
一、结肠闭锁
在胎儿消化道闭锁与狭窄畸形中,结肠梗阻和直肠肛门闭锁较为少见,仅占5%~10%,发生率小于1:5000;最常见的是肛门直肠闭锁,其次为先天性巨结肠或者胎粪性肠梗阻及囊性纤维化所致的胎粪栓综合征,而单纯性结肠梗阻极少由产前超声检查发现。其发病原因与小肠闭锁相似,与血供障碍有关。根据闭锁肛管相对于肛提肌的位置可以分为高位、低位和中位闭锁。
由于直肠肛门闭锁常伴有直肠阴道瘘或直肠尿道瘘等,此类胎儿在产前可以不出现肠梗阻而表现为接近正常的腹部超声影像;并且当结肠扩张时结肠袋往往不太明显,在形态上很难将其与小肠病变鉴别;存在多部位狭窄时,远端肠道梗阻往往无法通过超声检出。因为肛门直肠闭锁胎儿80%合并VACTERL综合征及多发畸形,所以必须对可疑胎儿进行系统的超声检查。此综合征的发病原因为7号染色体长臂大部分缺失,造成位于7q3.1部位的囊性纤维化基因跨膜调节蛋白异常,影响氯离子、钠离子的跨膜运转,影响胎粪的排出,导致肠道扩张。VACTERL综合征具体表现为:脊椎骨异常、肛门直肠闭锁、心血管畸形、气管食管瘘、食管闭锁、肾脏畸形及肢体畸形等。
因此,对于超声发现多发畸形的胎儿,应进行羊水穿刺染色体核型分析以进一步明确诊断。单纯结肠梗阻和肛门闭锁多不伴有羊水增多,因为远端结肠梗阻不影响胎儿吞咽羊水的功能,吞咽的羊水在结肠黏膜水平被重吸收;即便羊水增多,通常出现在妊娠晚期。
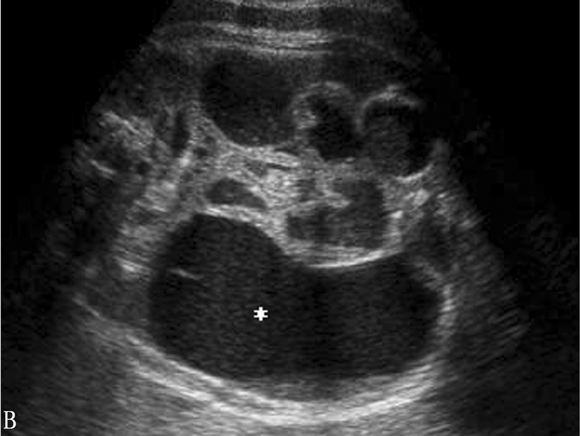
产前超声的重要表现是结肠扩张(图1,2)。大肠直径随着孕周的增大而增大,因此,判断结肠是否扩张,应根据检查时的孕周来判断。正常胎儿结肠直径在25周时不超过7mm,足月时不超过18mm。肛门闭锁时,常在胎儿盆腔下部显示出“V”形或“U”形扩张的肠管;结肠腔内可见到钙化,提示可能有肠结石,可能由胎粪浓缩和凝固而成的。未检出肠管扩张不能除外肛门闭锁的可能。产前超声诊断缺乏特异性。早孕期检出肠道扩张可能为肛门闭锁的一个标志。

图1 孕14周胎儿肛门闭锁,盆腔下部肠管扩张呈“双叶”征

图2 孕29周胎儿直肠肛门闭锁致肠管全程扩张
先天性肛门闭锁产前诊断困难,低位性闭锁合并异常者较少见,高位闭锁者应作详细超声检验,如合并VACTERL者预后不良。对于未合并其他畸形的肛门闭锁手术治疗效果较好,总病死率低于10%。
二、肠重复畸形
消化道重复畸形是一种少见的先天畸形,从口腔至直肠的任何部位都可发生,其中以小肠重复畸形最常见,其发病率为0.025%~1%,尤其是回肠末端,大约占重复小肠畸形的70%以上。重复的小肠通常位于肠道的系膜一侧,大小可以只有几毫米,或者和整个小肠一样长,有共同的血供,相同的组织结构、浆膜、平滑肌及黏膜。新生儿和婴儿最常见的临床表现为呕吐、腹胀、肠扭转和肠套叠。
发病原因可能是多源性的,包括原肠腔化障碍、憩室样外袋增生膨出、脊索-原肠分离障碍、原肠缺血坏死等。根据其形态可分为:①囊肿型,多见,多与长腔不相连,有位于肠壁基础外的肠外囊肿型,位于肠壁肌间及黏膜下层的肠内囊肿型。②管状型,与主肠管平行走行,多与主肠管有共同开口,可发生肠腔扩张。
产前的鉴别诊断并不容易,超声表现为胎儿腹腔内的圆形或椭圆形无暗区,与腹腔囊肿难以鉴别(图3);明显的病例在早期妊娠或中孕早期即可显示腹部无回声区,若发现囊壁蠕动高度提示肠重复,但与肠道梗阻引起的局限性肠道扩张难以鉴别。

图3 孕35周胎儿肠重复畸形显示中下腹部囊性包块,壁类似肠管回声
食道重复畸形亦为囊性包块,位于后纵隔内,向前压迫气管,食管被推向一侧,重复食管可伸展到颈部或腹部,与主食管、气管、胃及小肠相通者,超声难以检出。
胃重复畸形约占消化道重复畸形的8%。畸形可以表现为囊状或者管状,通常出现在胃大弯旁边。超声表现为胃腔内或胃近端的囊性包块。女性与男性之比例为2:1。大约一半病例有伴发畸形,最多见的是消化道其他部位的重复畸形和脊柱异常。
肠重复畸形预后良好,手术切除成功率高。新生儿最常见的并发症为肠梗阻、出血及腹膜炎。