
彩色多普勒以颜色显示多普勒效应,大多设定为朝向探头的血流以红色表示,背离探头的血流以蓝色显示。脉冲多普勒以时间流速曲线方式显示,多设定为朝向探头方向的血流为正相流速曲线,背向探头的为负相流速曲线。主要观察各腔室血管内的血流情况,了解流速、方向等。同时,在同一时间对通过不同部位或动、静脉的血流多普勒时间流速曲线分析,还可间接了解心脏传导系统的部分情况。
1.检查方法 在二维超声图像的引导下,尽可能使超声声束与所观察的血流方向之间的夹角越小越好。在二维超声基础上观察心脏各腔室、大血管内呈现的彩色血流走向、流速所示颜色。脉冲多普勒则根据检查需要,可分别将取样门置于房室瓣口、半月瓣口及静脉入心房等处了解心脏各瓣膜血流情况。如将脉冲多普勒取样门置于左心室流入道、流出道交汇处或肺部小血管部位检测血流频谱,还可间接了解胎儿心脏传导情况。
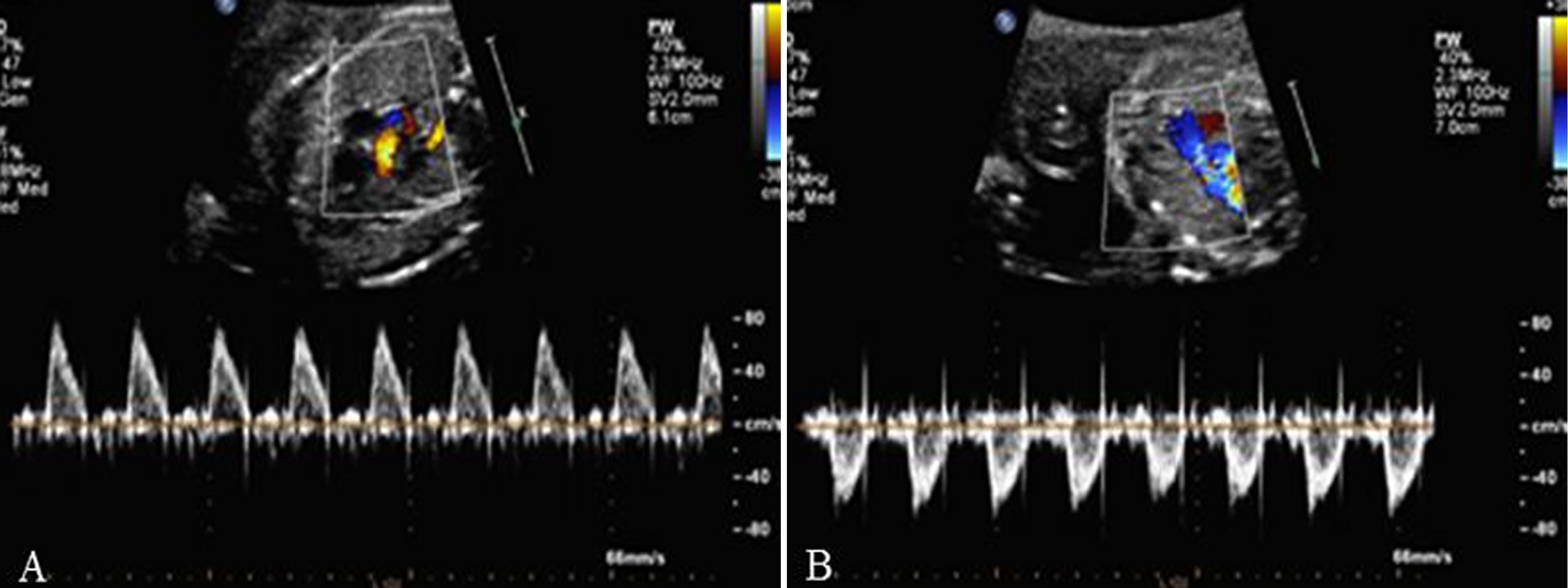
2.检查内容 观察彩色多普勒显示的过房室瓣、半月瓣、卵圆孔瓣的血流及各血管内(包括上下腔静脉、肺静脉、主动脉、肺动脉、主动脉弓、动脉导管弓、静脉导管等)的血流方向是否正常,有无反向血流或五彩缤纷、色泽镶嵌的高速血流信号显示。用脉冲多普勒测量过房室瓣、半月瓣血流、测量静脉导管内血流,以了解胎儿心脏节律情况、分析心房舒缩与心室舒缩之间的关系、了解胎儿的心功能等。正常胎儿房室瓣多普勒血流时间流速曲线呈双峰频谱,E峰小于A峰(图1);有时,三尖瓣血流可表现为单峰见切迹。半月瓣血流均呈单峰,多普勒时间流速曲线图显示肺动脉瓣血流收缩期射血时间大于主动脉瓣,峰值上升支亦快于主动脉(图2)。静脉导管为连接脐静脉和下腔静脉间的一段很短的血管,直径约为1~2mm,应用彩色多普勒可发现脐静脉血流至此处时,流速增快,呈花色血流信号(图3)。正常胎儿静脉导管的血流频谱呈连续单向双期双峰血流频谱, 有两个波峰两个波谷,第一个波峰“S”峰(房室瓣的关闭下移导致心房压的下降),第二个波谷“V”谷(心室等容舒张房室瓣上移导致暂时的心房压上升),第三个波峰“D”峰(为心室舒张房室瓣开放,血流快速流入心室导致心房压下降),第四个波谷“A”谷(心房收缩)(图4)。

图1二尖瓣血流时间流速曲线(A)和三尖瓣血流时间流速曲线(B),E峰<A峰

图2主动脉血流时间流速曲线(A)和肺动脉血流时间流速曲线(B)

图3静脉导管(DV)的彩色多普勒血流图

图4 静脉导管血流时间流速曲线