
导读:骨髓炎越早治疗,恢复便越快。家庭护理中重点在于细心与爱心的照料,持续配合兽医的叮嘱。
一则真实生活病例分享:
客户家的圣伯纳犬最近犯病了。
他告诉我们,不知道什么原因,自从上个星期跟一只牧羊犬打架,被咬到小腿后,就开始一直保持跛行的姿势行走,又或者受伤的小腿不敢下地走路。兽医问他当时有没有做过消毒处理。主人担忧的回答并没有,因为看它出血不多,伤口也不大,后续便没有太多理会。过几天后发现小腿部的伤口一直未愈合,并且因伤口疼痛,圣伯纳犬多次使用舌头舔舐伤口,之后慢慢发现它突然不爱吃食物,甚至浑身有点发热。
经过兽医临床检查后发现,该犬体温39.8°C,受伤小腿悬起不敢下地,发现小腿伤口开始化脓肿胀。触摸其伤口,有淡黄色粘稠的脓液渗出。反应十分激烈,腹股沟淋巴结肿胀,遂考虑立刻实验室检查。
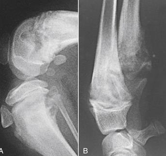
仪器检查后发现,白细胞总数增加,脓液培养可见腐生葡萄球菌生长。X光片发现其小腿部的骨组织呈现虫蚀样,通过扩创术深入了解后,确诊为骨髓炎,程度为急性状态。
骨髓炎是骨骼炎症的医学术语,若果小狗身上有创伤,主人不应该大意任由不管。因为骨髓炎十分容易引起败血症,病情恶化起来,会严重危及生命。有一点特别需要提醒的是,急性状态的骨髓炎越早治疗,预后效果越好。
当急性骨髓炎转为慢性骨髓炎,不仅治疗方法繁琐,消耗时程过长,病犬消耗严重,且预后一般不良。因此,我们需要清楚关于骨髓炎的重点知识。
看完今天文章,相信主人们遇到此事心里会有数。

了解一下,什么是骨髓炎?
大多数时候,这种炎症是由细菌、真菌、异物感染而起。还有极少的情况发生于金属埋置产生电解作用。
炎症可以是急性发作,也可以是慢性发作,通常会从身体各个部位扩散,最常见的便是身体其它部位受感染,通过血液继续传输感染至骨骼。此时需立刻了解感染源是什么。
那么,骨头深埋在小狗体内,为何这么容易受到细菌的感染呢?
如上文提及到的真实病例中,病犬受到了穿刺伤(例如口咬或爪子抓伤、尖锐物刺伤、撞伤)、皮下软组织损伤破裂、自内而外的开放骨折、周围组织物感染传播、鼻窦感染、浅表脓肿、软组织受伤、牙脓肿、经过过外科植入物(假体关节的移植)、曾做过骨外科手术发生交叉感染等皆会引起。
骨髓炎是一种严重的疾病,发现后必须立刻解决,不可犹豫。

一旦感染骨髓炎,主人应该怎么去发现?
根据感染部位的不同,骨髓炎发生的症状也会随之不同。
但我们可以肯定一点的是,骨髓炎初步迹象往往发生在创伤性时间或者严重疾病、外科手术后。(通俗点说就是,只要有伤口,没有处理妥当都会有机会发生。)
感染后常常会发现出现在病犬身上症状为:病犬疼痛反应激烈、伤口部分可明显观察到红肿;体温发热、可能会昏昏欲睡,虚弱,沮丧或不愿意进食。还会发生肌肉萎缩,这意味着病犬不想在受伤的的腿上承受额外的重量,因此肌肉会因缺乏运动而缩小。
如果病犬肢体受到炎症的影响,病犬还会出现跛足或无法移动肢体,不愿意使用受伤的肢体活动。
随着感染的蔓延,其它严重症状可发现:挤压病犬伤口会有淡黄色的脓液排出。
后续实验室检查可进一步确诊。

