近年来,干细胞已经成为再生医学领域中具有广阔应用前景的一类细胞,且已经有一些干细胞新药获批上市。除了干细胞本身,源自于干细胞的外泌体也成为了医学界关注的热点,为疾病的治疗带来了新思路。 临床前研究证明了干细胞外泌体在疾病治疗领域的潜力 ,目前有关于干细胞外泌体治疗疾病的多项临床研究正在进行。
近日,发表于《Frontiers in Cell and Developmental Biology》上的一篇综述对干细胞来源的外泌体在皮肤病治疗中的进展进行了系统总结。

皮肤是人体最大的器官,也是我们机体抵御外界侵害的第一道防线,各种皮肤疾病会导致其防御功能丧失。近年来, 干细胞衍生外泌体在皮肤病治疗中的应用备受关注,在创面愈合,抗皮肤衰老,头发再生,以及特异性皮炎等领域均可发挥功效。

图片来自文献[1]
1 干细胞外泌体促进皮肤伤口愈合
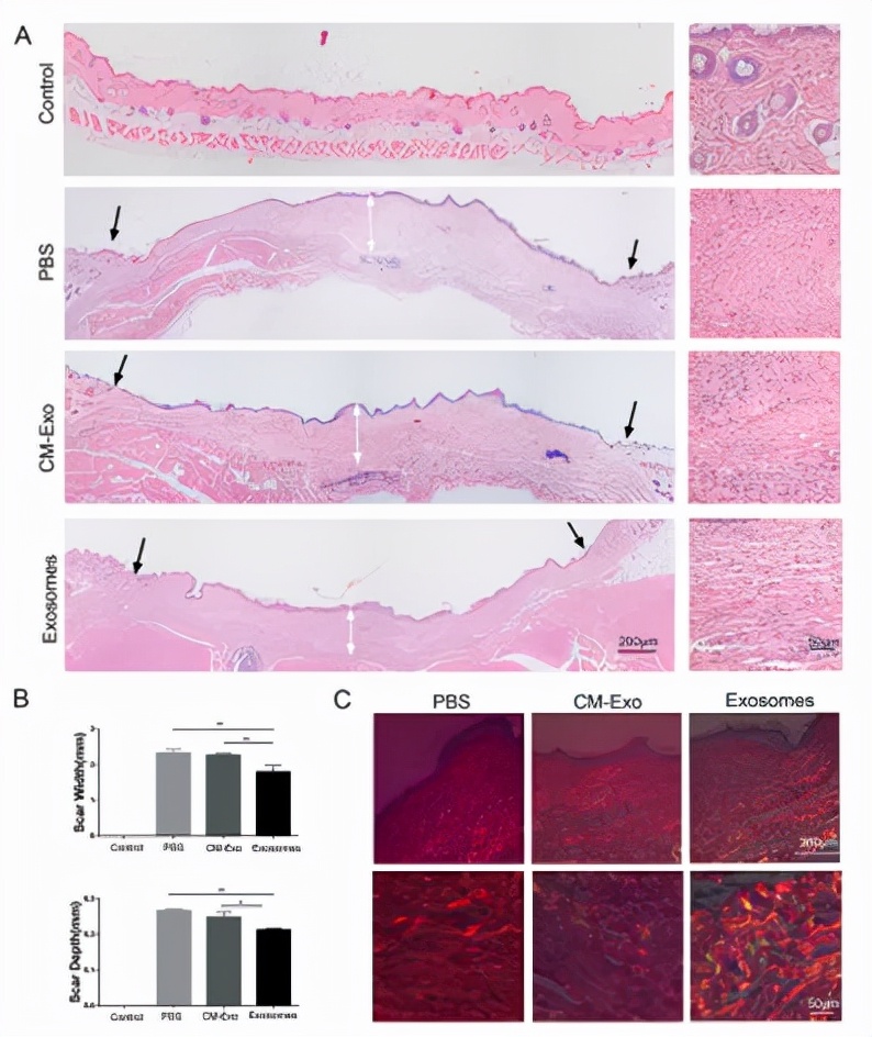
皮肤创伤愈合是一个复杂的、动态的过程,它涉及多个高度协调的过程,包括止血、炎症、细胞迁移和增殖等。创伤愈合中的两大难题是如何促进创面快速生长以及防止瘢痕形成。针对这两大难题,科学家们不断进行探索,发现 干细胞来源的外泌体具有巨大治疗潜力,其可上调生长因子的表达,促进血管生成、细胞迁移、增殖和再上皮化过程,从而加速伤口闭合。此外,其还可通过阻止成纤维细胞的分化来减少伤口中瘢痕的含量。
发表于《STEM CELLS》上的一篇文章表明 [2],接受间充质干细胞外泌体注射后,促进了二度烧伤大鼠模型深部创伤后血管的重生、胶原蛋白合成和皮肤损伤修复。此外,另一项研究表明[3],外泌体还通过阻止成纤维细胞分化为肌成纤维细胞和增加转化生长因子-β3/转化生长因子-β1的比率,减少了小鼠切口创面瘢的大小,增加了Ⅲ型胶原与Ⅰ型胶原的比率。

图片来自文献[3]
2 干细胞外泌体抗皮肤衰老
皮肤衰老是许多爱美人士最怕面临的问题,好在,现在逆转皮肤衰老已经可以看到希望啦。目前,许多研究正在着手分析间充质干细胞来源的外泌体是否可以通过防止氧化应激和光老化效应来增强皮肤年轻活力。
研究发现 [4]间充质干细胞衍生外泌体在受到H2O2氧化损伤和紫外线照射小鼠体内模型中,除了减轻组织细胞对炎症和氧化的反应外,活性氧的产生、DNA损伤、钙信号的异常和线粒体的变化也减少了。此外,干细胞衍生的外泌体还可以通过调节胶原蛋白的产生和渗透来恢复皮肤活力的能力。

