下肢力线及相关角度测量是骨科医生必须要掌握的基础知识,临床上关节疼痛的诊断、截骨矫形和关节置换手术前后等都需要用到这方面的知识,脑海中还没有这方面的概念就去给病人诊断甚至手术治疗,后果是可怕的。刚开始的时候可能感觉这些东西很难,其实只要掌握要点,反复实践,就很快能够熟练的使用它。

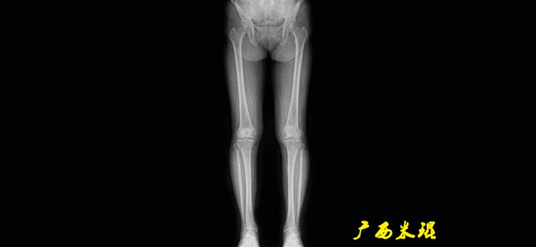
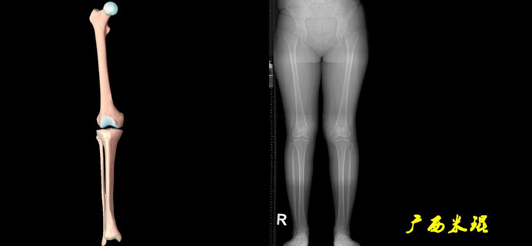
下肢力线及相关角度测量的前提是必须拍摄标准的站立位也就是负重位的下肢全长片。目前这样的照片都是放射科的技师在电脑上拼接出来的,大部分医院的DR都能够做到这一点。

一、下肢负重位全长片的拍摄方法
患者直立于摄影架上,后背贴近摄影架,双手自然下垂,膝关节尽量伸直,足部与双肩同宽,要求投照时双髌骨朝正前方,通常患者双足尖应平行向前即可。

提醒一下大家,拍摄过程中应避免下肢的外旋和内旋。如果有一侧肢体短缩时,投照应当用脚垫垫高短缩肢体,使骨盆保持水平,这样下肢短缩测量才精确。如果有肢体旋转畸形时,还是以髌骨朝前为标准,虽然此时双足可能不能保持平行。


二、下肢全长片的基本要求
无论如何,拍摄出来的下肢全长片必须包含髋关节中心、膝关节中心及踝关节中心,否则对临床是无用的。有了一张下肢的全长照片,我们需要确定下肢关节的中心点,通过中心点画出下肢的各种轴线,然后利用轴线与关节线的相交得出各种所需要的角度。

三、下肢全长片的测量
1、确定下肢关节的中心点
(1)髋关节中心
髋关节中心点由股骨头来确定,由于股骨头是相对比较规则的圆形,使用Mose圈或圆规就能确定股骨头中心也就是髋关节中心。

(2)膝关节中心
膝关节中心点常用的有5个不同的定位方法,分别是股骨髁中点、股骨髁间窝顶点、膝关节间隙水平软组织中点、胫骨髁间嵴中点和胫骨平台中点,我们可以根据具体情况来选用。

(3)踝关节中心
踝关节中心点常用的也有3个,分别是骨骼(内、外踝表面间距)中点、踝关节间隙水平软组织中点和距骨宽度中点。

2、画出下肢的轴线
确定髋关节、膝关节、踝关节的中心点后,我们才能了解下肢的几个轴线。
(1)解剖轴
股骨和胫骨的骨干中线为解剖轴,股骨解剖轴和胫骨解剖轴的夹角正常值为174°±1°。

提醒大家,解剖轴在平直的骨干中沿着骨干中间直线走行,在带弧度的骨骼沿着弧形的骨干呈弧形线走行。这样可以排除来自骨干部位的成角畸形,对骨干部位的成角畸形矫正处理上与近关节处畸形的共同点为截骨要靠近畸形处。

(2)机械轴
机械轴是连接近端和远端关节中心点的直线。

机械轴要分前后位及侧位,站立前后位(也就是冠状面)股骨头中心与踝关节中心的连线通过膝关节中心,这是下肢的机械轴线,也就是下肢力线,常说Mikulicz线。冠状面的力线评估在临床工作中最常用、最基础、最重要。

站立侧位(矢状面)股骨头中心与踝关节中心的连线也通过膝关节中心,这也是下肢的机械轴线,这也是下肢力线。

矢状面的下肢力线常常被医生忽视,其实它的改变也是膝关节疼痛的常见原因。

我们说了这么多照片的下肢力线测量,体表也是可以粗略测量的,自股骨头中心至踝关节中心拉一直线,髌骨中心点位于此直线上;自髂前上棘至踝关节中心拉一直线,髌骨中心点位于此直线内侧;自髂前上棘至第1、2趾间拉一直线,髌骨中心点位于或接近此直线。

