女性每个月都会排卵一次
错过了排卵期
想要怀孕就只能是等待下次排卵

监测排卵的方法
基础体温监测、排卵试纸监测和B超监测
其中 B超监测排卵 是最准确的方法

通过 卵泡监测 可以理解卵泡发育情况、预测排卵时间,对于诊断不孕不育和指导女性怀孕都有很多帮助。

今天市中医医院超声科的医师们将为大家讲讲超声仪器是如何监测正常月经周期的卵泡及子宫内膜的变化。
咨询电话:15181498422
咨询地址:市中医医院门诊三楼
卵泡监测什么时候做?
1.月经规则的女性: 监测时间应在月经周期第9-10天左右(即排卵日前3-5天左右)。经期规律的女性,排卵日一般是在月经前14天左右。
2.月经不规则的女性: 卵泡监测应该从月经第3天至30天进行,隔天或持续长程监测。由于卵泡期与月经期不能确定,所以监测时间要提早。
卵泡监测适宜人群
1.想了解自己排卵情况的正常人群
2.卵巢早衰引起的不孕症患者
3.内分泌因素引起的不孕症患者
4.多囊卵巢综合症引起的不孕症患者
5.习惯性流产的女性不育患者
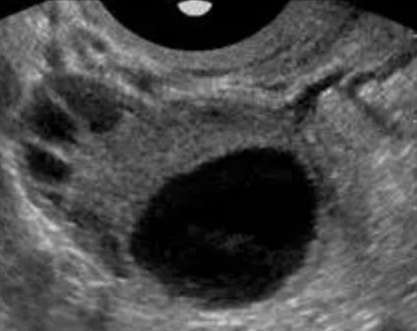
先来看看我们女性的小可耐——卵泡

堪称完美的模拟图

超声下的优势卵泡(虽然黑但是漂亮)
卵泡监测及时间:
1.一般经阴道超声监测(无需涨尿)
2.卵泡监测一般从月经第一天开始计时的第3-5天开始。
月经3-5天: 观察窦状卵泡数量(常用于月经失调的女性)
月经9-12天: 常规开始监测卵泡,隔2-3天监测
卵泡>15mm时: 每天或隔天监测
卵泡>18mm时: 为成熟卵泡,此时可诱导排卵
特别注意:
1.多囊卵泡: 正常育龄期妇女有3-11个卵泡,当超声发现一侧或双侧卵巢直径2-9 mm的卵泡个数大于等于12个时,需要进一步检查,排除多囊卵巢综合征的可能。
2.卵泡囊肿: 当卵泡直径大于25 mm而不排卵时,可以定义为卵泡囊肿,一般2-3个月经周期后自然消退,甚至时间更长,不需特殊处理。
3.黄体囊肿: 由于出血量和时间的差异,黄体可以表现为囊性、混合性和实性,未孕女性一般2个月经周期内消失,妊娠女性存在时间稍长,一般也会自然消失。
4.小卵泡或无卵泡: 当育龄期妇女卵巢较小,内部无明显卵泡或持续存在极小卵泡时,需要进一步检查妇科内分泌,排除卵巢早衰的可能。
再次敲重点
「围绝经期」和「绝经期」 的大姐姐们,如果你想调理身体,也是需要先 监测卵泡 和内膜情况后再来个明明白白的保养!
市中医院功能科诊疗范围:常规的腹部、心脏、消化、泌尿、生殖系统、痛风性关节炎等的超声检查,心血管、浅表、肌骨、胎儿四维、盆底超声、小儿颅脑超声、介入超声等;常规心电图、动态心电图、动态血压、肌电图等检查。对常见病、疑难病有丰富的诊断经验。
预约电话:15181498422
功能科心电图室位于门诊二楼
彩超室位于门诊三楼;
功能科全体人员将竭诚为您提供帮助。
声明:1.平台信息仅供参考,不能作为诊断及医疗证据。
2.文章部分图片、内容来源于网络。