新冠病毒可通过母婴垂直传播吗?这个问题一直在探索,近期又有了新的发现。

病例介绍
患者性别:男
患者年龄:3月龄
简要病史:常规婴儿健康体检。
体格检查:头围41cm,身长62cm,体重6.1kg。中枢神经系统以及骨骼和肌肉发育良好,可以进行简单的握手或者是抬头等动作,另外应该可以大声发笑,并且发出单个音节,可以进行翻身运动,并且开始寻找声音。
母孕史与分娩史:
患儿母亲,23岁,G1P0,于2020年3月在怀孕35周时入院,入院前2天出现发热(38.6℃)、咳嗽和大量咳痰。RT-PCR检测:在血液、鼻咽拭子和阴道拭子中同时检测SARS-CoV-2的E和S基因。入院时观察到血小板减少(54×10^9/L)、淋巴细胞减少(0.54×10^9/L)、APTT延长(60 s)、转氨酶(AST 81 IU/L;ALT 41 IU/L)、C反应蛋白(37 mg/L)和铁蛋白(431 g/L)升高。入院3天后,根据胎心监测,决定剖宫产术。剖宫产术中在破膜前收集羊水,检测SARS-CoV-2的E和S基因均呈阳性。未进行延迟脐带夹闭,因为其对SARS-CoV-2传播的影响尚不清楚。继续住院观察其临床状况,最后在分娩6天后,状态良好,出院。
出生史:
出生(胎龄36周)体重2540 g。1,5和10 分钟Apgar评分:4分,4分,7分。新生儿复苏(面罩进行无创通气,然后插管和有创通气,吸入氧滴定至0.30;监测包括心电图、潮气末侧流CO2测量,外周血氧饱和度和灌注指数)。新生儿最终被隔离转移到负压室的新生儿重症监护室。脐血血气分析显示pH值和乳酸正常。新生儿未接受任何镇静剂或镇痛药,并根据常规NICU复苏后护理方案进行监测:NICU入院时,Sarnat评分、护理点超声心动图和肺部超声检查均正常。生命体征始终正常,6小时后拔管。拔管前,抽取血液进行毛细血管血气分析(出生后1.5小时)和血常规检查正常。血培养细菌或真菌阴性。在婴儿出生后1 h,收集鼻咽拭子和直肠拭子,生后第二天复查血常规(包括肌钙蛋白、肝、肾功能),结果正常。配方奶喂养。主要实验室检查结果见表1。

