每天下班回家,我都会在小区的电梯里看到许多广告。
不管愿意与否,耳朵和眼睛都逃不脱被它们轮番轰炸的命运。
这些广告以美容微整形居多。
类似这种:

是的,不知从什么时候开始,割个双眼皮早已见怪不怪。
打个美容针、削个骨、隆个鼻似乎也已经算不上多新鲜。
人人都幻想着通过提高颜值来改变命运,一跃走上人生巅峰。然而,正是这种变美的迫切让她们成为了一些黑心商人的砧上之肉。
在“成功者”的诱惑之下,人们争先恐后地涌上“变美”这条道路。但这就像一条横贯万丈深渊的独木桥,一个不小心就会坠入万劫不复的黑暗。
大多数人往往只看到了成功者的光鲜耀眼,却不知道,在那深渊之下,究竟埋葬着多少失败者的枯骨。

你永远无法想象,为了变美,人们可以有多拼。
最近一段时间,一个新的变美方式让很多人跌破了眼镜:洗血!
先把人体内的部分血液抽出,混入臭氧后再输回人体之中。据称,这种疗法可以美容养颜,甚至抗癌。

听着就不靠谱对吧?
根据我多年的经验,资本家口中的好处你要反复打折后再往心里放。
因为你永远不知道他们究竟夸大了多少,你也无法想象金钱面前的人性会有多黑暗。
用一句话概括就是:资本家的嘴,骗人的鬼!
遗憾的是,有人不信但也有人信。不甘人后地去尝试的并不在少数。
某张姓网红就曾远赴日本进行“洗血”。

能看出来,鼓起勇气去尝试的她是真的相信“洗血”带来的各种好处。
她并非孤例,网红夏某也在微博上晒过自己“洗血”的照片。

这些堪比手术现场的照片让人看得冷汗直冒。
在网上,这种疗法被传得神乎其神。

不仅可以消除血液中的杂质,更可以帮助身体排毒。
对皮肤有极大的好处,更具延缓衰老的神奇功效。
事实真的如此吗?
很多坚信“洗血”有用的一个重要原因就是:被“洗”过的血由暗红色变成了鲜红色。
恕我直言,这就很没有科学常识了。
正常人的静脉血液本就是暗红色,动脉血液才是鲜红色。而且血液变红也并非是“去除了杂质”,而是血红蛋白和氧结合后的自然反应。
也就是说,“血液颜色鲜艳=更健康”纯属扯淡!
是不是觉得这种忽悠手段很眼熟?没错,这跟上个世纪用纸符变色骗人的神婆有什么区别?
唯一的区别是,现在这种骗术披上了科学的外衣,显得更加可信难辨,坑害的人也更多!
细细思考一下,这种所谓的“血液净化”不就是低配版的透析吗?专家称,只有重病患者才会在万不得已时对血液做此类处理。
健康人做血液净化就是在玩命。
为了让你乖乖掏腰包,那些医疗机构只会说这种疗法有多“好”。他们绝不会告诉你,其中有多少风险:
将血液引出体外的操作如果不规范,可能造成血液凝固;
操作不当也会让空气进入到血管,造成空气栓塞,进而诱发人心衰甚至死亡。
之前就在电视剧中看到过,有人通过往输液管中打一针管空气将人害死的剧情。从此我挂水时看到有小气泡都吓得不行。
如果消毒不合格,将血液引出再输回还可能感染梅毒、艾滋等传染病。而且在我国,从未批准任何医美机构可以“洗血”。只是有些医美机构仗着很多人不知情在忽悠。
也就是说,国内这种疗法基本都是偷着干的。
所以有些只是装置简陋、卫生堪忧的小诊所。

手术地点:普通输液室
这种情况下,出现风险的可能就会大大增加。
2012年,3名香港女子洗完血后,因细菌感染,出现败血性休克。其中一人,最终不幸死亡。
谁能想到,本想着通过一场“洗血”变得更健康漂亮,却不小心丢了性命。这究竟是一场商家口中的常规变美疗法还是一场由资本运作的*局骗**?
这究竟是在变美,还是在交智商税?
只是无论怎么说,这代价也太大了。

