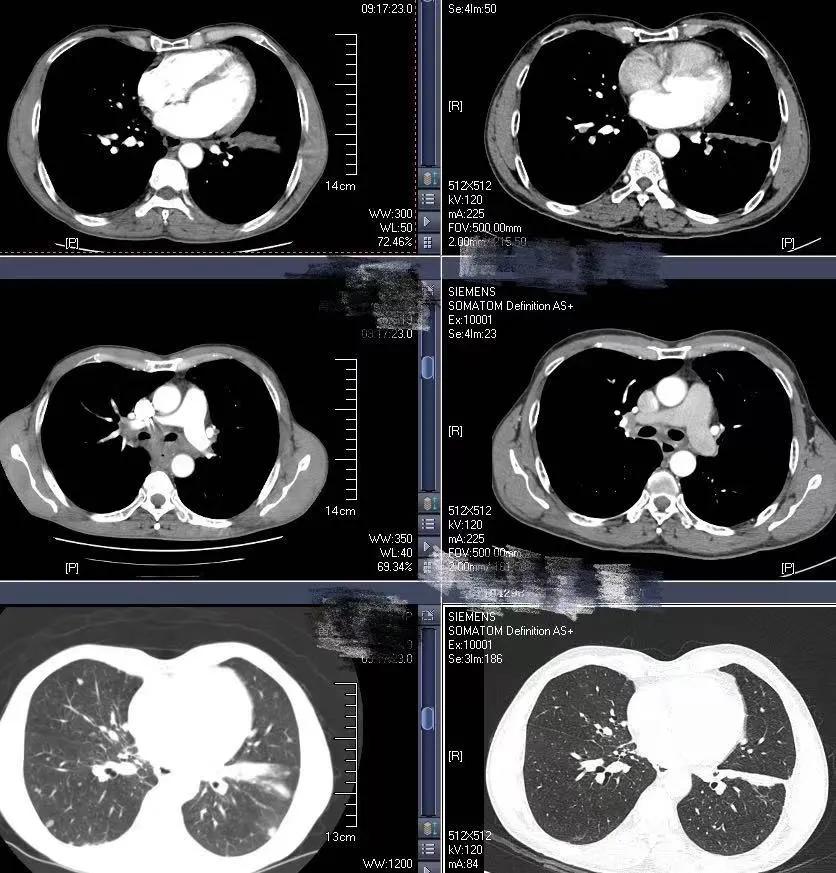
58岁的黄伯伯,平时身强力壮、神采奕奕的,半年前突然感觉腰椎区疼痛,开始没有在意,后来腰部疼痛没有明显缓解,并且出现干咳、少痰不适,于外院CT显示左下肺肿物,为求进一步治疗,遂来到我院门诊就医。

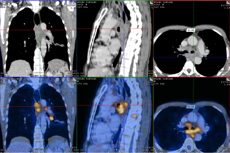
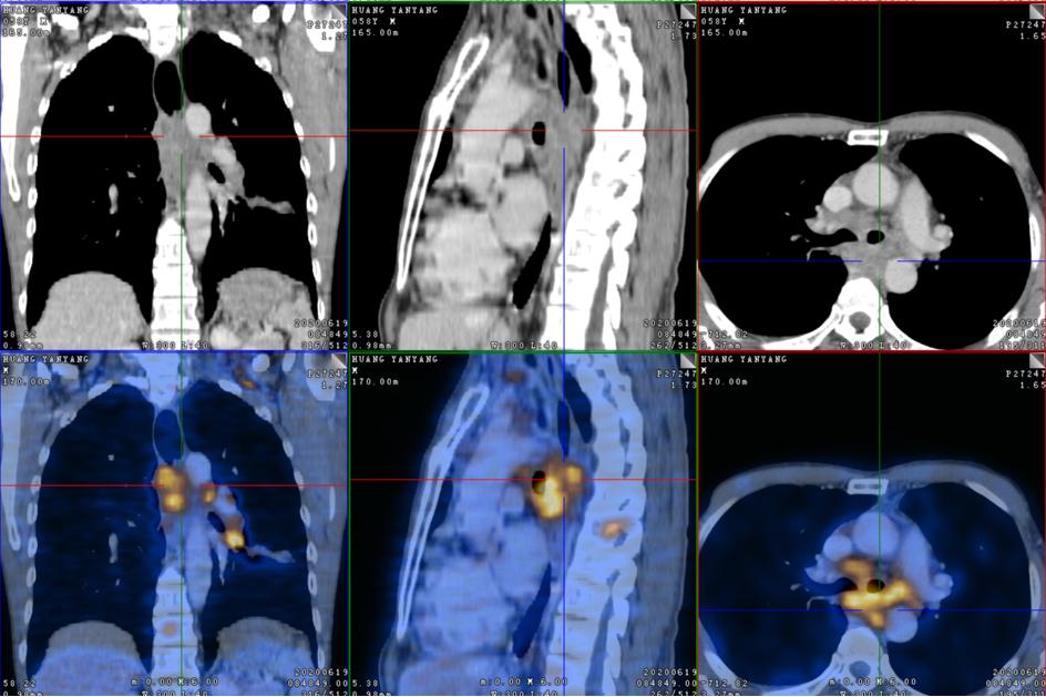
2020-6-19患者行全身PET/CT示:
1、左下肺前内基底段支气管开口处结节,糖代谢增高,考虑中央型肺癌并远端阻塞性炎症、不张;全身(双侧颈部、双侧锁骨上下窝、两侧肺门、纵隔、贲门旁、胰头后方、腹主动脉旁及双侧髂血管旁)多发淋巴结转移;双肺多发转移;肝S4及S5转移;胰头部结节转移;全身多发骨转移;综上,建议活检除外结核。
2、甲状腺双侧叶多发结节,糖代谢增高,不除外恶性肿瘤,建议追踪。左侧肾上腺稍增粗,糖代谢轻度增高,建议追踪。
3、前列腺钙化灶。右侧阴囊钙化灶。
4、心包少许积液。