出生采集羊水、鼻咽拭子、肛拭子、血液、胎盘组织和非支气管镜下支气管肺泡灌洗液进行RT-PCR检测,SARS-CoV-2的E和S基因均为阳性。

在出生后3天和18天重复RT-PCR检测SARS-CoV-2,均为阴性。

出生后第3天,新生儿突然出现烦躁、吸乳差、高血压。
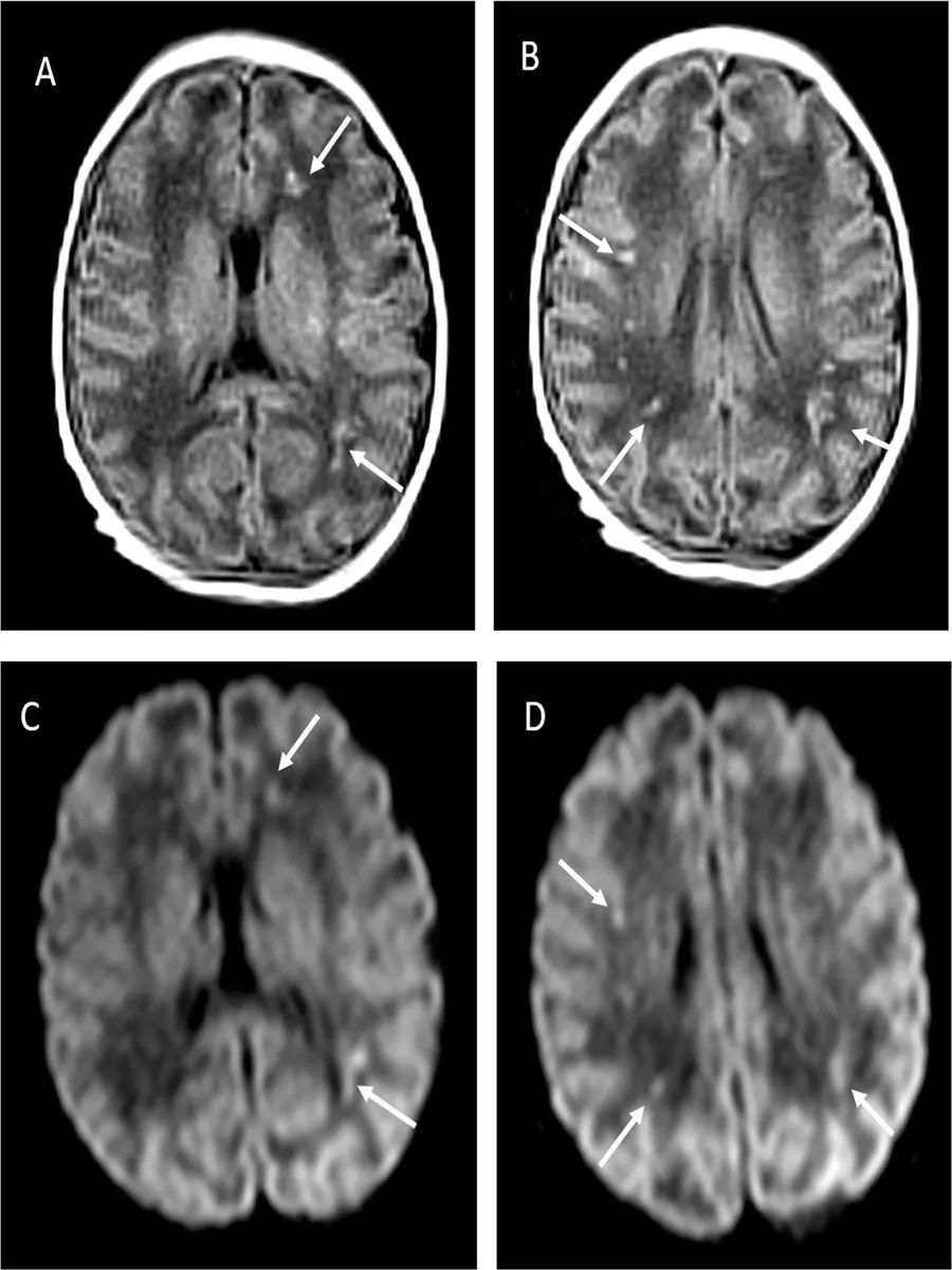
脑脊液SARS-CoV-2呈阴性,细菌、真菌、肠道病毒、单纯疱疹病毒1、2呈阴性,白细胞数为300个/mm3,蛋白轻度升高(1.49 g/L)。血培养无菌。脑超声和脑电图也正常。排除代谢性疾病可能。症状在3天内缓慢改善,第5天第二次脑脊液检查正常。磁共振显示双侧脑室周围和皮质下胶质增生。

