
分享人:周坚红、阮菲编写及资料整理:汤燕燕、李春明、贾瀛娴
一、病历介绍
患者,女,49岁,1-0-2-1,因“发现盆腔包块半年余”于2019-4-1入住我院。
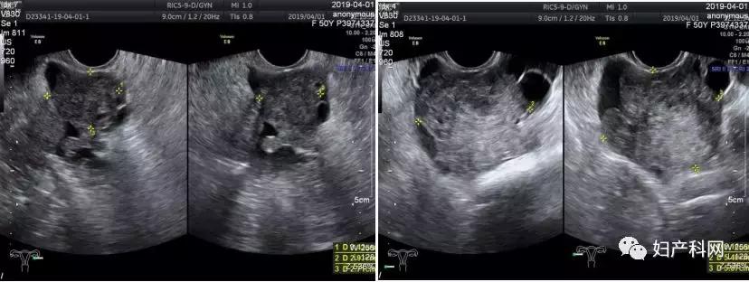
半年余前(2018-8)患者当地医院查腹部超声提示:双侧卵巢增大伴回声改变(右侧大小约6.0*4.9cm,左侧大小约5.6*3.4cm),建议进一步检查,排除占位可能。当时患者无腹痛、腹胀,无恶心、呕吐,无异常阴道流血、排液,无渐进性消瘦等不适,未予重视,未进一步检查。6天前(2019-3-26)患者再次至该院复查腹部超声提示:盆腔内子宫后方可见范围约9.5*5.0*5.8cm的囊实性团(卵巢来源?),腹腔积液;查血CA125 239.5U/ml,CA199 47.57U/ml,CA153 131.40U/ml,考虑盆腔包块持续存在,性质不明,且肿瘤指标异常,建议手术。为求进一步诊治,今患者至我院就诊,复查盆腔超声提示:右附件区见5.2*5.4*5.9cm不均低回声包块,血流较丰富,RI=0.66;左附件区见3.4*2.9*2.7cm低回声,内见散在血流,周边见少许卵巢组织,其表面另见4.0*4.1*3.0cm囊性块,内液清,直肠窝液体深6.1cm(见图1);复查CA125 206U/ml, CA199 57.3U/ml,CA153 156.7U/ml。

图1
既往史:3+年前(2015-7)在外院行右乳癌改良根治术,术后病理结果提示:符合浸润性小叶癌,最大径为2cm,腋上、腋中及腋下淋巴结12/17癌转移,另见癌转移结节一枚。免疫组化:ER+/95%,PR+/95%,诊断为“右乳腺浸润性小叶癌(PT1N3M0,IIIC期)”。术后于2015-8至2016-1在外院共化疗8次,于2016-2至2016-3胸壁+锁骨上放疗21次。2016-2开始口服他莫昔芬1片/天b.i.d.至今,自2017-10后月经至今未转。
入院体格检查:T:36.7℃,P:80次/分,R:18次/分,Bp:112/71mmHg,皮肤黏膜色泽正常,体表浅淋巴结未及肿大。妇科检查:外阴已婚未产式,阴道通畅,宫颈无特殊。子宫前位,正常大小,质中,无压痛,活动度尚可。子宫后方可及一直径约6cm包块,质地偏硬,边界清,活动度欠佳。右侧附件区可及增厚,无压痛。左侧附件区可及一直径约6cm包块,质地偏硬,边界清,活动度可,无压痛。
二、病历分析
知识点1
乳腺癌术后随访内容包括:
一、临床体检:最初2年每4-6个月1次,其后3年每6个月1次,5年后每年1次;
二、乳腺超声,每6个月1次;
三、乳腺钼靶,每年1次;
四、胸片或胸部CT每年1次;
五、腹部超声:每6个月1次,3年后改为每年1次;
六、存在腋窝淋巴结转移4个以上等高危因素的患者,行基线骨显像检查,全身骨显像每年1次,5年后可改为每2年1次;
七、血常规、血生化及乳腺Ca标志物检测每6个月1次,3年后每年1次;
八、应用他莫昔芬的患者每年进行1次盆腔检查。
分析1
患者49岁,围绝经期妇女,因“发现盆腔包块”就诊,且既往有乳腺癌病史,首先应详细询问平素有无阴道出血、排液及腹胀等相关症状,还应仔细询问乳腺癌术后随访情况,包括:是否按时复诊,随访期间相关检查。明确盆腔包块与乳腺癌病史之间是否存在关联。结合患者病史及辅助检查,入院首先考虑“盆腔肿物:卵巢肿瘤?”。
1. 原发性卵巢肿瘤:卵巢肿瘤是常见的妇科肿瘤,可发生于任何年龄。恶性肿瘤早期常无任何症状,晚期主要症状为腹胀,腹部肿块,腹腔积液及其他消化道症状。妇科检查可扪及肿块,多为双侧,实性或囊实性,表面凹凸不平,活动性差,常伴有腹腔积液。该患者目前自觉症状不明显,根据超声及妇科检查结果不排除卵巢恶性肿瘤可能。
2. 转移性卵巢肿瘤:占卵巢肿瘤的5-10%,其原发部位多为胃肠、乳腺及生殖器官。结合患者既往乳腺癌病史,虽定期随访期间胸部CT平扫、颅脑CT平扫及双肾,肝脏超声等检查均未提示转移病灶,但因患者对碘佛醇注液过敏,无法进一步行增强CT检查,且从未行骨X线检查,随访期间CA125及CA199均偏高,无法判定有无乳腺癌术后转移,故目前不完全排除转移性卵巢肿瘤可能。
入院后情况
为进一步明确肿瘤来源及性质,入院后行盆腔MRI检查(见图2),结果提示:两侧附件区域占位,首先考虑卵巢恶性肿瘤,转移性可能,建议全腹CT检查。附见:骶椎及两侧髂骨斑片样异常影,转移可能(磁共振MRI可较好的判断肿块性质及其周围器官的关系,有利于病灶定位及病灶与相邻结构关系的确定)。

图2
术前诊断:盆腔肿物:卵巢肿瘤?,乳腺肿瘤(根治术后)
知识点2
转移性卵巢肿瘤来源?
