医脉通编译整理,未经授权请勿转载。
导读
本文患者输尿管损伤继发于乳腺癌转移。患者在经子宫切除及双侧卵巢切除术后发现输尿管损伤。随后行腰大肌悬吊输尿管再植修复术,并在输尿管残端中发现乳腺癌转移灶。
由于缺乏连续的纵向血液和淋巴液供应,肿瘤输尿管转移很少见。胃、乳腺、膀胱和前列腺肿瘤是最常转移到输尿管的原发肿瘤,约8%的肿瘤输尿管转移来自乳腺癌。盆腔手术后输尿管的医源性损伤比较常见。本文为肿瘤输尿管转移背景下医源性损伤的首次报道。
病例简介
患者女,42岁,经腹腔镜子宫切除术和双侧输卵管卵巢切除术后出现左输尿管损伤(图1),PET扫描(正电子发射计算机断层显像)发现骨盆有大量放射性物质。PET扫描结果及乳腺癌病史,显示患者具有子宫内膜癌和卵巢转移的高风险。患者肿瘤为ER阳性(雌激素受体),HER2/阴性(人表皮生长因子受体2),伴腹膜种植转移,并向腹部、胃、子宫和卵巢广泛转移。

图1 逆行肾盂造影发现尿漏(箭头)
手术经过
初期为处理尿漏,医生放置了输尿管支架,希望能解决问题。然而几个月后,输尿管仍持续渗漏。当时患者预期寿命大于2年,且功能状态良好,因此决定通过更换支架进行手术修复。
医生选择了开放手术入路。即使有输尿管支架存在,但由于先前手术的致密粘连、肿瘤和炎症反应,找到输尿管仍然是一大挑战。
找到输尿管后,医生将其横切至瘢痕和渗漏部位近端,为使输尿管能连接膀胱,进行了腰大肌悬吊。这样可获得约4cm的长度,从而成功将支架重新植入输尿管,而不会拉紧膀胱。术后6周医生将输尿管支架取出,超声随访显示无支架、肾积水存在。
病检结果
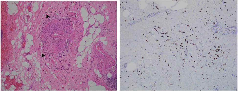
病理检查显示输尿管标本为浸润性恶性肿瘤,与乳腺小叶癌表现一致(图2),癌细胞主要位于输尿管壁内。病理报告进一步显示此段输尿管尿路上皮呈良性,肿瘤细胞为ER阳性,HER2/阴性。

图2 左图,(H&Ex10)高倍镜显示输尿管周围纤维脂肪组织和淋巴管(箭头)中转移的肿瘤细胞;右图,雌激素受体免疫组化染色显示肿瘤细胞变色(棕色)
小结
肿瘤输尿管转移的方式多种多样。大多数时候,输尿管转移是无症状的。大约一半的患者会出现背痛,三分之一的患者会出现血尿。尽管只有不到10%的乳腺癌患者会出现转移,但在诊断后三年内,近50%的局限性肿瘤会复发。当转移至输尿管时,大多数患者会在其他部位发生转移,通常需要全身治疗。
输尿管的转移性疾病,使得输尿管在子宫和卵巢剥离过程中更容易受到损伤。在医源性损伤后,采用腰大肌悬吊输尿管再植进行彻底修复。与支架置换相比,这种持久的修复可提高生活质量,有助于维持左肾功能,并为患者将来的化疗提供帮助。
医脉通编译整理自:Cassandra Levitske, Kiran Gollapudi, Sophia Pak, et al. Repair of iatrogenic ureteral injury secondary to breast cancer metastasis. Urology Case Reports. Volume 28, January 2020, 101024