前言: 肺部占位若是气管镜做不到的地方,考虑肺癌又没有拿到病理依据,直接手术又怕如果良性不甘心。这时最主要的手段是PET-CT检查或肺穿刺活检。但PET仍无法达到肯定能确诊的程度,穿刺才是病理诊断。可在临床实际当中,穿刺也存在假阴性(假阳性基本不可能)。那么这穿刺是不是一定要做呢?什么情况下该做,什么情况下不必要做?如果穿刺了是阴性结果,可以放心让病人出院休养吗?今天,我们通过一个病例的来说明下自己对这个问题的看法:
金华的某A,今年73岁,男性。检查发现右上肺占位,肿瘤筛查指标正常,血常规与CRP正常,临床有反复咳嗽、咳痰2年余(考虑慢支的关系,近期也许同时有病灶的影响)。一年前还在外院做过支气管镜,也未见确切异常。我们先来看他这次的胸部CT图像:

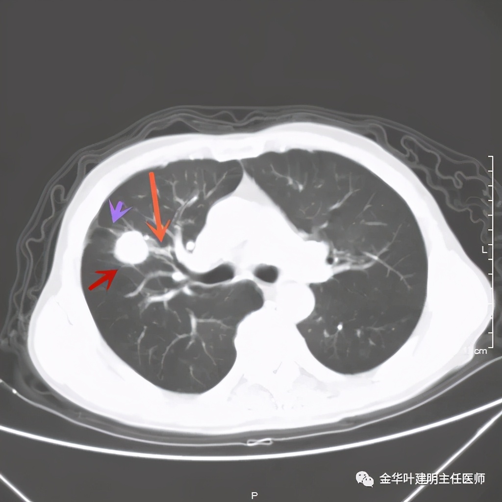
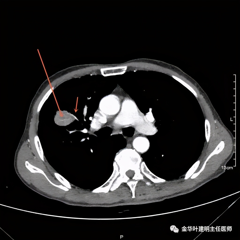
上图示病灶

上图桔色箭头示血管进入病灶,较粗;紫色箭头示病灶与胸膜间似乎有所牵拉;红色箭头示病灶

上图桔色箭头示血管进入;红色箭头示病灶

上图示病灶边缘不太光整,内部密度不太均匀

上图紫色箭头示叶间胸膜受牵拉,病灶边缘部分见到细毛刺

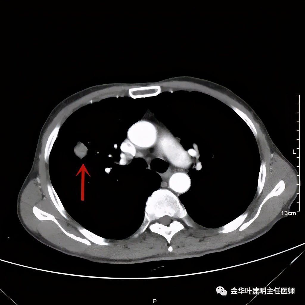
上图示纵隔窗实性

上图示纵隔窗密度不均

上图示纵隔窗病灶有膨胀性,内部有强化较明显的条索状(新生血管?)

上图示纵隔窗病灶表面欠平整,中间有小空洞,密度不均,局部似有坏死(空洞旁边)

上图示病灶快要消失的层面
这样的病灶从影像上看,首先是要考虑肺癌的,而且较为典型。医生先给做了气管镜,但未见到肿瘤病变,刷检结果如下:

找到轻中度核异质细胞,要说确定肺癌还依据不够一点。因为病灶较大,若要手术,基本上应该肺叶切除的,所以当时他科主管医生与患方沟通后又进行了肺穿刺活检:

上图黄色箭头示穿刺针进入的地方,位置还是非常好的,应该容易穿到有价值的病变组织。但穿刺结果未见肿瘤:

病理不支持!怎么办?是抗炎治疗了先出院随访,还是仍手术?如果穿刺阴性仍予以手术,感觉穿刺失去了价值;如果不手术放回去,这样影像表现的病灶能放心认为是慢性炎吗?患者家属找到我,问我的意见,应该如何。我们先再来看看病灶的影像细节:

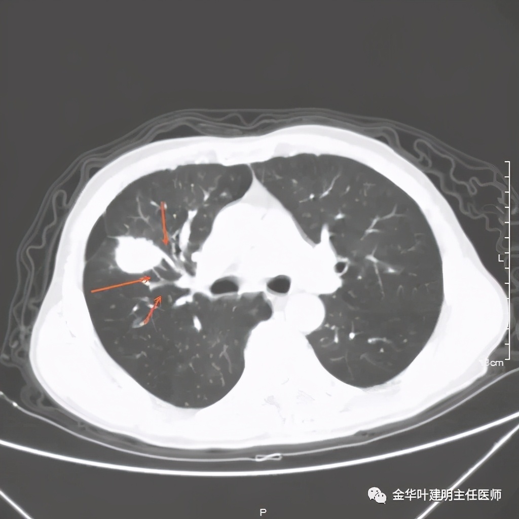
上图是穿刺时的某个层面,病灶的细毛刺征比较明显(蓝色箭头),病灶的边缘是不平的,而且有细短的毛刺样突向周围肺组织,这可是恶性的特征