转移性卵巢癌来源的相关报道,Yada-Hashimoto等报道,转移性卵巢癌的原发肿瘤部位为胃肠道者占36%(其中胃为23%,结肠为11%),乳腺14%,生殖器官40%。Taylor等报道胃肠道为74%(其中胃为61%,结肠为13%),乳腺为14%,不包括生殖器官来源的肿瘤。该研究表明,非生殖道来源的转移性卵巢癌中最常见的原发部位为胃肠道。该患者乳癌术后随访期间无腹胀腹痛,无便秘腹泻等排便习惯的改变,无呕血便血等不适,也从未行胃肠镜及钡餐造影检查,结合多次CA199偏高,不能排除原发胃肠道病变转移至卵巢或乳腺癌术后转移至胃肠道可能。
分析2
根据患者病史及盆腔MRI结果,目*考前**虑“转移性卵巢肿瘤”可能性大。患者既往乳癌术后病理提示为浸润性小叶癌,是一种少见的病理类型,约占乳腺癌的10%左右。乳腺浸润性小叶癌术后的复发具有一定特征性,一旦出现转移,往往呈多部位转移,且常见部位为骨,胃肠道,腹膜及卵巢。该患者既往乳腺癌术后分期PT1N3M0,IIIC期,淋巴转移情况严重,临床分级较高,本身存在高复发转移风险。入院盆腔MRI提示考虑存在骨转移及卵巢转移可能。综合上述情况,目*考前**虑乳腺癌转移至卵巢可能性大。
知识点3
乳腺癌转移表现:
一、乳腺癌骨转移,可引起骨骼的疼痛,局部压痛和患者的行为下降等症状,甚至出现病理性骨折。
二、肝转移,肝转移被多数学者认为是影响患者预后非常重要的因素。主要表现为发热,纳差,乏力,腹胀,体重下降,腹水,黄疸及肝大等症状。
三、肺转移及胸膜转移,表现为咳嗽,胸痛,有时还会出现胸水。
四、脑转移,主要表现为剧烈头痛,恶心呕吐,行为改变和精神活动异常等症状。
五、卵巢转移,乳腺癌卵巢转移发病隐匿,往往无特殊表现,故临床上诊断困难,常出现漏诊,误诊。
知识点4
转移性卵巢癌的治疗
对于转移性卵巢癌手术是主要的治疗手段,对于身体情况可耐受者,应采取手术为主化疗为辅的治疗方式。理由是:(1)明确诊断与病变范围;(2)解除转移性卵巢癌生长快及病情迅速恶化的危险;(3)手术后可减少腹水,肿瘤的压迫症状。如原发灶可以切除,患者一般情况尚可,宜选择原发灶加子宫加双附件加大网膜切除术;如原发灶广泛转移,则在患者一般情况允许的情况下行肿瘤细胞减灭术。转移性卵巢癌的术后化疗可延长患者的生存时间,化疗药物的选择应根据原发肿瘤而定。
分析3
结合患者目前情况,可考虑方案:1、完善胃肠道相关检查及全身其他检查,明确有无其他病灶,亦存在检查受限,无进一步发现可能,完善检查过程中病灶进一步扩散,腹腔积液增多,出现腹部压迫症状及消化道症状可能。2、手术探查,明确盆腔包块来源,术中快速病理切片会诊判定肿瘤性质。如为原发性卵巢非良性肿瘤,则需行卵巢肿瘤全面分期手术(全子宫+双附件切除+大网膜切除+盆腔多点活检+盆腔淋巴结切除)。如为粘液性肿瘤,需同时切除阑尾;如为转移性卵巢癌,术中尽量探查原发病灶,切除可见病灶。
考虑患者目前一般情况可,盆腔包块较前明显增大,且伴有腹腔积液,如继续期待观察存在病灶扩散,出现恶液质,无法耐受手术可能,故讨论后于2019-4-3在全麻+硬膜外麻醉下行剖腹探查术,术中见:腹腔内见约200ml血性腹水,部分肠管致密粘连左侧盆壁。子宫萎缩,子宫前壁及其下段与腹壁广泛致密粘连,表面未见肌瘤样结节凸起。右侧卵巢呈囊实性增大,大小约6.0*5.0*6.0cm,表面不规则结节样凸起,呈多房,部分囊性,与周围组织无粘连;左侧卵巢呈囊实性增大,大小约4.0*4.0*3.0cm,表面不规则结节样凸起,呈多房,部分囊性,与周围组织无粘连。双侧输卵管匍匐在其同侧卵巢上,质地僵硬,未见明显积水增粗,伞端可见。子宫直肠陷凹存在。结合术前谈话,遂行双侧附件切除术。术中快速病理结果为:(双侧)卵巢癌,首先考虑转移性。结合术前谈话及术中病理提示,目*考前**虑转移性卵巢癌,遂行全子宫切除。术中探查大网膜、盆腹腔腹膜、肠管表面、阑尾及肝脏、脾脏、胃及膈顶等盆腹腔脏器表面未见明显病灶。术中一侧附件及标本剖解图(见图3)。

