胎盘在胎儿的生长发育过程中具有十分重要的地位,而超声检查是胎盘的主要检查方法,安全、方便且易行,来自美国的 Zaidi 博士等人总结了正常及异常胎盘的超声表现,以期更好地帮助临床处理胎盘等异常情况,文章发表在 Ultround Quarterly 2016 年第 1 期上。
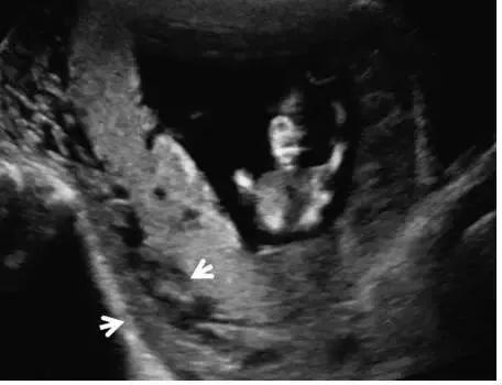
超声最早可在孕 6 周(经阴道超声)或孕 10 周(经腹部超声)显示出胎盘,表现为妊娠囊周围的薄层环状高回声。妊娠 12~13 周时,多普勒超声可显示绒毛血流。孕 14~15 周时,胎盘已充分发育,表现为显著的高回声。此时,也可看到由蜕膜、肌壁、子宫血管等组成的胎盘后复合体(图 1)。
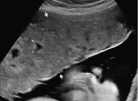
中孕时,胎盘逐渐成熟变大,表现为更加均质的高回声(图 2),其内可有边界欠清的低回声区,为胎盘湖。晚孕时,多普勒超声可显示胎盘内的丰富血流。

图 1 孕 12 周时的正常胎盘矢状面,其后可见低回声的胎盘复合体(小箭头)

图 2 孕 24 周时的正常胎盘横切面,显示胎盘的回声、厚度及其后方的低回声肌壁(箭头)
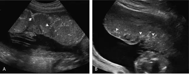
正常胎盘呈圆形,边缘较薄,直径为 15~20 cm,厚度为 2~4 cm。Hoddic 等人报道,在整个孕期里,胎盘厚度(毫米)大致与妊娠周数相同,但应<4 cm。胎盘随妊娠进展而逐渐出现钙化,从而可对胎盘分级(0 级-3 级),同时这种变化与胎儿成熟度相关联,可预测不良胎儿结局(图 3)。

图 3 A 为孕 35 周时正常胎盘的矢状面观,可见绒毛膜板外侧、沿着基底板分布的「点-线状」钙化;图 B 为先兆子痫孕妇 25 周时的胎盘横切面观,显示血管区域的线样过早钙化(箭头)
各个胎盘分级之间的发展变化并不显著 ,也无重要的临床意义,但若在足月之前胎盘发生钙化或成熟则会增加胎儿和孕妇不良结局的风险,如早产、低体重儿、Apgar 评分低、新生儿死亡、孕妇产后出血、胎盘早剥等。作者建议,如果 27 周前发现 1 级胎盘、32 周前发现 2 级胎盘、34 周前发现 3 级胎盘,则应进行密切的临床及超声随访。
三维超声的表面成像模式可直观显示胎盘的弯曲弧度及连续性,也可显示胎盘植入时的空间关系,易于为医生及孕妇所理解与接受。有作者建议应用三维能量多普勒超声测量早孕三维容积及血流指标,以预测不良妊娠结局,尤其对于产前子痫、妊娠高血压及低于孕周的胎儿可应用此方法。经统计分析,如有上述这些情况,则可早期发现血流动力学及胎盘容积的变化。
1
胎盘的异常
胎盘异常涉及到胎盘的形态、位置、范围等方面,罕见情况下,可出现肿瘤。
2
副胎盘
副胎盘是指一个或多个附属胎盘小叶通过血管与主胎盘相连,其发生率在所有妊娠中约占 5%~6%,在高龄孕妇及人工授精时发生率还会高一些。双胎盘是副胎盘的一个变异,其两叶胎盘的大小近似(图 4)。 在超声上,副胎盘表现为两个独立的胎盘通过脐带与主胎盘相连(图 5)