干细胞来源外泌体在防止皮肤氧化损伤和促进年轻化方面具有重要作用,这可能会引起其在化妆品开发和应用中的*在用潜**途 ,从而拓展了应用空间。
3 干细胞外泌体促进头发再生
“年纪轻轻就秃了”,这是人们最不愿看到的情况,面对越来越荒芜的头顶,目前唯一有效的手段就是毛囊移植,但其价格昂贵,此外,存在可供移植毛囊有限以及移植后存活率等问题。
近年来, 干细胞外泌体逐渐成为秃头治疗的又一选择 ,发表于《SCIENTIFIC REPORTS》的一项动物试验 [5]研究了骨髓间充质干细胞衍生外泌体对毛发生长的影响,结果表明接受外泌体治疗后,毛囊大小和头发厚度显著增加(如下图所示)。

图片来自文献[5]
4 干细胞外泌体抑制黑色素瘤生长
皮肤黑色素是一种死亡率极高的恶性肿瘤,目前尚无有效治疗手段。肿瘤坏死因子相关凋亡诱导配体(TRAIL)是肿瘤坏死因子家族的一员,对肿瘤细胞具有选择性作用,其可通过与肿瘤细胞表面的死亡受体4和5(DR4和DR5)相互作用诱导细胞凋亡,是一种很有前途的肿瘤治疗药物。
研究发现 [6],通过人为修饰可使得干细胞外泌体中TRAIL含量显著增加,当输送到肿瘤所在部位时,可特异性结合肿瘤细胞表面DR4和DR5,从而发挥抗肿瘤活性。黑色素瘤细胞表明高度表达DR5,有望成为TRAIL—外泌体治疗的靶标之一。在一项动物试验中[7],在给小鼠注射黑素瘤细胞后,TRAIL—外泌体在肿瘤出现后以单剂或多剂量注射,其显示出早期的抗肿瘤活性,延缓了肿瘤的生长,并延长了4天的预期寿命。

图片来自文献[7]
除了这些领域的应用以外,干细胞外泌体在特应性皮炎,银屑病等难治性皮肤病治疗中同样也显示出一定疗效,需要更进一步的研究来证实。
5 小结
干细胞来源的外泌体具有免疫调节和再生特性,克服了干细胞用于治疗皮肤病的固有局限性,作为一种新的无细胞方法在该领域得到了广泛的关注。未来需要进一步研究干细胞外泌体治疗的分子机制,以及来源、分离方法、培养条件和给药方案等,也期待能尽早实现标准化的大规模生产。相信未来,干细胞外泌体不仅在皮肤病领域,在其他系统疾病中也会取得更多的突破性成果。
参考文献:
[1] Quiñones-Vico MI, Sanabria-de la Torre R, Sánchez-Díaz M, Sierra-Sánchez Á, Montero-Vílchez T, Fernández-González A, Arias-Santiago S. The Role of Exosomes Derived From Mesenchymal Stromal Cells in Dermatology. Front Cell Dev Biol. 2021 Apr 7;9:647012.
https://pubmed.ncbi.nlm.nih.gov/33898436/
[2] Zhang B, Shi Y, Gong A, Pan Z, Shi H, Yang H, Fu H, Yan Y, Zhang X, Wang M, Zhu W, Qian H, Xu W. HucMSC Exosome-Delivered 14-3-3ζ Orchestrates Self-Control of the Wnt Response via Modulation of YAP During Cutaneous Regeneration. Stem Cells. 2016 Oct;34(10):2485-2500.
https://pubmed.ncbi.nlm.nih.gov/27334574/
[3] Wang L, Hu L, Zhou X, Xiong Z, Zhang C, Shehada HMA, Hu B, Song J, Chen L. Exosomes secreted by human adipose mesenchymal stem cells promote scarless cutaneous repair by regulating extracellular matrix remodelling. Sci Rep. 2017 Oct 17;7(1):13321.
https://pubmed.ncbi.nlm.nih.gov/29042658/
[4] Wang T, Jian Z, Baskys A, Yang J, Li J, Guo H, Hei Y, Xian P, He Z, Li Z, Li N, Long Q. MSC-derived exosomes protect against oxidative stress-induced skin injury via adaptive regulation of the NRF2 defense system. Biomaterials. 2020 Oct;257:120264.
https://pubmed.ncbi.nlm.nih.gov/32791387/
[5] Rajendran RL, Gangadaran P, Bak SS, Oh JM, Kalimuthu S, Lee HW, Baek SH, Zhu L, Sung YK, Jeong SY, Lee SW, Lee J, Ahn BC. Extracellular vesicles derived from MSCs activates dermal papilla cell in vitro and promotes hair follicle conversion from telogen to anagen in mice. Sci Rep. 2017 Nov 14;7(1):15560.
https://pubmed.ncbi.nlm.nih.gov/29138430/
[6] Yuan Z, Kolluri KK, Gowers KH, Janes SM. TRAIL delivery by MSC-derived extracellular vesicles is an effective anticancer therapy. J Extracell Vesicles. 2017 Jan 18;6(1):1265291.
https://pubmed.ncbi.nlm.nih.gov/28326166/
[7] Shamili FH, Bayegi HR, Salmasi Z, Sadri K, Mahmoudi M, Kalantari M, Ramezani M, Abnous K. Exosomes derived from TRAIL-engineered mesenchymal stem cells with effective anti-tumor activity in a mouse melanoma model. Int J Pharm. 2018 Oct 5;549(1-2):218-229.
https://pubmed.ncbi.nlm.nih.gov/30075248/