Colon and Rectum

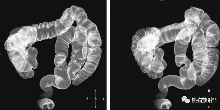
3D CT双对比虚拟结肠镜检查的两个视图。可以从空间上的任何角度来分析图像。

计算机辅助息肉检测。静脉注射造影剂后局灶性肿瘤灌注增加,以自动“检测”潜在的肿瘤(箭头)。

两张3D双对比MR虚拟结肠镜图像。可视化类似于使用CT获得的可视化

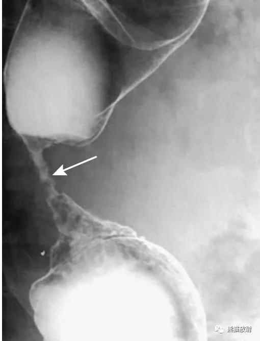
Hirschsprung病(先天性巨结肠)。钡灌肠可显示变窄的直肠(箭头)和近侧扩张的结肠。
(发病机制是远端肠管神经节细胞缺如或功能异常,使肠管处于痉挛狭窄状态,肠管通而不畅,近端肠管代偿性增大,壁增厚。)

盲肠白塞病(Behcet syndrome)。可见散发的小溃疡。

克罗恩病(Crohn's disease)。存在广泛的丝状息肉。

克罗恩病。病变段肠管的MR HASTE序列(A)和对比增强的GRE序列(B)图像。


乙状结肠憩室炎。CT(A)和MR(B,C)图像。多发憩室,相应肠壁增厚、周围间隙混浊,不全肠梗阻。

继发于阿米巴结肠炎的降结肠狭窄(箭头)。

结核性结肠炎,表现为局部肠腔狭窄(箭头)。

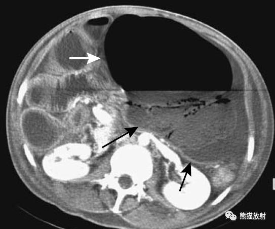
巨细胞病毒性结肠炎。盆腔CT图像显示扩张的厚壁结肠(箭头)。

艰难梭菌结肠炎。CT显示结直肠壁增厚(箭头)。

肠脂垂炎。钡灌肠提示局灶性外渗(箭头)。表现为非典型的憩室炎。

结肠炎性纤维息肉(箭头)。最初怀疑是癌。
横结肠血管瘤(箭头)。

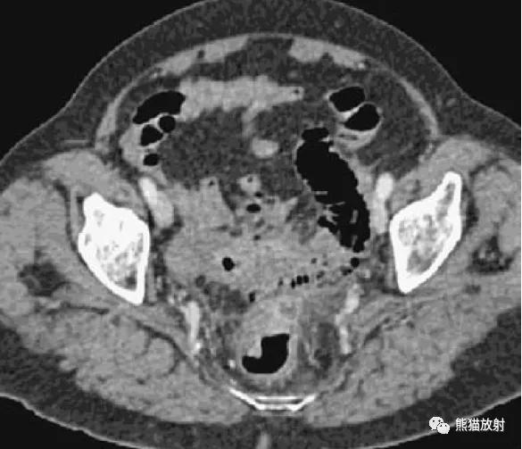
直肠子宫内膜异位(箭头)。局灶性的、波纹状的直肠前壁受累是典型表现。

子宫内膜异位症累及子宫直肠陷凹。矢状(A)和横断(B)的T2WI图像显示子宫和直肠之间可见不均质肿瘤(箭头),显示直肠前壁是如何经常被累及。

同一患者:结肠肝曲腺癌(黑箭)、升结肠腺瘤(白箭头)

升结肠癌(箭)和横结肠浸润性腺癌(箭头)。

钡灌肠筛查中发现了一个15mm的乙状结肠腺癌(箭头)。乙状结肠冗长。

结肠腺癌。肠壁环形增厚,苹果核征;可见溃疡形成(箭)。

直肠远端癌(小箭),呈弥漫性地毯样浸润。息肉状浸润性直肠癌(大箭)。

直肠周围脓肿(易误诊为直肠癌)。4个月前因增生行前列腺切除术,出现便秘。盆腔CT显示直肠病变并管腔变窄(箭头)。T1和T2加权图像显示直肠壁增厚和周围充满液体的结构(箭),提示脓肿或坏死性肿瘤。

疑急性阑尾炎的患者,右半结肠癌并穿孔(箭头)。周围软组织肿块内坏死并气体影,类似阑尾脓肿表现。

直肠癌。平扫和增强的冠状T1WI图像显示远端直肠左侧壁肿瘤(箭头)侵犯直肠周围脂肪。

乙状结肠腺癌(箭头)。1cm圆形肿瘤,边缘光滑,其内的小圆圈是肿瘤的蒂。

盲肠肠扭转。 盲肠明显扩张并移位至左侧(箭头)。右腹部可见小肠扩张,提示继发小肠梗阻。

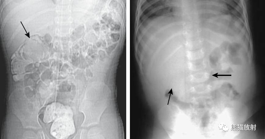
盲肠扭转。X线摄片显示中腹部肠管明显扩张(箭头)。钡餐检查示升结肠扭曲部位可见特征性的鸟嘴征(箭头)。

乙状结肠扭转。消化道造影侧视图可见乙状结肠局部走行扭曲(箭头)。

结-结肠肠套叠(箭头)。此例病因很罕见,为结肠子宫内膜异位。


结-结肠肠套叠,由盲肠癌所致。钡灌肠显示横结肠中的肠套叠(箭头),在进一步的压力下,肠套叠移位至升结肠。

回-结肠套叠。CT定位像示7岁患儿的肠套叠(箭头)。Burkitt淋巴瘤所致。右图:10个月大的婴儿,疼痛和右上腹肿块。X线平片示横结肠(箭头)区域有软组织肿块。钡灌肠证实为肠套叠。

巨大的乙状结肠憩室。X线平片示盆腔巨大充气结构(箭头)。钡灌肠确定为憩室(箭头),并与结肠相连。

直肠脱垂

直肠阴道瘘(箭头),继发于淋巴瘤浸润。
内容来自:
《Advanced Imaging of the Abdomen》
Jovitas Skucas, MD
© Springer
来源:熊猫放射
【版权声明】本平台属公益学习平台,转载系出于传递更多学习信息之目的,且已标明作者和出处,如不希望被传播的老师可与我们联系删除