图 4 示足月双胎盘的大体病理标本,可见脐带起源于两叶胎盘的中间(箭头所示)

图 5 A 示孕 26 周的胎盘横切面,箭头示 2 个独立的胎盘小叶(长箭头),箭号指示二者之间可见脐带起源于此;图 B 为孕 34 周胎儿死亡后的胎盘大体病理标本,箭头示两个独立的胎盘由源自主胎盘的脐带相连接;该胎儿的死因是由于较大脐膨出导致脐带扭结、脐血管破裂
副胎盘应与一个胎盘附着于宫腔的两个部位相区别。需注意,子宫收缩可形似副胎盘,复查超声即可将二者区别开来。胎儿娩出后,副胎盘可因未被发现而滞留宫腔引起产后出血。副胎盘容易并发血管前置及帆状胎盘。
3
轮状胎盘
当脐带从胎盘的边缘附近进入绒毛膜和羊膜时,可形成轮状胎盘,较易合并胎盘早剥、早产、宫内发育受限及围产期死亡。三维超声表面成像可有助于本病的诊断,超声表现为距离胎盘边缘约 3 cm 的不规则、抬起状的膜性带状结构,宽度约 2~3 mm,称为「边缘架」, 向羊水凸入,可误解为子宫粘连(图 6)。

图 6 示轮状胎盘:A 上图为正常胎盘的脐带进入绒毛膜示意图,下图为轮状胎盘时的示意图;图 B 左为孕 30 周时的胎盘横切面,箭头示轮状胎带状的「边缘架」,右为图左的示意图,图中淡红色的突起、即所谓「边缘架」,为卷起的胎盘边缘,超声横切面可表现为连续、较厚的带状结构;图 C 为轮状胎盘的大体标本,此胎儿孕 37 周时因严重畸形而胎死宫内,箭头示脐带进入胎盘的位置
4
巨胎盘
超声厚度测量胎盘是从胎盘下静脉开始量至胎盘的羊水侧,不包括与胎盘相邻的肌层。最近,Lee 等人认为,前壁胎盘厚度 > 3.3 cm 或后壁胎盘厚度 > 4.0 cm 时,称之为巨胎盘。胎盘增厚可见于母体 病毒感染以及糖尿病、巨大儿、Beckwith-Wiedemann 综合征、胎儿水肿等。
巨胎盘极易并发胎盘发育不全。形似凝胶样的厚胎盘可随着母体腹腔压力而轻微颤抖,其并发胎儿宫内发育受限的风险可达 60%~75%。产前超声发现胎盘增厚时,应详细检查胎儿。胎盘下肌瘤、胎盘早剥以及当胎盘后血肿与胎盘的回声相一致时,可误诊为胎盘增厚(图 7)。

图 7 示孕 34 周时的巨胎盘,箭头示胎盘横切面,厚度为 6 cm,该孕妇系糖尿病患者,胎儿为巨大儿
5
胎盘静脉湖、绒毛血栓及梗死
静脉湖或胎盘湖 常见于正常晚孕期,由扩张的小静脉所组成。若见于早孕期、或 > 2 cm、或多于 3 个时,则有重要临床意义。在灰阶超声上,静脉湖为低回声,可因血液流动出现旋涡样回声,并在高增益时更易于显示 ,大小还可发生变化。
静脉湖出现血栓称为 绒毛血栓 ,为低回声,其大小及形状不会改变,由此可与静脉湖相区别。
胎盘梗死 是指局限性的绒毛缺血坏死,其诱因包括妊娠诱性高血压、狼疮抗凝物、低置胎盘、胎盘早剥、病毒感染等。超声表现为沿胎盘边缘分布的低回声区,如梗死区与胎盘回声相同,则难以发现,阳性预测率仅为 12% 左右。梗死的中心区域如存在出血,则易于发现,因为血凝块与胎盘的回声不同(图 8 )。

