患者女,13 岁,因排尿困难 1 天并下腹部疼痛急诊就诊。
超声所见:子宫大小、形态正常,肌层回声均匀,宫腔分离约 0.9 cm。阴道壁薄而平滑,其内探及范围约 9.4×5.7 cm 囊性回声区(图 1 和图 2),内可见密集点状回声,未见明显血流信号。盆腔内未见明显液性暗区及其他异常回声。
询问病史,患者未出现月经来潮,既往无相似症状。

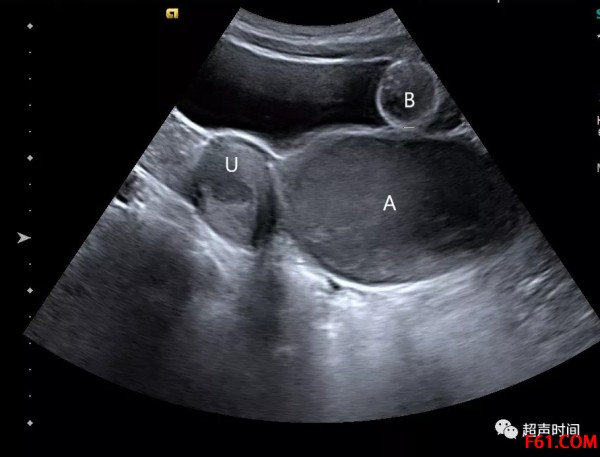
处女膜闭锁超声图
图 1 示子宫(U)宫腔分离,阴道内呈囊性回声(A)。B:导尿管球囊

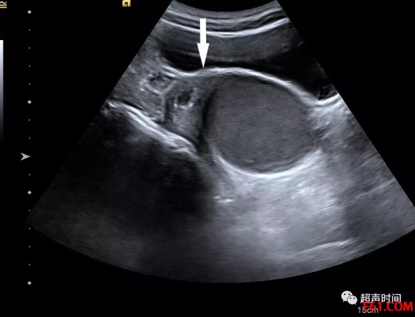
处女膜闭锁超声诊断图
图 2 箭头示囊性回声区与宫腔积液相连
超声提示:宫腔及阴道内积血,考虑处女膜闭锁所致。
最终经临床检查和手术证实。
病例讨论
处女膜闭锁属于处女膜发育异常,主要因为泌尿生殖窦上皮未能向前庭部贯穿所致。
处女膜闭锁临床表现为青春期或青春期后无月经来潮。由于处女膜闭锁,经血无法排出,最先表现为阴道积血,并逐步出现宫腔积血,部分可出现输卵管积血和腹腔积血,导致腹腔感染和子宫内膜异位症。
患者可表现有不同程度的周期性下腹部疼痛、盆腔肿块,也可因阴道积血压迫导致排尿困难或慢性便秘。
处女膜闭锁的超声典型表现为阴道、宫腔和(或)输卵管、腹腔内探及液性暗区,内可见密集点状回声。
处女膜闭锁需与阴道闭锁进行鉴别。
处女膜闭锁时,阴道内的液性暗区下端呈圆柱状,张力高;
阴道闭锁时,阴道内的液性暗区下端呈漏斗状,张力低。
处女膜闭锁一经发现,应及时行手术治疗,切开处女膜,排出经血。