
说到消化道感染,“幽门螺杆菌”则是当之无愧的明星细菌。然而,近期的新英格兰医学杂志(NEJM)却呈现了一例特殊的消化道感染,致病元凶竟是……
作者:陈涵
来源:消化客 GUT GUEST | 微信号 JSPHXHK


主人公是一位33岁的男性,因“反复排便疼痛伴便血4月”而就诊,患者4月来每日排便1次,每次擦拭时均可见卫生纸沾有鲜血,鲜血不与大便混合,无腹痛及体重下降。肛门指检发现一枚肿胀的外痔。乙肝表面抗原、抗体及丙肝、HIV均为阴性。医嘱予以“车前子,萘普生,外用氢化可的松乳膏”。大约10周后,患者重返医院,声称症状持续,无任何好转迹象。体检:体温36.4℃,脉搏82次/分,血压126/76 mm Hg,肛门指检可及外痔,且伴肛周鲜血,但并无明显组织突出肛门。

补充询问病史:患者否认过敏史,16年前从巴西移居至新英格兰,与妻子生活多年。从事建筑行业,否认吸烟史。母亲有高血压,家族中并无结直肠癌家族史。患者于入院第6天,承认自己在发病前6周曾于其他男性有过性接触,但否认任何性传播疾病史。

邀请肛肠科会诊,体检示:在肛缘前、后正中线可见大而明显的肛裂,远端有结缔组织增生形成皮赘(肛周皮赘)。直腸指診仅有中度肿胀,余无明显异常。肛门镜检查发现肛裂及数枚形态较小的内痔。可屈性乙狀結腸鏡檢查示:入镜深度为30 cm,远端直肠约10 cm段可见轻中度黏膜炎症,伴水肿和片状红斑。
病史回顾
33岁巴西男性,同性恋者,反复排便困难和便血4月,检查发现该患者直肠炎伴多处肛裂,初诊为“疼痛性外痔”。然而,该患者的年龄、籍贯,肛周表现及同性恋*交性**史使得这个初步诊断受到质疑。一般来说,与痔有类似表现的疾病有:肛周皮赘(可能与克罗恩病和慢性肛裂有关)、尖锐湿疣,扁平湿疣,肛门结核。因此,暂且将患者归为为“疼痛型肛周丘疹”范畴。
诊疗思维及鉴别诊断
1. 直肠炎
直肠炎类型有很多,关键是找寻其潜在病因。病因主要有:感染、溃疡、自身免疫性疾病、创伤、淋巴瘤、缺血以及淀粉样变等等。该患者并无发热、腹痛腹泻,因此可排除HSV相关性结肠炎、下疳及肉芽肿克雷白氏杆菌引起的腹股沟肉芽肿;此外,乙状结肠镜表现为局部病变而并非弥漫性炎症,因此可排除肠道淋巴瘤可能;溃疡性结肠炎和淋巴滤泡样直肠炎一般不伴有肛周病变,可予以排除;化学性直肠损伤一般呈现急性病程,与患者不符;慢性缺血性直肠炎一般不发生于无危险因素的年轻人,且不引起肛周病变,予排除。
2. 克罗恩病
该患者是一位年轻男性,接近克罗恩病发病年龄的高峰期(20-30岁间),主要症状为肛周异常:包括疼痛性肛周皮赘和肛裂,这些在克罗恩病患者中都很常见。此外,约2%的克罗恩病患者可表现为孤立性直肠炎,因此,结肠炎的缺如并不能排除此诊断。继而,克罗恩病必须包含在该患者鉴别诊断中,需重点与能模仿炎症性肠病的肠道感染性疾病相鉴别。
3. 肠道感染性疾病
临床医师在建立感染诊断之前,了解患者从暴露到发病的时间对于鉴别诊断非常有帮助。但是,也要考虑此方法的局限性,因为不完整的暴露史很可能导致误诊的发生。
(1)在同性恋患者中,淋病奈瑟菌(30%)和沙眼衣原体(19%)是最常见引起直肠炎的两种病原体。但是,就感染的潜伏期而言,奈瑟淋球菌一般为5-10天,沙眼衣原体一般为7-10天,时间均太短,与该患者不符;
(2)巨细胞病毒相关性直肠炎一般发病与*交肛**2周内且其直肠炎发生几率极低,因此也予以排除;
(3)性病性淋巴肉芽肿(由沙眼衣原体L1、L2、L3型引起),它可通过*交肛**而传播,引起孤立性直肠炎,二期的患者可出现类似克罗恩病的症状,如肛裂、肛瘘以及肛周脓肿等,但一般来讲,该病的潜伏期为3-6个月,与患者提供的6周前*交肛**史不符,予以排除;
(4)结核分枝杆菌,其感染的潜伏期长短不一,但是结核性直肠炎极其罕见,且一般伴有全身症状而鲜有肛周病变(占胃肠道结核的1%),因此也予以排除。
(5)该患者的表现及感染相应的潜伏期与“梅毒性直肠炎”相匹配。在青霉素尚未出世的时代,二期梅毒常引起直肠炎以及各种肛周病变,包括肛裂和扁平湿疣,这些都可以与外痔有相同的表现。二期梅毒的潜伏期为4-12周,症状可持续数月。但是,由于“梅毒疹”是二期梅毒普遍的特征(在*交肛**者中的发生率约为93%),而该患者并没有梅毒疹的表现,因此,需要更谨慎鉴别。在一项纳入105名二期梅毒患者的前瞻性研究中,所有患者均有梅毒疹,但是有26%的患者自己并没有发现该病变,有21%患者的医师把梅毒疹当成了“不显眼的损伤”,由此可见,梅毒疹很容易被漏诊。到此,总体而言,该患者大致符合梅毒性直肠炎的表现。
因此,现在尚不能判定该患者是克罗恩病亦或是梅毒性直肠炎。这两种疾病都有直肠炎、肛裂以及肛周丘疹的表现。就患者*交肛**史来看,似乎梅毒性直肠炎更符合。下一步就是确诊梅毒。
确诊方法
行“梅毒特异性血清学试验”和“快速血浆反应素试验”(RPR),两者结果皆为阳性,且RPR为1:256,均符合梅毒诊断。

