小编的朋友在医院的妇产科上班,她曾向我们分享:每次看到年轻女孩来选择人流手术,甚至有的面孔还有些熟悉,就会觉得心痛不已。因为同样在妇产科,还有一大波想怀孕却怀不上,盼孩子就像盼星星盼月亮一样的年轻夫妇。相比之下,前者简直就是在造孽。
临床上,不孕的医学定义为一年以上未采取任何避孕措施,*生活性**正常而没有成功妊娠。如果按照这个定义的话,那我们身边不孕的年轻夫妇其实很多,就比如小编身边,很多夫妻都是结婚两三年才有了自己的爱情结晶。
为什么怀孕这么难?除了我们现在的环境因素,高节奏的生活条件下,身体亚健康的人群大增,还有一个很重要的因素是受孕时机把握不对,导致错失良机。今天,小编就来跟大家分享,把握最佳受孕时机的6个方法。

方法一、监测排卵
想要孕育新生命,第一步就是得让卵子小姐遇到精子先生。由于现在结婚的年龄普遍推后,其实卵子的寿命和质量是有受到一定的影响的,所以准备把握排卵时机,是最理想的做法。一般说来,有如下几个方法:
监测基础体温:应用排卵期体温会略微上升的微小波动来判断排卵;
试纸测排卵:通过检测黄体生成激素(LH)的峰值水平,来预知是否排卵;
超声监测排卵:通过超声观察卵泡从发育、成熟到最后成功排出的整个过程。
如上这三种方法,小编觉得监测体温的做法效果较差,因为人体的体温本来就略有波动,且影响体温波动的因素极多,很难作为一个准确的依据。比较推荐的做法是:先用试纸测排卵,测到试纸差不多有模糊中队长的时候,再去医院用超声监测排卵,一般在卵泡长到1.8cm以上后,就说明即将发生排卵,这时候同房的成功率是最高的。
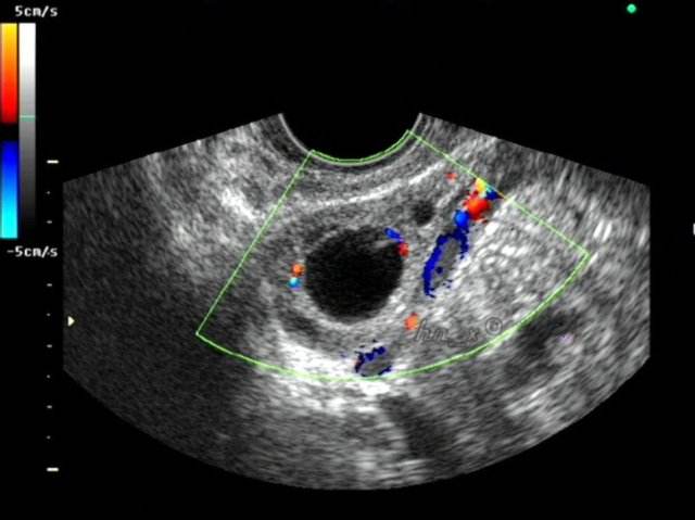
方法二、阴道超声来监测排卵
腹部超声的话,需要大量饮水,来排出气体对超声波的影响。但阴道超声就不受腹部脂肪层和肠道气体影响了。有的女性每次腹部超声都因喝水而苦恼,或者比较胖的姑娘腹部脂肪层较厚,可以采用阴道超声的做法,效果会比腹部超声效果更好些。

方法三、减少同房次数
日本有个名人叫德川家康,他有一个特点是善忍,就算是和妻子同房也经常忍精不射。虽然,这并不是一个值得推崇的办法,但事实却是德川家康在人口死亡年龄极低的幕府时期,60多岁还生了一个儿子。我们并不鼓励忍精不射,现实生活中也较难做到,但这个事实也从侧面说明了,适当减少同房次数,能够有效提高命中率。比较推荐的做法是:等排卵测试纸测到有模糊中队长时,再开始同房,之前都养精蓄锐,只待一时。

方法四、适当吃些滋阴补肾的食物
由于现代人的亚健康,很多人没法成功受孕其实就差那么一点儿助力。所以,备孕期间适当给身体一点福利,吃些补精气、益肾气的食物是很有好处的。比如,适当吃一些牛鞭、鹿茸等滋补食物,可提高身体素质,为受孕创造一个好的条件。

方法五、每天坚持运动半小时以上
运动是需要坚持的,每天半小时以上的运动,一个月之后,你会明显感觉到身体的变化。不仅身材曲线出来了,而且精气神也变好了。备孕夫妻,建议孕前三个月就开始运动,选择自己喜欢的一个运动方式,不管是踩单车,还是跑步,只要天天坚持30分钟,让自己流流汗,把体脂率下降些,身体基础代谢加快些,就是极好了。
方法六、对熬夜坚决说不
人手一部手机的现在,熬夜似乎成为一种时尚。但熬夜却是极其损耗肾气的,特别是很多已过30岁而立之年的备孕夫妇,熬夜会让你明显有疲劳感。这样同房的时候就很难大气精气神来,一般也就是草草了事。如此疲劳而导致的敷衍做法,不仅精子和卵子的能量都会较差,而且受孕的概率也大大降低了。
最后,祝大家好孕!