陆博,口腔医学博士,苏州口腔医院副主任医师,擅长美学正畸。热衷于用简单浅显的文字,为您打开口腔知识大门,欢迎关注。
蛀牙怎么办?补牙呗。可有人的补牙只要几百块,有的则是上千,这是被坑了吗?
其实不是。
所谓"上千的补牙治疗",其实就是我们常说的"根管治疗"。
一、什么人要做"根管治疗"?
什么人会做根管治疗?简单一句话,就是蛀牙蛀太深,补牙已经救不了才会做。那什么叫"蛀牙蛀太深"?有没有什么标准?又或者我怎么知道我的蛀牙有没有救呢?
这个问题,我们一张图来解决。

我们通常看到的蛀牙,是细菌腐蚀了图中"牙釉质"和"牙本质"的部分,如果你不管它,细菌会向牙齿内部深入,一旦感染了"牙髓"这一部分,差不多就要做根管治疗了。
二、为什么感染了牙髓,就要根管治疗呢?
打个比方,牙髓就像一碗水,一旦有一滴黑色墨水滴进去,整碗水都会被污染,并且无法去除黑色墨水。
牙髓也一样,一旦被细菌感染,就会慢慢整个被污染,必须把"这碗水"全部倒掉才行。而根管治疗,就是把根管里的牙髓全部去掉,用来保护牙齿的方法。这也就是为什么做完根管治疗,牙齿不疼的原因,因为他已经没了活性。

而牙髓是什么?是给牙齿供给营养,保持牙齿活性的东西,如果没有它,牙齿就成了一颗"死牙"。
那肯定有人说,既然成了"死牙",我干嘛还要做根管治疗呢?那问题就又回到了起点:如果不抽了牙髓,细菌会污染整个牙齿,直到整颗牙齿都脱落,甚至还会危害旁边的健康牙齿。
所以总结一句话就是:做了根管治疗,牙齿虽然"死了",但最起码能保住自己的牙;如果不做根管治疗,长久下去只有拔牙的地步。
当然,大家比较关心价格。一般来说根管治疗在2000——3000元,听起来还挺划算的,那为什么网上说根管治疗非常贵呢?那应该是根管治疗后的"牙冠费"了。
三、为什么根管治疗后,要做牙冠?
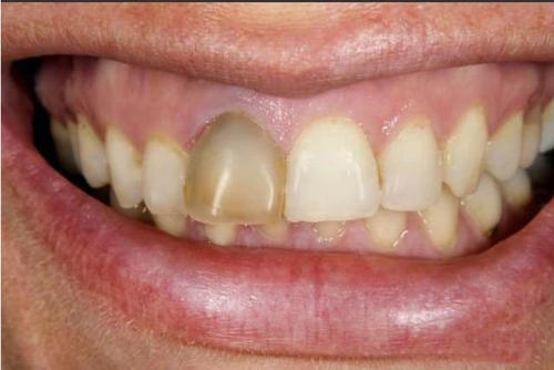
上面已经说了,根管治疗后,牙齿失去了营养的供给源泉,就像失去树根的大树,变得非常脆弱,容易劈裂。说不定稍微坚硬点的食物就会造成折断。并且没了营养来源,牙齿会慢慢变色,也不好看。

当然自有胆大的患者带着侥幸心理。我不敢说百分百,但最起码90%的不做牙冠的患者都发生劈裂,到时候就不是一个牙冠能解决问题,不但根管治疗白做,还会白白搭上一颗牙。
所以说,从长远看,千万不要省着点钱,做个牙冠保护牙齿,才能保证你牙齿使用更长时间。
四、牙冠是选全瓷的,还是烤瓷的?
牙冠是什么?所谓"牙冠",就是做一个坚固的牙套,将缺损的牙齿保护起来。既然起保护作用,就必要要涉及材质的选择。目前市面上流行全瓷牙和烤瓷牙两种,相信大家也都听说过。

烤瓷牙是前几年材料不怎么先进时的材料,并且时间一长可能会出现"黑线"的尴尬情况。

而全瓷之前不太敢用,现在技术越来越先进,逐渐成为主流产品,它是用接近牙色的瓷粉,经过高温锻造制成的牙冠。
说到这里,有患者还会担忧:"我的牙齿有点黄,套上洁白的牙冠不会很突兀吗?"答案是不会的。
牙冠不是千篇一律的模型,它是按照你牙齿的大小、颜色定制的,戴上去非常自然,肉眼几乎看不出差异,而且目前采用的是接近牙色的全瓷牙,非常自然,肉眼几乎看不出颜色上的差别,这也是目前90%的患者会选择的牙冠。
总之,回到最初的标题,如果做完根管治疗后不做牙套,可能效果还比不上几百块补的牙(前提是补牙有效果),这不是危言耸听。
当然会有人抱怨牙冠贵,说句实话,认真刷牙没蛀牙,即使有了蛀牙及时补,不是更省钱的事吗?
PS:如果您觉得本文对您有帮助,欢迎关注、评论,为您和家人的口腔健康之路扫雷。