不少人来医院看病的时候说,“医生,我脚上这个东西是不是鸡眼啊?去修脚店修过一次,也没什么变化,好像还严重了,怎么回事啊这是?”
这是跖疣,跟鸡眼是完全不同的疾病。

疣是由人乳头瘤病毒(HPV)感染皮肤黏膜所引起的良性赘生物,跖疣因发生部位在脚上得名。临床上常见的还有寻常疣、扁平疣、尖锐湿疣以及疣状表皮发育不良等。
本病有传染性,传染源为患者或病毒者携带者,可经直接或间接接触传播。人群普遍易感,免疫力功能低下的儿童、青少年等更加易患。此外局部多汗、穿不舒适的鞋等,也会促使其发生。
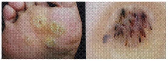
跖疣可以发生在脚底的任何部位,但以掌跖前部多见。皮损初起为细小发亮的皮疹,逐渐增至黄豆大小或更大,因受压形成淡黄色或黄褐色斑块或扁平丘疹,表面粗糙,界限清楚,边缘为稍高的角质环。
去除角质层后,其下方有疏松的角质软芯,可见毛细血管破裂出血而形成的小黑点,若含有多个角质软芯,称为镶嵌疣。皮肤镜检查可见皮损中央褐色或黑褐色线状或点状出血征。

跖疣疾病鉴别要点
进行诊断时,应注意跖疣与鸡眼、胼胝的鉴别。三者都生长在脚部,形态相似,如果不注意区分,很容易出现混淆的情况,如果按照其他疾病的治疗方式进行治疗,很可能导致病情加重。因此,一定要注意区分。

简单来说,鸡眼和胼胝是单纯机械性刺激导致的,去除外在因素(如穿舒适的鞋袜、减少站立行走等)后将不会继续扩大发展。
而跖疣是HPV感染导致的,有传染增性,可增多、增大,中央黑色出血点可作为主要鉴别点。
跖疣需要治疗吗?
跖疣有一定的自愈性,但是自愈周期较长,一般要3年之久,正因此古人也称之为”千日疮”。但部分患者皮损部位会有明显疼痛,走路压迫到时,疼痛加剧,难以仍受。而且对于免疫力低的人,疣体可能逐渐增多、增大,甚至可能传染到健康的脚,或通过衣物等间接传染给家人。

因此,对于轻度的、单发的跖疣可以不进行治疗,等其自愈。但如果皮损有扩大的趋势,或已经影响到正常生活,还是建议尽早治疗,以免带来更多的不便。
跖疣治疗原则
治疗原则主要为破坏疣体、调节局部皮肤生长、刺激局部或全身免疫反应。目前治疗方式有药物、冷冻、激光、手术,免疫治疗等,具体治疗方式,要根据数量和大小来判断,建议到医院咨询主治医生。
同时,治愈后也需积极锻炼身体、增强自身免疫力,防止再次感染。还要避免外伤的出现,因为HPV常通过破损的皮肤黏膜进入机体,进而导致感染,所以避免外伤也是其有效的预防手段。