
图片来源网络
一些来咨询牙齿矫正的患者,在正畸医师做完检查后说了句:“你这个情况要拔牙。”后,立马表现出惊恐状,“为啥要拔牙?”,并询问医生说:“为啥有的人就不用拔牙,而我要拔呢?”
实际上,牙齿矫正过程中并非每个人都需要拔牙,而在口腔正畸中,关于拔不拔牙通常遵循以下原则:
1. 能不拔牙就不拔牙;
2. 如果需要拔牙,先看坏牙(指已经松动的牙、蛀牙、形态不好的牙等);
3. 再看功能效果相对次要的牙;
4. 拔牙的时候通常上下左右对称,拔4颗;
5. 基本不会拔门牙和最大的恒磨牙,保证美观和功能。
那么,哪些情况需要拔牙呢?
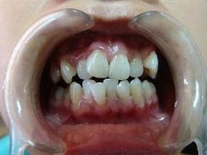
牙列拥挤

图片来源网络
牙列拥挤的患者,因牙量和骨量不匹配,造成牙齿畸形,因此,在矫正牙齿之前需要拔掉一定数量的牙,拥挤度在Ⅱ~Ⅲ度的患者拔牙的可能性较大。
面部前突

图片来源网络
俗称“龅牙”,需要拔除必定数量的牙,获得足够的矫正空间,达到内收前牙、前移后牙的作用,以缓解面部前突,从而使患者面部更美观。
需求矫正咬合关系

图片来源网络
上下牙咬合不对称的患者,需求利用拔牙间隙调整后牙咬合关系,使后牙尖窝交错,咬合接触面积最大,达到最佳的咀嚼效率。
所以说,牙齿矫正不一定都要拔牙,要结合检查结果和患者自身的需求,但如果专业的正畸医师都说要拔,那肯定是需要拔牙的。
【本文来源子和口腔官方公众号:cdzhkq】