疫情放开后,全国各地相继迎来感染高峰,我们医院作为前沿阵地,医院领导和医务人员众志成城,努力捍卫群众的生命安全,医院非新冠人员流动明显减少,但在这个特殊时期,关节创伤外科1月初来了一位慕名而来的患者。
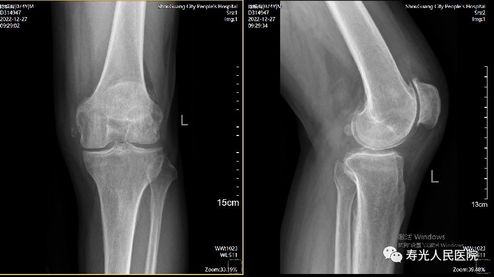
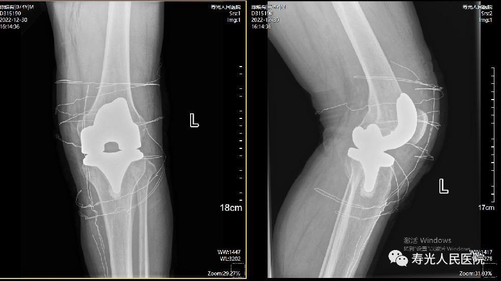
陈老伯是云南昭通市人,因常年劳作,膝关节过度磨损,落下了膝关节骨性关节炎的老病根。虽经口服药物,关节腔注射、中医中药等多种手段治疗,依然无法阻止疾病进展,已经严重到需要扶拐杖才能勉强行走的程度,简单的日常行走却成了奢侈。陈老伯有个孝顺的儿子,通过多方打听,了解到我们关节创伤外科的特色之一就是膝关节置换,通过亲戚联系到科室可以在特殊时期收治普通病人后,连夜坐飞机赶到山东。来到医院后,常炳营主任亲自给病人安排住院并进行专科查体,同时嘱咐病人做好个人防护。全科讨论确定膝关节置换的手术方案后,入院第2天就进行了手术治疗,整个手术过程用时不到1小时,在科室康复师的指导帮助下,次日患者就进行了下地活动。近日科室再次联系了陈老伯的儿子,了解老人恢复的非常好,陈先生说:父亲做手术之前,也打听了周边的情况,手术满意度参差不齐,周围邻居都建议我去省城或者北京上海的大医院去做,我打听到咱们医院常主任团队非常专业,就义无反顾的带老爷子来到了寿光,看到老爷子现在恢复的这么好,真是给了他生活的希望,医院和科室的美名已经在当地传开了!
据常炳营主任介绍:膝关节置换术是关节创伤外科的特色专业,年关节置换量及满意率常年位居县级医院前列。科室针对关节炎采取个性化、阶梯化治疗方案,争取让每个病人用最小的创伤,取得最大的收益,同时科室配有专门的康复医师,为患者的顺利康复保驾护航。
因为专业,所以信赖,关节创伤外科——永远值得相信!

术前影像

术后影像