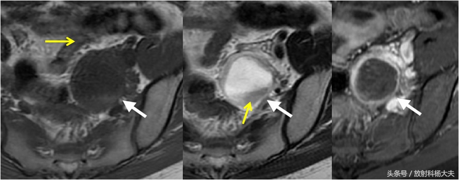
早读片,住院医读了一个病例,女性,28岁,B超发现卵巢占位来做的核磁。左侧卵巢可以看到一个囊性病变,里面是以液体信号为主。
一般来讲,卵巢上发现个囊,对于育龄期的女性是很常见的。甚至有学者统计过,在绝经后1-5年,仍然会有散在的排卵周期,因此偶尔可见卵巢囊肿,绝经5年后仍可在20%的女性见到小的单纯囊肿。
那为何,住院医要拿出来读这个呢?得先看下片子。住院医担心的是这个囊的壁比较厚,有强化,而且囊液不单纯。

左图黄箭为肠管,中间图黄箭为陈旧出血
其实这个是一个黄体囊肿,属于卵巢功能性囊肿的一类。
前阵子看一个报道,说小两口在家亲热,由于比较激情,用力有点大,导致黄体囊肿破裂,女孩差点休克的新闻。从片子上看,这个囊肿上面就是肠子和系膜、脂肪,然后就是肚皮,假如有外力撞击,凑巧的话,确实有可能撞破,加上囊壁血供这么丰富,导致出血,引起休克,也完全有可能。

我们来看一下,这个罪魁祸首的前世今生吧。
正常卵巢有超过两百万个初级卵母细胞,每个月经周期有10个左右成熟(表现为一个水泡样的囊),每10个开始成熟的囊状卵泡中,通常只有一个成为优势卵泡,直径可达18-20mm,这个时候开始,就表现为一个比较大的囊。然后破裂释放次级卵母细胞,其他9个卵泡闭锁和纤维化。当释放次级卵泡后,优势卵泡塌陷,内层的粒膜细胞增生、肿胀形成黄体,在14天内,黄体退化,形成小的瘢痕化的白体。
今天要说的这个黄体囊肿怎么来的?如果上面一段中,优势卵泡排卵后黄体消退失败就会形成囊肿,常见于黄体晚期或妊娠后。

核磁上怎么诊断呢?黄体囊肿尝尝表现为单发,直径大于2.5cm,小于6cm,壁较薄—可表现为T1WI稍高、T2WI稍低信号、明显强化。没有经验的年轻医生可能看到壁有强化,就担心是恶性的。但黄体囊肿是例外,这是因为黄体化细胞层血运丰富,有时候可伴有少量液体渗出以及出血。不用担心,这种囊肿,假如一切顺利,比如没有发生意外的撞击,都是可以消退的。
有意思的是,如果日常服用避孕药,则不会出现黄体囊肿;相反,如果服用促排卵药,黄体囊肿多见。
黄体囊肿跟滤泡囊肿都属于功能性囊肿,都可以自行消退,无需处理的,有时候两者间不太好区分,但黄体囊肿多一些。
(什么是滤泡囊肿?如果优势卵泡排卵失败,无法消退。由于卵泡上皮变性、卵泡壁结缔组织增生变厚、卵细胞死亡、卵泡液未被吸收或者增多而形成的,大于3cm成为滤泡囊肿,表现为单房、其内信号均匀(浆液或血性液体),可厚壁、伴环状强化,但无实性成分及分隔,直径约3-8cm,一般不超过5cm常于2月内消失)。

黄体囊肿常见,但因啪啪撞击造成破裂的时候少,因此不用过于担心,只是稍微注意下姿势和用力方式,就可以避免。把一个本可以自己消退的无辜囊肿撞破,并因此去看急诊,就有些得不偿失了。
(“放射科杨大夫”为*今条头日**签约作者,本文首发*今条头日**。同时欢迎在悟空问答里关注 “放射科杨大夫”,那里有杨大夫对各种健康问题的精彩回答。)