猫咪肠梗阻病例分享
★病例信息:三花猫,4岁,雄性,每年免疫齐全,定期进行驱虫,中秋节期间,主人喂食了大量的蟹壳和虾壳,在食用后第二日突发呕吐(呕吐多次,较为频繁),精神沉郁,进而就诊。
★临床体格检查:皮温38.7摄氏度,腹部触诊存在疼痛感(触摸腹部喵叫,抗拒),心率,呼吸未见明显异常。
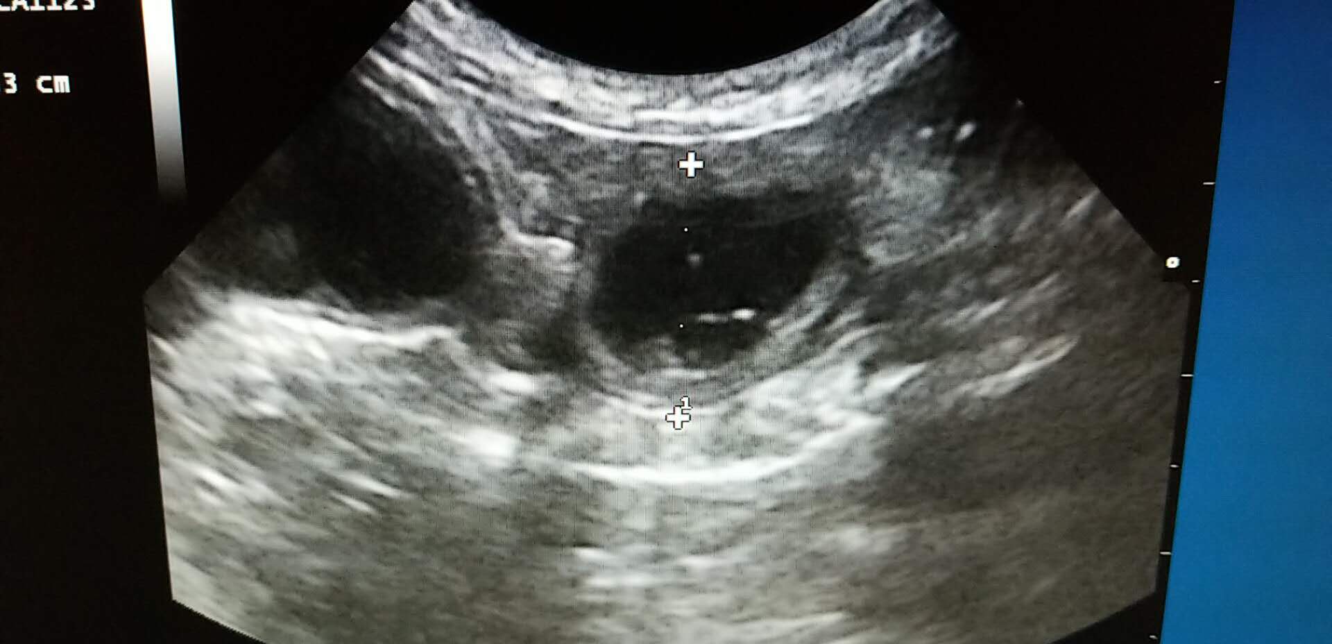
★血液以及影像学检查:血常规提示患猫存在轻度的脱水,生化检查未见明显异常。X-ray提示腹腔存在少量气体,肠腔未见明显异常增大。超声下,可见胃内存在大量的液体,肠腔大量液体,肠道不蠕动,在停止蠕动的肠道段前后扫查,未见明显的异物和肿块。

X-RAY
★诊断结果:结合以上检查以及病史,生活史,目前诊断为功能性的肠梗阻,后续可能出现一些严重的并发症,并且治疗周期较久,于是住院进行支持治疗。
★治疗:患猫频繁呕吐,但是不建议给予强效的止吐药物(这样会加重胃肠道的负担),一些积液会随着呕吐排出体外,接下来给予患猫少量的流质食物,进行点滴,补充脱水(维持体内电解质的平衡),给予促进胃肠道蠕动的药物。

生化检查
在治疗的第4日,胃内积液明显减少,患猫精神可见好转。在治疗的第5日,肠腔内的积液减少,肠腔段病灶变短,患猫能够自主进食少量的食物。在治疗的第6日,超声下未见肠腔积液,肠道恢复正常蠕动的能力,患猫精神状况恢复正常。在治疗的第7日,给予患猫一些肠道的抗生素,益生菌调节胃肠道菌群以及胃肠道抑酸剂的药物并且可以出院,回家进行日常的护理。

