咦,这是什么?这不就是一朵绽放的“莲花儿”吗?但它没有扎根在水中,却根植在了人身上——食管。本应光滑的管壁为何生出这一奇葩?

此时,内科李雅君主任缓慢进镜仔细查看,确实有朵淡粉色的“莲花”映入眼帘,现场的医护人员觉得这个带蒂息肉越看越像“莲花”,“花朵的茎部”就是我们所说的带蒂息肉。也只有在无痛胃镜下才会让“这朵花儿”现出原形,让大家能够看到如此清晰的图像,普通胃镜很可能就错过了。冲冲外表面,再用我们最擅长的NBI法查看一下血管,考虑为山田III 型息肉样隆起,局部区域存在树枝状血管,这难道是常说的少见食管乳头状瘤吗?


医生拿活检钳活检一块,因易出血,遂拿一个小小的“订书针”(钛夹)给予止血。这个花朵一样,连带茎部的东西到底是个什么呢?

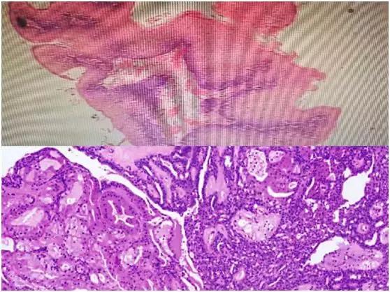
真相终于浮出水面了:病理表明,镜下表现呈指样或乳头状突起,表面被覆增生的鳞状上皮,鳞状上皮乳头瘤样增生,提示为食管鳞状上皮乳头状瘤。

这是一位30岁的青年女性,主要是以“间断反酸烧心2年余”入院,终于在无痛胃镜下发现病灶,找到了真凶。
食管乳头状瘤(EP)是一种食管被覆鳞状上皮的息肉样肿瘤,随着胃镜检查诊断的普及应用和我们对食管乳头状瘤的进一步认识,近年来发病率有上升的趋势,发病率为0.01%~0.05%,男女均可发病,发病年龄多为中老年人。起病隐袭,临床表现无特异性,以上腹和胸部症状居多,如胸骨后痛、吞咽困难、胃灼热感等,还可出现便血、缺铁性贫血。以呕吐为主要症状者少见,患者往往因胃部疾病做胃镜检查时偶然发现。
因乳头状瘤有恶变可能,因此应及时治疗。肿瘤小可在内镜下摘除或激光切除,肿瘤较大则需要经食管局部切除。绝大多数病例通过内镜下摘除治疗,长期无复发。
看来,这位年轻人是多么的幸运,类似的情况有很多。下次再见到“小莲花”、“甜甜圈”或者“小心形”等形状的病灶,一定会认出他们,无痛胃镜下都会让它们无处藏身。


那么医务人员口中的“无痛”是什么概念?无痛胃肠镜是一种无痛苦胃肠镜检查的技术,又称镇静胃肠镜。它是通过使用药物引起中枢镇静,从而使患者安静、不焦虑,提高患者的耐受力,降低应激反应,从而消除恐惧感和不适感,使内镜检查与治疗操作得以顺利进行,具有并发症少、恢复快、诊断率高、安全性高的优势。


自无痛胃肠镜开展以来,李主任发现了一些既往普通胃肠镜不能观察到的问题,如:部分患者咽喉部滤泡增生及其他特殊病变,多数患者食管入口及上段处存在食管胃粘膜异位,个别患者食管上中段的少见特殊病变、回肠溃疡等。通过取材病理检查明确诊断。
无痛胃肠镜与普通胃肠镜相比,患者检查中无痛苦、无剧烈反应,更能让医生仔细地观察到从咽部道胃肠道的各部位,尤其食管上段,这是普通胃肠镜漏诊最多的部位。此外,让咽喉部的病灶在高清镜头面前清晰可见,这也是普通胃镜检查不能排查到的。

哪些人需要做胃镜呢?
1. 不仅是40岁以上的人群,随着疾病越来越年轻化,胃肠镜检查也需要提早引起大家的注意;
2.亲属有人患胃癌的,也就是我们常说的家族病史;
3.以往有慢性萎缩性胃炎的患者需定期检查,尤其是重度萎缩性胃炎伴肠化者;
4.有不良生活习惯者,如吸烟,饮酒,饮食无度者;
5.生活在胃癌高发区的人,我们知道环境和饮食因素会导致胃癌的发生;
6.常有黑便者需谨慎,早发现、早治疗可大大避免癌变。
以上六条符合任意一条都需要做胃肠镜检查哦。

图中为息肉的发展历程,不去发现,不去干预,它的结局确实有点可怕。

这正是:
毒瘤巧祥妆,却似花儿芳。
一朝镜下原形现,癌魔内中藏;
胃肠镜醉佳,无痛更是强。
巡幽探秘金睛眼,护佑您健康。
供 稿:内科 刘羽琼 李芳芳 李雅君
#清风计划#@头条健康