前几天,笔者去看了点映场的《我不是药神》,差点在电影院里就落泪了……

回家路上,我就在想,这一切的发生,究竟是怎么一回事?究竟是谁的错?究竟该如何去解决?
所以,我想借这篇文章,普及些电影故事的背景和相关知识的干货,请放心,还没看过电影的不用怕剧透,也能在看之前先了解到足够的知识点。
另外,我认为看完影片再仔细看完这篇文章的人,可能会获得多一些层面和角度的思考。
为便于大家厘清文章逻辑,笔者将从以下五点展开:
- 这种病,到底多可怕?
- 「格列宁」,到底值什么价?
- 为什么,印度仿制药便宜?
- 「印度格列宁」,到底是个啥?
- 「药神」的原型,究竟是怎样的人?
1
这种病,有多可怕?
电影里所描写的这种病症,就是背景真实事件中的,叫做慢性粒细胞性白血病(Chronic Granulocytic Leukemia, CGL)。
所谓粒细胞,是一种细胞质中包含颗粒体的白细胞,正常状态下,它会由补体调节蛋白调控,并由骨髓中的造血干细胞分化而成。但是,某些人体内的费城染色体(Philadelphia chromosome)会发现染色体易位现象:也就是九号染色体中长链的 ABL 基因,会与二十二号染色体上長链的 BCR 基因发生并列性易位,而产生一种新的融合基因(fusion gene)。

费城染色体易位产生的融合基因
发生费城染色体易位之后,就会导致人体骨髓中的主要粒细胞从此不受控制地增长,并在血液中不断地积累,无限增生。这种粒细胞恶性增殖的疾病,也就是慢性粒细胞性白血病。

粒细胞恶性增殖
图片来源:维基百科
每年所有的白血病新患者中,约有 15% 为慢性粒细胞白血病患者。这种病症的发病演变分为慢性期,加速期与急变期。
在慢性期阶段中,患者通常没有什么明显的病症,或是仅有一些乏力、左侧疼痛、关节疼痛或者腹胀的不适感。只有在验血时,才会发现白细胞总量有偶然性的增多。慢性期的长度一般各有不同,取决于疾病何时被诊断以及治疗的介入时间。如果没有进行治疗的话,疾病就会进入加速期。
在加速期阶段,患者的症状与表现与急性骨髓性白血病患者很相似。而且加速期非常重要,因为此时已经暗示疾病在持续恶化,并将向急变期转化。在加速期阶段中,药物治疗通常已经效果甚微了。从慢性期到加速期,一般患者可以渡过 3 到 5 年。

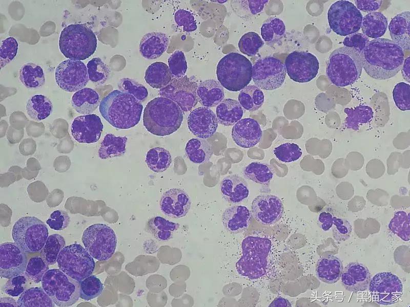
外周血象(格伦沃尔德氏染色):已被标明的增殖的粒细胞
图片来源:维基百科
一旦病症进入急变期,患者的状况就会急转直下,很快就会死亡,目前也没有什么有效治疗手段。在影片中医生说某角色已经进入急变期,就是这个阶段了,再多的就不剧透了,看过的自然知道……哎……
慢性粒细胞性白血病的具体症状包括:左侧、上腹肿痛脾脏肿大、肝脾及淋巴结(颈、腋下、腹股沟)肿大、萎靡不振、晚间睡觉时大量出汗、关节疼痛、发热或低烧、喉咙痛,口腔发炎等、而且经常有牙龈出血,此外伤口难以止血。另外还有贫血、消瘦、有青紫皮试症的血小板减少症等症状。
虽然这种病症看起来挺恐怖的,但是也不用过分担心,因为它虽然发生于全部年龄的人群,但发病率随年龄的增长而提高,绝大多数患者通常都为中年或老年。而且每年疾病发生率,在 10 万人中仅有 1 到 2 例,还是比较罕见的。此病目前已知的最大诱因,是电离辐射(高频短波长的高能电磁波)。二战时广岛和长崎遭遇核打击后,当地慢性粒细胞性白血病的患病比率出现了大幅上升。
2
「格列宁」,到底值什么价?
整个电影的核心矛盾,就围绕着这种叫做「格列宁」(电影中为化名)的药的价格。在讨论它具体值多少钱之前,笔者先说下慢性粒细胞性白血病的发病原理,前面也说了,当9号和 22 号染色体交互易位之后,会产生费城染色体及 BCL-ABL 融合基因。
而致病的根源就在于,这种融合基因可以编码出 BCL-ABL 融合蛋白,它具有很强的酪氨酸激酶活性,可以激活多条信号转导途径,同时还能对细胞周期进行调控,导致细胞恶性增生,具体表现为细胞的正常凋亡出现障碍,降低骨髓基质细胞之间的粘附性,介导粒系细胞增殖与转化等等,最终导致慢性粒细胞性白血病的发生。