图3
术后常规病理报告提示(见图4):(双侧)卵巢、输卵管、卵巢血管区转移性癌,符合转移性乳腺癌所见。(腹腔积液)涂片内找见癌细胞。子宫浆膜表面见转移性癌,符合转移性卵巢癌所见。

结合患者术中及术后病理结果,术后转移性卵巢癌诊断明确。
术后诊断:转移性卵巢恶性肿瘤,右侧乳腺肿瘤(根治术后),肠粘连
知识点5
形成转移性卵巢癌主要通过以下5个途径:1.直接侵犯:原发瘤位于盆腔邻近卵巢,可以直接侵犯形成转移。2.通过腹水转移:有人认为原发于上腹腔的肿瘤,主要是胃癌的细胞,由于肠蠕动和重力的作用,通过腹水运送种植达卵巢。但这种观念无法解释一些胃癌原发灶相当局限时已有卵巢转移的发生。3.淋巴转移:卵巢富有淋巴管,可以通过与之相连的腹腔内淋巴管发生转移。4.血行转移:血行转移的机会较少,乳腺癌、消化道癌均可能通过血行转移至卵巢。5.经输卵管转移。以上转移途径并非孤立存在,有时一种肿瘤可通过几种方式转移到卵巢。
对于库肯勃瘤(Krukenberg tumor)的认识具有重要性,许多人把库肯勃瘤当做卵巢转移瘤的同义词,也有人把起源于消化道的卵巢转移瘤统称为库肯勃瘤,从而在概念上造成很大的混乱。Woodruff等提出了卵巢库肯勃瘤的组织学标准:1.肿瘤生长在卵巢;2.镜下可见印戒状粘液细胞;3.卵巢间质伴有肉瘤样浸润。
三、总结
卵巢作为一个可以生长多种肿瘤的器官,曾一度被认为发生在卵巢上的转移瘤比较罕见。然而大量资料的统计,逐渐发现卵巢的解剖特性为恶性肿瘤的转移提供了“土壤”。文献报道大约有10%—30%的卵巢癌是转移性的。结合该患者的病史及辅助检查,双侧卵巢肿瘤,中等大小,形态不规则,可见部分卵巢组织,包膜完整,无粘连,符合转移性卵巢癌表现,但术后病理检查镜下未见印戒细胞,目前排除库肯勃瘤。通过上述知识点的学习,当盆腔发现包块,尤其是既往肿瘤病史的患者,除需考虑患者一般情况外,更应该全面系统的完善相关检查,选择个体化方案,以及关注患者术后心理变化,详细宣教术后相关随访内容。
【参考文献】
1. Yada-Hashimoto N,Yamamoto T,Kamiura S,et al. Metastatic ovarian tumors:a review of 64 cases. Gynecol Oncol,2003,89:314-317.
2. Taylor AE,Nicolson VM,Cunningham D.Ovarian metastases from primary gastrointestinal malignancies:the Royal Marsden Hospital experience and implications for adjuvant treatment.Br J Cancer,1995,71:92-96.
3. Laure D,Patrick RB.Lobular breast cancer:incidence and genetic and non-genetic rick factors [J].Breast Cancer.
4. 连利娟主编,林巧稚妇科肿瘤学.第2版.北京:人民卫生出版社,1994.640.
5. Woodruff JD,Novak ER.Krukenberg tumor:a study of 48 cases from the ovarian tumor registry.Obstet Gynecol,1960,15:351.