图 8 示孕 26 周时的胎盘梗死,孕妇 35 岁,患严重高血压、产前子痫,胎盘内可见钙化及多发复合囊性病灶,箭头示碎屑,无血流信号,考虑梗死灶;因胎儿宫内发育受限,心率减慢,紧急行剖宫产,胎盘病检证实有不同程度的梗死灶
6
其它少见胎盘异常
(1)膜状胎盘指大部分或全部胎膜均绒毛所覆盖,可并发前置胎盘、早产、胎儿宫内发育迟缓、胎死宫内、反复产前出血、产后出血、胎盘滞留。
(2)环状胎盘指环状或轮状的胎盘,表现为一个完整的环,由于一部分胎盘出现萎缩,更常呈现为马蹄状。有人认为环状胎盘是膜状胎盘的一个变异,可并发宫内发育迟缓及产后出血。
(3)穿通状胎盘是指盘状胎盘的中央部分缺如,常指绒毛缺如,而绒毛膜板完整。极少情况下,胎盘存在空洞,产后可误诊为胎盘滞留。
(4)胎盘间质发育不全是一种极其罕见的胎盘血管畸形,也称为间质干绒毛增生,表现为绒毛膜血管的瘤样扩张、充血及绒毛囊肿或水肿。超声上表现为胎盘增大,内有囊性或葡萄样成分,可类似部分性葡萄胎。鉴别诊断包括双胎妊娠之一胎儿存活并部分性葡萄胎、绒毛膜血管瘤、绒毛膜下或胎盘前出血。最终诊断常需要胎盘病检(图 9)。

图 9 示胎盘间质发育不全:孕妇 27 岁,孕 13 周。A 为胎盘横切面,可见胎盘表面及一侧的簇状囊性结构(长箭头示),小箭头示外观正常的胎儿。B 与 A 为同一胎儿,长箭头示胎盘矢状面上的簇状囊性暗区,内无明显血流信号;孕妇血清甲胎蛋白正常;此时,最容易诊断为双胎之一存活并部分性葡萄胎。由于该存活胎儿无明显异常发现,便采取超声随访、保守治疗,胎儿分娩后胎盘病检证实为胎盘发育不全
7
胎盘位置异常
前置胎盘指胎盘覆盖于宫颈内口或位于宫颈内口 2 cm 之内,是晚孕时无痛性阴道出血的重要原因。既往,曾根据胎盘距离宫内口的远近分级为完全性、部分性、边缘性和低置胎盘(图 10)。
2012 年美国妇产科协会对前置胎盘的分类进行了修订,认为边缘性与部分性前置胎盘难以区分,建议只在描述胎盘边缘相对于宫内口的位置。

图 10 示前置胎盘:A 为各种前置胎盘示意图,分别为低置、边缘性、部分性和完全性。B 为孕 20 周的完全性前置胎盘纵切面,箭头示胎盘完全覆盖于宫内口。C 为另一例孕 33 周胎儿的矢状位 T2WI ,星号指胎盘完全覆盖于宫内口。D 为孕 12 周时的低置胎盘矢状面,长箭头示胎盘下缘,短箭头示宫内口,二者距离< 2 cm
推荐经阴超测量胎盘下缘至宫内口距离,若无阴超探头,可选择经会阴超声检查。通常,经腹部超声检查可因胎头覆盖于子宫下段、母体肥胖、膀胱过度充盈或充盈欠佳导致测量不精确。
8
胎盘附着异常
胎盘附着异常:包括胎盘粘连、胎盘植入及胎盘穿透(图 11)。胎盘粘连指胎盘组织向子宫肌壁延伸,但并未对其构成实质性的侵袭,占所有胎盘附着异常的75%。
胎盘植入指胎盘组织已侵入子宫肌壁,但并未突破浆膜层。穿透指不仅侵入肌壁,且已突破至浆膜层之外,可导致子宫的毗邻器官如膀胱、肠管及腹壁受累。超声是本病的主要显像方法,在临床高度怀疑本病或超声检查为阴性或不确定时,可使用 MRI(图 12 和图 13)。

图 11 为胎盘附着示意图 ,自最左图向右分别为正常、粘连、植入、穿透

图 12 示胎盘粘连:A 为孕 32 周患完全性前置胎盘(此图未显示)孕妇的子宫前壁横切面(线阵探头所得),可见肌壁由上至下、向膀胱子宫陷凹方向逐渐缺乏、变薄(短箭头所示)。B 为另一孕妇的冠状位 MRI,孕期经常性左腹痛,超声考虑胎盘粘连,长箭头示胎盘下方的低信号肌壁由左向右逐渐变薄。此 2 例均在剖腹产时被证实为胎盘粘连

图 13 示合并有完全性前置胎盘的胎盘穿透,患者有 2 次剖宫产病史:A 为子宫纵切面,箭头示肌壁逐渐变薄、子宫与膀胱之间的界限模糊,胎盘下的闲置空间消失(B :膀胱)。B 为同一患者的子宫矢状面,箭头示大量不规则紊乱血流向肌壁延伸。图 C 为另一孕妇 28 周时的矢状位 MRI,可见前次剖腹产瘢痕上缘存在胎盘对子宫前壁的侵犯、肌壁连续性局部中断(箭头)
9
胎盘早剥
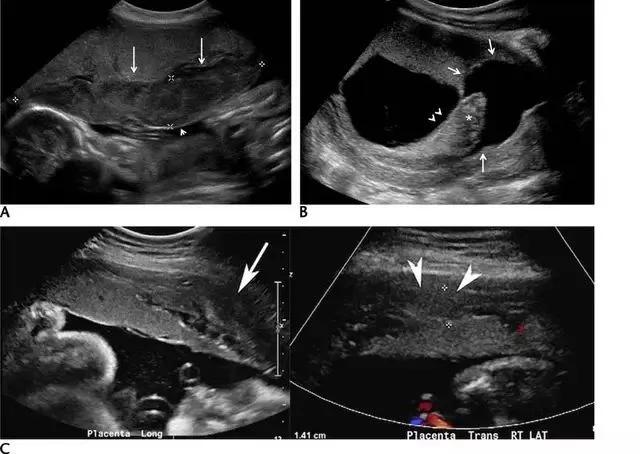
胎盘早剥指胎盘尚未成熟即与子宫壁分离开来的状况,是晚期妊娠出血的主要原因。胎盘前早剥发生于胎盘与羊水之间的绒毛膜板下,较其它类型的早剥少见;胎盘后血肿继发于蜕膜小动脉的破裂,导致血液在胎盘基底板与子宫壁之间积聚,可造成胎盘基底板坏死及绒毛梗死,导致严重不良妊娠结局。
此类出血的严重性与发生出血时的孕龄及血肿大小有关。早孕时出现较小的血肿,却可带来较大的影响。晚孕时的血肿若造成 50% 以上的胎盘与肌壁分离,则后果严重。
胎盘后复合体通常厚约 1~2 mm,由子宫胎盘血管及肌层所构成;如果超声发现此处增厚,应疑及胎盘后血肿。急性期的血肿回声较胎盘回增强或与之相同,一周后变为低回声,两周后可变为无回声(图 14)。

图 14 示胎盘早剥:A 为孕 24 周时的胎盘横切面,胎盘表面(长箭头)与羊膜(短箭头)之间可见一个较大的低回声区,此为胎盘前早剥。B 为孕 11 周的子宫矢状面,可见胎盘后的慢性无回声出血灶(长箭头),并延伸至绒毛下空间(短箭头),星号示出血灶导致胎盘边缘抬起。C 为另一孕 27 周伴无痛性阴道出血患者的子宫矢状面及横切面,长、短箭头所指回声为胎盘后的亚急性出血灶
超声对于急性或超急性胎盘早剥的检出并不敏感,尤其当出血灶局限于胎盘后方,此时胎盘外膜完整、出血灶处于隐蔽状态。胎盘后出血常常预示胎儿出生后的状况差,因而应积极处理这种出血。
10
胎盘肿瘤
胎盘囊肿:可见于胎盘绒毛膜之下或胎盘之内,其病原学原因尚不清楚,病理多为良性。极少数情况下,位于脐带进入胎盘处附近的绒毛膜下囊肿可引起脐带收缩,导致宫内发育受限。超声易于显示囊肿,表现为沿胎盘表面的薄壁、无回声结构,无血流信号(图 15)。

