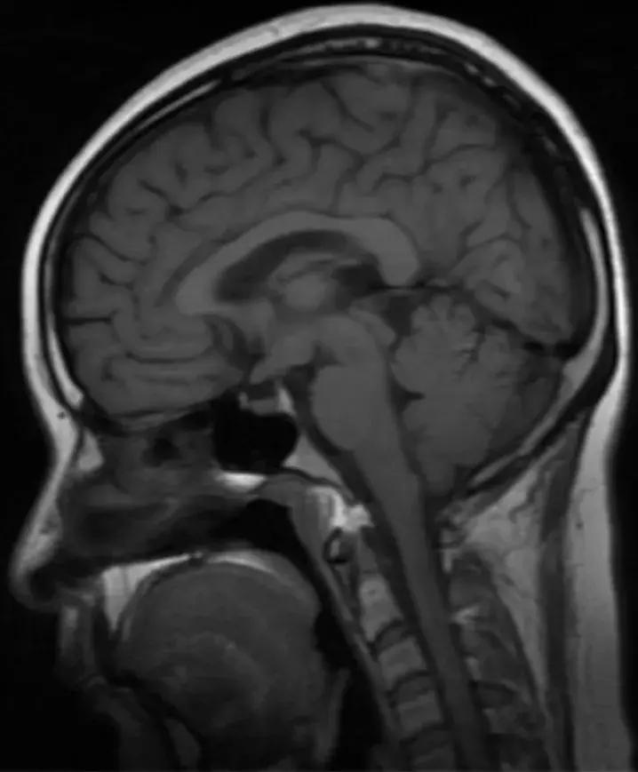
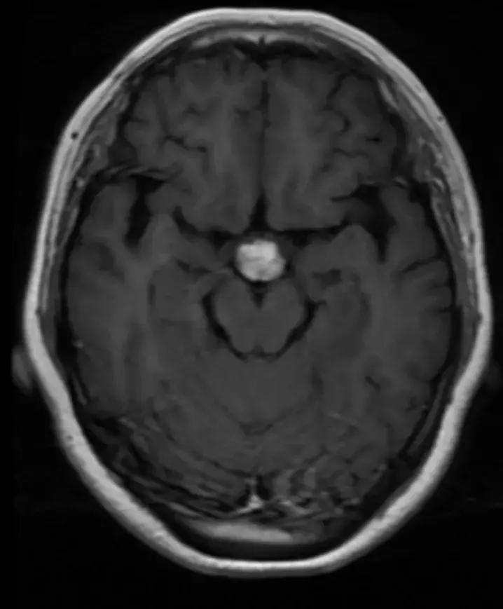
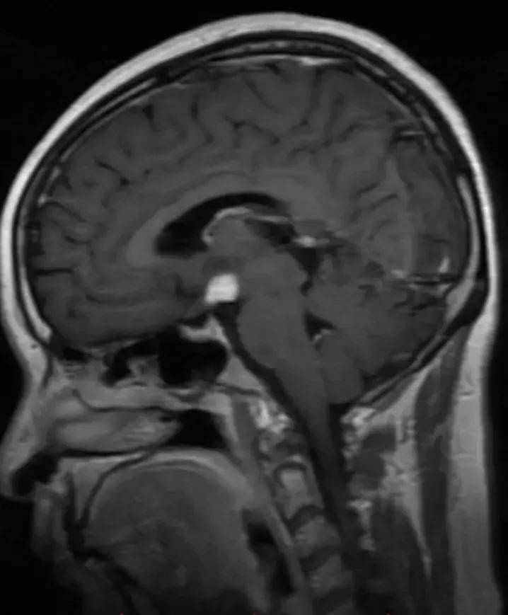
下丘脑见一类圆形异常信号灶,大小约1.6×1.4cm,T2WI呈等略高信号,T1WI呈等信号,DWI呈等信号,增强后明显异常强化,轻度压迫视交叉,FLAR见视交叉及双侧后方视束信号增高。
4病理结果
巨检:灰白灰褐色组织,共计大小3×2×0.5cm,切面灰白色,质韧。
病理诊断:镜下脑实质内见多量淋巴细胞、浆细胞、嗜酸性粒细胞浸润,其间见较多组织细胞、多核巨细胞样细胞增生,结合免疫组化结果,符合朗格汉斯组织细胞增生症。
免疫组化:CD68{KP1}(组织细胞+),CK{pan}(少量+),CD3(部分淋巴细胞+),CD20(部分淋巴细胞+),Ki-67(20%阳性),IDH1(-),ATRX(+),GFAP(部分+),p53{DO7}(少量+),S-100(+),CD1α(滤泡树突+),syn(部分+),Langerin(部分+),CD1a(部分+),TTF-1(-)。特殊染色:PAS(-),抗酸(-),六胺银(-),网染(网状纤维增生)。
5讨 论
朗格汉斯组织细胞增生症(LCH)是单核-巨噬细胞系统的一种反应性克隆性疾病,主要由于病理性朗格汉斯细胞克隆性增殖引起的。此病比较罕见,多见于1-15岁的儿童,也可以发生在成人,发病率约每10万15岁以下的儿童中约0.2-2.0例。男女比例约2-3比1。关于LCH细胞的克隆性增殖是由恶性转化产生还是由免疫刺激引起的仍存在争议。支持LCH是由于外部炎性刺激导致的失控免疫原性反应的证据是病变具有广泛的炎症特征并且经常自发消退。然而,在LCH病变内朗格汉斯细胞的克隆性质和最近发现的BRAF基因突变在超过50%的LCH细胞中的存在高度提示这可能是一个肿瘤过程。该病有80%的病例发生于骨。儿童多见于椎体、长骨和下颌骨,成年人多见于颅骨和肋骨。骨外病变最常见的是皮肤,其次还有淋巴结、肺、肝、脾、内分泌腺和中枢神经系统。
LCH的临床分类,分为单系统和多系统,单系统包括单个/多个器官系统受累、单个/多个骨受累、皮肤、淋巴结、下丘脑/垂体/中枢神经系统和其他(如甲状腺);多系统主要是指≥2个器官或系统受累。LCH累及的器官和系统不同,临床表现不同,骨外表现包括垂体受累(口渴,多尿),甲状腺或垂体轴受累(能量减少,体重增加,嗜睡,冷漠),造血系统受累(嗜睡,苍白,出血病史,心动过速),淋巴结受累(淋巴结肿大),肺部受累(咳嗽,呼吸困难),皮肤受累(紫癜性皮疹/黏膜病变),消化道受累(腹泻,体重减轻,吸收不良症状或便血),乳突受累(听力障碍,慢性耳漏)。