中期细胞荧光原位杂交里呈现的费城染色体
图片来源:维基百科
关于这种病的治疗,在 90 年代或以前,只能使用化疗干扰素,羟基尿及骨髓移植等等治疗手段。也就是影片中那些病人如果得不到药,只能接受的治疗方式。
1990 年时,瑞士一家医药公司开发出了一种专门针对此病的药伊马替尼(Imatinib),这家公司在 1996 年兼并了另外一家公司,组成了后来的瑞士制药巨头*制药,也就是电影中的那家。而伊马替尼在商品化之后,有了一个新的商用名字——「格列宁」(电影中的化名)。是的,影片中的所有爱恨情仇,都是有它而起。
「格列宁」,或者说伊马替尼治疗慢性粒细胞性白血病的机制,就在于它可以通过结合 ATP 上接近 BCR-ABL 这个结合位点而工作,锁死它以关闭或自抑制结构,因此抑制了酪氨酸激酶的活性。

「格列宁」的治病机制
更重要的一点在于(对癌症治疗有兴趣的请关注这里),由于 BCR-ABL 酪氨酸激酶只存在于肿瘤细胞中,而不存在于正常细胞中,所以伊马替尼的工作原理,可以被视为一种标靶向的治疗,针对一个靶子攻击而不误伤,结果就是只有癌细胞通过伊马替尼药物而死亡,不会损伤到正常细胞。
而且,伊马替尼的这种治疗方式,是在癌症治疗中第一个真正意义上的靶向治疗,也为后来治疗其他癌症起到了重要的参考性作用。

「格列宁」的临床效果数据
可以说,「格列宁」的诞生,是众多医疗专家的科研结晶:大量研究者通过筛选药物库,来寻找那种有机物才是那一发指向标靶的*弹子**,可以高效抑制蛋白质。随着不断地筛选,他们终于发现了 2-苯基氨基嘧啶这个化合物。再通过进行了大量的测试之后,又确定了引入甲基和苯甲酰胺基的修饰,来帮助它增强结合性能,从而产生了伊马替尼。伊马替尼的开发者布莱恩·德鲁克尔、尼古拉斯·莱登,也获得了 2009 年美国拉斯克奖和 2012 年日本国际奖。
用通俗一点来说,某种意义讲研发这种新药品的过程,基本上就和《阴阳师》里抽 SSR 是一样的撞大运概念。而「格列宁」更是一张神级 SSR。
生命无价,但是人类科技的结晶,是有价的。所以,关于「格列宁」的定价高昂,你可以说它不合理,但也可以说,它在当时确实值那个价。换一个角度想想,如果没有巨大商业价值潜力的驱动,没用暴利的诱惑,会有那么多专家组成的团队出于完完全全的人道主义,花费巨额经费和人力进行高效开发吗?(不多扯了,多说又会扯到经济自由化的利与弊了)
还有一个需要知道的点:前面提到的瑞士*制药公司开发药物,并不是只有「格列宁」,它投入了八百多亿资金研发,最终能保证研发成功的只有 21 种,能够大卖的更是只有「格列宁」等几款。暴利面前,医药企业也终究是商人。所以,风险和利益并存,也是促使「格列宁」「天价」的一个原因。
3
为什么,印度仿制药便宜?
和很多人想象中并不一样的是,印度仿制药并不是什么见不得光的事业,相反,证明了某些印度相关领导在这方面具有相当的前瞻性,毕竟说白了,只不过是规则的合理利用罢了。在具体聊到这个话题之前,笔者先简单科普下所谓专利药和仿制药:
- 专利药,是指申请专利的新化合物单体药,在专利期内,只有拥有该药品专利或者取得专利授权的公司,才能够生产。
- 而仿制药(Generic drugs),是指专利药品的化合物专利到期后,其他厂家所生产的和专利药化合物成分一模一样的药物(具体的生产工艺和配料比例可能会不同)。