新生儿未接受抗病毒药物或任何其他特殊治疗,逐渐康复,18天后出院。
本次随访至2个月后,神经系统检查进一步改善(高血压改善,运动功能正常),磁共振成像(白质损伤减轻);生长和其余临床检查均正常。
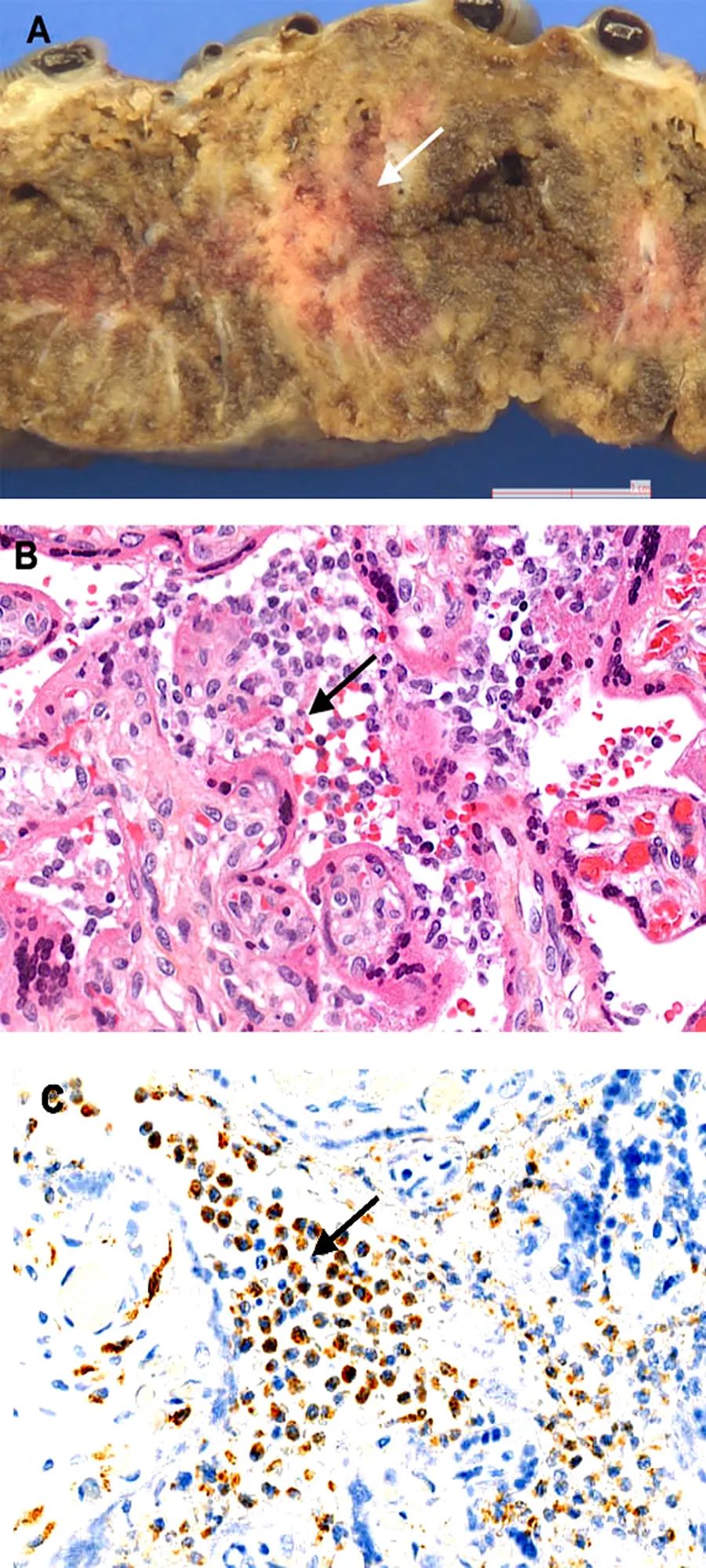
胎盘病理学检查
胎盘组织病理学检查显示弥漫性绒毛周围纤维蛋白沉积,伴有梗死和急性和慢性绒毛间质增生。下图显示了胎盘大体和显微镜检查以及免疫组织化学的结果。

