1,POMC起源的神经环路调节应激引起的摄食,抑郁和快感不缺失
译者:Sheena
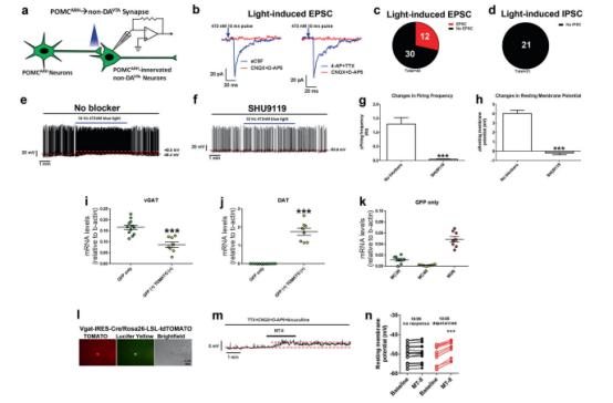
关键词 :POMC、VTA、DA
慢性应激会导致情绪和能量稳态失调,但这些改变背后的神经回路仍有待充分阐明。在这里,我们证明了小鼠在慢性束缚应激下会导致下丘脑弓状核(POMCARH神经元)中的前阿片肽类神经元过度活跃,与腹侧被盖区(DAVTA神经元)中多巴胺能神经元的神经活动减少有关。我们进一步发现,POMCARH神经元投射到VTA,并通过直接和间接的神经传递向DAVTA神经元提供抑制性信号。
最后,我们发现小鼠的POMCARH→VTA环路的光抑制增加了小鼠的体重和食物摄入量,减少了小鼠在慢性约束应激下的抑郁样行为和快感缺失。因此,我们的研究结果确定了一种新型神经回路,可调节应激反应中的进食和情绪。

POMCARH神经元通过MC3R介导的机制直接激活GABAVTA神经元
参考文献:Qu N, He Y, Wang C, et al. A POMC-originated circuit regulates stress-induced hypophagia, depression, and anhedonia [published online ahead of print, 2019 Sep 5]. Mol Psychiatry. 2019;10.1038/s41380-019-0506-1. doi:10.1038/s41380-019-0506-1
2,抑郁样小鼠外周血和大脑之间端粒长度的反向变化
译者:He
关键词 :端粒长度 ;前额叶皮层 ;杏仁核
背景:端粒是位于染色体末端的核蛋白复合物。之前研究表明,抑郁症患者外周血中端粒长度减少。然而,关于端粒长度在与抑郁相关的大脑区域是否改变的研究有限。外周血端粒长度是否揭示脑内端粒变异目前尚不清楚。
方法:采用定量PCR方法,我们测定抑郁样小鼠大脑5个区域(前额叶皮层、杏仁核、伏隔核、室旁核和海马区)的端粒长度,以及抑郁样小鼠和重度抑郁症(MDD)患者外周血中的端粒长度。我们还检测了抑郁样小鼠前额叶皮质和杏仁核中端粒酶和端粒(ALT)相关基因的表达。
结果:与健康对照组相比,抑郁样小鼠和MDD患者外周血端粒缩短,而前额叶皮质和杏仁核中端粒延长。我们还观察到与ALT相关的基因在前额叶皮层和杏仁核的表达增加。
限制:人类样本的数量是有限的。类抑郁小鼠脑内端粒延长的机制尚不清楚。小鼠和人类有着天生不同的端粒和端粒维持系统。
结论:这些发现表明,外周血中端粒长度可能不代表大脑中端粒长度的动态变化。本研究为抑郁症患者不同大脑区域的端粒长度的变化提供了新的视角,为理解不同脑区端粒长度与抑郁症的关系提供了新的依据。