图 15 A 箭头示孕 24 周时的源于胎盘绒毛膜表面的薄壁、无回声绒毛膜下囊肿,PL:胎盘,孕妇一般情况可。B 为另一个胎儿孕 35 周时因脐带栓塞而宫内死亡后的胎盘标本,箭头示源于脐带起源处附近的分叶状胎盘表面绒毛膜下囊肿
滋养层胎盘肿瘤包括一组源于胎盘滋养组织的相关肿瘤,如部分性及完全性葡萄胎、侵袭性葡萄胎、绒癌、胎盘滋养层肿瘤。引起本病的风险因素包括高龄孕妇与既往患过胎盘滋养层肿瘤病史。部分或完全性葡萄胎是良性病变,部分性葡萄胎伴有胎儿存活,而完全性葡萄胎没有胎儿,其患绒癌的风险性更大。在超声上,葡萄胎的子宫增大,部分性葡萄胎的子宫可见多个弥漫性无回声病变,胎儿因多发先天性畸形、三倍体及生长受限而不能存活(图 16)。

图 16 示部分性葡萄胎:A 为子宫横断面,箭头示宫内不均质囊实性包块,血流丰富,宫内可见积液。B 示宫内另可见部分胎儿(小箭头)及较短的脐带(长箭头、)。C 为盆腔矢状位的压脂像 T2WI,上方箭头示宫内不均质包块,下方箭头示部分胎儿
完全性葡萄胎在早孕期呈现为子宫增大、宫腔充满不均质的伴血流的高回声组织,宫内可出现小囊肿,可误认为早孕。妊娠后期时,宫内充满高回声包块,内含多个无回声囊性暗区(即水肿的绒毛),称为「瑞士奶酪」或「暴风雪」 征(图 17)。双侧卵巢可有黄素囊肿(即较大的多分隔囊肿),系 HCG 增高引起。宫内包块为高速低阻血流,与宫内正常弓状低速低阻血流不同。在双卵双胎妊娠,可同时并存葡萄胎与正常妊娠。此时,正常胎儿可有正常胎盘,这与部分性葡萄胎不同。

图 17示完全性葡萄胎:孕 10 周时的子宫纵切面,宫内充满囊性包块,患者的 HCG 显著升高。虽超声怀疑肌层遭侵润,但经 MRI 予以排除
葡萄胎可分化为侵袭性葡萄胎及胎盘位置的滋养细胞肿瘤或绒癌。侵袭性葡萄胎的特点是滋养层的过度生长,并子宫肌层的广泛深度渗入;这种侵袭过程为局部性的,并未发生转移,与绒癌不同。在超声上,侵袭性葡萄胎的包块为高速、低阻性血流,其阻力指数尚低于完全性葡萄胎的阻力指数(图 18)。

图 18 为侵袭性葡萄胎:孕妇 35 岁,曾患完全性葡萄胎、并接受清宫,现在 HCG 持续升高。此图示宫腔扩张,内充满不均质的软组织,血流丰富,内膜与肌层的界限消失(箭头)。超声还可见较大的多房性卵巢囊肿(黄素囊肿,此图未显示)
胎盘绒毛膜血管瘤是一种少见的具有胎儿血供的良性肿瘤,多位于胎盘的子面,居脐带进入胎盘处附近,可随着孕龄增加而增大。大于 5 cm 时,可导致羊水过多或过少、出血、早产、胎盘早剥、前置胎盘,胎儿非免疫性水肿,甚至胎儿窘迫或死亡,因而应经常对其进行超声随访。其表现是边界清晰的低回声包块,突出于胎盘表面,可能伴有钙化,表明瘤内血供减少及预后较好。瘤内如果测及高速动脉血流,则预示可能出现胎儿水肿(图 19)。

图 19 示胎盘绒毛膜血管瘤:A 为孕 35 周的胎盘绒毛膜板附近的低回声包块(长箭头),内见微小钙化(短箭头)。B 为 A 的彩色血流图,可见一支血管向肿块供血(箭头),星号指示肿块内的血供情况。孕妇无异常表现,足月生产一正常胎儿,胎盘的组织学检查证实为绒毛膜血管瘤
胎盘畸胎瘤 为一种罕见的良性胎盘肿瘤,对妊娠没有不良影响,在超声上表现为软组织肿块,其内钙化灶可有助于鉴别葡萄胎及绒癌,因为它们很少出现钙化。但是,超声难以鉴别胎盘畸胎瘤与无心畸形胎块,因为后者也可出现钙化。胎盘转移瘤可源自黑色素瘤、乳腺癌、卵巢癌等,但均十分罕见。