行纤支镜活检病理示:
(4R)送检血凝块见癌细胞呈巢团状及条索状,组织改变为转移性腺癌,考虑来自肺。 免疫组化结果:CK(+),NapsinA(+),TTF1(+),P63(少量阳性),P40(-),ALK-P(D5F3)(-),ALK-P(Neg)(-),PD-1(-),PDL-1(22C3)(5%+),PDL-1(Neg)(-)。

肺癌组织样本 基因突变检测 (20个基因): 肺癌组织样本基因突变检测图文报告 EGFR L858R 13.65% ,给予 靶向治疗及唑来膦酸骨保护 的治疗,病情好转,疼痛也得到了很好的控制。


骨是肺癌远处转移常见的靶部位之一。48%非小细胞肺癌(NSCLC)和 40%小细胞肺癌(SCLC)患者初诊时即发生骨转移,确诊肺癌到发展为骨转移中位时间为19月,肺癌骨转移第一次发生骨相关事件(SRE)中位时间为9.5月,而骨转移患者中位生存期仅为6-10月,经治疗1年生存率达到40%~50%。
肺癌骨转移以溶骨性转移多见,好发于脊柱和躯干近端,常发生骨转移的病理类型依次为腺癌(35.3%)、 鳞状细胞癌(14.7%)、小细胞癌(31.2%)、大细胞神经内分泌癌(1 8.1%).

随着治疗方法和技术的进步,晚期肺癌患者的5年生存率逐渐提高。患者生存获益的同时,发生骨转移及骨相关事件(skeletal reIated events,sREs)的风险亦随之增高。骨转移常预示患者 生活质量的下降和生存期的缩短,引起的骨相关事件 ,如骨痛、病理性骨折、脊髓压迫、高钙血症及相关治疗带来的痛苦等, 严重影响患者的生活质量。
EGFR突变患者骨转移发生率高于野生患者(32.2%VS.22.8%,P=0.007)。大量研究表明 EGFR基因通路与骨微环境相互作用影响肺癌骨转移 。EGFR突变的肺癌细胞可能对骨组织具有更高的亲和力,更容易发生骨转移。EGFR-TKIs靶向治疗可能是改善患者预后,延长生存时间及骨相关事件发生的有效治疗途径。
骨改良药物目前推荐 双膦酸盐和地诺单抗 (denosumab)用于肺癌骨转移的治疗,无论是否有相应症状,在预防骨相关事件发生方面,患者均可从治疗中受益。
总之,对于肺癌骨转移的治疗,应根据患者的机体状况、肿瘤病理学类型、基因突变、病变累及范围(临床分期)和发展趋势,采取多学科综合治疗(multi-disciplinary therapyJ MDT)模式,有计划、合理地制定个体化综合治疗方案。通过以全身治疗为主(其中化疗、分子靶向治疗、免疫治疗可作为肺癌的抗肿瘤治疗方式)。同时配合合理的局部治疗(比如手术、放射治疗、介入消融等)及可以更好地控制骨转移相关症状,对症止痛治疗可明显改善患者的生活质量。

主要抗肿瘤方法适应症
- 化疗分子靶向治疗免疫治疗:多发骨转移灶
- 镇痛治疗:骨痛
- 骨改良药:诊断明确的骨转移
- 放疗:孤立骨转移灶(体外放射治疗),多发骨转移灶(放射性核素治疗),脊髓外压迫,外周神经肿瘤性压迫或侵犯所致疼痛或功能障碍
- 手术:病理性骨折及脊髓压迫固定术
- 介入治疗:消融治疗骨成形术、近距离治疗
- 心理治疗:出现抑郁或焦虑的患者