导语:粘表皮样癌(Mucoepidermoid carcinoma, MEC)是一种腺上皮恶性肿瘤,由柱状、透明、嗜酸性粘液细胞、中间细胞和表皮样细胞组成。在儿童和成人中,唾液腺原发恶性肿瘤最为常见。病人平均年龄约45岁,多见于女性。大约一半发生在大涎腺,多为实性固定的无痛性肿块。这种肿瘤的分子研究很少,也很有限,表明9p21,8 q,5 p,16 q,12 p染色体极少缺失。原发的粘液表皮样癌以局部切除为主。经过适当的治疗,大多数病人预后良好。

一、黏液表皮样癌病因不明,女性患者偏多,男女患病比例大约是1.5:1
1、病因
这次事故的原因不明。
2、临床表现
(1)男女患病比例
流行性表皮样癌占腮腺肿瘤总数的70%以上。上颚常可见小唾液腺,其它部位如后臼齿区、面颊、上唇和下唇较少见。男性和女性的比例是1.5∶1。分化性好的病人常出现无痛性的缓慢增长。肿块大小不一,边界清楚或模糊,纹理中等至坚硬,表面可出现结节。
(2)面瘫
侵犯面神经可引起腮腺的面神经麻痹。颈部淋巴结转移率低,且少见的血性转移。低分化性粘液表皮样癌与高分化性粘液样癌相比,生长快,常伴有疼痛、边界不清及与周围组织粘连。面神经病变多见于腮腺,颈部淋巴结转移及血转淋巴结转移发生率高。手术后易复发分化性较好的粘液表皮样癌属于低恶性,而分化较低的粘液表皮样癌属于高恶性。前一种情况比较普遍。

(3)肿瘤
粘表皮样癌的临床表现与分化程度有密切关系。分化型,以无痛肿块多见,生长缓慢,病程较长。肿块体积各异,边界清楚,质硬、活跃,表面光滑或有结节。这可能是一个囊性或实性体。出现于上颚或后磨牙区时,粘膜下可见淡蓝色或深紫色的肿物,粘膜光滑柔软,穿刺可抽出少量血红色的紫黑色液体。
(4)周围组织溃烂
低分化瘤生长迅速,且常伴有疼痛。边缘模糊,为弥漫性,与周围组织有粘连,可破裂继发感染,形成持久的溃疡面,有淡黄色粘性分泌物。有时候会形成唾液瘘腮腺受累面神经后,可发生面神经麻痹及面肌痉挛。若在上颚发生,会损坏硬腭。

二、黏液表皮样癌,可以通过切片检查,以及镜检进行诊断
1、切片检查
诊断只能通过冰冻切片检查来完成。在腮腺血管造影时,可见糜烂性损伤和导管缺损。远端导管未充填或未完全充填,管壁不平整。恶性病变如导管分支损伤、碘油漏等也可出现。在 CT上,腮腺有模糊的肿块,或者被破坏或者挤压移位。
2、根据肿瘤表现进行诊断
分化性好的粘液性表皮样癌呈圆形,类似混合瘤。多为直径2-3 cm的小肿瘤,少数大于5 cm。有的有胶囊,但大部分都不完整,甚至是完全没有。灰白色或淡粉色,偶尔呈分叶状,有数种含有粘液的泡状物。低分化者无包膜,边界不清,周围组织浸润。切面灰白色,无叶,纹理均匀,囊状分散,焦点透明。
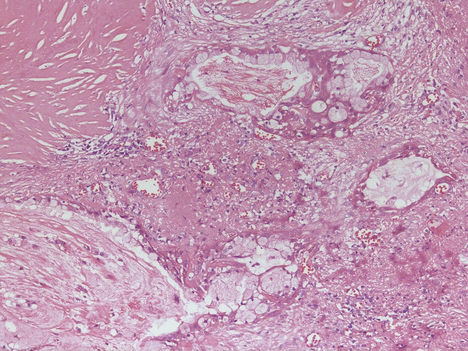
3、镜检
粘表皮样癌由粘液细胞、表皮样细胞及中间细胞组成。粘液样细胞成熟时呈杯状或柱状,细胞基部有明显的胞质和细胞核;未成熟时呈腺癌细胞样,胞浆有粘液,染色为胭脂红。类似于口腔粘膜的鳞状上皮,表皮样细胞有间桥,偶尔出现角化。

其体积较小,胞浆较少,呈立方体状,类似于上皮的基底细胞。中间体可以分化为粘液细胞和表皮样细胞。在分化良好的病人中,有大量的粘液样细胞和表皮样细胞,少数为中间细胞。肿块可以形成不规则的鳞片,但通常形成大小不一的囊肿。在囊肿内膜常可见粘液细胞。粘细胞可包覆于表皮样细胞或混合于表皮样细胞中。更大的囊肿可能有突出物和红色粘液。低分化者主要为表皮样细胞和中间细胞,粘液样细胞较少。其细胞间变性明显,有丝分裂,上皮实质增多,囊腔减少,肿瘤浸润周围组织较少。
4、根据生物学特点
粘表皮样癌多呈浸润性生长,复发率高。淋巴结有可能转移。很少有骨、脑和肺转移病例。但分化良好的患者术后可有完全包膜覆盖,复发较少。
5、诊断方法
合并临床表现及病理检查。
三、黏液表皮样癌容易和哪些疾病混肴?治疗的方法主要是手术为主,部分可进行放射治疗
1、鉴别诊断
应与腮腺肿瘤,腮腺炎,腮腺癌相鉴别。

涎腺癌占涎腺癌的80%,其中75%为良性,而颌下腺肿瘤中半数以上为恶性。采用临床检查和影像学(CT, MRI, PET)检查。恶性症状出现较快,有硬质疼痛、肿胀、神经压迫症状,难以治愈,如局部肿瘤会扩散,甚至远端转移等,根据不同类型的恶性肿瘤或发生情况,采用手术和放疗治疗,有时必须采用化疗,约70%可获得好的疗效(80%),高30%恶化低恶化。可于10-15年复发。
2、治疗
(1)手术治疗
原发的粘液表皮样癌以局部切除为主。为了避免复发,应在离肿瘤1 cm处切除正常组织。对分化良好的腮腺粘液表皮样癌,无论其分期如何,在首次手术时,通常进行保留面神经的全腮腺切除术。
若发生面神经受累,腮腺全切除应以面神经损伤为代价。若面神经长度较大,一段神经移植物即可切除。口腔粘膜上皮样癌应行颌下腺下三角清扫术。上颌骨部分切除术应在上颌进行。若肿瘤侵犯了周围组织,应行扩大切除术。

局部淋巴结转移在粘液表皮样癌中低。选择性颈清扫除低分化型外可考虑,而高分化型一般不作选择性颈清扫。佩尔兹克特勒。着重指出,仅当肿瘤切除后发现有颈部淋巴结转移时,方可实施颈部淋巴结清扫。
(2)放射治疗
粘膜表皮样癌对放射治疗不敏感,但低分化型可合并放射治疗,可提高疗效,减少复发。
总结:粘表皮样癌是一种恶性肿瘤,病因尚不清楚,女性患者偏多。此病主要的症状有面瘫,以及组织溃烂等。切片检查,以及镜检可以诊断此病。此病主要的治疗方法有手术治疗和放射治疗。