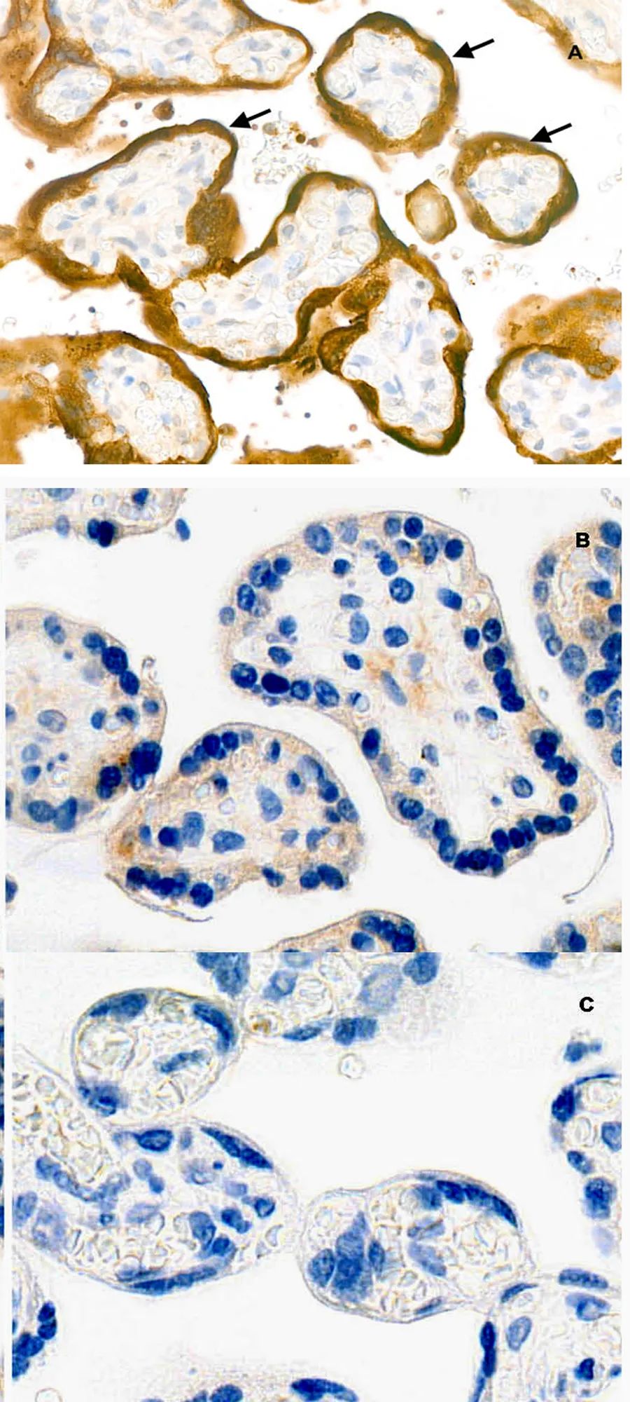
用抗SARS-CoV-2n蛋白抗体进行免疫染色,可见绒毛周围滋养层细胞胞浆呈强阳性。特殊染色及免疫组化均未发现其他致病菌。

最终结论
母婴垂直传播导致新生儿新冠肺炎病毒感染
病例述评
新冠病毒可通过母婴垂直传播吗?这个问题一直在探索,早期研究如下。
2020年2月12日:
《柳叶刀》

妊娠期COVID-19的临床特征以及母婴垂直传播的可能性
研究目的:评估了妊娠期COVID-19的临床特征以及母婴垂直传播的可能性。
研究地点:武汉大学中南医院
研究对象:纳入9例确诊为新冠的剖宫产终止妊娠的产妇,并检查其新生儿的新冠感染情况。
研究方法:剖宫产分娩时,收集了羊水、脐带血以及新生儿咽拭子。此外,还收集了患者初乳样。
研究结果:9例新生儿的相关样本检测均为新冠病毒阴性。
研究结论:妊娠晚期新冠病毒感染不会引起母婴间垂直传播。
====================
2020年3月26日:
《美国医学会杂志-儿科学》
33例新冠肺炎产妇的新生儿早发型新冠肺炎感染调查

研究者及单位:武汉市儿童医院(曾凌空)、复旦大学附属儿童医院(周文浩)、湖北省妇幼保健院(夏世文)
研究目的与对象:对母亲为COVID-19患者的33例新生儿临床情况进行回顾。
研究结果:经鼻咽拭子和肛拭子新冠病毒核酸检测,其中3例(9%)出现早发型感染(出生第2、第4天呈阳性)。
研究结论:由于分娩过程中实施了严格的感染控制和预防程序,新生儿上呼吸道或肛门中新冠病毒来源很可能是母体。尽管羊水、脐带血和母乳的病毒检测结果均为阴性,不能排除母婴垂直传播。
====================
病例研究在临床科研中仍有一定的地位。医学是一门不断发展的科学。先前的结论会不断地被修正,补充,甚至*翻推**,但是那都是对真知的探索,应该被尊重。