骨髓炎是如何引起的?
细菌性感染通常发生于机械因素引起身体组织或器官遭到破坏,例如开放性骨折,或由外科手术手术后引起。又或者如牙齿或者耳朵受到感染,细菌可轻易随着血液传输到骨骼或者骨髓。而这类型的病因,多发于非常年幼的幼犬身上。
真菌感染的骨髓炎多见于全身性真菌疾病,如球孢子菌病、隐球菌病等。
如果病犬最近进行了手术,伤口呈现的暴露状态也容易受到感染的损害。因此,在任何手术期间和手术后,应格外小心防止污染。
当主人发现病犬有出现上述几点时,必须详细的纪录狗狗的健康状况、症状发作频率以及告知兽医造成狗狗感染事项。

骨髓炎该如何诊断?
兽医将会对病犬进行一系列的全面身体检查,包括尿液分析、全血细胞计数(CBC)以及超声波检验,兽医可更进一步了解细菌感染情况,免疫系统对现有感染的反应水平,发现脓液在骨骼中的含量以及分布,并将其取出检验分析及培养,再进一步的隔离令感染的物体消失。
如果怀疑是真菌感染,可能需要进行特殊检测以分离和鉴定致病真菌生物。当病犬全身感染时,兽医将收集血样并在样本中培养致病微生物,以找到最合适的抗生素药物进行治疗。
实验室检查中,超声波可以提供更清晰的骨骼图像,骨骼中的脓液积聚。让兽医确定炎症的程度和需要治疗的部位。X光线可显示软组织肿胀,骨头周围纤维鞘的变化。

骨髓炎会很难治疗吗?(重点解决方法)
老实说,这将是一个漫长的治疗过程。
根据伤口感染的程度,骨髓炎将分为多个步骤治疗。治疗前第一件事需要常规剃毛,消毒,冲洗伤口,清洁伤口时将脓液从感染处冲走。
如果骨髓炎是由细菌感染引起,将开始抗生素治疗。一般情况下,第一周使用抗生素将采取静脉注射的方式,之后再口服至少六到八周,治疗过程需要维持很长一段时间,直到感染完全消退。控制细菌的滋生达到治疗的效果。在接受抗生素治疗的同时,病犬也应该给予益生菌补充剂。
如果感染是由骨折引起的,先让狗狗冷静稳定下来,防止骨折部位周围发生更严重的伤害。考虑骨折的受伤程度及范围,是否需要通过手术切除骨头的死骨碎片,评估是否需要手术植入固定物来稳定骨骼。防止对周围组织和骨骼的进一步损伤。
如果骨折严重,组织受损太多,感染可能会扩散到身体的其他部位。最有效的方法只能选择截肢。这是一种更实用的解决方案,也是一种更有效的策略,可以挽救病犬的生命。
如果放置植入物,当骨折和伤口愈合后,兽医会将取走。建议进行一些物理疗法(微波疗法等),使伤口快速愈合。

患有骨髓炎的病犬应如何长期护理?
骨髓炎的恢复过程可能很长,并且整个治疗过程中都会用到大剂量的消炎抗生素。听从医嘱,双方设定时间进行随访检查,检测病犬的愈合情况,确保病犬骨骼的感染稳定消退。
在家护理时,建议使用笼子给病犬休养。靠近笼子的地方应该有一个方便病犬排泄的地方。
此外,恢复期间的营养需要到位,确保病犬身体机能能够快速愈合。可咨询兽医有关促进骨骼愈合的补充剂。
还是提醒各位主人一点的是,骨髓炎一旦发现就应当立刻治疗。越早治疗往往预后越好。在寻找兽医治疗时,请选择有相关经验的,因为病犬的胫骨比较细,胫骨部骨密质容易有病变。若操作失误容易造成骨折。
(本文图片来源于网络)
我是猫狗夫人,原创首发,共同探讨宠物科普