超声检查
什么是猫的肠梗阻
由于支配肠壁的神经紊乱、发炎或者坏死,会导致肠道蠕动功能受影响(肠蠕动减弱或者消失);也可能是由于肠系膜发生血栓,导致了肠管血液的循环发生障碍,造成了肠壁肌肉的麻痹,导致肠道内的内容物积累并滞留;也可能是因为肠内的异物(线条,肿瘤,肠内寄生虫等),肠扭转,肠套叠等等,使肠腔堵塞,造成肠梗阻。
再通俗的讲就是肠道通常在发生一些炎症反应,或者病毒感染后,肠腔暂时性的失去蠕动的工作能力,导致食糜和液体流至肠道失去蠕动功能(不蠕动)的地方,继而造成宠物发生逆流或者呕吐等症状。也有可能是某些原因(异物,肠道疾病等)造成了肠道的堵塞,继而造成宠物出现呕吐等症状的情况可以称之为肠梗阻。

猫咪肠梗阻会出现什么样的症状?
猫咪肠梗阻会出现呕吐,厌食,精神沉郁以及腹泻等症状,也有的病例会出现腹痛的情况。长时间不进行治疗或者做出相应的干预,则可能会发生肠道的坏死以及脓毒性的腹膜炎,会造成猫咪病情变得复杂,会导致猫咪的败血性的休克甚至是死亡。

哪些原因会引起猫的肠梗阻
临床上,不同年龄段,引起功能性肠梗阻的病因不同。
幼年动物的肠梗阻,最常见的就是病毒感染,病毒侵害肠道后,肠腔发生病变,并且迅速的出现继发的细菌感染,导致炎症反应,有些可能还会出现肠黏膜扩张,或者肠肌层增厚,造成肠道蠕动功能的缺失,肠腔内大量液体和食糜滞留(液体食物,由于肠道的不蠕动,停留在原位),这样的情况往往需要一段时间进行恢复,只有等待病毒疾病的周期过去,以及肠道炎症被控制住的情况下,肠道才会恢复蠕动的能力。在接诊病例中,幼年猫咪的功能性肠梗阻,以猫瘟病毒最易发。由于个体的差异,肠梗阻的治疗方式可能不尽相同,肠道恢复蠕动的时间也不同。
成年动物的肠梗阻,往往是突发的,在误食一些骨头或者坚硬的物体后,损伤或者堵住胃肠道,引起胃肠道的急性炎症反应,会导致肠腔的积液,造成肠道蠕动功能缺失。其他一些体内的寄生虫也可能会造成这样的情况发生。

猫的肠梗阻的诊断
猫咪的肠梗阻诊断是需要结合生活史,病史,免疫史以及临床的检查(主要是影像学)相结合,进行一步步的排查才可以进行诊断的。X-RAY的检查可见肠管的扩张,会具有特征性的气体影像。站立位置,可见液体和气体间的水平线,阻塞部位下的肠管则是空虚的影像。肠道积液,肠道蠕动异常。血检主要是看患猫是否存在脱水以及长时间的肠梗阻有没有造成严重的并发症,例如:败血症等等。
★在临床的诊断之中:
常见是需要排除异物,病毒,淋巴瘤等。功能性肠梗阻的病例,最后需要影像的检查,才能给予更多的信息。排除其他可能的疾病后,如果在超声下发现肠腔积液,前后未见明显异物,并且结合生活史,可以怀疑功能性的肠梗阻。最终的确诊往往需要病理组织切片,这在临床上比较难实现。所以,在临床上,排除一些可能的病因,结合超声影像,即可确诊。

猫的肠梗阻如何治疗?
如果是肠道内异物等造成的肠梗阻,则可以进行外科的手术,将肠道内的异物去除,如果存在肠道坏死的,将坏死部分切除即可。如果是功能性的阻塞,可以进行肠腔缩窄整复手术,切记,术后需要禁食18小时至以上,静脉点滴进行消炎以及补液。
如果不存在异物,肿瘤等的功能性肠梗阻,在临床检查中未见其他的异常的,可以尝试支持治疗,静脉使用抗生素,点滴给予猫咪葡萄糖,静脉补液,其余临床症状可以根据实际情况进行干预(例如:呕吐,前期不建议使用强效的止吐剂)。在治疗初期建议静脉葡萄糖滴注补充能量,禁食,等待肠道恢复正常的蠕动功能。患猫情况有好转的则可以进行少量的流质食物给予。支持治疗的时候需要密切关注患猫的情况以及临床的表现,防止严重的并发症出现,能够及时进行干预。
