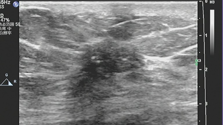
彩超已成为乳腺疾病筛查的重要手段,乳腺癌的发病越来越年轻化,很多人都是触摸到硬块才来医院做检查,其中大部分都良性的结节,有少部分是乳腺癌。
那么,来说说乳腺癌的超声表现吧。
1、肿块多呈不均质的低回声,没有包膜,后方回声可衰减。

2、肿块不规则,会有分叶情况,典型的有“蟹足状”。

3、边界不清,毛刺状边缘。

4、高大于宽,即是纵横比大于1。

5、有微小钙化。


6、肿块内血流丰富,不规则,多为高频、高阻血流。


此外,要注意腋窝淋巴结的扫查。

彩超已成为乳腺疾病筛查的重要手段,乳腺癌的发病越来越年轻化,很多人都是触摸到硬块才来医院做检查,其中大部分都良性的结节,有少部分是乳腺癌。
那么,来说说乳腺癌的超声表现吧。
1、肿块多呈不均质的低回声,没有包膜,后方回声可衰减。

2、肿块不规则,会有分叶情况,典型的有“蟹足状”。

3、边界不清,毛刺状边缘。

4、高大于宽,即是纵横比大于1。

5、有微小钙化。


6、肿块内血流丰富,不规则,多为高频、高阻血流。


此外,要注意腋窝淋巴结的扫查。