结肠镜下取直肠黏膜组织活检:

(N Engl J Med 375;7 )
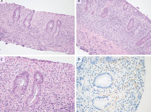
活检病理示:粘膜固有层扩张,结肠隐窝被一团富有淋巴样增生灶的组织细胞分离(图A和B)。周围可见散在的淋巴细胞和浆细胞。黏膜有片状侵蚀,底层的隐窝显示再生、凋亡以及轻度中性粒细胞性隐窝炎(图C)。隐窝未见脓肿、扭曲及浆细胞浸润。显然,这些病理表现不符合炎症性肠病。最后,行螺旋体特异性免疫组化,于固有层可见大量的梅毒螺旋体浸润(图D)。
最终诊断
梅毒性直肠炎
治疗
在梅毒确诊后,患者发现了自己手掌和脚底的皮疹。予以苄星青霉素G,肌注三次后,复诊查RPR为1:4。同时排查其他性传播疾病:如咽部、尿道及直肠的拭子采样检测淋病奈瑟菌和沙眼衣原体,反复行HCV和HIV抗体检查。幸而,这些结果均为阴性。同时予以“恩曲他滨”、“替诺福韦”以预防HIV。
讨论
肛门直肠梅毒可以表现为在肛周皮肤下疳或乙状结直肠炎症,同时常伴出血、疼痛、坠胀感。这例患者所显示的肛门直肠部镜下表现,即使是经验丰富的内镜操作者也无法确诊,这提示了对于高危人群行性传播疾病血清学实验室检查的必要性。由于梅毒性直肠炎临床表现不显著,病人常常隐瞒病情,医师常常疏于诊断,使得其很容易漏诊。而未经治疗的梅毒患者,病毒主要以性传播为主要方式,但病毒也可通过输血、污染的医疗器械而出现交叉感染。

自打小编学医以来,消化道疾病似乎都被“幽门螺杆菌”占领着一席之地,罕有梅毒螺旋体影响消化道的病例。尽管此病例所呈现的肛周表现病因复杂多变,但只要我们认真了解病史、细心排查鉴别、同时结合肛直肠活检、血清学检查等,那么做出正确的诊断完全有可能。同时值得留意的是:消化科及肛肠外科的临床医师们也要注意个人防护,避免医源性感染造成生活不便。此外,也呼吁社会各界加强性传播疾病的预防宣传。“安全、健康、快乐”是我们追求的宗旨。

好了此期的病例分享结束了,下期见吧,大家如有感兴趣的消化道疾病,不妨给小编留言哦。
欢迎投稿到小编邮箱:liushiyi@yxj.org.cn 来稿邮件主题为:【投稿】医院+科室+姓名
小编微信:choudan110