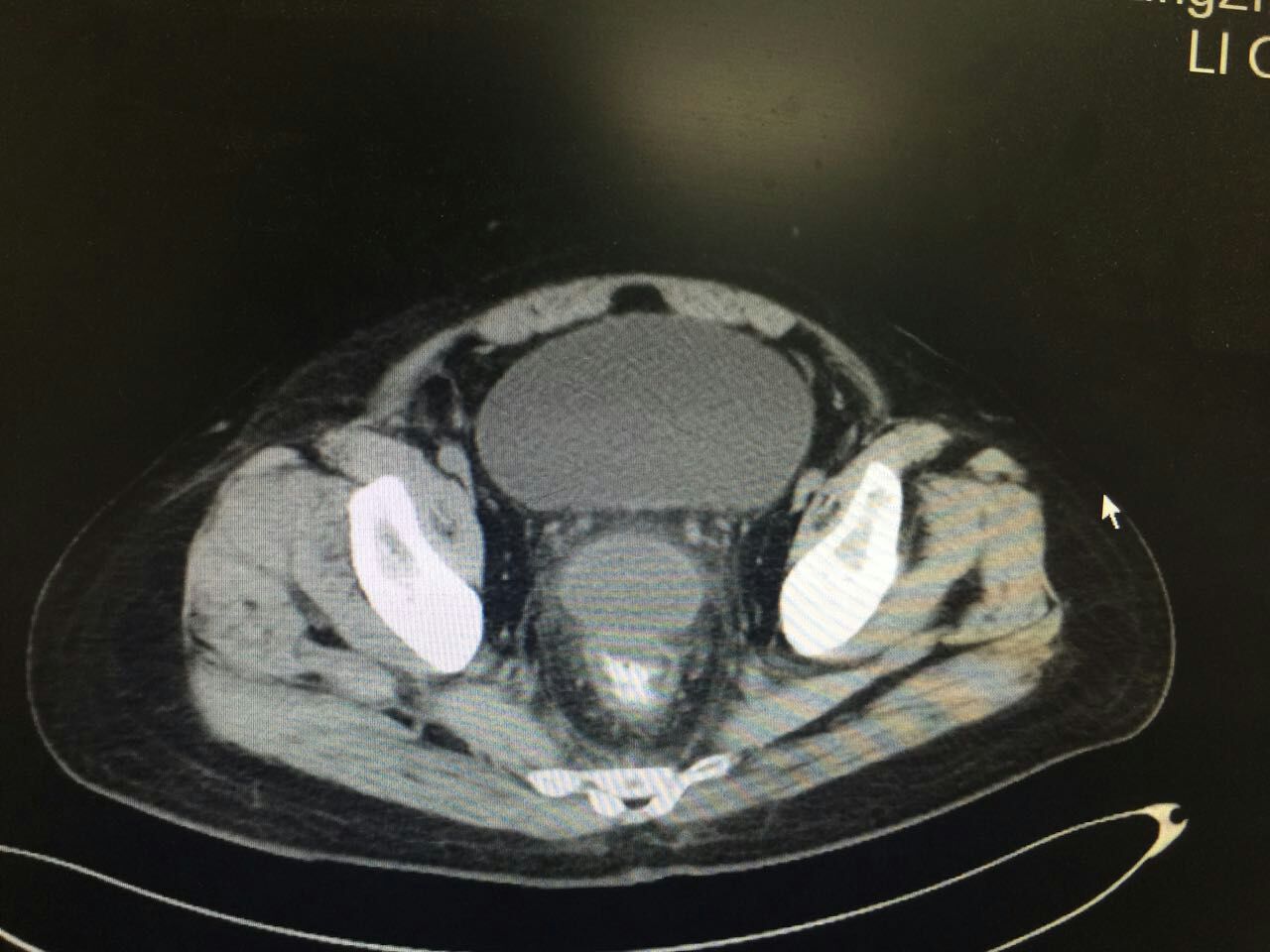
刘先生今年41岁,是一个公司的高管,三天前出现胃部不舒服,当时没有在意,几个小时以后出现了右下腹痛,当时去医院检查考虑是阑尾炎,医生建议他手术治疗。可是他因为工作忙没有答应,回去后自己输抗生素治疗,可是疼痛没有缓解还出现了发热,于是刘先生再次来到了医院,医生为他做了腹腔镜阑尾切除手术,手术中阑尾穿孔化脓,于是冲洗腹腔后放置了引流管,术后前三天刘先生恢复很好,排气,排便都很通常,也没有发热,引流管里液体不多,于是拔出了引流管,可是术后第五天患者出现了“里急后重”就是大便次数增多,几乎一个小时就要上一次厕所,还出现了发热,最高体温到了40℃,医生考虑盆腔脓肿刺激直肠造成的,于是做了CT检查,果真在直肠前方看到了一个脓肿,于是医生给刘先生做了经过直肠的脓肿穿刺引流,穿刺以后刘先生的体温下来了,大便的次数也减少了。

什么阑尾切除以后会出现腹腔脓肿?
腹腔脓肿是阑尾切除术后的一个并发症,可以出现在肠壁之间,也可以出现在膈下,盆腔,而盆腔脓肿比较多见,因为一般来说盆腔是人体盆腔的最低点,就是说重力作用下脏东西会聚集到盆腔。阑尾炎合并穿孔腹腔就会出现细菌,甚至是粪石,在手术过程中虽然冲洗腹腔但是要想完全清洗干净比较困难,所以一般来说腹腔会残留细菌,但是多半会通过引流管引流出来,或者人体吸收,但是也有可能形成包裹性脓液,这样就会出现引流和吸收困难。

盆腔脓肿为什么会出现里急后重?
那是因为脓肿紧邻直肠壁,压迫,刺激直肠让病人有排便的感觉,所以病人总感觉大便没排干净,总想排大便。

脓肿为什么要经过直肠穿刺?
直肠到脓肿的距离最近,如果通过腹腔穿刺要经过膀胱,会阴穿刺要经过前列腺,所以直肠是最佳的选择。当然女性可以通过阴道穿刺,也是不错的选择。