乳腺是犬猫肿瘤常发的部位,母犬乳腺瘤发病率约占全部肿瘤性疾病的25 %~50 %,其中约40 %~50 %的犬乳腺肿块为良性的,即纤维腺瘤。猫乳腺瘤发病率仅次于皮肤癌和淋巴肉瘤,80 %~90 %的猫乳腺肿块都是恶性、转移性的,在肿瘤间质和实质细胞间,常有淋巴细胞浸润,淋巴转移常发生在腋下淋巴结、腹股沟淋巴结、肺、肝及脾, 骨骼的转移性肿瘤很少见生,一旦发生则可能是恶性的。猫乳腺肿瘤的病因尚未完全清楚,但一般认为与人和犬同样,孕激素和雌激素等性激素与其发生相关。该病的发生受多种环境因素和遗传因素的影响。其治疗以早发现早手术为宜, 并辅以化学疗法、放射疗法和免疫疗法。
1 乳腺肿瘤切除术
临床上有许多手术方法用来治疗犬的乳腺瘤, 这些方法包括: 单侧或双侧乳腺切除术(切除一侧或双侧乳房和淋巴结) ;局部乳腺切除术(切除多个乳腺、间质组织和淋巴结) ; 简单乳腺切除术(切除有肿块的乳腺) ; 肿瘤切除术(局部肿块切除) 在犬上, 应及早进行肿瘤切除术并与周围组织保持2 cm的清晰界限。但在猫上, 则最宜进行单侧或双侧乳腺切除术。手术要考虑到病患动物的个体差异, 并根据肿瘤的大小、部位、肿块的数量、胸廓放射影象结果及畜主的要求来制定合适的手术计划。
2 病例介绍
家猫,咪咕,雌性(未绝育),13岁,未免疫,未驱虫,半年前乳腺开始增生,宠主未加注意,近一月,肿块生长迅速,前几日肿块出现破溃,精神萎靡,食欲废绝。
3.1 临床检查
体温39.1℃,心率125次/分钟,呼吸18次/分钟,体重2.75kg,精神萎靡,口色苍白,腹部肿块多处破溃,极度消瘦,被毛杂乱。
3.2 实验室检查
3.2.1 血常规检查(CBC)
表1 血常规检查结果
Table 1 CBC results


3.2.2 血气检查
表2 血气检查结果

3.2.3 生化检查
表3 生化检查结果

3.2.4 X光检查
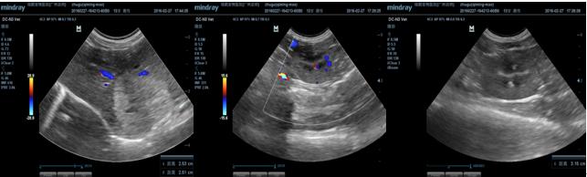
3.2.5 B超检查
超声提示:
1 乳腺肿瘤
2 腹股沟淋巴结炎或腹股沟淋巴结肿瘤
3 肝脏左叶实质结节,疑似肝脏肿瘤。
4 治疗
手术治疗
患猫经诊断高度怀疑为乳腺恶性肿瘤,决定采取肿块及后4个乳腺全摘除术。
1)术前准备常规消毒手术器械、创巾、纱布等手术用具。术前15min注射止血敏0.5mL,曲松0.2g。
2)2麻醉和保定,采用呼吸麻醉。猫仰卧于手术台上,四肢保定。
3)3手术过程确定手术部位,术部及其周围剪毛、剃毛、消毒。切开皮肤,从第2个乳头上方弧形切至最后乳头后方,形成一个椭圆形切口。切口位于肿块外至健康皮肤1.5cm处,从最后一乳头切口处开始钝性分离皮下结缔组织。乳腺用组织钳夹住并向前牵引,将腺体与腹筋膜钝性分离,后腹部乳腺是由后浅上腹动脉所供应,该动静脉是外阴部动脉及静脉的分支。仔细分离乳腺及结缔组织,把暴露出的腹股沟淋巴结,淋巴结,连同乳腺一起用组织钳夹住提起向前牵引,继续将乳腺与腹筋膜分离,术中要保持肿瘤组织的完整性,防止肿瘤细胞的扩散。一直分离至第2个乳头上方的皮肤切口处,将肿瘤连同相对应的3个乳头及乳腺全部摘除下来。
4)常规皮肤缝合,在后腹部因剥离较多,缝合时会形成空腔,可以安装一根引流条。
5)包扎、压迫。

诊断( Diagnosis ):
乳腺非特殊型浸润癌
相关描述( Comment ):
肿瘤体积大小与预后有正相关性。肿瘤直径小于2CM,可单纯使用手术治疗后达到三年以上的中位数存活时间,直径介于2-3CM之间,存活可达两年,至今大于3CM,存活时间平均为6-8个月。另外需结合是否出现淋巴结转移做预后判断。容易发生远端转移(肺脏、胸膜)。建议手术切除,根据患宠病情评估化疗制剂使用。
6小结和体会
1)统对处于发情期、孕期和假孕期的母犬乳腺瘤进行诊断有一定困难, 因为处于这些时期的乳房肿块较为常见, 这些肿块可能是亦可能不是瘤性的。乳房腺泡增生和腺管扩张也是常见的, 临床上很难将其与乳腺瘤区分开来。触诊这些肿块或柔软或硬实, 活组织切开可见充满液体的囊泡结构。这些肿块随雌激素浓度的降低而缩小, 随下一次发情期的到来或假孕又变大。通过切开活组织检查可排除其为肿瘤。
2)对于猫的Ⅰ期乳腺肿瘤,即直径小于1cm的,单纯手术疗法或许有效,但是由于猫的乳腺肿瘤多为恶性,随着肿瘤直径的增大及向周围淋巴结的扩散,我们建议在手术疗法的基础上结合化疗。
3)猫的乳腺肿瘤的手术疗法可以有单侧全摘除和双侧全摘除。偶尔也可见进行部分摘除的。与治疗效果关联最大的是摘除手术时肿瘤直径。据报道,肿瘤直径在3 cm以上生存约6个月,2~3 cm时为2年,肿瘤的大小在2 cm以下时约为3年。摘除时若确认淋巴结为乳腺所属,则必须将该淋巴结和乳腺一同摘除。也就是说同人类的乳腺癌一样,猫的乳腺肿瘤在直径很小的时候被发现,并且被摘除,则可以期待其寿命延长。由于猫乳腺肿瘤80%以上为腺癌,接受摘除手术的猫复发率为66%。而大多数猫会由于肿瘤的转移而死亡。
4)由于许多患乳腺肿瘤的猫也患有卵巢和子宫疾患,因此建议实施避孕手术。此外,肿瘤的发生还与绝育的时间有关。在第1次发情前就进行绝育手术的,发病率远低于第2次发情前进行绝育的雌猫。而在母猫3次发情后再进行绝育对于该病的发生率几乎没任何影响。
网址:http://www.rp-pet.com/ProductsSt/459.html