导读
医脉神经每周五个工作日都有雷打不动的早餐病例学习,每天3个短小精悍的小case,每天掌握3个知识点。每个群的群主轮流提供早餐病例,感谢各位群主及老师们的辛苦付出,也感谢参与讨论的众多群友。大家思想的碰撞,产生了无数的智慧火花,常在群里逛逛,每天都有新的收获。上周的精彩晨读病例摘选如下。
晨读整理:赵伟,赵莲花
感谢为晨读三分钟病例提供、整理、审校的团队:赵尧辉、秦虹霞、马松华、张乐国、王赏、王玉林、谭小林、刘锋昌、郭阳、张敏、杨笑、赵昊天、许丹丹、梁新明、申永国、黄波涛。
病例1
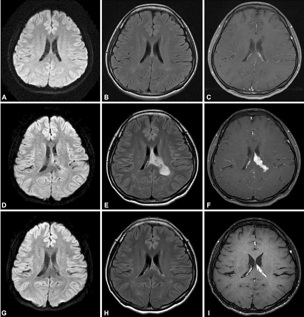
患者30岁,女性,头痛6天。既往类固醇类药物治疗Kikuchi’s 病史,患者入院后胸部CT证实肺结核。脑脊液细菌、分枝杆菌和真菌染色和培养结果均为阴性,但脑脊液结核分枝杆菌聚合酶链反应(PCR)呈阳性,确诊结核性脑膜脑炎。患者在开始使用地塞米松、利福平、乙胺丁醇、异烟肼、吡嗪酰胺和莫西沙星治疗后病情好转。两周后出院,除了轻微头痛,全部症状消失。依次为轴位DWI,FLAIR和钆增强T1加权图像。A-C:初始发病时显示弥漫性软脑膜增强。D-F:抗结核药物治疗后5周出现严重头痛时的随访影像,显示左侧脉络丛炎。G-I:第6个月的随访图像,显示病变明显改善。

答案:矛盾反应。
结核病患者在开始治疗后,临床或放射学上原有病变的恶化或出现了新病变被称为矛盾反应(paradoxical reaction,PXR)。由于PXR可能被误诊为耐药状态或治疗失败,导致结核病的治疗混乱。这个病例的PXR表现为脉络丛炎,在此,期望临床医师提高对这种情况的认识。PXR与宿主免疫应答反应、分枝杆菌产物直接作用有关。
TB得到有效治疗后,结核菌被迅速杀灭后释放大量结核蛋白和胞壁产物,这些蛋白、磷脂、多糖引发超敏反应,出现局部毛细血管扩张、炎性细胞渗出、聚集,进而造成原本不活跃的结核病灶扩大,从而出现相应的临床或影像表现。神经影像学表现包括基底渗出物增加,新发的或恶化的结核瘤以及视神经炎或脊髓炎。渗出严重可以影响阻塞脑脊液回流,导致颅内压升高,以及脊髓疾病,甚至可以以尿潴留为首发症状。矛盾反应危及生命或致残时,需要使用高剂量的糖皮质激素等免疫调节药物治疗。
病例2
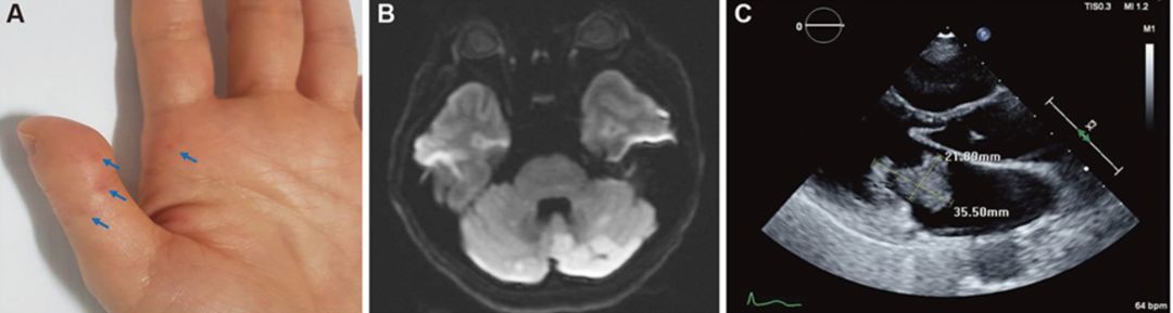
患者50岁,女,突发构音困难,眩晕、左侧肢体外旋,体检发现双手掌侧小(<1毫米)无痛性皮疹,患者12年前小脑后下动脉区梗死。患者12年前在小脑后下动脉区域有梗塞。既往心脏3.5厘米的粘液瘤术后9年。