抑郁样小鼠外周血和大脑区域之间端粒长度的反向变化。
参考文献:Zeyue Liu , Rongrong Han , Wanwan Zhu , Jianbo Xiu , Yan Shen , Qi Xu , Inverse changes in telomere length between the blood and brain in depressive-like mice, Journal of Affective Disorders (2020), doi: https://doi.org/10.1016/j.jad.2020.01.089
3,白细胞介素6可作为患有睡眠呼吸暂停的抑郁症妇女的标志物
译者: Navy
关键词:抑郁症;白介素6;睡眠呼吸暂停;女性
抑郁症在阻塞性睡眠呼吸暂停(obstructive sleep apnea,OSA)妇女中很常见,但目前还未探索此类抑郁症患者中的主要标志物。本研究假设炎症和抗氧化剂生物标志物可能与患有OSA妇女的抑郁症有关。
作者对247名诊断为中度至重度OSA的女性进行了多中心的横断面研究。抑郁症通过《医院焦虑与抑郁调查表》(Hospital Anxiety and Depression Questionnaire,HAD-D)的抑郁量表进行评估,要求其得分≥11。并且还评估了血浆中的肿瘤坏死因子α(TNFα)、白介素6(IL-6)、C反应蛋白(CRP)、细胞间粘附分子1(ICAM-1)、过氧化氢酶(CAT)、超氧化物歧化酶(SOD)及脑源性神经营养因子(BDNF)水平与抑郁症的相关性。
这些妇女的中位年龄(25-75%)为58(51-65)岁,体重指数(BMI)为33.5(29.0-38.3)Kg /m2,爱泼华嗜睡量表(Epworth Sleepiness Scale,ESS)得分为10(6- 13),呼吸暂停-呼吸不足指数(apnea-hypopnea index,AHI)为33.3(22.8-49.3)。
Logistic回归分析显示,只有IL6水平与抑郁症的发生相关(校正比值比[OR]为1.20;95%置信区间[CI]为1.08-1.34),而线性回归进一步证实IL6水平与HAD-D得分密切相关(β= .154; 95%CI,0.03-0.30)。多元回归分析显示,IL6(OR,1.22;95%CI,1.09-1.36),ESS(OR,1.10;95%CI 1.02-1.19)和身体活动<30分钟/天(OR,2.51;95%CI, 1.25-5.05)是抑郁的独立预测因子。因此,作者得出结论,在这一组患有中度至重度OSA的女性中,IL6水平与抑郁症的发生独立相关,并与抑郁评分也相关。低体力活动和高ESS评分也是该人群抑郁风险的独立指标。

参考文献:Francisco Campos-Rodriguez, et al., Interleukin 6 as a Marker of Depression in Women With Sleep Apnea, J Sleep Res, e13035, 2020 Mar 25[Online ahead of print].
4,种族和族群与晚年抑郁症的严重程度、症状负担和治疗之间的关系
译者:UTCS
关键词 :种族/族群;抑郁症;严重程度;症状负担;治疗
重要性:目前,我们对晚年抑郁症的种族和族群差异(包括特定抑郁症状的差异和治疗方面的差异),依旧不甚了解。
目标:为了检验抑郁症严重程度、症状负担和治疗方面的种族/族群差异。
设计, 设置, 和被试 :本研究是一个横断面研究,研究选择了 25871名社区老年人中的25503名作为研究被试,这些被试都参加了维生素D和Omega-3试验(VITAL),而这项实验是一项自2011年11月至2017年12月进行的癌症和心血管疾病预防的随机试验。2018年6月至9月进行了数据分析。
暴露 :种族/族群(即非西班牙裔白人;黑人;西班牙裔;亚裔;以及其他、多种的或未指明的种族)。
主要结果和测量:使用患者健康问卷-8(PHQ-8)对抑郁症状进行评估;参与者报告其获得的抑郁症的诊断、药物治疗和/或咨询。采用多变量零膨胀负二项回归分析,将PHQ-8评分和多变量logistic回归分析结果进行对比,评估被诊断为抑郁症的患者的项目水平症状负担优势比以及抑郁治疗的优势比,最终获得种族/族群间的组间差异。
结果:研究中包含了25503名VITAL被试,我们拥有这些被试的足够的抑郁相关数据(平均[SD]年龄,67.1[7.1]岁),其中包括12888名[50.5%]女性,17828名[69.9%]非西班牙裔白人被试,5004名[19.6%]黑人被试,1001名[3.9%]西班牙裔被试,377名[1.5%]亚裔被试,以及1293名[5.1%]被归类于其他类别,多种的或未指定种族的被试。
在对社会人口统计学变量、生活方式和健康状况这类干扰因素进行调整后,黑人被试的PHQ-8得分的严重程度要比非西班牙裔白人被试高出10%(比率比[RR],1.10;95%置信区间,1.04-1.17;P<0.001);西班牙裔受试者的PHQ-8评分严重程度要比非西班牙裔白人受试者高23%(RR,1.23;95%置信区间,1.10-1.38;P<0.001);与非西班牙裔白人被试相比,其他、多种的或未指定组的被试的PHQ-8评分严重程度要高出14%(RR,1.14;95%置信区间,1.04-1.25;P=0.007)。
与非西班牙裔白人受试者相比,属于少数民族的受试者有1.5倍到2倍的明显更高的完全调整的快感缺乏症优势比(在黑人受试者中:优势比[OR],1.76;95%置信区间,1.47-2.11;在西班牙裔受试者:OR,1.96;95%置信区间,1.43-2.69)、感到悲伤(在黑人受试者中:OR,1.31;95%置信区间,1.07-1.60;在西班牙裔受试者中:OR,2.09;95%置信区间,1.51-2.88)和精神运动性症状(在黑人受试者中:OR,1.77;95%置信区间,1.31-2.39;在西班牙裔受试者中:OR,2.12;95%置信区间,1.28-3.50);相对于非西班牙裔白人受试者,西班牙裔受试者的多变量调整后的睡眠问题和负罪感的优势比更高(睡眠:OR,1.24;95%置信区间,1.01-1.52;负罪感:1.84;95%置信区间,1.31-2.59)。
在那些有临床上显著抑郁症状的(即,PHQ-8评分为10)和/或被诊断为抑郁的患者中,在对干扰因素进行调整后,黑人受试者比非西班牙裔白人受试者报告接受任何治疗(即,药物治疗和/或咨询)的可能性要低61%(调整OR,0.39;95%置信区间,0.27-0.56)。
结论和相关 :在这项横断研究中,对众多干扰因素调整后,我们观察到了晚期抑郁症严重程度、项目水平症状负担和抑郁症治疗方面显著的种族和族群差异。这些发现表明,我们需要进一步检验构成这些关系的新的患者水平和临床医生水平因素。