LCH颅内疾病影像表现主要包括:1. 颅面骨,颅底和鼻窦的病变:颅面骨受累最常表现为骨质破坏、肿瘤浸润和向颅内侵犯,受累最多的是颞骨(54%)、穹窿(47%)、眼眶(37%)和眶外面部骨骼(30%)。鼻窦和乳突受累最常见的表现是窦内变浑浊,呈液体或软组织信号,也可伴骨质破坏及强化。2. 颅内/轴外病变:1)脑膜病变:T1WI上等或低信号,T2WI上低信号,可有不同程度的强化,伴或不伴有骨质破坏;2)脉络丛病变:大小超过1/3三角区/平面、光整的钙化、类四叶草表现,后续随访中病灶增大;3)松果体病变:囊变、增大;4)下丘脑-垂体区病变:漏斗柄增粗>3mm伴强化,垂体后叶高信号的缺失,下丘脑肿块。3. 颅内/轴内病变:血管周围间隙和血管周围空间原本是几乎不可见的,LCH患者可在T2WI上可见扩大的间隙,有时会产生占位效应。脑干、脑桥主要是白质脑病样病变(弥漫或斑片状、通常对称,T2WI高信号,T1WI低信号,周围血管分布不清)。小脑白质增强:T2WI高信号,T1WI等信号或低信号,无占位效应。基底节区、小脑齿状核可出现异常信号,T1WI高信号或低信号,T2WI等信号,低信号或高信号。还可导致脑萎缩 。
LCH鉴别诊断主要包括:生殖细胞瘤,炎性假瘤,胶质瘤,淋巴细胞性垂体炎。
LCH治疗方法有手术切除,化疗(长春碱/泼尼松联合治疗是多系统LCH的标准疗法),放疗。LCH预后较好,韩国一项大型的全国性调查研究,收集1986年至2010年共有603例LCH患者,结果显示患者5年生存率:单一系统受累(99.8%),多器官系统疾病,无风险器官受累(98.4%),多器官系统疾病,伴风险器官受累(77.0%)。风险器官包括肝、脾、造血系统、肺。
6参考文献
1. Grana N. Langerhans cell histiocytosis. Cancer Control.2014;21(4):328-34.
2. DiCaprio MR, Roberts TT. Diagnosis and management of langerhans cell histiocytosis. J Am Acad Orthop Surg.2014;22(10):643-52.
3. Weitzman S, Egeler RM. Langerhans cell histiocytosis: update for the pediatrician. Curr Opin Pediatr.2008;20(1):23-9.
4. Prayer D, Grois N, Prosch H, et al. MR imaging presentation of intracranial disease associated with Langerhans cell histiocytosis. AJNR Am J Neuroradiol.2004;25(5):880-91.
5. Chaudhary V, Bano S, Aggarwal R, et al. Neuroimaging of Langerhans cell histiocytosis: a radiological review. Jpn J Radiol.2013;31(12):786-96.
来源:复旦大学附属中山医院放射科