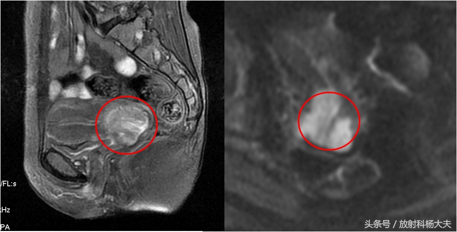
发现宫颈癌后,通常需要做MRI,目的是为了看病变侵犯的范围,也就是分期(早中晚期等),然后根据这个决定是手术,还是放疗等,但不幸的是,很多人发现的时候已经没有手术机会(参考本头条文章)。
红圈所示为宫颈的癌灶
这个病,与HPV病毒有关,部分是可以预防的。
说起HPV病毒(人类乳头瘤病毒)大家可能还没有什么具体的概念,但说起宫颈癌,大家都知道一些,那么两者之间有什么关系呢?
HPV病毒是一种球形DNA病毒,至今已分离出130多种,这种病毒只侵犯人类,是宫颈癌的高危致病因素,其中HPV-16、18、30、31、33、35、39属于黏膜高危型,如果感染了这些亚型,得宫颈癌、直肠癌、口腔癌及扁桃体癌的概率将会大大增加。
HPV病毒在生活中很常见,小到一枚扁平疣,大到各种癌症都有可能是感染HPV病毒所致。但是大家也不要过于紧张,HPV病毒经过正规的治疗后是可以被人体清除的,所以我们要做到的就是早预防,早治疗。
说到早预防,不得不提时下最热门的HPV疫苗,HPV疫苗接种以后可以刺激免疫系统产生保护性抗体,HPV病毒一旦出现,抗体会将其清除。因为HPV病毒是宫颈癌的高危致病因素,所以HPV疫苗现在又被称为宫颈癌疫苗。现在国内这种疫苗批准的是2价疫苗,针对比较高危的HPV16、18两种亚型,但是国外和中国香港是可以接种9价疫苗的,9价疫苗除了16、18亚型之外还包括了6、11、31、33、44、52和58亚型,6和11这两种亚型是主要导致生殖道尖锐湿疣病变的。

打疫苗之前要注意些什么呢?医生建议打疫苗之前应该做宫颈癌的筛查,如果没有HPV病毒感染可以放心接种,即使有某种亚型感染也不影响疫苗接种,因为疫苗仍然可以帮助预防其他没有感染的亚型。
但是是不是打了疫苗就不会得宫颈癌了?答案是no,HPV病毒是导致宫颈癌的80%病因,就是说得了宫颈癌仍然有20%可能与HPV病毒无关,而且HPV疫苗并不是100%有效,所以说打了疫苗并不会100%预防宫颈癌的发生。

还有需要注意的一点是接种HPV疫苗之后半年之内是不可以怀孕的,所以正在备孕的女性不要接种HPV疫苗。其实总结下来宫颈癌从病毒感染,癌前病变到最后演变成宫颈癌是一个相对比较长的过程,所以说大部分宫颈癌是可以提前预防的癌症。近些年宫颈癌筛查在临床的广泛应用,使宫颈癌的发病率已经开始下降,所以最重要的还是大家做好筛查,医生建议有*生活性**开始女性应该每年做宫颈癌筛查。希望每一位女性都能更好的保护自己,爱自己。
(文:铭鸿 部分图片来自网络)