报告有临床显著抑郁症状的患者中种族/族群与抗抑郁药物或咨询使用优势比的关系

报告有临床上显著的抑郁症状并且临床诊断为抑郁的患者中种族/族群与抗抑郁药物或咨询使用的关系
参考文献:Chirag M. Vyas, Macarius Donneyong, PhD, David Mischoulon, et al. Association of Race and Ethnicity With Late-Life Depression Severity, Symptom Burden, and Care[J]. JAMA NetwOpen. 2020; 3(3):e201606. doi:10.1001/jamanetworkopen.2020.1606
5,加拿大移民以及非移民中抑郁症风险与BMI指数:2010-2014年加拿大社区健康调查结果
译者:Kagima
关键词 :体重质量指数,抑郁症,剂量效应,非移民,限制性三次样条分析
目标:在加拿大人群中肥胖往往与抑郁症风险几率增加有关联,但是这种关联性在移民与非移民间是否一样却并不清楚。另外,这种关联是否是天然的,以及这种关联是线性的还是曲线性的也并不明确。本研究旨在测移民与非移民人群间BMI(body mass index)与重度抑郁发作(major depressive episode)的联系。
方法:为了提供更加可靠以及丰富的数据以及提高移民数据的样本量,本研究纳入了一系列2010-2014年间加拿大人口横断面健康调查数据。研究中使用限制性三次样条分析(Restricted cubic splines analysis)检测BMI指数与重度抑郁发作间的联系。
结果:相比非移民人群,移民人群中12个月间的抑郁症以及肥胖患病率要更低。另外,非移民人群比移民人群似乎更容易发生抑郁症,OR = 1.40(95% CI, 1.16-1.67)。无论是在移民人群(OR = 1.55; 95% CI, 1.03-2.32)还是非移民人群(OR = 1.23; 95% CI, 1.15-1.32)中,相比正常体重人口肥胖人口更容易发生抑郁症。在两类人群中,肥胖个体与抑郁症风险均显示有着显著的非线性延长的J形关联,即肥胖个体有着更高的抑郁症风险。
结论:对于BMI指数处于肥胖区域的个体,应该开发基于文化特异性以及临床的干预手段,以提高高BMI指数抑郁症患者的早期鉴定,治疗以及康复。

移民与非移民人群中BMI指数与抑郁症的关联曲线
参考文献:Su, Y., Rao, W., & D’Arcy, C. (2020). Depression risk and body mass index among immigrants and non-immigrants in Canada: results from the Canadian Community Health Surveys, 2010–2014. Social Psychiatry and Psychiatric Epidemiology. https://doi.org/10.1007/s00127-020-01861-5
校审/编辑:Simon/小时(brainnews编辑部)
前文阅读
1,074期抑研报|抑郁症的认知和心理机制中的神经可塑性
2,073期抑研报|儿童自杀的风险及保护因素