
中国有句老话——“是药三分毒”。
但对癌症患者来说,也别无选择,基本每天都在吃药,除了抗癌药,还有护肝护胃护心药,增强免疫力的保健药,止疼药......
这些药天天吃,时间长了,到底会对患者的身体有什么影响?
这不,就在最近举办的2019年 世界肺癌大会(WCLC)上,来自四川华西医院的宫友陵教授公布了一项“别出心裁”的研究成果:长期服用EGFR*制剂抑**(靶向药),患者的脑部结构可能会受到影响,甚至导致认知障碍!
EGFR突变是我国非小细胞肺癌患者最常见的驱动突变,在不吸烟的女性患者中,阳性率高达60%。EGFR阳性的患者,有众多靶向药可以选用,如一代药(易瑞沙/特罗凯/凯美钠)、二代药(阿法/达克替尼)、三代药(奥希替尼)。以这些靶向药为核心,适时搭配化疗+放疗等,不少晚期患者可以活到3年甚至更长。
毫无疑问,靶向药对肺癌患者的利,是远远大于弊的。

当然,也正是“活得久”,医生和患者也都更关注生活质量,我们还得“活得好”。因此,越来越多的研究集中于分析药物的不良反应以及研发相应的处理方案。
对EGFR*制剂抑**来说,最常见的不良反应主要是皮疹、腹泻、肝功能异常等,一般都是轻微且容易处理的。但是,随着用的人多了、用的时间长了,偶尔也会碰到一些少见甚至罕见的副作用,同时也渐渐有专家开始关注一些平时被忽略的重要脏器和关键功能,比如对大脑功能的影响。
由于EGF和EGFR相关信号通路,在胎儿神经系统的发育中发挥了重要作用,在神经系统损伤以及认知功能障碍中也有一席之地。因此,华西医院的专家设计并开展了这项别出心裁的研究:
临床设计 :从2010年到2017年,在华西医院接受EGFR靶向治疗的778名晚期肺癌患者中,找出了75名确诊时没有脑转移、明确没有其他可能会影响大脑功能的基础病(脑血管病、高血压、糖尿病等)、没有酗酒史、没有接受过脑部放疗等可能干扰分析的肺癌病友。这75名病友在服药前、服药1年、服药2年时均有脑部核磁(MRI)图像。
临床数据 :宫教授团队对这75名患者进行了深入系统的分析,重点关注的是脑白质的病变和重量、脑灰质的体积等。他们发现,与服药前相比,绝大多数患者脑白质丢失的程度,在服药后明显加重;如果用行业内公认的量表进行打分,基线时脑白质丢失的平均程度是6.68分,服药1年后脑白质丢失的平均程度是8.65分,服药2年后脑白质丢失的平均程度是10.11分——而既往的神经内科学相关研究已经表明,脑白质丢失会导致患者痴呆以及认知功能障碍。
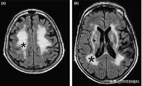
此外,该研究团队还在部分患者的脑部MRI片子上看到了服药一段时间后,脑白质区域出现了明显的异常信号(下图黑色*符号圈出了具体位置)。

与此同时,宫教授带领的团队,也发现相比于服药前,患者长期服药后,右枕叶、左枕叶以及左侧基底节区的脑灰质体积明显下降(下图黄色符号圈出了受影响的区域);既往研究显示:这些区域的脑灰质与认知功能等重要的大脑功能密切相关。

这项研究,由于客观条件的限制,并未对这75名患者进行实打实的痴呆和认知功能评分(这项工作正在开展中,不久就会给出初步的结果);但是,脑部MRI已经给出了强烈的提示:长期服用EGFR靶向药的病友,要警惕脑部认知功能障碍这个通常不被重视的潜在的副作用。
参考文献
1. 2019 WCLC #OA11.02# Changes of Brain Structure inAdvanced NSCLC Patients Receiving EGFR-TKIs: Dynamic Analysis Based on SeriesMRI Images
2. Nucleotidesequence from the neurogenic locus notch implies a gene product that shareshomology with proteins containing EGF-like repeats.Cell. 1985 Dec;43(3 Pt 2):567-81.