其实针对仿制药,也有简单的申请步骤(ANDA),通过这个流程需要证明仿制药和专利药的化合物一模一样,并具有相同的生物等效应和有效性。而差别在于,仿制药一般不需要进行临床试验,其申请时间和花费的经费,都远较专利药为少。
其实仿制药最早的始作俑者并不是印度,而是美国。1984 年,美国有 150 种药品专利期到了,药厂觉得无利可图,于是不愿意将继续开发其后续版本。按当时法规,如果有其他厂家希望继续生产这些药品,必须要重新走一遍新药开发的流程,还要申请新的专利。

仿制药(黄)和专利药(蓝)的价格对比
正是在这样的大环境下,美国出台了著名的「哈茨·沃克曼法案」,同意新厂只需证明自己的药和原药化合物相同,药效一样,就可以生产,从此,就出现了所谓的「仿制药」。
可以说,印度恰恰是「哈茨·沃克曼法案」的最大受益者。
在上世纪 70 年代之前,印度国内的医药市场被跨国制药企业所垄断,因此沿用的是仍然是过去殖民地时期的专利法,对医药产品给予较强的保护。直到 1970 年时,印度颁布了《专利法》,取消了医药产品的专利,使印度本土制药企业可以合法地仿制那些跨国制药企业的专利药品。

在此之后,印度还颁布了一系列的法规和政策,目的就在于压低国内的药价,同时鼓励本土制药企业大举开发仿制药。在这样的保护机制之下,原来占据主导地位的外国药企遭遇到了灭顶之灾,它们再也无法阻挡本土的疯狂仿制,也降低了印度在引入或者开发先进药品的积极性。此外,印度法律对外资股权的严格限制,使原有外资医药企业大量流出。
伴随着这个仿制药的大风口,印度制药企业彻底腾飞了。他们不但加速仿制药 ANDA 的申请,还利用贸易知识产权协定(TRIPS)关于 WTO 新成员国过渡期的规定,进行国际扩张,把市场扩大到全球范围。在本世纪初,印度制药企业已经牛逼到满世界收购其他制药公司的地步……不少美国、德国、日本的制药企业都被印度本土公司所兼并。
自 1991 年以来,印度制药业的年增长幅度保持在 10% 以上,远远高于印度国内的 GDP 增幅。而印度政府税收中更是有 15% 直接来源于制药产业。印度生产的超过 2/3 的仿制药,通过出口到其他的发展中国家,因此印度已发展成为世界第四大药品生产国,产量占全球药品产量份额的 8%。
可以说,印度本土制药企业充分利用了规则,加上自身劳动力廉价、成本低廉的巨大优势, 向欧美出口大宗原料药、中间体、成品制剂和生物制剂,成为了欧美医药巨头的货源。更重要的是,印度本土药企也在仿制药的生产过程中,积累了大量的经验、学习到了先进的技术,为他们本国开发自己的专利药打下了深厚的基础。

4
「印度格列宁」,到底是个啥?
影片中很直接地展现给我们,印度的仿制药企业的的确确在光明正大地生产「格列宁」的仿制药。并且,这种仿制药在效果上与原版的「格列宁」区别不大,由于省却了巨大的研发成本,且无须支付专利费,因此仿制药的价格只有原专利药的十分之一。
这样的事情,当然瑞士制药公司是看不下去的,凭啥老子栽树你乘凉?
所以,瑞士制药公司后来迅速研发出了一个新版本的「格列宁」,并在 1998 年 7 月时,向印度钦奈(Chennai)专利委员会申请授予「甲磺酸伊马替尼 β 结晶体形式」的专利,要求对伊马替尼的新版本「格列宁」进行专利保护。