答案:长期复发性心脏粘液瘤相关复发性脑梗死。
➤ A:左手掌面Janeway病变。在拇指和手掌的掌侧有数个红色斑皮疹(箭头)。
➤ B:DWI可见双侧小脑均多处弥散受限,多为小脑后下动脉区。
➤ C:患者经食管超声心动图示左心房3.5 cm大小粘液瘤。
Carney综合征是一种罕见的遗传性疾病,最早由J Aidan Carney在1985年首先描述。作为一种罕见的多发性内分泌腺瘤综合征,其特征为皮肤和黏膜表面出现独特的色素沉着、心脏和心脏外出现粘液性肿瘤,以及多发性内分泌肿瘤。多发性内分泌肿瘤、皮肤及心脏累及是本病的基本特点。心脏粘液瘤是猝死的重要原因。其临床表现复杂多样,缺乏特异性,误诊率较高。全身症状主要有嗜睡、疲劳、发热、食欲低下、痛性红斑、体重减轻等。诊断困难时,经食管超声和MRI有一定帮助。
病例3
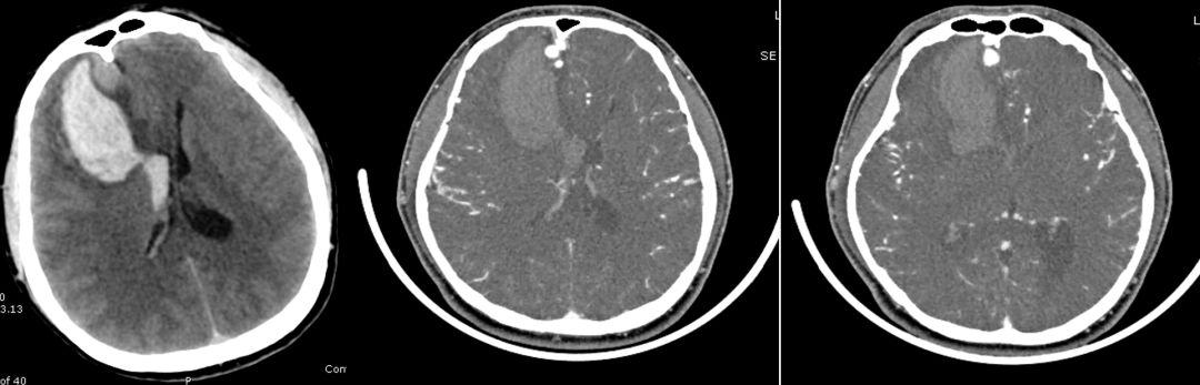
男性,37岁,头痛4天。既往体健。

答案:右侧额部动静脉瘘。
患者右侧额部血肿破入脑室,患者青年男性,既往体健,非高血压脑出血的常见部位。出血原因考虑动静脉瘘,前交通动脉瘤等。患者增强CT可见增粗的静脉血管影,考虑右侧额部动静脉瘘,患者经过DSA证实,见下图:

病例4
女性,77岁,言语不清3天。

答案:脑梗死,嗜酸性粒细胞增多症。
患者老年女性,双侧多动脉流域脑梗死,老师们都想到了特鲁索综合征,嗜酸性粒细胞增多症等。从形态学上更趋向于嗜酸性粒细胞增多症,特点是都在皮层,病灶连续,类似于缎带。急性多发性脑梗死(AMIMC)被认为提示存在心源性栓塞或全身性凝血功能亢进。AMIMC的发生机制或同时发生的机制尚不清楚。ADC的发现提示AMIMC通常是逐渐发生的,全身性炎症可能与AMIMC的发病机制有关。该患者证实为嗜酸性粒细胞增多症。值得提醒的是,嗜酸性粒细胞增多症有很大一部分是某些疾病症状,如变态反应性疾病、寄生虫感染、皮肤病、结缔组织病以及肿瘤等,还有一部分是特发嗜酸性粒细胞增多综合征。治疗方案也不同,继发性以去除病因为主,原发性可能需要使用激素和干扰素等。
病例5
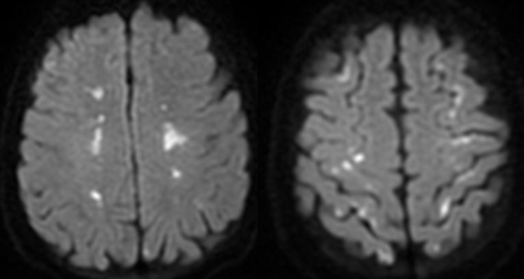
女性,33岁,突发肢体抽搐4小时。

答案:脑梗死,继发性癫痫,心房粘液瘤。
本患者影像与上一例有相似之处,也是多发。区别是本患者是青年卒中,且局限于左侧,梗死分布于大脑前中、前后动脉交界区,呈串珠状,考虑混合型分水岭梗死。青年卒中病因比较繁多,需要进行筛查,下图列出了青年卒中的常见病因:

病例6
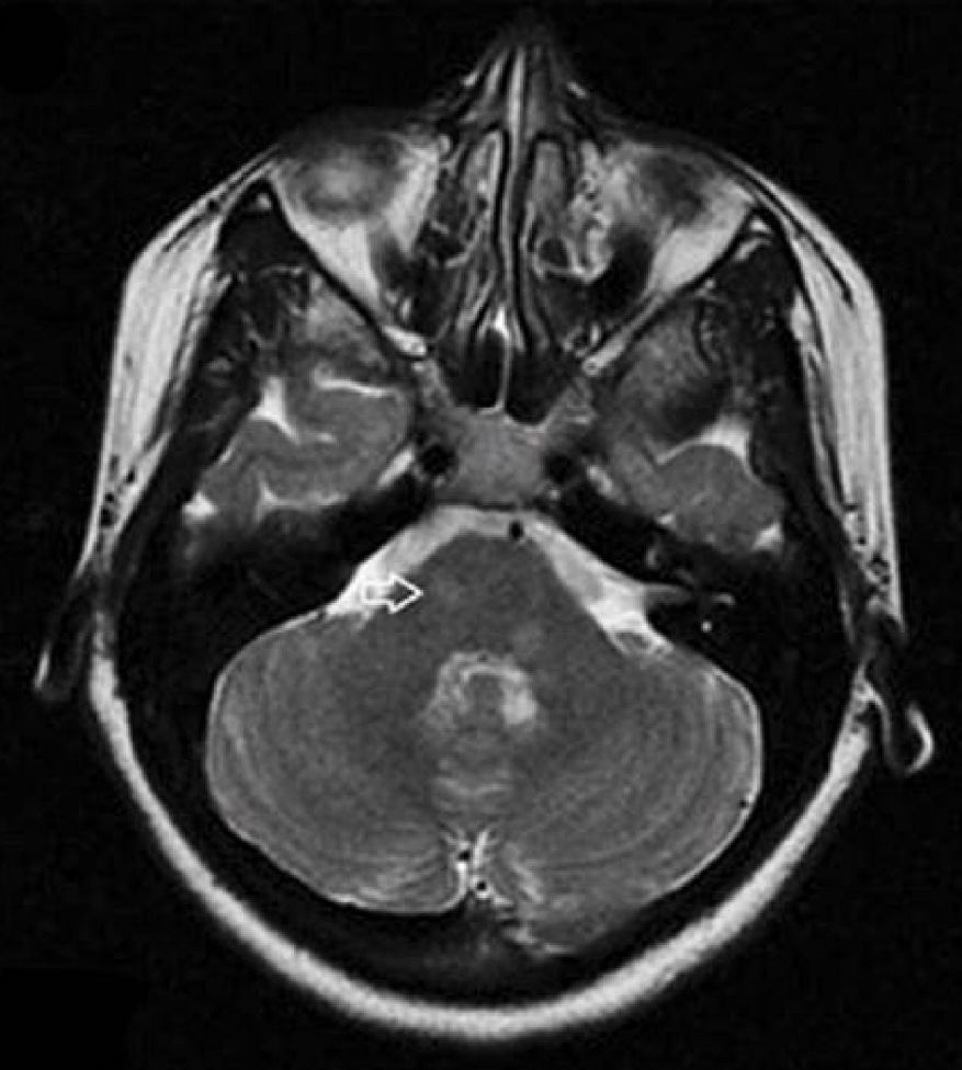
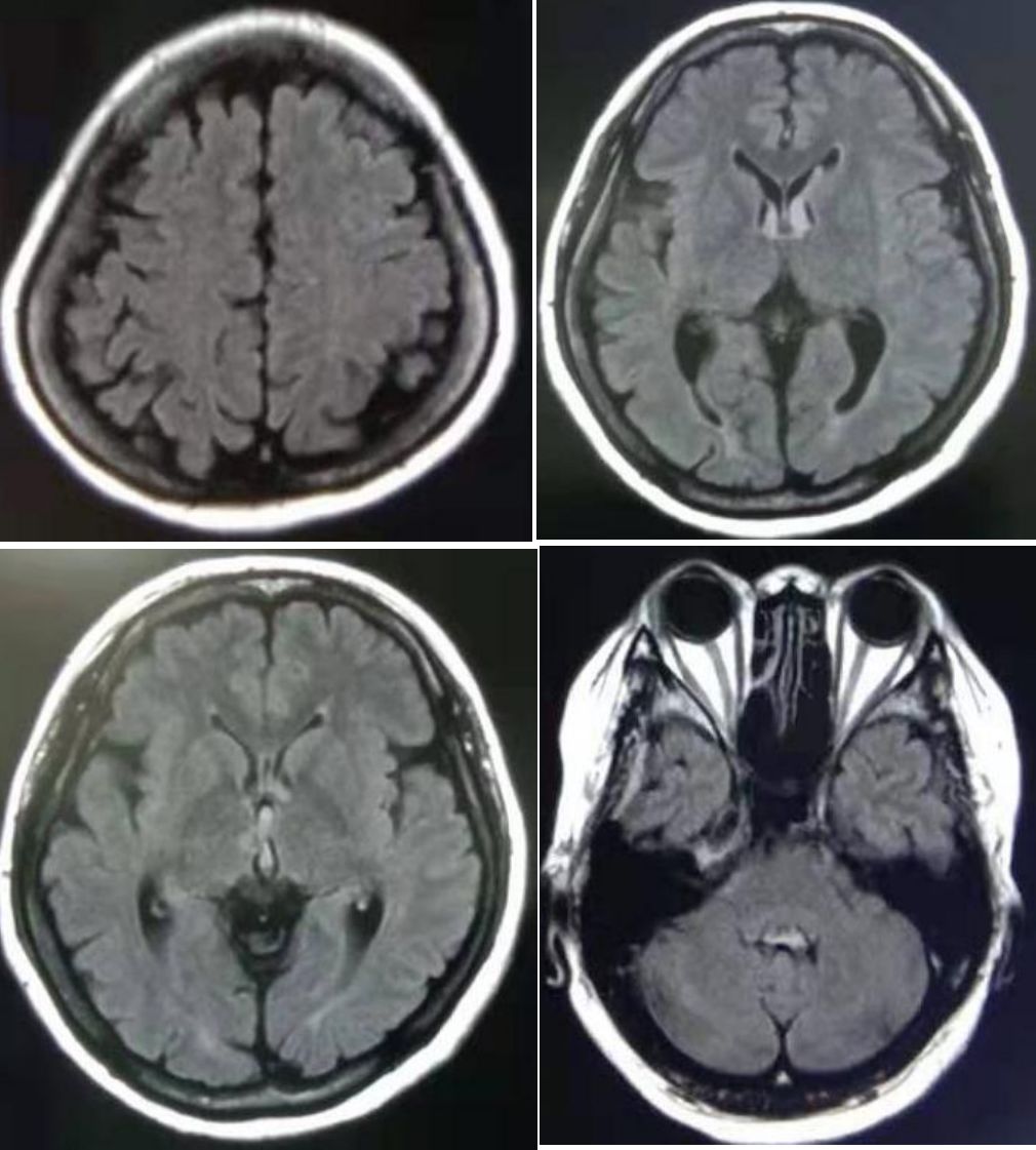
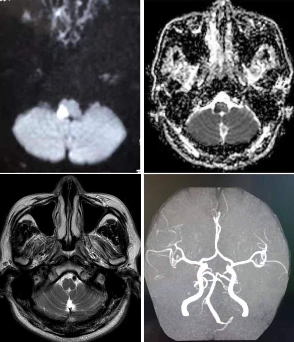
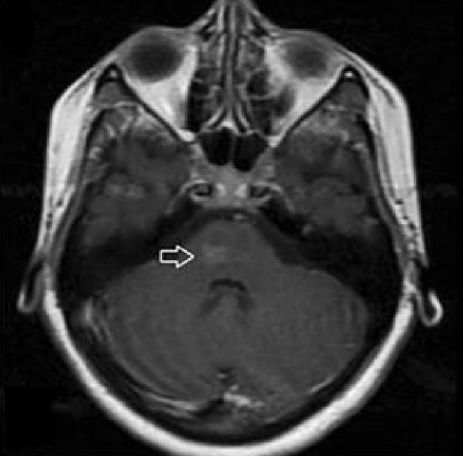
28岁,女性,口唇颜面麻木。头MRI如下:

激素冲击5天后减轻,次年复查MRI见下图,病灶外形、大小等特点无变化。

答案:颅内毛细血管扩张症(Intracranial capillary telangiectasia,ICT)。
ICT是胚胎时期毛细血管胚芽发育异常而形成的畸形血管团,显微镜下表现为一堆扭曲、扩张的薄壁微血管。一般无症状,通常是在现的一种血管畸形,常见于脑桥基底部和小脑,不需要治疗。诊断要点:
➤ T2WI、FLAIR序列点状或结节状高信号。
➤ 由于缓慢流动的血液中存在脱氧血红蛋白,在GRE上呈低信号。
➤ 呈“毛刷状”或“点状”增强。
➤ DSA多无阳性发现。
需要和动静脉畸形、静脉性血管畸形、海绵状血管瘤、肿瘤转移、创伤等鉴别。
病例7
42岁,女性,突发意识模糊、语言障碍、右侧偏瘫及感觉障碍入院, 入院血压217/75mmHg CT未见异常。急诊MRI见下图(A-C):溶栓半小时后出现症状加重,复查头颅CT示右侧放射冠和豆状核血肿。5周后复查头颅MRI见下图(D)。

答案:可逆性后部脑病综合征(PRES)变异型。
PRES表现为癫痫发作、意识障碍、头痛、视力障碍和可逆性皮层下血管源性水肿。PRES在之前的晨读三分钟多次出现过。可分为:顶枕型;全脑分水岭型;额上沟型;中央变异型。其中中央变异型少见,约占4%。常见病因有:恶性高血压;妊娠和围生期子痫、子痫前期;各类严重肾脏疾病;器官组织移植后应用免疫抑制药物及细胞毒*药性**物;肿瘤化疗药物等。鉴别诊断有:脑梗死、静脉窦血栓形成;可逆性脑血管收缩综合征;急性播散性脑脊髓炎;肾上腺脑白质营养不良等。
病例8
男性患者,23岁,牙科术后急起手足麻木刺痛。Lhermitte sign阳性。

答案:笑气中毒。
笑气中毒现在大多数都可以想到,首先这样的患者在增多,有的老师一个门诊可以见到2-3个笑气中毒,其次,本病例在医脉神经的普及下变得too simple。笑气,即一氧化二氮(N2O)是一种无色有甜味的气体,中枢神经系统主要作用于N-甲基-D-天冬氨酸(NMDA)阿片受体并间接抑制T型钙离子通道,产生麻醉和镇痛作用,早期常被用于牙科手术的麻醉和止痛。吸入N2O可以抑制内啡肽的释放,产生短暂的愉悦体验,使人发笑,俗称“笑气”。
N2O滥用的毒性作用主要分为神经损害症状和精神症状,神经损害如脊髓病、周围神经病、亚急性联合变性;精神症状如情绪变化、谵妄、精神错乱和认知功能障碍,其中以神经损害为表现者占多数,以颈胸段脊髓后索病变为甚。毒性主要因其不可逆的结合维生素的钴原子,导致B12的氧化失活。长期滥用或短时间内大量吸入N2O可导致和维生素B12缺乏类似的神经损害(运动纤维和感觉纤维多同时受累,运动轴索更易受损);MRI可见脊髓横断面倒V形高信号影。治疗上首先是停止接触N2O,补充足量的维生素B12,补充蛋氨酸、叶酸等作为辅助治疗。
病例9
男性,79岁,2月前因急性心梗行支架手术,术后饮食差。

答案:韦尼克脑病。
本病例难度系数一般,临床上不罕见。患者既往有反复呕吐、纳差及饮酒病史,影像表现以乳头体、 第三脑室、 丘脑背侧核、 中脑导水管周围对称性分布的Flair高信号为主时均应想到本病。合并微出血是韦尼克脑病的另一特征,临床医生怀疑本病时应行SWI序列扫描,以与 NMO、低血糖脑病等进行更有效鉴别。
病例10
女性,52岁。头痛、恶心、呕吐4小时入院,既往有高血压、糖尿病。

答案:烟雾病。
好多老师认为脑室出血,不理解为什么是烟雾病。患者本次入院行MRA及CT平扫图像如下:

烟雾病和烟雾综合征的临床表现复杂多样。脑缺血最为常见,可表现为短暂性脑缺血发作(transient ischemic attack,TIA)、可逆性缺血性神经功能障碍(reversible ischemic neurologic deficit,RIND)或脑梗死,其中TIA常由情绪紧张、哭泣、剧烈运动或进食热辣食物等诱发。自发性颅内出血多见于成年患者,主要原因是烟雾状血管或合并的微动脉瘤破裂出血,以脑室内出血或脑实质出血破入脑室最为常见,也可见基底节区或脑叶血肿,单纯蛛网膜下腔出血较少见。神经功能障碍与脑缺血或颅内出血部位等相关。其他临床表现还包括认知功能障碍、癫痫、不随意运动或头痛等。
病例11
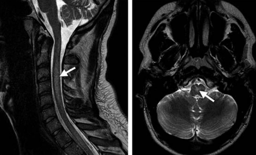
男性,50岁。“吞咽困难、右侧肢体无力4天”入院。查体:右侧Horner征+, 咽反射消失。右侧共济运动不稳。

