2018年11月26日,全球首款TRK*制剂抑**Larotrectinib(LOXO-101)的震撼上市,成为癌症疗法从“基于癌症在体内的起源”转向“基于肿瘤的遗传特征”这一演变过程中的重要里程碑。这款不分癌症种类的广谱抗癌药开启了肿瘤治疗的新篇章,具有划时代的意义。
刚刚,FDA加速批准了全球第三款广谱“治愈系”抗癌药Entrectinib(Rozlytrek,恩曲替尼,RXDX-101)上市,用于治疗成人和儿童患者神经营养原肌球蛋白受体激酶(NTRK)融合阳性、初始治疗后局部晚期或转移性实体肿瘤进展或无标准治疗方案的实体瘤患者,以及ROS1阳性非小细胞肺癌(NSCLC)患者。
这是FDA第三次批准基于不同类型肿瘤的常见生物标志物的癌症治疗,而不是肿瘤起源的身体部位。PD-1的获批和TRK*制剂抑**的成功,为不区分肿瘤来源广谱抗癌药物快速发展奠定了基础,让梦想照进现实!

上市历程
我们先来回顾下这款药物从研发到上市的光辉历程:
2017年5月,Entrectinib于被FDA授予突破性治疗指定(BTD),用于治疗成人和儿科患者的NTRK融合阳性,局部晚期或转移性实体肿瘤,这些患者在既往治疗后进展或无可接受的标准治疗。
2019年2月19日,FDA接受广谱抗癌药entrectinib(恩曲替尼,RXDX-101)的新药申请(NDA),并授予该药治疗患有神经营养性原肌球蛋白受体激酶(NTRK)融合阳性,局部晚期或转移性实体肿瘤的成人和儿童患者的优先审查(FDA对确定有可能在严重疾病的治疗,预防或诊断方面提供重大改进的药物给予优先审查)。其中包括先前的治疗后进展或在没有可接受的标准治疗的转移性ROS1阳性(融合)非小细胞肺癌(NSCLC)患者的初始治疗。对这个药物不了解的患者可以详情点击:横跨十大癌症,广谱抗癌新星Entrectinib(RXDX-101)获FDA优先审批!
2019年5月,ASCO新闻中播出了恩曲替尼震撼肿瘤界的数据。最新entrectinib的I / II期研究显示,所有携带神经营养性酪氨酸受体激酶(NTRK),ROS1或间变性淋巴瘤激酶(ALK)融合的儿童肿瘤类型对治疗的响应率高达100%(完全缓解和部分缓解)!包括难治的中枢神经系统中的肿瘤!这个数字是史无前例的,相信给儿童肿瘤患者打开了一扇全新的希望之门。震撼!抗癌新药Entrectinib最新数据公布,有效率100%!有望今年上市!
2019年6月,恩曲替尼获得了日本厚生劳动省(MHLW)的批准,抢先于美国FDA,首次获批,用于治疗NTRK融合阳性,晚期复发性实体瘤的成人和儿童患者。同时,这款药物也有了自己的大名,Rozlytrek。
横跨十大癌症,客观缓解率57.4!
此次获批,是基于关键的Ⅱ期临床试验STARTRK-2、I期研究STARTRK-1、I期研究ALKA-372-001的53例ROS1激活基因融合患者和54例局部晚期或转移性NTRK融合阳性实体瘤患者的数据。此外,还纳入了在儿科患者中开展的I/Ib期研究STARTRK-NG的数据。
综合分析的结果显示:
1)在NTRK融合阳性实体瘤患者中,entrectinib(恩曲替尼,RXDX-101)的客观缓解率ORR(肿瘤缩小)为57.4%,并且在横跨10种不同类型肿瘤中均观察到了客观缓解(肿瘤缩小)。存在脑转移的患者中,entrectinib的颅内客观缓解率ORR为54.5%,其中超过1/4实现完全缓解(病灶全部消失)。
2)在局部晚期或转移性ROS1阳性非小细胞肺癌NSCLC患者中,临床试验结果表明,在51名ROS1阳性NSCLC患者中,总缓解率达到78%,完全缓解率达到5.9%。在肿瘤缩小的40名患者中,55%患者的缓解持续时间超过12个月。值得一提的是,这些患者包括20名(占总入组患者的37.7%)未治疗和治疗的伴有脑转移患者,反应率为55%!