瑞士「格列宁」
请先记住这个「β 结晶体形式」,这种晶型相比之前的老版本「格列宁」的「α 晶型」更具流动性、稳定性,具有更强的吸收性,这些特性使得患者对药品的吸收至少可以提高 30%。在影片中其实也涉及到这两种版本,但是没有仔细地去说,笔者在下面会继续再讲相关的事情。
不出意外,瑞士制药公司的专利申请被印度当局驳回,在此之后他们开始和印度方面进行了长达 7 年的官司诉讼。瑞士制药公司的理由很简单:你印度不是1995 年就加入 WTO 了吗?那就得按照我们的规矩来办啊。而且你们哭穷,那我也送了你们免费药嘛:当年瑞士制药公司的捐赠项目曾为超过 6600 名印度患者提供了免费的「格列宁」。

印度民众抗议瑞士制药公司的高价药
而印度最高法院却吃透了 WTO 对成员国过渡期的政策,利用 TRIPS 的协定的规则进行合理斗争,终于达成的妥协,是等到 10 年之后印度过渡期满,再颁布新的《专利法》,废除了不允许食品、药品等产品获得专利权的禁止条款。
这个新《专利法》,看似结束了印度仿制药的时代,但事实上印度当局仍然一直驳回瑞士制药公司关于新版「格列宁」的专利申请。因为印度法律禁止向「更新但是与原有药物形式上没有根本不同的药物」授予专利。一次次的诉讼中,印度最高法院始终认定,「新格列宁」这种改进型药品「不符合创新和独创两项标准」。

印度街头的药店
事实上,印度法律从来都不允许跨国制药企业轻微修改配方,从而申请延长药品专利保护期的做法。笔者认为,这其实和印度政府高度重视本国的医疗体系有着极其重大的关系:印度上亿的底层民众,如果连基本的看病都得不到保障,那么国家就一定会出现不可估量的动荡。毕竟,生存是马斯洛需求体系的最底层。
再举一个例子,印度宪法中就规定了全民的免费医疗,事实上不仅仅是印度国民,哪怕其他国家的外国人,只要你人在印度,到公立医院看病除了医药费之外,所有的挂号费、检查费、就诊费甚至包括营养餐,都是免费的。只不过公立医院大量排队、脏乱差这些都是无法避免的了,所以有钱人还是会选择私立医院。

印度拥挤的公立医院
说回来,电影中一开始所出现的「印度格列宁」,是印度 Natco 制药公司所生产的,当地的商品名称叫做 Veenat。这种药在中国并没有得到药监局批准,所以在中国属于一种非法药品。影片里程勇之所以要偷偷摸摸见不得人,就是因为这个原因。
至于 VEENAT 的药效,一般认为它和瑞士制药公司的老版「格列宁」相比,的确没有太大区别。为什么要强调这一点,请大家继续往下看。

印度版「格列宁」:Veenat
5
关于「药神」的原型
许多人大概也知道了,《我不是药神》里程勇的原型,的确是确有其人的,他曾经也是个轰动中国一时的风云人物,那个被奉为「药侠」,「抗癌药代购第一人」的陆勇。

