来源:综合自广州日报、青年时报、医路向前巍子、央视新闻、7news及网络等,图片源于网络,如有侵权,请联系删除。
有一种舒服,叫做掏耳朵。
那触电般的酥麻感,
用时下流行的网络语来说就是:
好嗨哟,感觉人生已经到达了巅峰。
尤其是从自己耳朵中掏出一大坨,
会有满满的成就感。

很多人因此沉迷于掏耳朵不能自拔,
还觉得掏得越干净越好,
隔三岔五给耳朵“搞卫生”。
其实从医生的角度来看真没必要,
而且经常会有人掏着掏着就出事了……

01.
78岁大伯常掏耳朵,检查结果令他慌了
上周在杭州市中医院耳鼻喉科门诊,一位满头白发的大伯捂着耳朵,满面愁容地走进了诊室。
大伯姓徐,今年78岁。“医生啊,我一个礼拜前,突然出现了右侧脸麻木,嘴角歪向一边。吃饭喝水都会漏出来,是不是面瘫了?”徐大伯愁眉苦脸地说,最近几年来,他右耳几乎听不到了,现在又撞上面瘫了,真是屋漏偏逢雨。
接诊的梅显伟副主任医师赶紧给徐大伯仔细检查,临床诊断考虑诊断为外耳道胆脂瘤。

听到医生的诊断,徐大伯顿时慌了神:“怎么好好的耳朵里生了瘤呢?”他马上快速回忆起这几年自己对耳朵曾经做过的那些事:“我平时最爱的就是掏耳朵,平时有空,我就会拿个棉棒或牙签啊,有时候手边有什么顺手的东西,我都会拿来掏一下。”大伯还说这几年自己的右耳经常觉得闷、涨,好像听力也很不好,但只是想到这是老年人的通病,毕竟年纪大了耳朵总是要背的,也就没怎么在意。
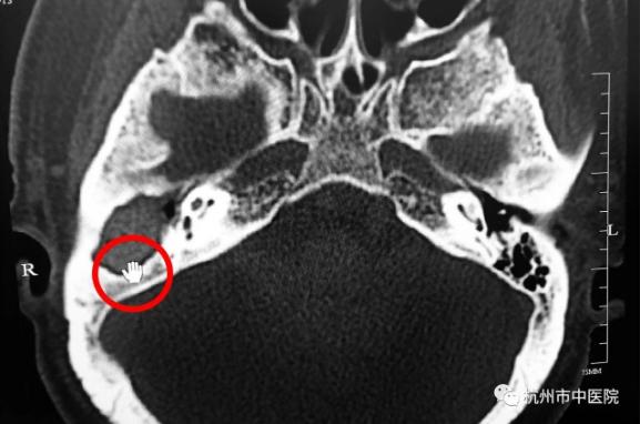
为明确诊断,梅医生又为徐大伯开出了螺旋CT检查,结果显示大伯的右侧外耳道骨壁、乳突区及听小骨骨质均被破坏、吸收,这些症状可能就是胆脂瘤破坏听小骨的传导功能而引发听力下降,又侵犯到面神经引起的面瘫的结果,如果再不及时进行干预,侵犯入脑就会引发生命危险。

近日,医生为徐大伯进行了右侧外耳道成形术、胆脂瘤切除、鼓室成型、肌膜瓣转移等一系列手术治疗,彻底清除了横行在他耳朵里的巨大胆脂瘤,并进行了耳道的修复。大伯恢复得很快,他表示:“今后再也不敢乱掏耳朵了,真的是血淋淋的教训啊。”
无独有偶
一位澳洲妈妈
也因掏耳朵差点丧命!
02.
澳洲妈妈棉签掏耳朵,差点丧命!
38岁的澳洲妈妈Jasmine Small和其他很多人一样,她也有用棉签棒掏耳朵的习惯。

2016年底,她发现左耳听觉出了问题,有时根本听不到任何声音!这种情况大概持续了7、8个月后,情况开始慢慢恶化。
当她再用棉签掏耳朵时,左耳总是感觉很疼,有时候还会有棕色的、难闻的液体流出,甚至还有血丝。

意识到情况不妙,Small赶紧上医院检查。
一开始,医生也认为情况不严重,只是轻微感染,给她开了些抗生素让她回家服用。
然而并没有什么效果。
2017年底,Small换了位耳鼻喉科专家后,才发现情况已经非常严重。