关于恩曲替尼一定要了解的五个问题
1
药品信息

通用名:Entrectinib
获批适应症:治疗NTRK基因融合阳性的晚期复发实体瘤的成人和儿童患者,以及ROS1阳性非小细胞肺癌(NSCLC)患者。
研发公司:由生物制药公司Ignyta研发,2017年年底被罗氏耗资17亿收购。
作用机制:
恩曲替尼是一种具有中枢神经系统活性的酪氨酸激酶*制剂抑**(TKI),能够穿过血脑屏障,是临床上唯一一种被证明针对原发性和转移性脑疾病具有疗效的TRK*制剂抑**,并且没有不良的脱靶活性(off-target activity,未达到预先设定的目标);
可以阻断ROS1和NTRK激酶活性,并可能导致ROS1或NTRK基因融合的癌细胞死亡。
上市时间及国家:
2019年6月18日,经PMDA批准在日本上市
2019年8月18日,经FDA批准在美国上市
剂型:口服胶囊100/200mg
2
哪些患者可以使用?
这个靶向药不仅疗效显著,还是广谱抗癌药物,对很多不同肿瘤都有效!这也这个药品这么吸引眼球的原因。
在实验中,这些患者肿瘤类型包括10种不同的肿瘤:结直肠癌,非小细胞肺癌,胰腺癌,软组织肉瘤,乳腺癌,甲状腺癌,神经系统肿瘤,妇科肿瘤,分泌型乳腺癌,胆管癌。
即使是标准治疗方案失败,也可以尝试进行基因检测,一旦存在NTRK1、NTRK2或者NTRK3基因融合,或者肺癌患者存在ROS1阳性,就可以使用这款有效率超高的“治愈系”抗癌药。
3
关于NTRK基因
NTRK(NeuroTrophin Receptor Kinase)是神经营养因子受体络氨酸激酶。原肌球蛋白受体激酶(TRK)家族包括 TRKA、TRKB 和 TRKC 三种蛋白,它们分别由 NTRK1(约占45%)、NTRK2 (约占2%)和 NTRK3 (约占53%)基因编码,这些蛋白通常在神经组织中表达 。
其中肺癌常见的是 TPR-NTRK1融合。耐药突变可能是:NTRK1 G595R 和 NTRK1 G667S突变,婴儿纤维肉瘤中常见的是 ETV6-NTRK3。

上面是NTRK基因家族,包含NTRK1、NTRK2和NTRK3,这个基因如果和其他的基因发生了融合突变,那么就导致了异常的活性,驱动了肿瘤的发生。通常不与其它致癌驱动因子(如 EGFR、ALK或ROS1)同时存在。

4
重点!如何检测NTRK基因融合
这款药的上市,无疑让山重水复疑无路的晚期患者多了一份希望,但是想使用这款“治愈系”神药有个硬性条件,必须含有NTRK基因融合,并且只能是融合,NTRK突变或扩增都不适合。
目前,有多种方法可用于检测NTRK基因融合,但是推荐使用二代测序,因为癌细胞中可能发生许多类型的基因改变。主要类型包括:
基于DNA的改变
1) 碱基替换
2) 插入或缺失
3) 拷贝数变异
4) 重排
基于mRNA的改变
mRNA可以在癌症中存在或不存在。当存在时,它们有时会“过度表达”(表达水平高于正常水平)。通常检测DNA水平突变更容易,而如果要检测ALK,ROS,NTRK等近两年靶向研究突破重大的融合突变,则需要在mRNA水平上检测才更为准确。
此外在检测NTRK融合的时候,还需要检测其耐药的位点,比如:TRKA出现G595R突变,TRKB出现 G639R 突变或者TRKC出现G623R突变等,一旦出现耐药,可以考虑使用针对这些耐药突变的二代NTRK*制剂抑**。
因此,二代测序最具优势。
由于融合基因检测难度较大,建议患者选择权威的大公司进行检测,避免假阳性及假阴性结果出现(可致电医学部获取基因检测公司排名400-666-7998)
5
副作用有哪些?
对于肿瘤药物,一个大家很关注的问题是:毒副作用严重么?
药物的安全性和有效性同样重要,患者的生活质量和生存时间同样重要的。
最常见的不良反应包括疲劳,便秘,味觉障碍,水肿,头晕,腹泻,恶心,感觉迟钝,呼吸困难,疼痛,贫血,认知障碍,体重增加,呕吐,咳嗽,血肌酐增加,关节疼痛,发烧和肌肉痛。
免费用药攻略快收藏!
这是继拜耳的拉罗替尼(Larotrectinib)之后全球第三款广谱抗癌靶向药,但,目前国内均未上市。
国内NTRK患者只能选择出国购买,但费用高昂,以拉罗替尼为例,每瓶售价超过23万元人民币,再加上诊断、交通等费用,大部分患者只能汪洋兴叹。
如果说有什么比“无药可治”更让人绝望的,那就是有特效药,但却买不到!买不起!
全球肿瘤医生网联合相关机构开展“同情用药”项目,即日起,符合以下条件的患者,通过全球肿瘤医生网向香港申请同情用药,就有机会获得恩曲替尼免费药品。注意,本项目的药品免费!
百万元NTRK特效药恩曲替尼免费领!
同情用药(compassionate use)
又称为又叫扩展性用药,是近年来欧美逐步推行的项目,临床医生、药企可以向药品监管机构提出申请,允许临床研究之外的身患绝症或无药可救的某一患者使用在研药物。
本项目针对NTRK基因融合的实体瘤患者,涵盖了肉瘤、非小细胞肺癌、乳腺癌、肠癌、胆管癌、其他妇科肿瘤、胰腺癌等十种不同类型的癌症患者。
药品名称:Entrectinib,Rozlytrek,恩曲替尼
适应症:用于治疗神经营养性酪氨酸受体激酶(NTRK)基因融合阳性的晚期复发实体瘤成人和儿童患者。
所以,你还在等什么,快去看看你的基因检测报告有没有这些可能带来生存奇迹的突变吧(需要解读报告或咨询基因问题,可以致电全球肿瘤医生网医学部400-666-7998)
注意:
- 本项目药物免费,但患者需要自费承担香港医生诊断、服务咨询、来往交通等费用。
- 本项目药品为项目特供用药,确保是药企原厂正版,包装与市面上已上市的药品略有不同。
- 项目申请与咨询请致电全球肿瘤医生网医学部400-666-7998
- 本项目解释权归全球肿瘤医生网所有。
“愈见奇迹”恩曲替尼带来的持续改善和完全缓解
01
这个小男孩已经没时间了。他的脑肿瘤发展得非常快,以至于他已经无法正常的说话了。他几乎尝试了所有的治疗方案,但不幸的是所有标准治疗都失败了。
去年夏天,孩子开始服用一种实验药物,针对肿瘤内部发现的罕见基因突变NTRK融合。几个月内,恶性增长开始缩小,他的认知症状得到缓解。很快,肿瘤几乎消失了。现在他还在接受治疗,但已经回到学校并且正常生活。
这名儿童是最早从罗氏获得的实验性治疗中受益的患者,这种药物名为entrectinib(恩曲替尼 RXDX-101),它在一些最难治疗的儿童肿瘤中显示出前景,包括脑中生长的肿瘤。
02
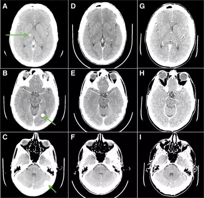
2013年的一个艳阳天,一个抽了30年烟的45岁大叔迎来晴天霹雳,IV期肺腺癌。他的双肺都有肿瘤,胸壁上还有一个用手都可以摸得到的5厘米的肿瘤;更糟的是,CT显示他的脑部已经有有15-20个左右的转移灶(有些太小了,有的连在一起,具体多少个数不清楚了,还未出现临床症状),做了肺癌常见的EGFR、ALK、ROS-1、C-MET、RET基因检测后,都没有突变……
他开始尝试四种不同的方案,卡铂+培美曲塞、长春瑞滨、多西他赛)以及救活了美国总统的逆天“神药”PD-1(keytruda),然并卵,病情继续恶化……
在主治医生的建议下,他做了全基因组测序,终于发现了一个罕见的突变(阳性率大约是千分之一):SQSTM1-NTRK1突变,

