不是每一颗牙齿都能够陪你到老,当一颗牙齿出现问题时,大部分人的第一反映是将牙齿进行修复,来到医院后,针管治疗,牙冠修复。好像都在自己的预期之内,但是一听到医生说要给牙齿打桩,很多人都会感到很迷惑。
"什么?给牙齿打桩?是什么意思?"
这段时间,有不少读者问我,本来牙齿问题只需要做个针管治疗,怎么还需要给牙齿打桩呢?

我们就来普及一下关于牙齿打桩的问题。
牙齿打桩——一个修复牙齿的好帮手
无论是龋坏程度严重龋齿,还是对于受到细菌侵蚀而引发牙髓炎的状况,亦或是由于意外造成牙齿断裂伤及牙神经暴露的牙齿损伤,在修补牙齿的时候之前,都要接受根管治疗。
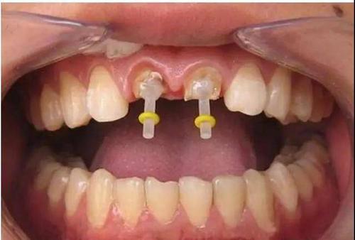
而牙齿打桩是指在根管内插入一种纤维材料,利用摩擦力和粘固力、粘接力获得固位,进而为最终修复体提供固位,也是一种牙齿修复方式。

在针管治疗之前,对于那些因为种种原因造成只剩下残留的牙根或是牙齿过短力量薄弱,不能直接用修复体直接修复的牙齿,需要在牙根里打桩,打桩后,牙齿好像长出了一个"钉子"使得牙齿的长度增加,同时也让牙根更加坚固有足够的力量来使修复体固定。

看到这,一些患者有所疑问,难道所有牙齿修复都需要将牙齿打桩吗?
当然不是,当你出现这些情景的时候,需要牙齿打桩。

情景一:龋齿程度已经达到深龋齿,牙冠遭到细菌的侵蚀严重损伤,甚至烂了牙根 情景二:由于种种外部因素导致牙齿缺损严重,只剩下牙根,但牙周十分健康。亦或是牙根有部分残余,经过龈切手术可以露出跟面的患者。 情景三:牙齿错位与扭转牙,口腔情况复杂,没有条件做正畸治疗或是非正畸适应牙齿患者。 情景四:张嘴时,一口歪牙,牙齿有畸形磨牙固位不良的情况。
如果出现以上四种情景的患者,无论你熟不熟悉牙齿打桩,都应该听从医生的建议,需要针对部分牙齿做牙齿打桩。

牙齿打桩—— "桩"的是什么 该如何选呢?
目前最常见的打桩材料是金属桩和纤维桩。如同盖房子选择木头还是石头一样,牙齿打桩的材料也有很多种,不同的材料会产生不同的效果。
金属桩的材料分为很多种,不锈钢、金钯合金、金铂合金所做的材料桩都属于金属桩
虽然一些金属桩粘合性较好,不易拆除,较为牢固,但是它自身的颜色,不能和后期种植牙全瓷牙颜色相匹配,从视觉上会有一种突兀的感觉,并且一些金属材料还会影响CT或是核磁共振的检查。

然而比起金属桩,纤维桩更胜一筹。
它的特殊的纤维材料不仅咀嚼力强,而且在口腔中耐腐蚀性非常高,除此之外,外观自然美观,可以完全和全瓷牙相匹配,并且日后当进行一些像核磁共振等影像检查时,完全不用担心。是很值得推荐的一种打桩材料。

牙齿打桩 ——环节虽小 但不能忽视这些问题
看牙是一件非常繁琐的事情,从最初的制定方案,选材,再到后期的治疗,往往是一环扣着一环,任何一个小小的环节都不能缺少,牙齿打桩虽然在牙齿修复过程中的一个小环节,但不能忽视这些问题。
- 在进行牙齿打桩之前,要对牙齿前期所做的治疗进行充足的观察,无问题后,再进行牙齿打桩。
- 对于之前坐过牙齿治疗的患者,在选桩材料选择上,建议选择纤维桩。耐性好,不易发生再次根裂减少修复难度。
- 对于外部因素造成的牙损伤,打桩之前,要充分和医生进行沟通,让医生更好的了解情况,从而更好的选择治疗方案。

我是牙科医生黄征难,35年从业经历,如果你有任何口腔问题,欢迎关注后在主页私信咨询,或评论留言!可以私信牙片,我来帮你免费问诊!