桔色箭头示病灶周围血管征明显,有较粗的血管进入病灶,较细的也有

上图箭头示强化的血管与病灶关系密切,而且有被病灶侵犯影响的感觉,部分界限是不清楚的

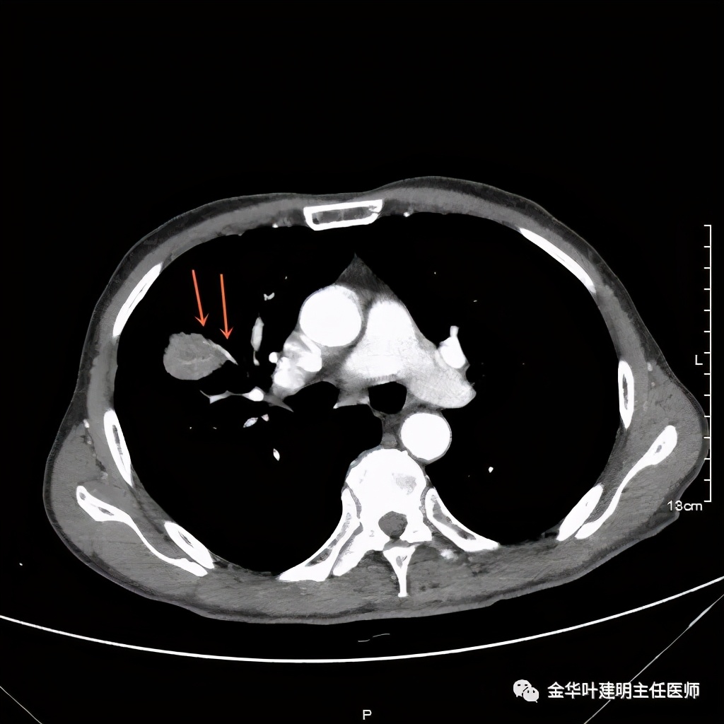
上图紫色箭头示明显的叶间胸膜牵拉,红色箭头示病灶,中间还有空腔,边缘有细毛刺,感觉上病灶就是有收缩力而僵硬的

上图示病灶内部有条索状的强化影,考虑是病灶内的新生血管可能性大

上图也见细毛刺,但不是特别广的范围,有的边缘还是相对比较光滑了点

上图示病灶强化不等,表现不平,中间有空洞,空洞旁边有偏低密度区(坏死?)