那个年代,国内估计还没几个人知道这个基因,它是NTRK家族基因重排中的一种,NTRK基因目前已经发现的有3个,NTRK1、NTRK2、NTRK3。
当时在国内外都还没有针对这个靶点的药物上市,但是美国就是好啊,新药研发就是多啊,大叔很幸运的入组了针对这类突变的新药Entrectinib(小名叫做:RXDX-101,中文名恩曲替尼)的临床试验。
接下来就是见证奇迹的时刻:
大叔每天以400 mg / ㎡口服,三周后,疼痛和呼吸困难症状消失,不在需要吸氧,并且,全身的肿瘤缩小46%,胸壁5公分的病灶已看不到摸不到!脑部肿瘤大部分消退;吃药5个月,症状不断改善,全身的肿瘤缩小77%,脑转移完全消失!!!

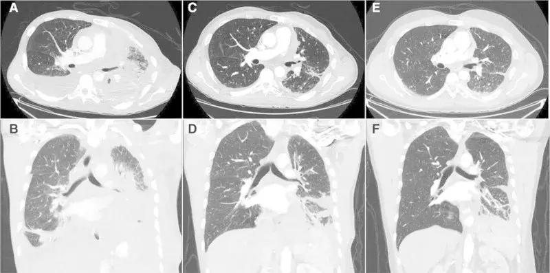
第26天(C,D)和第155天(E,F)胸部图像,肿瘤缩小77%!

吃药前箭头指的都是肿瘤,20几个,吃药26天(DF)大部分消失, 吃药155 天(GI)肿瘤完全消失!
案例还有很多,不在此一一列列举了。就像LOXO-101和PD-1,我们希望这些广谱的抗癌药能尽早在国内上市,进入医保,造福更多的癌症患者!
结语
我们正处于癌症治疗创新的激动人心的时代,越来越多区分癌症种类的抗癌药的研发上市,将肿瘤治疗带入了覆盖全癌种的全新精准治疗时代,这有可能改变癌症治疗。FDA的快速审查途径,包括突破性治疗指定和加速批准程序,正在支持这些肿瘤药物开发的这一创新以及癌症患者更有针对性和有效治疗的发展。基于我们对癌症潜在生物学的日益了解,相信我们离攻克癌症的那天越来越近!
附:以下六是美国癌症研究协会列出的除keytruda外,6种值得期待的不区分组织来源的重磅抗癌药物及研发进展:
