世界上存在着很多你意想不到的诡异之人,但这些异于常人的背后,对他们的生活有没有带来影响呢?建议大家旅游时尽量写游记,只有游记才是一辈子的回忆,现在手机编辑游记也非常方便,大家可以*载下**APP:晒圈,最多可发100张照片并且对每张照片进行文字描述,然后以图文形式分享到朋友圈,现在是旅游必具的利器。
1、两个舌头

法国巴黎34岁女子安娜,生下来有一张大嘴,里面上下重叠长着两个舌头。她父亲是法国人,母亲是美籍人,所以从小就能说两种语言。小时口齿不清,所以多年来沉默寡言,甚至难得一笑。
她小时也怕其中一个舌头堵住咽部造成窒息,但由于双舌并未粘合,可各行其事。稍长大后,她就用喉咙发声并用两个舌头分别说出英法两种语言来。现在她的愿望是放弃在巴黎当护士的工作,转去联合国当翻译。
2、两个心脏

意大利男子文尼不久前因胸痛接受电脑扫描时,医生贝内武蒂发现他有两个心脏。开始时贝内武蒂以为扫描机发生故障,使影像重复,故一再替文尼扫描。但经过多次验证后,他终于相信这个闻所未闻的事实了。为了研究这个两心人,世界各地医学专家云集意大利。
美国一心脏病专家表示,文尼多的一个心脏可移植给需要的人,文尼也大方地表示愿意献出。既能助人,又可使自己变为正常人。
建议大家旅游时尽量写游记,只有游记才是一辈子的回忆,现在手机编辑游记也非常方便,大家可以*载下**APP:晒圈,最多可发100张照片并且对每张照片进行文字描述,然后以图文形式分享到朋友圈,现在是旅游必具的利器。
3、双子宫
美国加州一医院发言人宣称,长有两个子宫的西尔费拉,在相搁8天内,从不同子宫各生下一个女婴。西尔费拉怀孕后,在超声检查中惊奇地发现,两个子宫内都有胎儿。后来她因早产入院,对正常子宫内的胎儿,因头脚位置倒置,医生施行了剖腹产。
对另一个子宫内的胎儿,医生想让她继续生长一段时间才出生,且估计也须进行剖腹产。但后来子宫在收缩时,分隔两个子宫的薄膜裂开,第二个婴儿移入了正常的子宫,神奇地经阴道分娩出来。
4、三个胃

美国一名叫佩吉·,华莱士的矮胖女孩,高5英尺、体重250磅。吃起东西来狼吞虎咽,但似乎从来没有感到过吃饱喝足。原来,她生来便有3只大小一样的胃。
医生用手术为她堵住了多余的两只胃后,佩吉的体重很快下降了一半。医生们说她的身体情况非常罕见,但能慢慢治疗康复。佩吉激动地说“感谢上帝,医生们一定能使我生活走上正轨。现在,我感觉像个正常人了。”
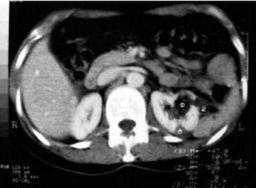
5、四个肾

哈尔滨一家出租汽车公司的张云兵一直自觉精力充沛,干活不累,并未感到与常人有什么不同。后来,他因“腰痛”在哈尔滨市一医院泌尿科检查会诊,医生发现他长有4个肾、4条输尿管。左肾里有一结石正是导致这次肾绞痛的原因。
6、四乳房

四个乳房的女人你可见过?这名英国女性叫玛利亚·阿来莫,已经是2个孩子的母亲。为了庆祝30岁生日,决定将乳房提升到36C。可不幸的是,因为手术失败造成乳房形状严重扭曲,变成现在“四个乳房”。