大脚骨找对人,16年经验听我讲故事,继续和大家分享我的大脚骨手术案例,这一个来自湖南永州的小伙子大脚骨,小伙子右脚大脚骨疼痛明显,拇趾关节囊长期压迫挤压明显,出现局部特别明显的疼痛症状,找了许久,终于找到了我这边可以做拇外翻的手术,特别开心。

永州大脚骨
从他照片可以看出,他的前足较宽,有大脚骨的同时还有小脚骨,小拇趾的外侧也有个凸起,其实拇趾偏斜倒不是特别明显,大脚骨凸起也不算很严重,但是他脚局部疼痛明显,可能和长期鞋子摩擦挤压有关,因为两侧的凸起都有,所以脚在鞋子内容易受到挤压,局部疼痛也就明显一些。

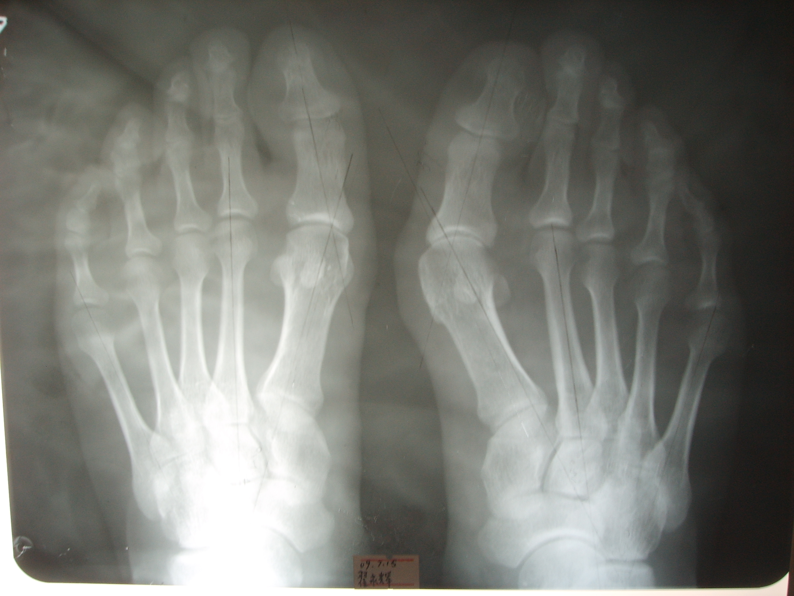
大脚骨X光
从他的脚X光片可以清楚看到,大拇趾稍微有点向外侧偏斜,第一跖骨向内侧偏斜,小拇趾也有凸起,关节对合情况其实还算比较好,不算特别严重的拇外翻,一般来说,男性拇外翻多更轻微,我先前告诉他:其实他这样情况不做手术也没有关系,但是他一再要求手术,因为局部疼痛明显。

大脚骨术后
备注:上图不是这个小伙子的术后图片,小伙子术后居然没有拍照,找不到术后图片了,另外弄了一个术后图片凑够三张图。
前几天我的文章发布出去以后,有朋友回复说:农村见到很多这样的脚,其实城里也有,因为农村人更多打赤脚,容易被发现,现在都市人更少打赤脚,没那么容易展现出来。
更多关于大脚骨手术的相关问题,欢迎大家多多评论留言。