
肺炎克雷伯菌是在医院和社区中发现的一种重要的感染性的肠杆菌科病原体。可引起多种感染,是下呼吸道、泌尿道及血源感染的重要病原菌。本文分享1例肺炎克雷伯菌引起的坏死性肺炎和脓毒性休克的病例。
医脉通编译整理,未经授权请勿转载。
临床病史
患者男,52岁,胸痛发作迅速(几天),咯血,发热(39℃)和体重减轻。实验室检查显示白细胞减少和中性粒细胞增多。该患者有大量饮酒和吸毒(*卡因可**)史,并且吸烟,患有慢性阻塞性肺疾病(COPD)。
影像学表现
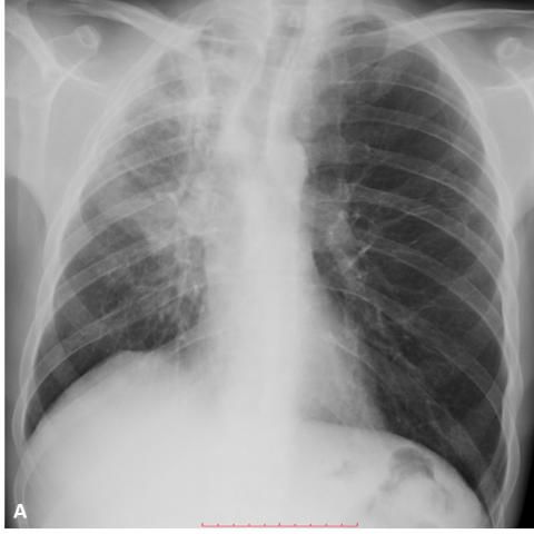
胸部X线片显示右上叶和中叶支气管实变,右斜裂膨出(图1)。

图1 实变伴支气管充气征,几乎完全占据了右上叶和部分中叶
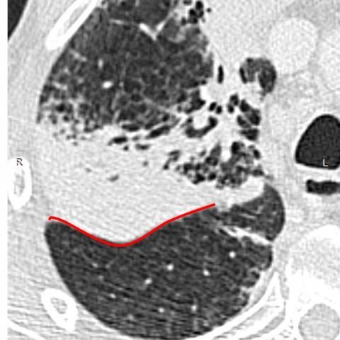
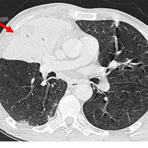
CT显示右上叶和中叶支气管充气征(图2和3)。上叶轻度小叶中心型肺气肿,下叶轻度间隔旁型肺气肿,下叶支气管壁增厚。纵隔淋巴结病变(图3)。无胸腔积液。

图2 因感染实质扩大,右上叶实变伴支气管征和右斜裂(红线)膨出

图3 右上叶大量实变伴支气管充气征(红色箭头)
影像学显示可能因COPD潜在改变,引起肺炎克雷伯菌感染所致的坏死性肺炎。
患者开始使用经验性抗菌药物治疗,但由于脓毒性休克,病情迅速发展成呼吸窘迫和多器官功能障碍,并被送入重症监护室。在患者支气管分泌物中分离出肺炎克雷伯菌。
支气管镜检查和经支气管肺活检证实淋巴细胞,组织细胞和多形核细胞浸润支气管粘膜,无肿瘤细胞。
讨论
肺炎克雷伯菌是一种常见的致病菌,占肺炎病例的0.5%至5%。它可在短时间内(几天)引起空洞(占病例的30-50%)和坏死性肺炎(NP)。
NP是肺部感染的并发症,其中,受影响的实质被坏死组织和空洞取代。与相关肺脓肿、肺坏疽或血栓鉴别很重要,因为NP是肺炎克雷伯菌感染的常见并发症。
患者通常会出现发热、咳嗽、痰液增多和胸膜炎胸痛。有时还会出现咯血、盗汗、厌食和体重减轻。
细菌性肺炎胸部X线片通常表现为大叶实变,伴支气管充气征,有时出现胸腔积液。肺炎克雷伯菌感染时,可观察到空洞和间裂膨出,这代表相邻的组织位移(与肺炎克雷伯菌实变典型相关)。
胸部CT表现为磨玻璃影,实变伴支气管充气征,有时伴有空洞、网状影、小叶中心结节或小叶间隔增厚。静脉注射造影剂对显示坏死未增强的斑片状区域至关重要。肺脓肿也可以描述成结节样病变,伴壁增厚。胸腔积液和纵隔淋巴结病也可以通过CT准确诊断。
静脉注射抗生素是主要的治疗方法,有时需要很长时间(2-3个月)。与脓肿形成或脓胸鉴别很重要,因为这些患者可能需要外科治疗(引流),尤其是脓肿或脓胸很大,大量的坏死对以往的治疗没有响应时。
采用正确的治疗方法对预后有利,仅使用药物治疗便能治愈90%的脓肿。
对于免疫功能低下或有慢性肺部疾病的大叶性肺炎患者,需考虑不常见的诊断,如革兰氏阴性菌,往往发展为NP。使用碘化造影剂前后,CT对识别因坏死而没有增强的实变区域至关重要。
诊断
1. 鉴别诊断
➤肺炎克雷伯菌引起的坏死性肺炎
➤肺脓肿
➤肺部肿瘤伴坏死
➤肺梗死空洞
➤肺结核
➤肺部真菌感染(曲霉菌病或毛霉菌病)
2. 最终诊断
肺炎克雷伯菌引起的坏死性肺炎
参考文献:
[1] Pande A, Nasir S, Rueda AMet-al. (2012) The incidence of necrotizing changes in adults with pneumococcalpneumonia. Clin. Infect. Dis. ;54 (1): 10-6. (PMID: 22042878)
[2] Mandell LA, Wunderink RG, Anzueto A, Bartlett JG,Campbell GD, Dean NC, et al.(2007,Mar 1)Infectious Diseases Society ofAmerica/American Thoracic Society consensus guidelines on the management ofcommunity-acquired pneumonia in adults. Clin Infect Dis. 44 Suppl 2:S27-72.(PMID: 17278083)
[3] Okada F, Ando Y, Honda K et-al. (2010) AcuteKlebsiella pneumoniae pneumonia alone and with concurrent infection: comparisonof clinical and thin-section CT findings. Br J Radiol. 83 (994): 854-60. (PMID: 20647513)
[4] Stark DD, Federle MP, Goodman PC, Podrasky AE, WebbWR. (1983 Jul) Differentiating lung abscess and empyema: radiography andcomputed tomography. AJR Am J Roentgenol. 141(1):163-7. (PMID: 6602513)
[5] Appelbaum PC, Spangler SK, Jacobs MR. (1990 Aug)Beta-lactamase production and susceptibilities to amoxicillin,amoxicillin-clavulanate, ticarcillin, ticarcillin-clavulanate, cefoxitin,imipenem, and metronidazole of 320 non-Bacteroides fragilis Bacteroidesisolates and 129 fusobacteria from 28 U.S. centers. Antimicrob AgentsChemother. 34(8):1546-50. (PMID: 2221864)