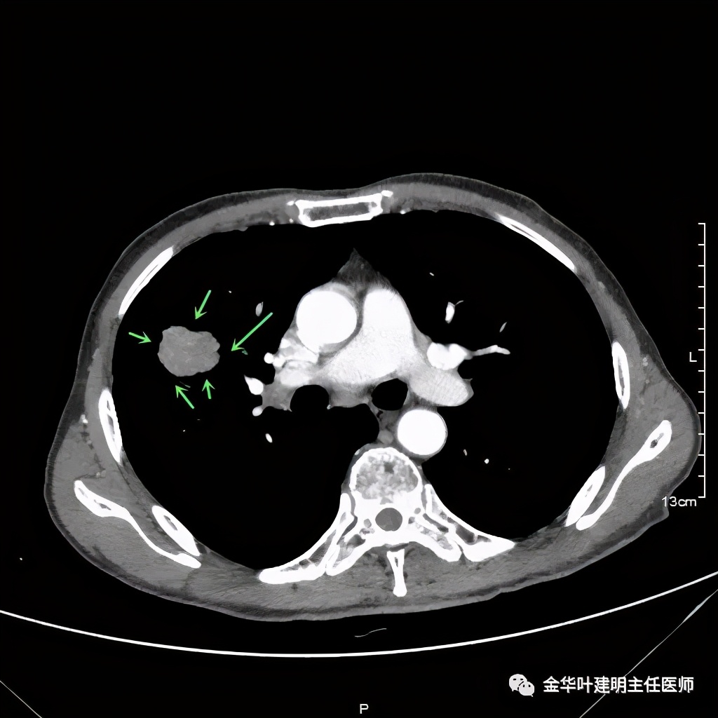
上图示病灶膨胀分叶,表面不平,像个土豆

上图示病灶密度不均,有偏低密度的区域

上图黄色箭头示空洞形成,病灶表面不平
从影像的细节上看,有许多的影像表现是恶性的征象,这样的病灶我是认为必定恶性的,即使肺穿刺阴性!应该是假阴性,或者说,肺穿刺活检阴性并不足以让我认为它可排除肺癌,而是高度怀疑该阴性是假阴性。仍强烈建议手术切除,可以直接做肺叶切除并清扫淋巴结。患方接受了我的建议,头天刚办理出院的,次日又到我们科办理了住院手续。完善相关检查后,我们很快为其进行了“单孔胸腔镜下右上叶切除及淋巴结清扫术”,手术顺利,术后大体肉眼看就是典型的肺癌,中间坏死空洞,肿瘤质硬,收缩力强,表面不平,切面鱼肉样。术后病理确认是浸润性腺癌,下面是石蜡病理报告:

那么今天引出的话题是:肺占位到底要不要穿刺活检?如果影像表现典型,相关检查没有确切远处转移,穿刺后确认是肺癌,需要手术治疗;穿刺后阴性,因影像上仍考虑肺癌,不手术也不放心,特别是实性的病灶,恶性程度相对会高些,所以基本仍宜手术,即使暂不手术,也得非常短的时间就要复查,无吸收好转还是得手术。尤其实性占位的话,观察随访还可能延误病情,导致转移从而失去根治切除的机会。近日在专业群里还有同道发了一篇肺穿刺增加胸膜种植转移机会的文章:

我英文水平太差,也怕阅读本文的大众也不一定看得懂,我用有道词典翻译了下,得到如下信息:

这篇文章主要想回答"术前肺穿刺活检是否会增加胸膜种植(复发)”这一问题。结果揭示术前经胸肺活检与肺癌胸膜复发增加和55岁以下患者生存期减少相关。所以作者提醒早期肺癌的诊断中要谨慎应用经胸穿刺活检。而且经皮肺穿刺活检伴随并发症高达38.89%,其中气胸是最常见的并发症。
我觉得现在凡事讲循证依据,其实有时候只想想也是这么回事。肺癌的转移方式包括种植转移,这是确定的,本来在肺实质内的病灶,你弄个针穿穿破,途经正常肺实质、脏层胸膜、胸膜腔、壁层胸膜、胸壁肌层、皮下组织层、皮肤层这么多结构,理论上肯定就可能会导致肿瘤被带到病灶外面来,这个路径中都可能会脱落或种植转移,这是显而易见的,但就得有对比研究,有证据,有数据!唉,怎么说呢?
那么是不是肺穿刺活检就没有存在的必要呢?那也不是,而且是非常好的一种诊断手段。只是个人以为,要注意以下几点:
1、肺穿刺活检最合适的适应证是:已经确定不适合手术,但浅表或其他方法取不到组织做病理诊断。这时候肺穿刺活检一方面得以病理确诊(假阴性可再穿刺),二来可基因检测等用以指导后续保守治疗方案的选择。
2、肺穿刺活检相对合适的适应证是:虽可手术的病灶病人坚决不手术的,穿刺才能确诊类型以指导后续治疗。
3、肺穿刺活检可选的适应证是:病灶影像表现不典型,位于非外周部位,是否恶性真的难以判断。若直接手术需切除范围广,比如肺叶切除。此时若能在术前明确可以帮助医患双方下定决心手术或短期观察随访。
4、肺穿刺活检不宜采用的包括:(1)影像表现非常典型,恶性可能性很大,穿刺假阴性也无法除外的;(2)位于肺外周部位的病灶,能直接楔形切除的。这时候肺穿刺是恶性仍是要手术,不能确定恶性病灶放着仍担心事,局部楔切非常方便,创伤小,又去除病灶,兼具诊断与治疗双重作用。当然若影像已经基本可断定良性的,并不一定要穿刺或手术干预,只需随访关注;(3)结节过小,比如亚厘米,穿刺相对有难度,容易取不到病灶关键的部分的;(4)病灶靠近肺门部,或大血管,风险高的,或者位置不佳,进针角度有困难的。
(此处已添加医疗卡片,请到*今条头日**客户端查看)