医生非常严肃地告诉她,必须立即手术,不然会有生命危险。
Small吓了一跳,只能推迟和丈夫的蜜月旅行。
CT扫描显示,Small的耳朵深处已被感染,这里非常靠近她的大脑。
而这一切竟然都是由于棉签上松散棉线引起。

更令人难以置信的是,医生断定,耳朵里的这些小棉块已堆积了长达五年之久!
很快,Small经历了一场大手术,最终保住了性命,但她的左耳已遭到永久性损害,接下来她还需要面临一系列恢复手术,甚至佩戴助听器。
03.
频繁掏耳朵甚至或致癌!
其实我们常说的耳屎,就是耳垢,它并不是脏东西,只是耳朵分泌的物质。
它的存在是有必要的,有抗菌保护耳道的功能,如果全部清理干净反倒会造成伤害。
正常情况下,耳屎会在你说话、吃饭、打呵欠时,随着下颌运动自动被排出。

也就是说,即便不掏它也可能自己出来了,你还费那劲、冒那么大险干嘛!
耳朵非常敏感、脆弱,掏的时候稍微不注意,就可能导致听力下降、耳朵感染,甚至还可能引发永久性的伤害。
更可怕的是,长期掏耳朵,还可能诱发外耳道乳头状瘤或 耵 聍 腺癌。

此外,经常掏耳朵还可能会引起耳屎的分泌异常。对于耳屎被尘埃、脱屑包裹后形成的比较硬的耵聍,堵塞在外耳道部位时,可能会影响听力,这时候应该去耳鼻喉科让医生帮忙使用特定的器械取出来,建议不要自行掏硬度太强的耳屎。
曾有媒体报道,一个武汉婆婆老是觉得耳朵痒,一天不掏都受不了,30年频繁掏耳朵的后果是引发癌变,患上外耳道鳞状细胞癌。

医生为患者实施手术切除了整个外耳道,术后患耳的听力很可能没有了,后期还需要放疗。
04.
耳屎别乱掏,它有三大作用
如果我们现在倒回去看徐大伯的整个病例,就会发现这完全是一起因为掏耳屎引发的“血案”,人体的外耳道软骨部皮肤具有耵 聍 腺,其淡黄色黏稠的分泌物称“耵聍”,俗称耳屎。当“耳屎”积聚较多时,就会发痒,条件反射,人们就会去掏,但殊不知耳屎也有“特殊功用”,在“保护人体”这个领域也有自己的一席之地:

➤ 抵抗细菌、病毒
耳屎富含油脂,在耳道皮肤表面形成一层酸性膜,赋予外耳道抵抗细菌、病毒侵害的作用
➤ 阻挡异物入侵耳内
耳屎所含的油脂能滋润外耳道皮肤上的细毛,这些茸茸的细毛和富有黏性的耳屎,能阻挡由外界吹进来的尘埃颗粒,挡住昆虫进入外耳道。
当耳朵不小心进水时,耳屎还可以阻挡脏水的侵入,并防止可能引起的感染性疾病如外耳道炎、中耳炎的发生。
➤ 保护鼓膜
耳屎使外耳道空腔稍稍变窄,对传入的声波能起到过滤和缓冲的作用,使鼓膜不致被强声所震伤。
此外,富含油脂的耵聍能使外耳道保持一定的温度和湿度,保证耳道深处的鼓膜不致变干,从而使鼓膜处于最佳运动状态。
05.
实在忍不住?这份“挖耳屎”技巧是你需要的
如果你实在受不了的话,下面的攻略送给你:
第一步:软化耳屎
往耳道里滴入少许干净的双氧水、甘油或者小苏打滴耳液使耳屎软化(任选一种就行,大概浸泡3-5分钟)

第二步:温水冲洗
用橡皮球注射器缓缓缓缓地把温水冲进外耳道,然后让水自己流出来(此时你就可以看见混着耵聍的混合液体了)
第三步:擦干!擦干!擦干!
冲洗完成后,务必用干净的毛巾或者吹风机将外耳道弄得干干爽爽。
当然最简单靠谱的方法还是,定期去医院挂个号清理,让专业人士解决问题,清理完之后你会“惊喜”地发现——耳朵更灵敏了!世界变得更喧闹了。