“洗血”因为其价格高昂,并不能算得上是一种普遍的美容手段。但减肥可以称得上是全民热衷的变美方式了。
最近几年,减肥的热度居高不下,无数人飞蛾扑火般纷纷投身其中。“减肥”二字仿佛自带魔力一般,任何产品只要声称能减肥,就能收获一大批的拥趸。
即便背后风险难测,也有人甘愿去尝试。
很早之前有过一种“减肥虫”疗法:主动吞下肠道寄生虫虫卵,利用它们来消耗摄入的食物。

试想,只需吞几颗虫卵就能轻松完成减肥大业,何等诱惑:
运动?多累啊!
控制饮食?多辛苦啊!
还不如吞虫卵简单粗暴!
可能有人会问,这种听上去就恐怖无比的办法真有人去试??
很明确地告诉你,有。
张大大曾爆料某女星吃蛔虫减肥。

结果呢?
该女明星一两个月之后就住进了医院。又是洗胃又是拉肚子,痛苦到嘴唇发白。
更惨的是,最后非但没有瘦,还胖了十几斤。

在百度“蛔虫吧”中,也有无数人正在通过蛔虫减肥。
有人成功靠蛔虫减了肥,但最后发现吃打虫药也无法彻底消灭蛔虫。

为了减肥走捷径的她们不知道,吞下蛔虫的她们已然将自己半条命送了出去。
(友情提示:以下图片可能引起不适)
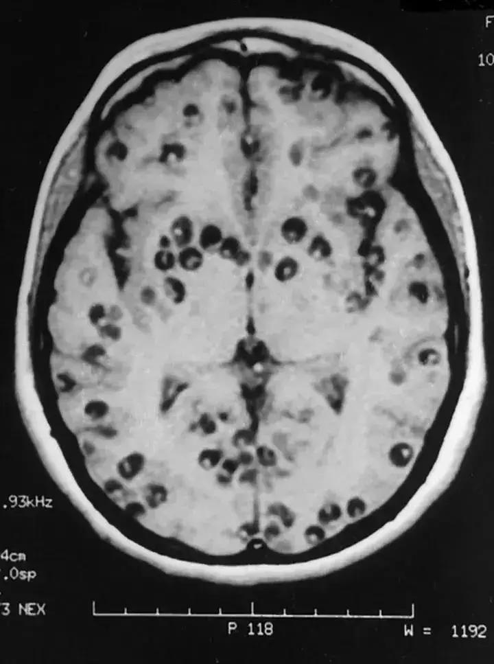
以绦虫为例。幼虫会通过人体循环,进入各组织器官发育为囊虫,最后演化成囊虫病。

如果囊虫入侵到了眼睛部位,轻则产生眼部炎症,重则失明!

最严重最常见的还是脑囊虫病,占了囊虫病的80%。囊虫进入到脑部,首先会压迫脑组织,造成炎症、水肿等。严重会使人产生明显的神经障碍,甚至死亡。

点状物即为囊虫
可以说,是个正常人都对这种蛔虫避之不及。偏偏有人如获珍宝一般心甘情愿地将之吞下。说好听点是无知者无畏,说难听点就是嫌命长。
有人说,蛔虫不行,*肥药减**减肥针总可以吧?拿美国*肥药减**Saxenda来说。尽管已获得美国食品药品监督管理局的认证,但同样存在诸多隐患。

Saxenda官网上提到:这款药不能和含有利拉鲁肽、胰岛素或其他GLP-1受体激动剂的其他药一起服用。
除此之外,还有一大堆“不清楚”声明……
换言之,如果你身患疾病或正在服用什么药,你真不知道这一减肥针下去,会减肥还是会丧命。
当年的泰国网红减肥神药yanhee也曾广受国人欢迎。
然而,北京电视台《法治进行时》讲过一个真实的例子:一名男子4天减肥19斤,但差点没命。

该男子刚开始服用后减肥效果明显,但接下来就糟糕了:肝衰竭、肝腹水、腹膜炎、肝性脑病接踵而来。甚至医院都下了病危通知书。
最后治了几个月,花了几十万才捡回一条小命。原来,这种*肥药减**偷偷添加了早被禁止使用的药物——西布曲明。

服用这种禁药尽管可以迅速减肥,但风险巨大!
人类,可能真的将大半想象力都用在了减肥上。各种脑洞大开的办法层出不穷:取肋骨、冷冻减肥、氮气减肥、切胃、催吐......
只有你想不到,没有爱美人士做不到的。为了美,不管健康、不顾风险,甚至把命搭上,真的值得吗?