(3)垂直轴
也就是下肢的负重轴,它是身体的纵轴线,与地面垂直,由于双髋比双踝的距离宽,所以垂直轴与下肢力线(机械轴)存在3°的外翻。

开始接触时可能我们对这些轴有点混乱,通过下面的这张图片就能清楚的了解下肢几个轴之间的关系。

3、画出下肢的关节线
(1)髋关节线
髋关节线为股骨颈骨干中点与股骨头中心的连线。

(2)股骨远端关节线
正位为股骨内外侧髁最低点之间的连线。髌骨下极在此线之上,距离大于20mm可考虑为高位髌骨。

侧位为连接股骨髁与干骺端相交两点的连线,这个线用得很少。

(3)胫骨近端关节线
正位为胫骨内外侧平台最低点之间的连线。

侧位为沿胫骨平台软骨下骨平面的直线,通常与胫骨干有10°±2°的后倾。

说明一下,膝关节线常常为膝关节间隙的水平线,也是膝关节的轴线,只有在比较正常的关节情况下使用,大多数情况下画出股骨远端机胫骨近端的关节线更好。
(4)踝关节线
踝关节线为胫骨远端软骨下骨之间的连线。

4、画出与机械轴相关的角度
股骨近端外侧角(LPFA):沿股骨头中心与大粗隆最高点划一直线,连接股骨头中心与膝关节中心划一直线(机械轴),两者之间形成的外侧夹角,正常为90°±5°。

股骨远端外侧角(mLDFA):股骨内外侧髁远端切线(关节线)与股骨头和膝关节中心的连线(机械轴)两者之间形成的外侧夹角,正常为87°±3°。

胫骨近端内侧角(mMPTA):胫骨内外侧平台切线(关节线)与股骨头和膝关节中心的连线(机械轴)两者之间形成的内侧夹角,正常为87°±3°。

胫骨远端外侧角(mLDTA):胫骨远端切线(关节线)与下肢力线(机械轴)两者之间的外侧夹角,正常为89°±3°。

5、画出与解剖轴相关的角度
解剖股胫角(aFTA):股骨干下段轴线(解剖轴)与胫骨上段轴线(解剖轴)在膝关节所形成的夹角,正常为174°±1°。膝关节OA的畸形常常由于一侧软组织及关节的过度磨损所致,临床多为内侧磨损过度,因此表现为轻度膝内翻畸形,X线表现为解剖股胫角小于174°,而胫骨角正常。

解剖股骨远端外侧角(aLDFA):股骨干下段轴线(解剖轴)与股骨内外侧髁远端切线(关节线)在膝关节外侧所形成的夹角,正常为81°±2°。大多数膝外翻患者的畸形发生于股骨下端,表现为股骨远端外侧角小于正常值。

解剖胫骨近端内侧角(aMPTA):胫骨内外侧平台切线(关节线)与胫骨解剖轴两者之间形成的内侧夹角,正常为87°±3°。由于胫骨解剖轴与机械轴几乎一致,所以一般解剖胫骨近端内侧角与机械胫骨近端内侧角一致。

解剖胫骨远端外侧角(aLDTA):胫骨远端切线(关节线)与胫骨解剖轴两者之间的外侧夹角,正常为89°±3°。由于胫骨解剖轴与机械轴几乎一致,所以一般解剖胫骨远端内侧角与机械胫骨远端内侧角一致。

解剖胫骨近端外侧角(也叫aMPTA):胫骨干上段轴线与胫骨平台切线(关节线)在膝关节外侧所形成的夹角,常称为胫骨角,正常为87°±3°。大多数膝内翻患者的畸形发生于胫骨上端,表现为胫骨角大于90°。严重的膝内翻畸形发生在整个下肢,股骨干及胫骨干都有可能形成向内弯曲的弧形。

6、其他角度
胫骨股骨关节线夹角(JLCA):胫骨近端关节线与股骨远端关节线之间的夹角,正常生理状态下几乎为0°。当JLCA>2°时提示异常,通常为韧带松弛或者软度磨损丢失所致。

股骨解剖机械轴角(aMFA):股骨解剖轴与机械轴形成的夹角,正常为6°±1°。

股骨垂直机械轴角(MA):股骨机械轴与身体垂直轴形成的外翻角,正常为3°。

胫骨近端后倾角(PPTA):胫骨平台关节面有平均10°的后倾,其中内侧后倾约12°,外侧后倾约7°。矢状面上胫骨平台的切线与胫骨解剖轴形成的夹角叫胫骨近端后倾角,正常为80°±3°。