答案:特殊类型延髓梗死——Opalski综合征。
Opalski综合征的临床表现为延髓背外侧综合征(即Wallenberg综合征)伴有同侧肢体轻偏瘫,曾被认为是延髓背外侧综合征的变异。定位于延髓背外侧中下部。MR影像上除延髓背外侧表现为DWI高信号外,肢体轻瘫同侧的小脑后下动脉和(或)椎动脉闭塞较具特征性。本病例旨在提醒大家,若患者出现显著吞咽困难伴有偏瘫时,不要忘了病灶可能在偏瘫同侧,这对选择性动脉溶栓很有指导意义。
病例12
男性,18岁, 主诉:突发头痛头晕伴右侧肢体麻木半天。

答案:上矢状窦血栓,左额叶静脉性梗死。
患者CT示左侧上矢状窦扩张,左侧颞顶叶小片出血,周围水肿,考虑静脉窦血栓,上矢状窦血栓。DSA见下图:

病例13
70岁,男性,主诉:发热1周,失语、双下肢无力(走路需人搀 扶)2天。既往高血压病史,否认服药。腰穿脑压正常,白细胞30个,全淋巴细胞,脑脊液生化正常。

答案:乙型脑炎。
本患者病灶分布在双侧基底节、丘脑、中脑。影像支持乙脑。双侧丘脑、中脑受累是乙脑特征性影像学表现。几乎所有病例都有双侧丘脑中脑的病变,病灶一般在T1 -FLAIR上呈低信号, 在T2WI上呈高信号。需要与以下疾病鉴别,如肿瘤、Wilson 病、瑞氏综合症、线粒体脑病(如Leigh病)、缺氧缺血性脑病、丘脑梗死以及Wernicke 脑病等。
病例14
男性,49岁,发热5天,后出现癫痫发作多次,发作后持续意识障碍。查体颈部强直。入院后脑脊液白细胞9600*10^6/L,糖1.1mmol/L,蛋白1.35g/L,多核比例90%。发病前期CT正常,发病1月后复查MRI如下:

答案:化脓性脑膜炎,远隔性小脑出血。
本例患者有一定难度,患者脑脊液化验结果支持是化脓性脑膜炎。但是患者的小脑有出血,好多老师不了解其中的关系。这是远隔性小脑出血(Remote cerebellar hemorrhage)。远隔性小脑岀血可发生在多种神经外科手术后,如动脉瘤夹闭手术、颞叶切 除、肿瘤切除术、颅内血肿引流术后,也可在椎管手术、腰椎穿刺后发生,准确发生率尚不清楚,相关文献报道为0.8%~5.0%。目前多数学者认为RCH发生机制为颅内压变化学说,即颅内压骤然下降或升高,可使脑组织移位,脑血管牵拉撕裂。出血可能是单侧或双侧,多为表浅实质出血,典型CT表现为小脑表面沟弧线状高密度影,此表现称为“斑马征”。
病例15
看图识病:

答案:肢带型肌营养不良。
值得注意的是肢带型肌营养不良可以表现为翼状肩胛,但是翼状肩胛可以由多种原因引起。翼状肩胛最常见的病因是前锯肌麻痹,不太常见的原因是斜方肌和菱形肌麻痹,以及斜方肌和菱形肌损伤、肩袖病变等。
文献来源:
[1] https://doi.org/10.3988/jcn.2019.15.4.578
[2] https://doi.org/10.3988/jcn.2019.15.4.591
[3] Seon Hwa Lee, Sak Lee, Geu-Ru Hong, and Chi Young Shim. Carney complex: Cardiac and extra-cardiac features. EHJ 2019.
[4] Malhotra K, Ortega L (2013) Central pontine myelinolysis with meticulous correction of hyponatraemia in chronic alcoholics. BMJ Case Rep. doi: 10.1136/bcr-2013-009970.
[5] Tamrazi B, Almast J. Your brain on drugs: imaging of drug- related changes in the central nervous. 2012. 32(3): 701-19.
[6] 董明睿,王丽,孙青等,一样化二氮所致周围神经病的神经电生理特点[J].中国神经免疫学和神经病学杂志,2019,26(2):116