如果说减肥只是小打小闹,整容就真能称得上大刀阔斧了。

提取一下关键词:中学生、整容、孩子主动要求、家长带着去。
有位辣妈更狠,女儿才7岁,就直接割了双眼皮。

虽说整容技术日渐成熟,但绝不建议给未成年人做。俗话说“女大十八变”,未成年人的身体发育尚不完全,外貌也未定型。
过早整容,整容部位很可能会再度变化。
换言之,你根本不知道整容后的孩子是会变得更美还是长残!孩子还没丑到不能见人呢,家长就着急整容,何等荒唐和愚蠢。
而且整容也面临着种种风险。
今年1月,贵阳一个女孩小夏在某整形医院隆鼻后死亡。

姑娘今年才19岁,刚上大二,一直嫌弃自己鼻子不好看,最终决定去隆鼻。
家人担心普通医生做不好,还特意多支付了5000元,选择让院长来做手术。前后一共缴费将近3万。
整容前,小夏开心地说:终于要变漂亮了。
然而,几个小时后,母亲等到的女儿却已是一具尸体。
期间,整形医院还偷偷将小夏送到了正规医院治疗,并撒谎说“病人家属在外省,来不了”。

但最后小夏的生命还是没有被挽回。
而病历显示,小夏送到正规医院时,生命体征已基本消失。

如果不是这件事,小夏可能会顺利度过自己的大学生涯。恋爱、毕业工作、结婚,走完自己正常的一生。
然而,好好一位花季少女,就这样丢了性命,多么令人心痛。悲剧背后,是那些毫无人性,为了赚钱不择手段的黑心商家!
随便在网上一搜,就能看到更多触目惊心的案例:
2010年,超女王贝整容手术时大出血,血液进入咽喉窒息而死,年仅24岁;
2017年,江西女子注射玻尿酸隆鼻,最后导致右眼球坏死;
2018年,重庆女子因整容失败跳楼自杀;
……
更多血淋淋的惨剧告诉我们:整容有风险,爱美需谨慎!
有人说,这是国内技术不好,去国外就不会有问题。
事实真的如此吗?
拿韩国来说,他们确实是不折不扣的“整容强国”,但据韩国消费者协会统计:从2011年到2013年5月,因为整形手术发生的医疗事故超过 200 件。而这一数据仅仅是记录在案的,加上非正规整形医院的案例就更多了。
2014年的数据显示,中国当年有5.6万人赴韩整容,但失败率高达15%!每个失败案例的背后,都是一桩令人不忍直视的惨剧。
而且整容行业多的是你无法想象的黑幕:
假专家泛滥;
医疗事故频发;
篡改、销毁病历;
有医院私自增加医疗项目、擅自更换医生;
……
在这种情况下,不禁让人怀疑:手术台上的我们还能顺利站起来吗?我们到底是在变美,还是在用生命为黑心商家的牟利献祭?
当然,我并非是劝你不要洗血或整容,也不是劝你不要使用*肥药减**物。如果你想清楚了,如果你能承受住那些可能的代价,我尊重你的选择。
只是请你一定一定擦亮了眼睛,务必谨慎谨慎再谨慎。
因为你不知道,某些黑心商人和机构为了赚钱会编织多么美妙的幻境。
而幻境背后,正藏着吃人不吐骨头的恐怖怪兽。
马克思说:
当利润达到10%时,便有人蠢蠢欲动;
当利润达到50%时,有人敢于铤而走险;
当利润达到100%时,他们敢于践踏人间一切法律;
当利润达到300%时,甚至连上绞刑架都毫不畏惧!
只要有利可图,我们就无法阻挡有人出卖良心和以身试法。
只希望,不会再有人成为这场逐利之战中的牺牲品。