陆勇
关于陆勇,媒体是这么介绍的:
生于 1968 年的陆勇,是江苏无锡一家针织品出口企业的老板。
2002 年,陆勇被检查出患有慢粒白血病,当时医生推荐他服用瑞士制药公司生产的名为「格列宁」的抗癌药。
服用这种药品,可以稳定病情、正常生活,但需不间断服用。这种药品的售价是 23500 元一盒,一名慢粒白血病患者每个月需要服用一盒,药费加治疗费用几乎掏空了他的家底。
2004 年 6 月,陆勇偶然了解到印度生产的仿制「格列宁」抗癌药,药效几乎相同,但一盒仅售 4000 元。印度和瑞士两种「格列宁」对比检测结果显示,药性相似度 99.9%。
陆勇开始服用仿制「格列宁」,并于当年 8 月在病友群里分享了这一消息。随后,很多病友让其帮忙购买此药,人数达数千人。
2006 年,陆勇作为中国红十字基金会志愿者,与另一位北京志愿者,在韩国慢粒性白血病协会律师的陪同下,曾前往印度这家制药公司考察,以确认公司是否真的存在,这些药物在印度是不是「真药」。
2014 年 9 月,「团购价」降到了每盒 200 元左右。为方便给印度汇款,陆勇从网上买了 3 张信用卡,并将其中一张卡交给印度公司作为收款账户,另外两张因无法激活,被他丢弃。
2013 年 8 月下旬,湖南省沅江市公安局在查办一网络银行卡贩卖团伙时,将曾购买信用卡的陆勇抓获。
2014 年 3 月 19 日,陆勇被取保候审。7 月 21 日,沅江市检察院以妨害信用卡管理罪和销售假药罪对陆勇提起公诉。 根据湖南沅江市检察院的起诉书所载明,2012 年至 2013 年 8 月期间,陆勇通过网络购买了 3 张银行卡。
印度制药公司与陆勇采用网上发邮件、QQ 群联系客户等方式,在中国销售印度生产的抗癌药。按照中国法律,这些抗癌药哪怕的确有疗效、且的确是真药,但由于并未取得中国进口药品的销售许可,均会被认定为「假药」。
2015 年 1 月 10 日晚 6 点 30 分,陆勇和朋友一行 3 人从无锡飞抵北京,准备接受媒体的采访。「我们俩走着走着,发现陆勇没有跟上来,再一看他被警方带走了。」
1 月 13 日晚,和陆勇同行的其中一名朋友告诉记者,机场警方带走陆勇的原因是「陆勇已被网上追逃」。陆勇的律师张宇鹏告诉记者,他从北京警方了解到,发出逮捕令的是湖南省沅江市公安局,北京警方是协助抓获飞抵北京的陆勇。
得知陆勇被捕之后,有 300 多名白血病病友联名写信,请求司法机关对他免予刑事处罚。 2015 年 1 月 27 日,沅江市检察院向法院请求撤回起诉,法院当天就对「撤回起诉」做出准许裁定……
按照这样的版本,陆勇当之无愧是一个侠义心肠的人,甚至是个小说中的那种,救民于水火的英雄。但是,在很多相关人士口中,陆勇却有着不为人所知的另一面。特别是 2017 年 GQ 杂志的一篇人物稿——《令人生疑的「中国药神」》中,更是透露出了一些媒体忽略的细节(当然关于GQ 杂志这篇报道,本身也存在着很多质疑的声音,事情究竟如何,我们现在还无法定论)。
在此,笔者就不详细展开去说了,简单地说,就是陆勇其实先后代购过两种药。一开始代购的是上面提到的 Natco 公司的 Veenat,通过向对方汇款来代购。然而七年之后,他将原来的药换成了另一家印度公司 Cyno 公司生产的 Imacy ,而且自称这种药更新更好,他自己也亲自去吃过证明了。

Cyno 公司的 Imacy
但根据许多人的说法,后来换了的药,也就是 Cyno 公司生产的 Imacy,一来价格远低于 Natco 公司的 Veenat 老药,二来本身在印度的生产就是不合法的。这种 Imacy 不但在印度本土药店里买不到,印度药监局也查不到,而且没有合格的生产许可证,甚至连印度当地的专家也不知道有这种药。至于其药效如何,比之原来的版本是否有差异,众说纷纭。
在电影里,关于这两种药的变化,剧本中并没有涉及,笔者认为,作为电影本身而言,是无可厚非的,但是真实的故事究竟是怎样,可能期待媒体能够挖出更多的真相了。而陆勇究竟是「药侠」,还是一个逐利的商人,又或者只是一个根据环境变化,自身也在不断变化的普通人,也只能留待大家自己去判断。

免责声明:“黑猫之家”所刊载信息,凡注明文章来源的作品,均转载自其它媒体,不代表本头条号观点。“黑猫之家”转载其他媒体的稿件,意在为读者传递更多信息。如稿件版权单位或个人不想在“黑猫之家”发布,可与“黑猫之家”联系,本头条号可立即将其撤除。