胫骨远端前倾角(ADTA):矢状面上胫骨远端的关节切线与胫骨解剖轴形成的夹角叫胫骨远端前倾角,正常为80°±2°。

Q角:股四头肌力线与髌骨纵轴之间的夹角(髂前上棘与髌骨中心的连线,同髌骨中心与胫骨结节中心连线的夹角),男性13°±2°,女性15°±2°,Q角越大,髌骨外移分力越大。

很多人认为Q角与下肢轴线没有什么关系,其实这种观点是不对的,下肢轴线与Q角关系密切,轴线的改变Q角必然随之改变。

膝外翻,下肢力线外移,Q角增大,髌骨外移趋势更加明显。

膝内翻,下肢力线内移,Q角变小,尽管髌骨外移趋势不明显,但由于髌骨运动轨迹不正常,软骨磨损并不见得减少。这些正是测量的意义所在。

四、下肢全长片测量的意义
1、判定有无畸形
下肢的畸形定义为生理轴线的偏移。关节角和轴线在冠状面、矢状面和横断面上可发生病理改变,并引起整个下肢的对线异常。

最常见的下肢畸形发生于冠状面,即膝内外翻畸形,冠状面的对线异常通过应用“对线异常检验”进行分析,机械轴的偏移(MAD)表现为对线异常。

膝内翻是指下肢力线通过膝关节中心点内侧,距中点2mm以上,偏内超过15mm为显著膝内翻。膝外翻是指下肢力线通过膝关节中心点外侧,距中点2mm以上,偏外超过10mm为显著膝外翻。

2、判断畸形的部位
画出下肢全长片中的机械轴和力线轴,确定畸形来自股骨、胫骨还是关节内。首先我们确认股骨机械轴及mLDFA,超出范围为股骨畸形;然后我们确认胫骨机械轴及MPTA,超出范围为胫骨畸形;最后我们确认关节线的汇聚关系JLCA,超出范围为关节内畸形。

总之,下肢力线及相关角度测量是我们骨科医生的基本功,我们必须想尽办法学会它及使用它。
作者简介

米琨,广西国际壮医医院(广西中医药大学附属国际壮医医院)骨关节与运动医学科主任,主任医师,教授。
擅长关节损伤与疾病的诊治,各种复杂骨折及其并发症的治疗,四肢骨关节畸形的矫形,肢体功能重建,皮瓣移植以及现代先进的人工关节手术尤其是关节镜微创手术,创新了很多手术方法,治疗强调功能至上、力争重返运动。近十年来,全面开展了与国际先进水平接轨的肩、肘、腕、髋、膝、踝六大关节和肩锁关节、距下关节、跖趾关节等小关节的各种关节镜手术,并在关节镜下进行系列周围神经卡压综合征微创松解以及肌腱、滑囊病变切除等关节外伤病的处理,关节镜手术量超过1万例次,已经帮助160余家全国各地医院开展关节镜等各种高新难的骨科手术,并培养了150余名关节镜外科医生。
现任中华医学会运动医疗分会下肢运动创伤学组委员、中国医师协会骨科医师分会运动医学工作委员会委员、国际关节镜-膝关节-骨科运动医学学会(ISAKOS)中国委员会华南区主任委员、国际矫形与创伤外科学会(SICOT)会员、SICOT中国部运动医学专业委员会委员、亚太膝关节-膝关节镜-骨科运动医学学会(APKASS)中国委员、国家卫健委内镜与微创医学全国医师定期考核专家委员会委员、中国医药教育协会肩肘运动医学专业委员会常委、中国西部运动医学与关节镜协作联盟委员会副会长、泛珠三角区域运动医*联学**盟理事会副会长、中华中医药学会运动医学分会常委、中国医学救援协会运动伤害分会常务理事兼西部联盟副理事长及关节运动伤害学组副主任委员、中国中西医结合学会骨科微创分会委员、中国中西医结合学会骨伤科分会运动医学及关节镜外科委员、中国医师协会运动医学医师分会健康科普专业学组委员、中国研究型医学院学会关节外科学专业委员会-膝关节部分置换研究学组委员、中国医师培训学院骨科专业学院运动医学学组委员。
曾于2012年获第2届广西优秀医师奖,2017年获全国骨科运动医学最佳讲师,2018年获第三届中国最具影响力骨科讲师,2018、2019年连续两年跃身全国最具影响力骨科医师风云榜前20强,是国内著名的骨科运动医学与关节镜外科专家。
作者:米琨
声明:此文内容及图片由供稿单位提供,仅供学习交流,不代表骨科在线观点。